扫码关注公众号           扫码咨询技术支持           扫码咨询技术服务
  
客服热线:400-901-9800  客服QQ:4009019800  技术答疑  技术支持  质量反馈  人才招聘  关于我们  联系我们
产品中心-北京博奥森生物技术有限公司
首页 > 产品中心 > 一抗 > 产品信息
Survivin Recombinant Rabbit mAb (bsm-54475R)  
订购热线:400-901-9800
订购邮箱:sales@bioss.com.cn
订购QQ:  400-901-9800
技术支持:techsupport@bioss.com.cn
50ul/1400.00元
100ul/2500.00元
大包装/询价

产品编号 bsm-54475R
英文名称 Survivin Recombinant Rabbit mAb
中文名称 细胞凋亡抑制因子重组兔单抗
别    名 API4; EPR-1; AAC-11; TIAP; survivin40; AP14; BIRC5_HUMAN; BIRC5; Apoptosis inhibitor 4; Apoptosis inhibitor survivin; IAP4; BIRC5_MOUSE; BIRC5_RAT;   
研究领域 肿瘤  细胞生物  免疫学  细胞凋亡  
抗体来源 Rabbit
克隆类型 Recombinant
克 隆 号 1D11
交叉反应 Mouse,Rat
产品应用 WB=1:500-2000,IHC-P=1:100-500,IHC-F=1:100-500,IF=1:100-500
not yet tested in other applications.
optimal dilutions/concentrations should be determined by the end user.
理论分子量 16 kDa
检测分子量 16
细胞定位 细胞核 细胞浆 
性    状 Liquid
浓    度 1mg/ml
免 疫 原 Recombinant mouse Survivin protein 
亚    型 IgG
纯化方法 affinity purified by Protein A
缓 冲 液 0.01M TBS (pH7.4) with 1% BSA, 0.02% Proclin300 and 50% Glycerol.
保存条件 Shipped at 4℃. Store at -20℃ for one year. Avoid repeated freeze/thaw cycles.
注意事项 This product as supplied is intended for research use only, not for use in human, therapeutic or diagnostic applications.
PubMed PubMed
产品介绍 May play a role in neoplasia. May counteract a default induction of apoptosis in G2/M phase. Interacts with tubulin. Inhibitor of caspase-3 and caspase-7. Component of the chromosomal passenger complex (CPC), a complex that acts as a key regulator of mitosis. The CPC complex has essential functions at the centromere in ensuring correct chromosome alignment and segregation and is required for chromatin-induced microtubule stabilization and spindle assembly (By similarity). Belongs to the IAP family.

Function:
Multitasking protein that has dual roles in promoting cell proliferation and preventing apoptosis. Component of a chromosome passage protein complex (CPC) which is essential for chromosome alignment and segregation during mitosis and cytokinesis. Acts as an important regulator of the localization of this complex; directs CPC movement to different locations from the inner centromere during prometaphase to midbody during cytokinesis and participates in the organization of the center spindle by associating with polymerized microtubules. The complex with RAN plays a role in mitotic spindle formation by serving as a physical scaffold to help deliver the RAN effector molecule TPX2 to microtubules. May counteract a default induction of apoptosis in G2/M phase. The acetylated form represses STAT3 transactivation of target gene promoters. May play a role in neoplasia. Inhibitor of CASP3 and CASP7. Isoform 2 and isoform 3 do not appear to play vital roles in mitosis. Isoform 3 shows a marked reduction in its anti-apoptotic effects when compared with the displayed wild-type isoform.

Subunit:
Monomer or homodimer. Exists as a homodimer in the apo state and as a monomer in the CPC-bound state. The monomer protects cells against apoptosis more efficiently than the dimer. Only the dimeric form is capable of enhancing tubulin stability in cells. When phosphorylated, interacts with HBXIP; the resulting complex binds pro-CASP9, as well as active CASP9, but much less efficiently. Component of the chromosomal passenger complex (CPC) composed of at least BIRC5/survivin, CDCA8/borealin, INCENP, AURKB and AURKC. Interacts with JTB. Interacts with CDCA8 and INCENP; interaction is direct. Interacts with EVI5. Interacts with GTP-bound RAN in both the S and M phases of the cell cycle. Interacts with USP9X. Interacts with tubulin. Interacts with BIRC2/c-IAP1. The acetylated form at Lys-129 interacts with STAT3. The monomeric form deacetylated at Lys-129 interacts with XPO1/CRM1. The monomeric form interacts with XIAP/BIRC4. Both the dimeric and monomeric form can interact with DIABLO/SMAC. Interacts with BIRC6/bruce.

