扫码关注公众号           扫码咨询技术支持           扫码咨询技术服务
  
客服热线:400-901-9800  客服QQ:4009019800  技术答疑  技术支持  质量反馈  人才招聘  关于我们  联系我们
产品中心-北京博奥森生物技术有限公司
首页 > 产品中心 > 标记一抗 > 产品信息
Rabbit Anti-Integrin Alpha V + Beta 3 (CD51+CD61)/HRP Conjugated antibody (bs-1310R-HRP)
订购热线:400-901-9800
订购邮箱:sales@bioss.com.cn
订购QQ:  400-901-9800
技术支持:techsupport@bioss.com.cn
说 明 书: 100ul  
100ul/2980.00元
大包装/询价

产品编号 bs-1310R-HRP
英文名称 Rabbit Anti-Integrin Alpha V + Beta 3 (CD51+CD61)/HRP Conjugated antibody
中文名称 辣根过氧化物酶标记的整合素αVβ3抗体
别    名 CD51 + CD61; CD51; CD61; GP3A; GPIIIa; integrin alpha v; integrin beta 3; intregrin alpha v beta 3; ITGAV; ITGB3; Platelet membrane glycoprotein IIIa; Vitronectin receptor alpha subunit; VNRA; Antigen identified by monoclonal antibody L230; CD51 antigen; CD61 antigen; DKFZp686A08142; Integrin alpha V (vitronectin receptor, alpha polypeptide, antigen CD51); integrin alpha v; Integrin beta 3 (platelet glycoprotein IIIa, antigen CD61); Integrin beta chain beta 3; intregrin alpha v beta 3; ITGAV; MSK8; Platelet glycoprotein IIIa; Platelet membrane glycoprotein IIIa; Vitronectin receptor alpha subunit; Vitronectin receptor subunit alpha.  
规格价格 100ul/2980元 购买        大包装/询价
说 明 书 100ul  
研究领域 细胞生物  免疫学  信号转导  干细胞  细胞粘附分子  
抗体来源 Rabbit
克隆类型 Polyclonal
交叉反应 Human, Mouse, Rat, 
产品应用 WB=1:500-2000 ELISA=1:100-1000 IHC-P=1:50-200 IHC-F=1:50-200 
not yet tested in other applications.
optimal dilutions/concentrations should be determined by the end user.
性    状 Lyophilized or Liquid
浓    度 1mg/ml
免 疫 原 KLH conjugated synthetic peptide derived from human Integrin Alpha V + Beta 3
亚    型 IgG
纯化方法 affinity purified by Protein A
储 存 液 0.01M TBS(pH7.4) with 1% BSA, 0.03% Proclin300 and 50% Glycerol.
保存条件 Store at -20 °C for one year. Avoid repeated freeze/thaw cycles. The lyophilized antibody is stable at room temperature for at least one month and for greater than a year when kept at -20°C. When reconstituted in sterile pH 7.4 0.01M PBS or diluent of antibody the antibody is stable for at least two weeks at 2-4 °C.
产品介绍 background:
Integrins are integral cell-surface proteins composed of an alpha chain and a beta chain. They are known to participate in cell adhesion as well as cell-surface mediated signalling. Integrins are heterodimeric integral membrane proteins composed of an alpha chain and a beta chain.
CD51 encodes integrin alpha chain V. The I-domain containing integrin alpha V undergoes post-translational cleavage to yield disulfide-linked heavy and light chains, that combine with multiple integrin beta chains to form different integrins. The CD61 protein product is the integrin beta chain beta 3. Integrin beta 3 is found along with the alpha IIb chain in platelets.
Integrin alpha V/beta 3 is a receptor for cytotactin, fibronectin, laminin, matrix metalloproteinase 2, osteopontin, osteomodulin, prothrombin, thrombospondin, vitronectin and von Willebrand factor. Integrin alpha V/beta 3 recognizes the sequence R-G-D in a wide array of ligands. The alpha V integrins are receptors for vitronectin, cytotactin, fibronectin, fibrinogen, laminin, matrix metalloproteinase 2, osteopontin, osteomodulin, prothrombin, thrombospondin and von Willebrand factor. They recognize the sequence R-G-D in a wide array of ligands.

