扫码关注公众号           扫码咨询技术支持           扫码咨询技术服务
  
客服热线:400-901-9800  客服QQ:4009019800  技术答疑  技术支持  质量反馈  人才招聘  关于我们  联系我们
产品中心-北京博奥森生物技术有限公司
首页 > 产品中心 > 标记一抗 > 产品信息
Rabbit Anti-CACNA1S/Biotin Conjugated antibody (bs-9925R-Bio)
订购热线:400-901-9800
订购邮箱:sales@bioss.com.cn
订购QQ:  400-901-9800
技术支持:techsupport@bioss.com.cn
说 明 书: 100ul  
100ul/2980.00元
大包装/询价

产品编号 bs-9925R-Bio
英文名称 Rabbit Anti-CACNA1S/Biotin Conjugated antibody
中文名称 生物素标记的电压依赖性钙通道Cav1.1抗体
别    名 L-type Ca++ CP α1S: alpha-1 polypeptide; isoform 3; L type; skeletal muscle; CAC1S_HUMAN; CACH1; Cach1b; CACN1; CACNA1S; CACNL1A3; Calcium channel; Calcium channel, L type, alpha 1 polypeptide, isoform 3, skeletal; Calcium channel, L type, alpha 1 polypeptide, isoform 3, skeletal muscle; Calcium channel, L type, alpha 1 polypeptide, isoform 3, skeletal muscle, hypokalemic periodic paralysis; Calcium channel, skeletal muscle dihydropyridine sensitive , alpha 1 subunit; Calcium channel, voltage dependent, L type, alpha 1S subunit; Calcium channel, voltage-dependent, L type, alpha 1S subunit, b; Cav1.1; CCHL1A3. Dihydropyridine receptor; Dihydropyridine sensitive L type calcium channel alpha 1 subunit; fmd; HOKPP; HypoPP; Malignant hyperthermia susceptibility 5; mdg; MHS5; ROB1; sj; TTPP1; Voltage gated calcium channel subunit alpha Cav1.1; Voltage-dependent L-type calcium channel subunit alpha-1S; Voltage-gated calcium channel subunit alpha Cav1.1  
规格价格 100ul/2980元 购买        大包装/询价
说 明 书 100ul  
研究领域 细胞生物  神经生物学  信号转导  
抗体来源 Rabbit
克隆类型 Polyclonal
交叉反应 Mouse, Rat,  (predicted: Human, Pig, Cow, Rabbit, )
产品应用 WB=1:50-200 ELISA=1:100-1000 IHC-P=1:50-200 IHC-F=1:50-200 ICC=1:50-200 IF=1:50-200 
not yet tested in other applications.
optimal dilutions/concentrations should be determined by the end user.
分 子 量 212kDa
性    状 Lyophilized or Liquid
浓    度 1mg/ml
免 疫 原 KLH conjugated synthetic peptide derived from human CACNA1S
亚    型 IgG
纯化方法 affinity purified by Protein A
储 存 液 0.01M TBS(pH7.4) with 1% BSA, 0.03% Proclin300 and 50% Glycerol.
保存条件 Store at -20 °C for one year. Avoid repeated freeze/thaw cycles. The lyophilized antibody is stable at room temperature for at least one month and for greater than a year when kept at -20°C. When reconstituted in sterile pH 7.4 0.01M PBS or diluent of antibody the antibody is stable for at least two weeks at 2-4 °C.
产品介绍 background:
Voltage-sensitive calcium channels (VSCC) mediate the entry of calcium ions into excitable cells and are also involved in a variety of calcium-dependent processes, including muscle contraction, hormone or neurotransmitter release, gene expression, cell motility, cell division and cell death. The isoform alpha-1S gives rise to L-type calcium currents. Long-lasting (L-type) calcium channels belong to the 'high-voltage activated' (HVA) group. They are blocked by dihydropyridines (DHP), phenylalkylamines, benzothiazepines, and by omega-agatoxin-IIIA (omega-Aga-IIIA). They are however insensitive to omega-conotoxin-GVIA (omega-CTx-GVIA) and omega-agatoxin-IVA (omega-Aga-IVA). Calcium channels containing the alpha-1S subunit play an important role in excitation-contraction coupling in skeletal muscle.

Function:
Voltage-sensitive calcium channels (VSCC) mediate the entry of calcium ions into excitable cells and are also involved in a variety of calcium-dependent processes, including muscle contraction, hormone or neurotransmitter release, gene expression, cell motility, cell division and cell death. The isoform alpha-1S gives rise to L-type calcium currents. Long-lasting (L-type) calcium channels belong to the 'high-voltage activated' (HVA) group. They are blocked by dihydropyridines (DHP), phenylalkylamines, benzothiazepines, and by omega-agatoxin-IIIA (omega-Aga-IIIA). They are however insensitive to omega-conotoxin-GVIA (omega-CTx-GVIA) and omega-agatoxin-IVA (omega-Aga-IVA). Calcium channels containing the alpha-1S subunit play an important role in excitation-contraction coupling in skeletal muscle.