Subcellular Location:
Cytoplasm. Nucleus. Chromosome. Chromosome, centromere. Cytoplasm, cytoskeleton, spindle. Chromosome, centromere, kinetochore. Midbody. Note=Localizes on chromosome arms and inner centromeres from prophase through metaphase. Localizes to kinetochores in metaphase, distributes to the midzone microtubules in anaphase and at telophase, localizes exclusively to the midbody. Colocalizes with AURKB at mitotic chromosomes. Acetylation at Lys-129 directs its localization to the nucleus by enhancing homodimerization and thereby inhibiting XPO1/CRM1-mediated nuclear export.

Tissue Specificity:
Expressed only in fetal kidney and liver, and to lesser extent, lung and brain. Abundantly expressed in adenocarcinoma (lung, pancreas, colon, breast, and prostate) and in high-grade lymphomas. Also expressed in various renal cell carcinoma cell lines.

Post-translational modifications:
Ubiquitination is required for centrosomal targeting.
In vitro phosphorylation at Thr-117 by AURKB prevents interaction with INCENP and localization to mitotic chromosomes. Phosphorylation at Thr-48 by CK2 is critical for its mitotic and anti-apoptotic activities.
Acetylation at Lys-129 by CBP results in its homodimerization, while deacetylation promotes the formation of monomers which heterodimerize with XPO1/CRM1 which facilitates its nuclear export. The acetylated form represses STAT3 transactivation. The dynamic equilibrium between its acetylation and deacetylation at Lys-129 determines its interaction with XPO1/CRM1, its subsequent subcellular localization, and its ability to inhibit STAT3 transactivation.

Similarity:
Belongs to the IAP family.
Contains 1 BIR repeat.

SWISS:
O70201

Gene ID:
11799

Database links:

Entrez Gene: 332 Human

Entrez Gene: 11799 Mouse

Entrez Gene: 64041 Rat

Omim: 603352 Human

SwissProt: O15392 Human

SwissProt: O70201 Mouse

SwissProt: Q9JHY7 Rat

Unigene: 514527 Human

Unigene: 8552 Mouse

Unigene: 54471 Rat



Survivin是目前发现的最强的凋亡抑制因子,存活蛋白是细胞凋亡抑制基因家族中的一个新成员,主要表达于细胞周期中的G2/M期,在许多恶性肿瘤组织中均有表达,主要用于各种恶性肿瘤的研究。
是细胞凋亡的一种抑制因子、参与细胞凋亡调控,可以用于各种恶性肿瘤的细胞凋亡的研究。Survivin具有肿瘤特异性,只表达于肿瘤和胚胎组织,且与肿瘤细胞的分化增殖及浸润转移密切相关.
产品图片
25 ug total protein per lane of various lysates (see on figure) probed with Survivin monoclonal antibody, unconjugated (bsm-54475R) at 1:1000 dilution and 4°C overnight incubation. Followed by conjugated secondary antibody incubation at r.t. for 60 min.
Paraformaldehyde-fixed, paraffin embedded Rat Small Intestine; Antigen retrieval by boiling in sodium citrate buffer (pH6.0) for 15 min; The section was incubated with Survivin Monoclonal Antibody, Unconjugated (bsm-54475R) at 1:200 overnight at 4°C, followed by conjugation to the bs-0295G-HRP and DAB (C-0010) staining.
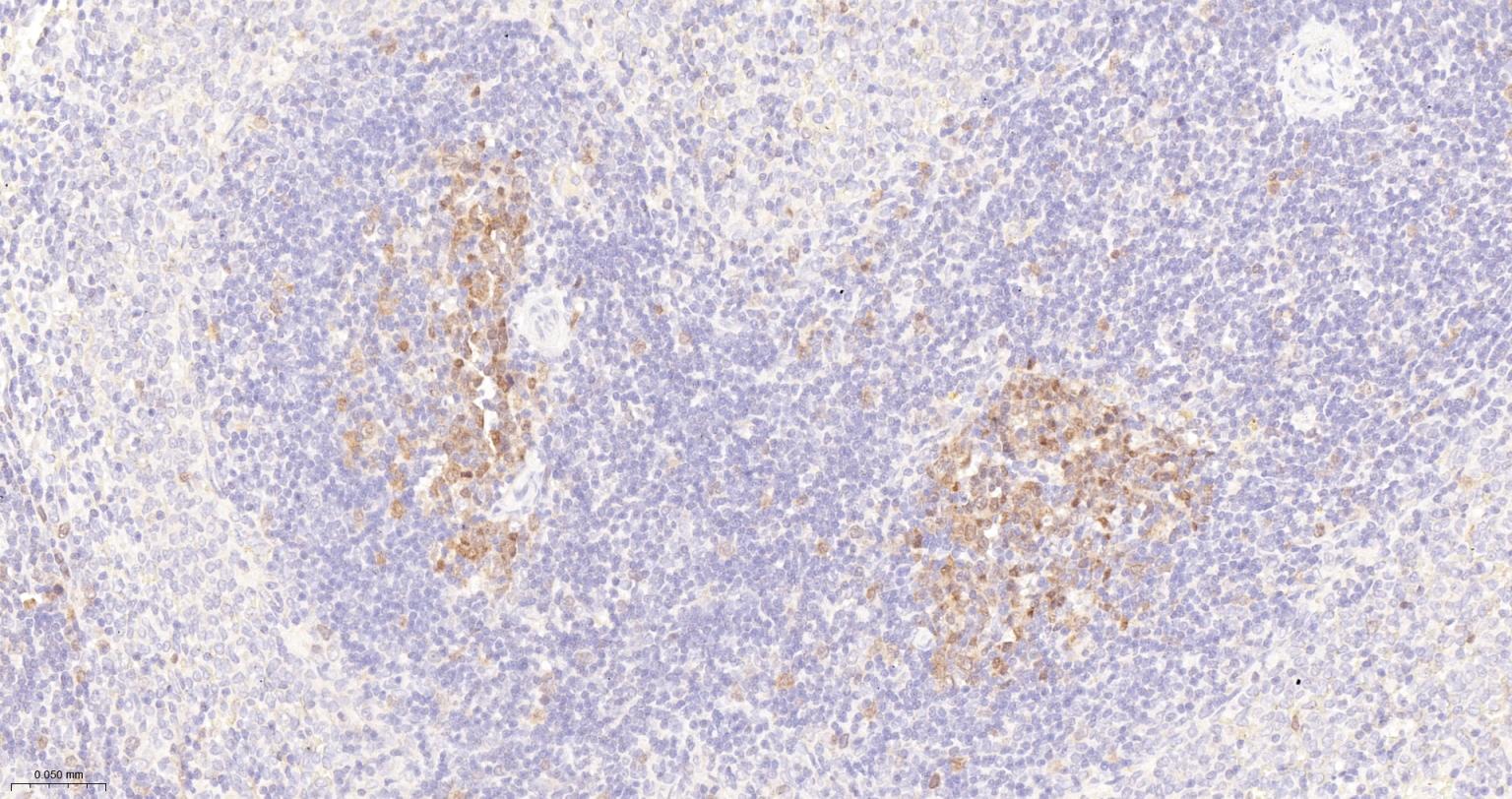
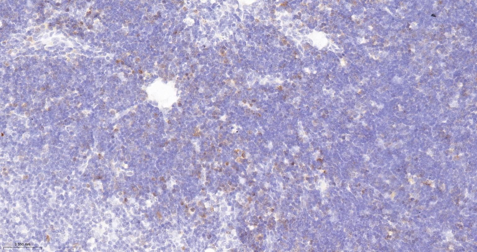
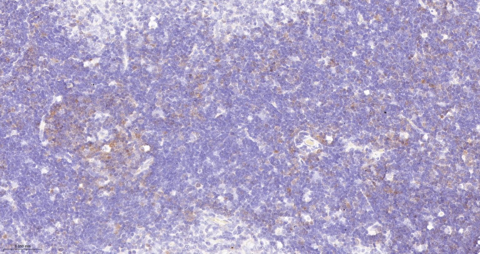
Paraformaldehyde-fixed, paraffin embedded Rat Thymus; Antigen retrieval by boiling in sodium citrate buffer (pH6.0) for 15 min; The section was incubated with Survivin Monoclonal Antibody, Unconjugated (bsm-54474R) at 1:200 overnight at 4°C, followed by conjugation to the bs-0295G-HRP and DAB (C-0010) staining.
Paraformaldehyde-fixed, paraffin embedded Mouse Thymus; Antigen retrieval by boiling in sodium citrate buffer (pH6.0) for 15 min; The section was incubated with Survivin Monoclonal Antibody, Unconjugated (bsm-54474R) at 1:200 overnight at 4°C, followed by conjugation to the bs-0295G-HRP and DAB (C-0010) staining.
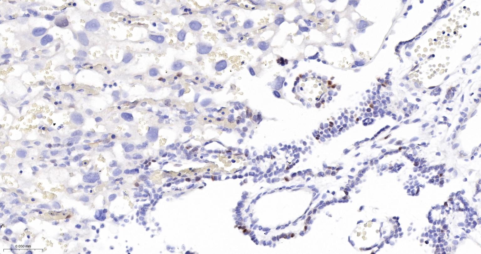