Subcellular Location:
Cell Membrane; single-pass type I membrane protein.

Database links:

Entrez Gene: 3685 Human

Entrez Gene: 3690 Human

Omim: 173470 Human

Omim: 193210 Human

SwissProt: P05106 Human

SwissProt: P06756 Human

Unigene: 218040 Human

Unigene: 436873 Human



Important Note:
This product as supplied is intended for research use only, not for use in human, therapeutic or diagnostic applications.

整合素αVβ3为二聚体的跨膜糖蛋白质,可以调节肿瘤细胞在多种细胞外基质蛋白中的粘附和迁移,在被激活的内皮细胞中有较高的表达,并在新生血管生成过程中发挥优势。
整合素αVβ3在细胞外的信号传入细胞内调节细胞生长、改变细胞形态、影响细胞运动, 并在肿瘤侵袭和转移的过程中起重要作用.整合素αVβ3是特异性表达在血管内皮细胞表面的粘附因子。
产品图片
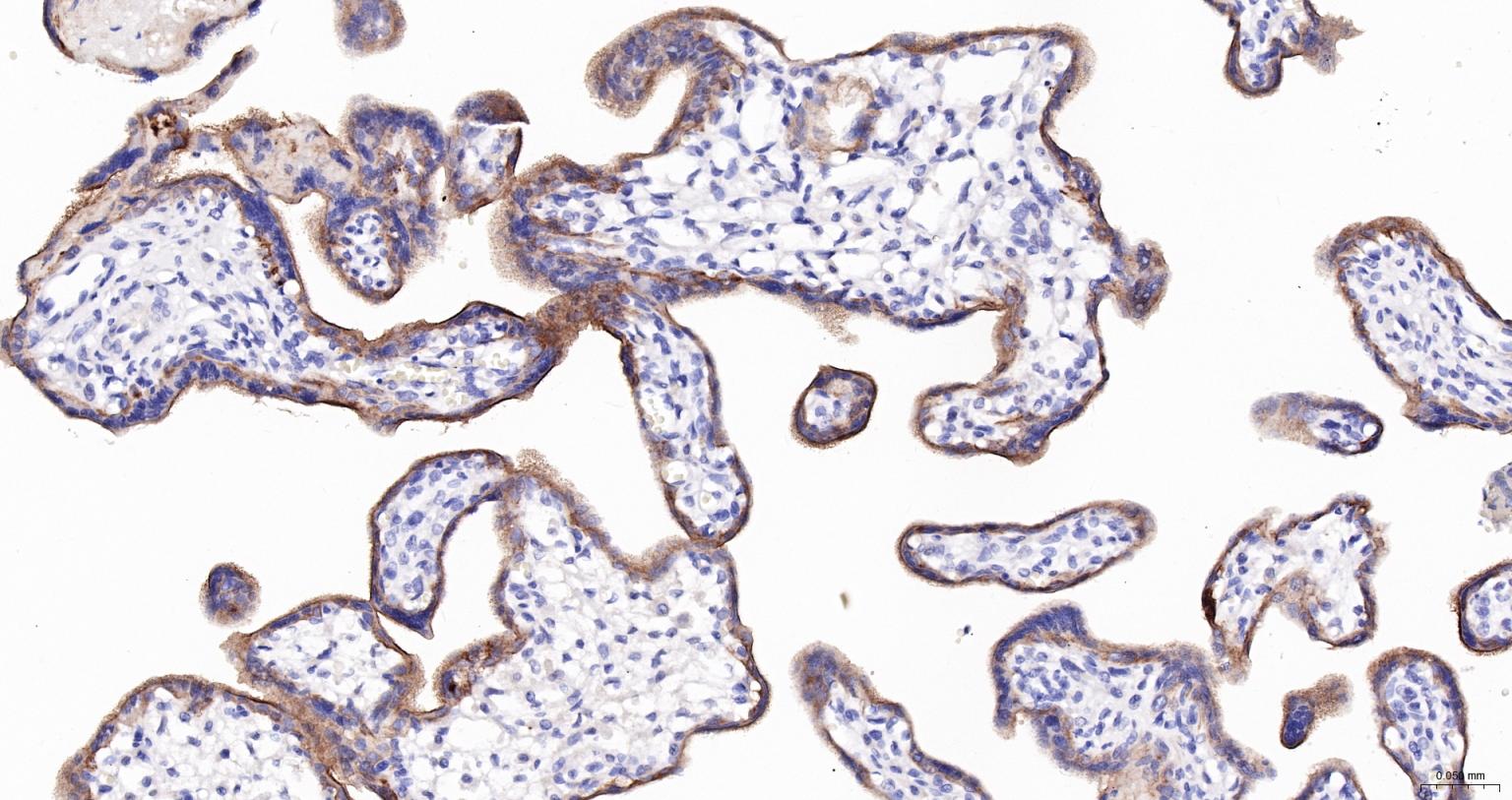
Paraformaldehyde-fixed, paraffin embedded Human Placenta; Antigen retrieval by boiling in sodium citrate buffer (pH6.0) for 15 min; The section was incubated with Integrin Alpha V Polyclonal Antibody (bs-1310R-HRP) at 1:200 overnight at 4°C, and DAB (C-0010) staining.
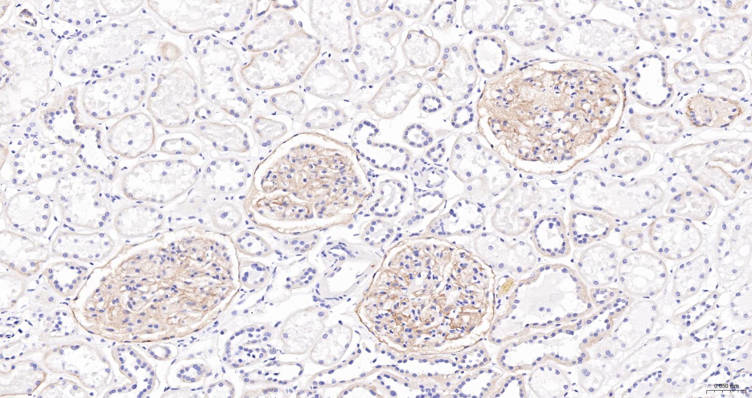
Paraformaldehyde-fixed, paraffin embedded Human Kidney; Antigen retrieval by boiling in sodium citrate buffer (pH6.0) for 15 min; The section was incubated with Integrin Alpha V Polyclonal Antibody (bs-1310R-HRP) at 1:200 overnight at 4°C, and DAB (C-0010) staining.