Subunit:
Multisubunit complex consisting of alpha-1, alpha-2, beta and delta subunits in a 1:1:1:1 ratio. The channel activity is directed by the pore-forming and voltage-sensitive alpha-1 subunit. In many cases, this subunit is sufficient to generate voltage-sensitive calcium channel activity. The auxiliary subunits beta and alpha-2/delta linked by a disulfide bridge regulate the channel activity. An additional gamma subunit is present only in skeletal muscle L-type channel. Interacts with DYSF and JSRP1. Interacts with RYR1 (By similarity).

Subcellular Location:
Membrane.

Tissue Specificity:
Skeletal muscle specific.

Post-translational modifications:
Phosphorylation by PKA activates the calcium channel (By similarity).

DISEASE:
Defects in CACNA1S are the cause of periodic paralysis hypokalemic type 1 (HOKPP1) [MIM:170400]; also designated HYPOPP. HOKPP1 is an autosomal dominant disorder manifested by episodic flaccid generalized muscle weakness associated with falls of serum potassium levels.
Defects in CACNA1S are the cause of malignant hyperthermia susceptibility type 5 (MHS5) [MIM:601887]; an autosomal dominant disorder that is potentially lethal in susceptible individuals on exposure to commonly used inhalational anesthetics and depolarizing muscle relaxants.
Defects in CACNA1S are the cause of susceptibility to thyrotoxic periodic paralysis type 1 (TTPP1) [MIM:188580]. A sporadic muscular disorder characterized by episodic weakness and hypokalemia during a thyrotoxic state. It is clinically similar to hereditary hypokalemic periodic paralysis, except for the fact that hyperthyroidism is an absolute requirement for disease manifestation. The disease presents with recurrent episodes of acute muscular weakness of the four extremities that vary in severity from paresis to complete paralysis. Attacks are triggered by ingestion of a high carbohydrate load or strenuous physical activity followed by a period of rest. Thyrotoxic periodic paralysis can occur in association with any cause of hyperthyroidism, but is most commonly associated with Graves disease.

Similarity:
Belongs to the calcium channel alpha-1 subunit (TC 1.A.1.11) family. CACNA1S subfamily.

Database links:

Entrez Gene: 779 Human

Entrez Gene: 12292 Mouse

Entrez Gene: 100009585 Rabbit

Entrez Gene: 682930 Rat

Omim: 114208 Human

SwissProt: Q13698 Human

SwissProt: Q02789 Mouse

SwissProt: P07293 Rabbit

SwissProt: Q02485 Rat

Unigene: 1294 Human

Unigene: 4418 Mouse

Unigene: 10738 Rat

Unigene: 220579 Rat



Important Note:
This product as supplied is intended for research use only, not for use in human, therapeutic or diagnostic applications.
产品图片
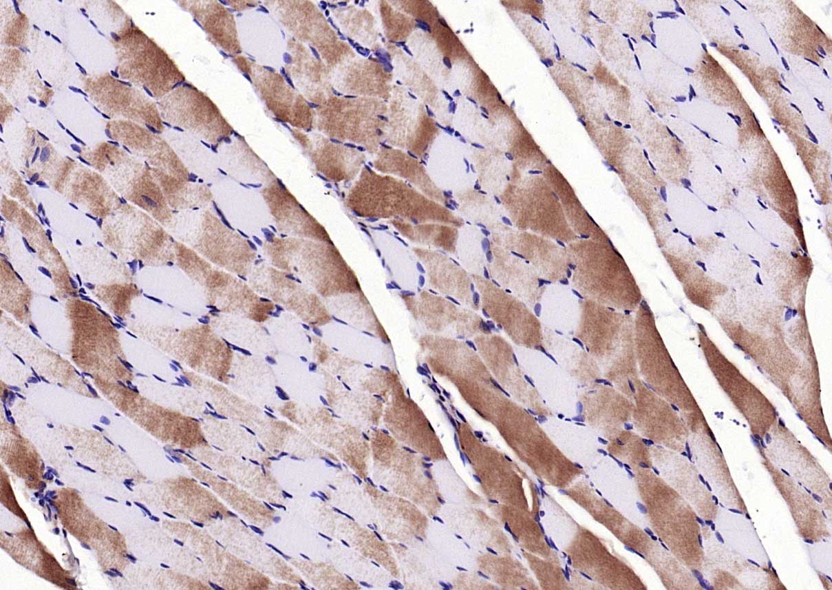
Paraformaldehyde-fixed, paraffin embedded (mouse skeletal muscle); Antigen retrieval by boiling in sodium citrate buffer (pH6.0) for 15min; Block endogenous peroxidase by 3% hydrogen peroxide for 20 minutes; Blocking buffer (normal goat serum) at 37°C for 30min; Antibody incubation with (CACNA1S) Polyclonal Antibody, Unconjugated (bs-9925R-Bio) at 1:200 overnight at 4°C, followed by operating according to SP Kit(Rabbit) (sp-0023) instructionsand DAB staining.
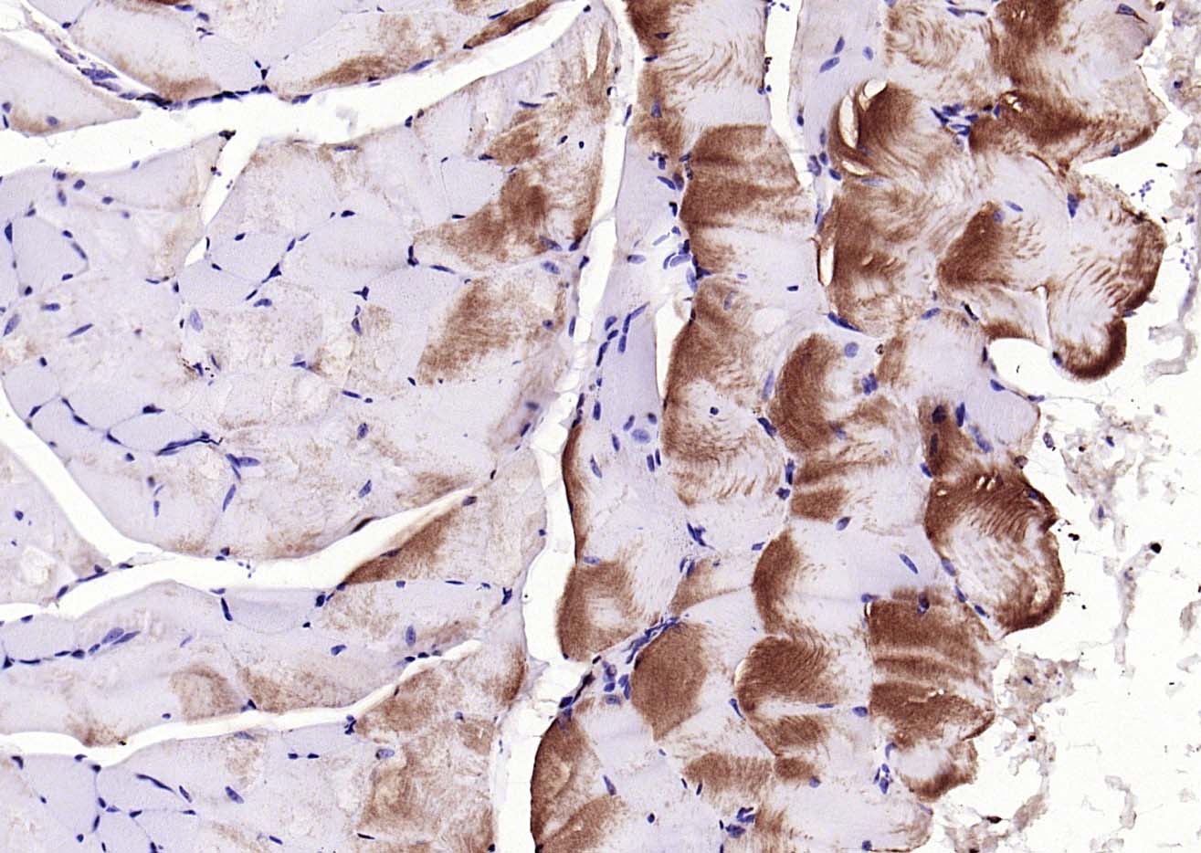
Paraformaldehyde-fixed, paraffin embedded (RAT skeletal muscle); Antigen retrieval by boiling in sodium citrate buffer (pH6.0) for 15min; Block endogenous peroxidase by 3% hydrogen peroxide for 20 minutes; Blocking buffer (normal goat serum) at 37°C for 30min; Antibody incubation with (CACNA1S) Polyclonal Antibody, Unconjugated (bs-9925R-Bio) at 1:200 overnight at 4°C, followed by operating according to SP Kit(Rabbit) (sp-0023) instructionsand DAB staining.
版权所有 2004-2026 www.bioss.com.cn 北京博奥森生物技术有限公司
通过国际质量管理体系ISO 9001:2015 GB/T 19001-2016    证书编号: 00124Q34771R2M/1100
通过国际医疗器械-质量管理体系ISO 13485:2016 GB/T 42061-2022     证书编号: CQC24QY20047R0M/1100
京ICP备05066980号-1         京公网安备110107000727号