扫码关注公众号           扫码咨询技术支持           扫码咨询技术服务
  
客服热线:400-901-9800  客服QQ:4009019800  技术答疑  技术支持  质量反馈  人才招聘  关于我们  联系我们
产品中心-北京博奥森生物技术有限公司
首页 > 产品中心 > 一抗 > 产品信息
IL37 | IL-37 Rabbit pAb (bs-42561R)  
订购热线:400-901-9800
订购邮箱:sales@bioss.com.cn
订购QQ:  400-901-9800
技术支持:techsupport@bioss.com.cn
50ul/1180.00元
100ul/1980.00元
200ul/2800.00元
大包装/询价

产品编号 bs-42561R
英文名称 IL37 | IL-37 Rabbit pAb
中文名称 白细胞介素37抗体
别    名 FIL1; FIL1(ZETA); FIL1Z; IL-1F7; IL-1H; IL-1H4; IL-1RP1; IL-23; IL-37; IL1F7; IL1H4; IL1RP1; IL37_HUMAN; IL37; FIL1 zeta; IL-1X; Interleukin-1 family member 7 (IL-1F7); Interleukin-1 homolog 4 (IL-1H | IL-1H4); Interleukin-1 zeta (IL-1 zeta); Interleukin-1-related protein (IL-1RP1);   
抗体来源 Rabbit
克隆类型 Polyclonal
克 隆 号
交叉反应 Human
产品应用 IHC-P=1:100-500,IHC-F=1:100-500,IF=1:100-500,ELISA=1:5000-10000
not yet tested in other applications.
optimal dilutions/concentrations should be determined by the end user.
理论分子量 24 kDa
性    状 Liquid
浓    度 1mg/ml
免 疫 原 Recombinant human IL37 protein: 27-192/192 
亚    型 IgG
纯化方法 affinity purified by Protein A
缓 冲 液 0.01M TBS (pH7.4) with 1% BSA, 0.02% Proclin300 and 50% Glycerol.
保存条件 Shipped at 4℃. Store at -20℃ for one year. Avoid repeated freeze/thaw cycles.
注意事项 This product as supplied is intended for research use only, not for use in human, therapeutic or diagnostic applications.
PubMed PubMed
产品介绍 The protein encoded by this gene is a member of the interleukin 1 cytokine family. This cytokine can bind to, and may be a ligand for interleukin 18 receptor (IL18R1/IL-1Rrp). This cytokine also binds to interleukin 18 binding protein (IL18BP), an inhibitory binding protein of interleukin 18 (IL18), and subsequently forms a complex with IL18 receptor beta subunit, and through which it inhibits the activity of IL18. This gene along with eight other interleukin 1 family genes form a cytokine gene cluster on chromosome 2. Five alternatively spliced transcript variants encoding distinct isoforms have been reported. [provided by RefSeq, Jul 2008]

SWISS:
Q9NZH6

Gene ID:
27178

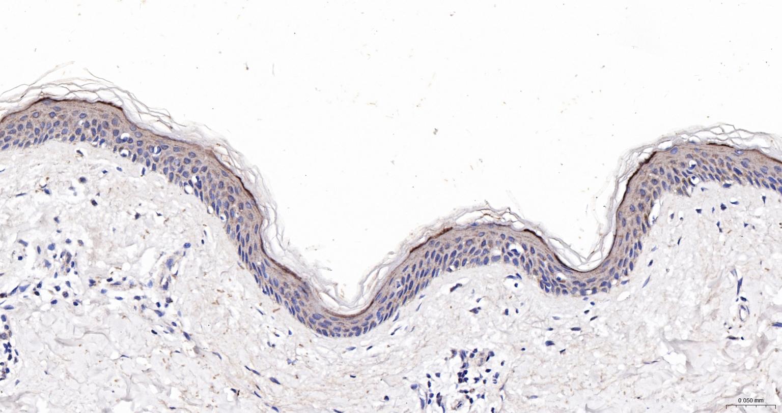
产品图片
Paraformaldehyde-fixed, paraffin embedded Human Skin; Antigen retrieval by boiling in sodium citrate buffer (pH6.0) for 15 min; The section was incubated with IL-37 Polyclonal Antibody, Unconjugated (bs-42561R) at 1:200 overnight at 4°C, followed by conjugation to the bs-0295G-HRP and DAB (C-0010) staining.
Paraformaldehyde-fixed, paraffin embedded Human Testicles; Antigen retrieval by boiling in sodium citrate buffer (pH6.0) for 15 min; The section was incubated with IL-37 Polyclonal Antibody, Unconjugated (bs-42561R) at 1:200 overnight at 4°C, followed by conjugation to the bs-0295G-HRP and DAB (C-0010) staining.
Paraformaldehyde-fixed, paraffin embedded Human purulent appendicitis; Antigen retrieval by boiling in sodium citrate buffer (pH6.0) for 15 min; The section was incubated with IL-37 Polyclonal Antibody, Unconjugated (bs-42561R) at 1:200 overnight at 4°C, followed by conjugation to the bs-0295G-HRP and DAB (C-0010) staining.
Paraformaldehyde-fixed, paraffin embedded Human chronic cervicitis; Antigen retrieval by boiling in sodium citrate buffer (pH6.0) for 15 min; The section was incubated with IL-37 Polyclonal Antibody, Unconjugated (bs-42561R) at 1:200 overnight at 4°C, followed by conjugation to the bs-0295G-HRP and DAB (C-0010) staining.
版权所有 2004-2026 www.bioss.com.cn 北京博奥森生物技术有限公司
通过国际质量管理体系ISO 9001:2015 GB/T 19001-2016    证书编号: 00124Q34771R2M/1100
通过国际医疗器械-质量管理体系ISO 13485:2016 GB/T 42061-2022     证书编号: CQC24QY20047R0M/1100
京ICP备05066980号-1         京公网安备110107000727号