扫码关注公众号           扫码咨询技术支持           扫码咨询技术服务
  
客服热线:400-901-9800  客服QQ:4009019800  技术答疑  技术支持  质量反馈  人才招聘  关于我们  联系我们
产品中心-北京博奥森生物技术有限公司
首页 > 产品中心 > 一抗 > 产品信息
Anti-human IFNa1 (Chinese CDC patent Anti-human Interferon Alpha Biosimilar) (BIO0459SM)  
订购热线:400-901-9800
订购邮箱:sales@bioss.com.cn
订购QQ:  400-901-9800
技术支持:techsupport@bioss.com.cn
1mg/询价
5mg/询价
20mg/询价
大包装/询价

产品编号 BIO0459SM
英文名称 Anti-human IFNa1 (Chinese CDC patent Anti-human Interferon Alpha Biosimilar)
中文名称
抗体来源
克隆类型 Monoclonal
克 隆 号
交叉反应 Human
产品应用
not yet tested in other applications.
optimal dilutions/concentrations should be determined by the end user.
理论分子量 145 kDa
性    状 Lyophilized
亚    型 Human IgG1
纯化方法 Protein A
保存条件 For long term storage, the produce should be stored at -20°C or lower.
注意事项 This product as supplied is intended for research use only, not for use in human, therapeutic or diagnostic applications.
PubMed PubMed
产品介绍
产品图片
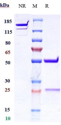
The purity of Anti-IFNa1 Reference Antibody (Chinese CDC patent anti-Interferon Alpha) is more than 95%, determined by SEC-HPLC.
Anti-IFNa1 Reference Antibody (Chinese CDC patent anti-Interferon Alpha) on SDS-PAGE under reducing (R) condition. The purity of the protein is greater than 95%.
版权所有 2004-2026 www.bioss.com.cn 北京博奥森生物技术有限公司
通过国际质量管理体系ISO 9001:2015 GB/T 19001-2016    证书编号: 00124Q34771R2M/1100
通过国际医疗器械-质量管理体系ISO 13485:2016 GB/T 42061-2022     证书编号: CQC24QY20047R0M/1100
京ICP备05066980号-1         京公网安备110107000727号