扫码关注公众号           扫码咨询技术支持           扫码咨询技术服务
  
客服热线:400-901-9800  客服QQ:4009019800  技术答疑  技术支持  质量反馈  关于我们  联系我们
产品中心-北京博奥森生物技术有限公司
首页 > 产品中心 > 一抗 > 产品信息
Phospho-SIRT1 (Ser47) Recombinant Rabbit mAb (bsm-54566R)  
订购热线:400-901-9800
订购邮箱:sales@bioss.com.cn
订购QQ:  400-901-9800
技术支持:techsupport@bioss.com.cn
25ul/800.00元
50ul/1400.00元
100ul/2500.00元
大包装/询价

产品编号 bsm-54566R
英文名称 Phospho-SIRT1 (Ser47) Recombinant Rabbit mAb
中文名称 磷酸化沉默调节蛋白1重组兔单抗
别    名 SIR2L1; NAD-dependent protein deacetylase sirtuin-1; EC:2.3.1.286; hSIRT1; NAD-dependent protein deacylase sirtuin-1; Regulatory protein SIR2 homolog 1; SIR2-like protein 1(hSIR2); SirtT1 75 kDa fragment; SIR1_HUMAN;  
产品类型 磷酸化抗体 重组兔单抗 
抗体来源 Rabbit
克隆类型 Recombinant
克 隆 号
交叉反应 Human (predicted: Mouse,Rat)
产品应用 WB=1:1000,IHC-P=1:50-200,IHC-F=1:400-800,IF=1:100-500,ICC/IF=1:100-500
not yet tested in other applications.
optimal dilutions/concentrations should be determined by the end user.
理论分子量 81 kDa
检测分子量
细胞定位 细胞核 细胞浆 
性    状 Liquid
浓    度 1mg/ml
免 疫 原 KLH conjugated Synthesised phosphopeptide derived from human SirT1 around the phosphorylation site of Ser47: R(p-S)PG 
亚    型 IgG
纯化方法 affinity purified by Protein A
缓 冲 液 0.01M TBS (pH7.4) with 1% BSA, 0.02% Proclin300 and 50% Glycerol.
保存条件 Shipped at 4℃. Store at -20℃ for one year. Avoid repeated freeze/thaw cycles.
注意事项 This product as supplied is intended for research use only, not for use in human, therapeutic or diagnostic applications.
PubMed PubMed
产品介绍 This gene encodes a member of the sirtuin family of proteins, homologs to the yeast Sir2 protein. Members of the sirtuin family are characterized by a sirtuin core domain and grouped into four classes. The functions of human sirtuins have not yet been determined; however, yeast sirtuin proteins are known to regulate epigenetic gene silencing and suppress recombination of rDNA. Studies suggest that the human sirtuins may function as intracellular regulatory proteins with mono-ADP-ribosyltransferase activity. The protein encoded by this gene is included in class I of the sirtuin family. Alternative splicing results in multiple transcript variants. [provided by RefSeq, Dec 2008]

Function:
SirtT1 75 kDa fragment: catalytically inactive 75SirT1 may be involved in regulation of apoptosis. May be involved in protecting chondrocytes from apoptotic death by associating with cytochrome C and interfering with apoptosome assembly.

Subunit:
Found in a complex with PCAF and MYOD1 (By similarity). Component of the eNoSC complex, composed of SIRT1, SUV39H1 and RRP8. Interacts with HES1, HEY2 and PML. Interacts with RPS19BP1/AROS. Interacts with KIAA1967/DBC1 (via N-terminus); the interaction disrupts the interaction between SIRT1 and p53/TP53. Interacts with SETD7; the interaction induces the dissociation of SIRT1 from p53/TP53 and increases p53/TP53 activity. Interacts with MYCN, NR1I2, CREBZF, TSC2, TLE1, FOS, JUN, NR0B2, PPARG, NCOR, IRS1, IRS2 and NMNAT1. Interacts with HNF1A; the interaction occurs under nutrient restriction. Interacts with SUZ12; the interaction mediates the association with the PRC4 histone methylation complex which is specific as an association with PCR2 and PCR3 complex variants is not found. Interacts with HIV-1 tat.

Subcellular Location:
Nucleus, PML body. Cytoplasm. Note=Recruited to the nuclear bodies via its interaction with PML. Colocalized with APEX1 in the nucleus. May be found in nucleolus, nuclear euchromatin, heterochromatin and inner membrane. Shuttles between nucleus and cytoplasm.
SirtT1 75 kDa fragment: Cytoplasm. Mitochondrion.