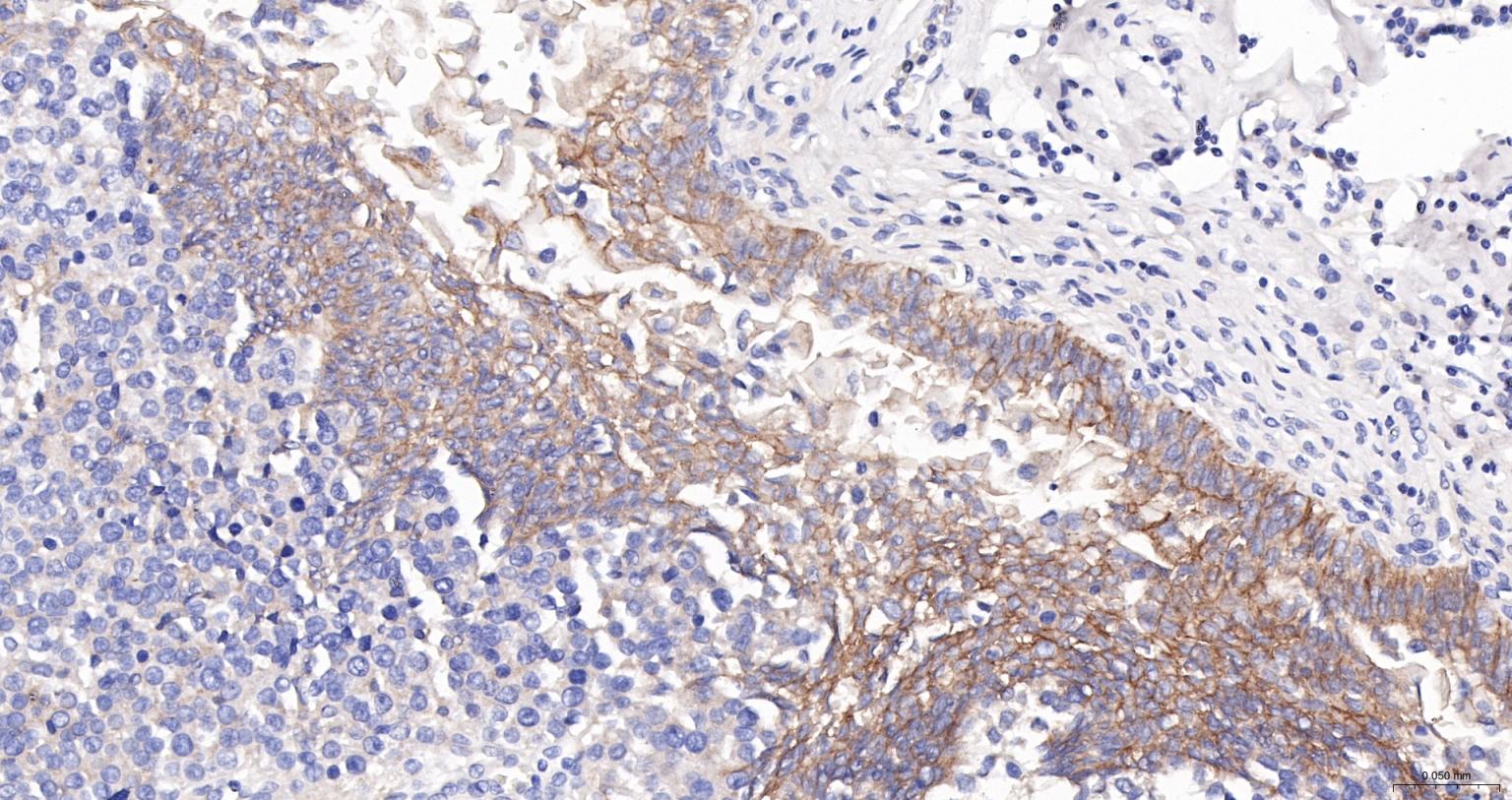
Paraformaldehyde-fixed, paraffin embedded Human Invasive urothelial carcinoma of bladder; Antigen retrieval by boiling in sodium citrate buffer (pH6.0) for 15 min; The section was incubated with Integrin Alpha V Polyclonal Antibody (bs-1310R-HRP) at 1:200 overnight at 4°C, and DAB (C-0010) staining.
版权所有 2004-2026 www.bioss.com.cn 北京博奥森生物技术有限公司
通过国际质量管理体系ISO 9001:2015 GB/T 19001-2016    证书编号: 00124Q34771R2M/1100
通过国际医疗器械-质量管理体系ISO 13485:2016 GB/T 42061-2022     证书编号: CQC24QY20047R0M/1100
京ICP备05066980号-1         京公网安备110107000727号