扫码关注公众号           扫码咨询技术支持           扫码咨询技术服务
  
客服热线:400-901-9800  客服QQ:4009019800  技术答疑  技术支持  质量反馈  人才招聘  关于我们  联系我们
产品中心-北京博奥森生物技术有限公司
首页 > 产品中心 > 试剂盒 > 产品信息
Rat MOG Ready-To-Use IHC Kit (IHC0630R)  
订购热线:400-901-9800
订购邮箱:sales@bioss.com.cn
订购QQ:  400-901-9800
技术支持:techsupport@bioss.com.cn
50T/3200.00元
大包装/询价

产品编号 IHC0630R
英文名称 Rat MOG Ready-To-Use IHC Kit
中文名称 大鼠髓鞘少树突胶质细胞糖蛋白即用型免疫组化试剂盒
别    名 B230317G11Rik; BTN6; BTNL11; NRCLP7; MOG(35-55); myelin oligo-dendrocyte glycoprotein-MOG; MGC26137; MOG alpha 6; MOG; MOGIG2; Myelin oligodendrocyte glycoprotein  
克 隆 号
适用样品基质 FFPE tissue
保存条件 Please store components at the temperatures indicated on the individual tube labels. The kit is stable for 6 months from the date of receipt.
产品介绍 The product of this gene is a membrane protein expressed on the oligodendrocyte cell surface and the outermost surface of myelin sheaths. Due to this localization, it is a primary target antigen involved in immune-mediated demyelination. This protein may be involved in completion and maintenance of the myelin sheath and in cell-cell communication. Alternatively spliced transcript variants encoding different isoforms have been identified.

SWISS:
Q16653

Gene ID:
4340

产品图片
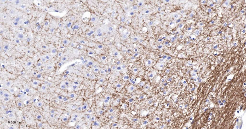
Immunohistochemical analysis of paraffin embedded Rat brain tissue slide using IHC0630R (Rat MOG IHC Kit).
Immunohistochemical analysis of paraffin embedded Rat lung tissue slide using IHC0630R (Rat MOG IHC Kit).
版权所有 2004-2026 www.bioss.com.cn 北京博奥森生物技术有限公司
通过国际质量管理体系ISO 9001:2015 GB/T 19001-2016    证书编号: 00124Q34771R2M/1100
通过国际医疗器械-质量管理体系ISO 13485:2016 GB/T 42061-2022     证书编号: CQC24QY20047R0M/1100
京ICP备05066980号-1         京公网安备110107000727号