Tissue Specificity:
Widely expressed.

Post-translational modifications:
Methylated on multiple lysine residues; methylation is enhanced after DNA damage and is dispensable for deacetylase activity toward p53/TP53.
Phosphorylated. Phosphorylated by STK4/MST1, resulting in inhibition of SIRT1-mediated p53/TP53 deacetylation. Phosphorylation by MAPK8/JNK1 at Ser-27, Ser-47, and Thr-530 leads to increased nuclear localization and enzymatic activity. Phosphorylation at Thr-530 by DYRK1A and DYRK3 acivates deacetylase activity and promotes cell survival. Phosphorylation by mammalian target of rapamycin complex 1 (mTORC1) at Ser-47 inhibits deacetylation activity. Phosphorylated by CaMK2, leading to increased p53/TP53 and NF-kappa-B p65/RELA deacetylation activity (By similarity). Phosphorylation at Ser-27 implicating MAPK9 is linked to protein stability. There is some ambiguity for some phosphosites: Ser-159/Ser-162 and Thr-544/Ser-545.
Proteolytically cleaved by cathepsin B upon TNF-alpha treatment to yield catalytic inactive but stable SirtT1 75 kDa fragment (75SirT1).
S-nitrosylated by GAPDH, leading to inhibit the NAD-dependent protein deacetylase activity (By similarity).

Similarity:
Belongs to the sirtuin family.
Contains 1 deacetylase sirtuin-type domain.

SWISS:
Q96EB6

Gene ID:
23411

Database links:

Entrez Gene: 23411 Human

Entrez Gene: 93759 Mouse

Entrez Gene: 309757 Rat

SwissProt: Q96EB6 Human

SwissProt: Q923E4 Mouse



在Sirtuin蛋白家族中,sirtuin 1参与多种新陈代谢活动,包括DNA的自我保护和修复,抑制脂质过氧化积累,抑制其他细胞凋亡相关基因的表达以及和细胞寿命相关的活动。限制摄入的热量可以加强SIRT1的表达,从而延长了寿命。
产品图片
Blocking buffer: 5% NFDM/TBST Primary Ab dilution: 1:1000 Primary Ab incubation condition: 2 hours at room temperature Secondary Ab: Goat Anti-Rabbit IgG H&L (HRP) Lysate: 1: 293+CA(-), 2: 293+CA(+) Protein loading quantity: 20 μg Exposure time: 30 s Predicted MW: 82 kDa Observed MW: 110 kDa
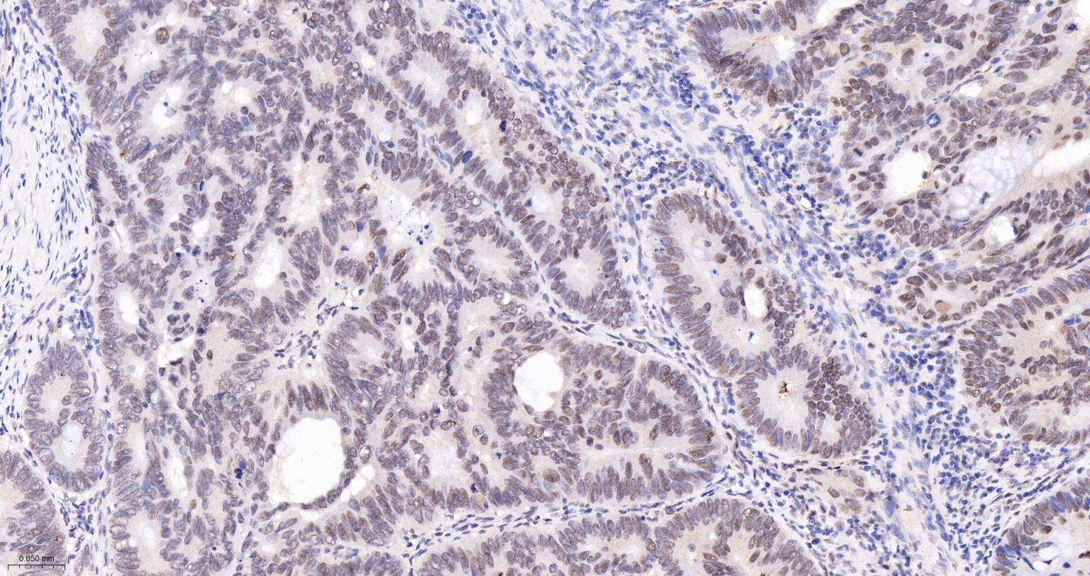
Tissue: Human gastric adenocarcinoma Section type: Formalin-fixed & Paraffin - embedded section Retrieval method: High temperature and high pressure Retrieval buffer: Tris/EDTA buffer, pH 9.0 Primary Ab dilution: 1:200 Primary Ab incubation condition: 1 hour at room temperature Secondary Ab: Anti-Rabbit and Mouse Polymer HRP (Ready to use) Counter stain: Hematoxylin (Blue) Comment: Color brown is the positive signal for bsm-54566R
Paraformaldehyde-fixed, paraffin embedded (human colon carcinoma); Antigen retrieval by boiling in sodium citrate buffer (pH6.0) for 15min; Block endogenous peroxidase by 3% hydrogen peroxide for 20 minutes; Blocking buffer (normal goat serum) at 37°C for 30min; Antibody incubation with (Phospho-SIRT1 (Ser47)) Monoclonal Antibody, Unconjugated (bsm-54566R) at 1:200 overnight at 4°C, followed by operating according to SP Kit(Rabbit) (sp-0023) instructionsand DAB staining.
Paraformaldehyde-fixed, paraffin embedded (human gastric carcinoma); Antigen retrieval by boiling in sodium citrate buffer (pH6.0) for 15min; Block endogenous peroxidase by 3% hydrogen peroxide for 20 minutes; Blocking buffer (normal goat serum) at 37°C for 30min; Antibody incubation with (Phospho-SIRT1 (Ser47)) Monoclonal Antibody, Unconjugated (bsm-54566R) at 1:200 overnight at 4°C, followed by operating according to SP Kit(Rabbit) (sp-0023) instructionsand DAB staining.
Paraformaldehyde-fixed, paraffin embedded (Human kidney); Antigen retrieval by boiling in sodium citrate buffer (pH6.0) for 15min; Block endogenous peroxidase by 3% hydrogen peroxide for 20 minutes; Blocking buffer (normal goat serum) at 37°C for 30min; Antibody incubation with (Phospho-SIRT1 (Ser47)) Monoclonal Antibody, Unconjugated (bsm-54566R) at 1:200 overnight at 4°C, followed by operating according to SP Kit(Rabbit) (sp-0023) instructionsand DAB staining.
Paraformaldehyde-fixed, paraffin embedded (human lung carcinoma); Antigen retrieval by boiling in sodium citrate buffer (pH6.0) for 15min; Block endogenous peroxidase by 3% hydrogen peroxide for 20 minutes; Blocking buffer (normal goat serum) at 37°C for 30min; Antibody incubation with (Phospho-SIRT1 (Ser47)) Monoclonal Antibody, Unconjugated (bsm-54566R) at 1:200 overnight at 4°C, followed by operating according to SP Kit(Rabbit) (sp-0023) instructionsand DAB staining.
Paraformaldehyde-fixed, paraffin embedded (human cervical carcinoma); Antigen retrieval by boiling in sodium citrate buffer (pH6.0) for 15min; Block endogenous peroxidase by 3% hydrogen peroxide for 20 minutes; Blocking buffer (normal goat serum) at 37°C for 30min; Antibody incubation with (Phospho-SIRT1 (Ser47)) Monoclonal Antibody, Unconjugated (bsm-54566R) at 1:200 overnight at 4°C, followed by operating according to SP Kit(Rabbit) (sp-0023) instructionsand DAB staining.
Paraformaldehyde-fixed, paraffin embedded (human tonsil); Antigen retrieval by boiling in sodium citrate buffer (pH6.0) for 15min; Block endogenous peroxidase by 3% hydrogen peroxide for 20 minutes; Blocking buffer (normal goat serum) at 37°C for 30min; Antibody incubation with (Phospho-SIRT1 (Ser47)) Monoclonal Antibody, Unconjugated (bsm-54566R) at 1:200 overnight at 4°C, followed by operating according to SP Kit(Rabbit) (sp-0023) instructionsand DAB staining.
版权所有 2004-2026 www.bioss.com.cn 北京博奥森生物技术有限公司
通过国际质量管理体系ISO 9001:2015 GB/T 19001-2016    证书编号: 00124Q34771R2M/1100
通过国际医疗器械-质量管理体系ISO 13485:2016 GB/T 42061-2022     证书编号: CQC24QY20047R0M/1100
京ICP备05066980号-1         京公网安备110107000727号