Paraformaldehyde-fixed, paraffin embedded Rat Placenta; Antigen retrieval by boiling in sodium citrate buffer (pH6.0) for 15 min; The section was incubated with Survivin Monoclonal Antibody, Unconjugated (bsm-54474R) at 1:200 overnight at 4°C, followed by conjugation to the bs-0295G-HRP and DAB (C-0010) staining.
Paraformaldehyde-fixed, paraffin embedded Mouse Placenta; Antigen retrieval by boiling in sodium citrate buffer (pH6.0) for 15 min; The section was incubated with Survivin Monoclonal Antibody, Unconjugated (bsm-54474R) at 1:200 overnight at 4°C, followed by conjugation to the bs-0295G-HRP and DAB (C-0010) staining.
Paraformaldehyde-fixed, paraffin embedded Rat Spleen; Antigen retrieval by boiling in sodium citrate buffer (pH6.0) for 15 min; The section was incubated with Survivin Monoclonal Antibody, Unconjugated (bsm-54474R) at 1:200 overnight at 4°C, followed by conjugation to the bs-0295G-HRP and DAB (C-0010) staining.
Paraformaldehyde-fixed, paraffin embedded Mouse Spleen; Antigen retrieval by boiling in sodium citrate buffer (pH6.0) for 15 min; The section was incubated with Survivin Monoclonal Antibody, Unconjugated (bsm-54474R) at 1:200 overnight at 4°C, followed by conjugation to the bs-0295G-HRP and DAB (C-0010) staining.
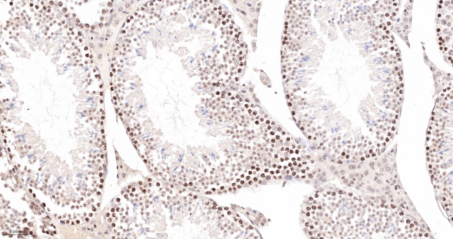
Paraformaldehyde-fixed, paraffin embedded Rat Testicles; Antigen retrieval by boiling in sodium citrate buffer (pH6.0) for 15 min; The section was incubated with Survivin Monoclonal Antibody, Unconjugated (bsm-54474R) at 1:200 overnight at 4°C, followed by conjugation to the bs-0295G-HRP and DAB (C-0010) staining.
Paraformaldehyde-fixed, paraffin embedded Mouse Testicles; Antigen retrieval by boiling in sodium citrate buffer (pH6.0) for 15 min; The section was incubated with Survivin Monoclonal Antibody, Unconjugated (bsm-54474R) at 1:200 overnight at 4°C, followed by conjugation to the bs-0295G-HRP and DAB (C-0010) staining.
版权所有 2004-2026 www.bioss.com.cn 北京博奥森生物技术有限公司
通过国际质量管理体系ISO 9001:2015 GB/T 19001-2016    证书编号: 00124Q34771R2M/1100
通过国际医疗器械-质量管理体系ISO 13485:2016 GB/T 42061-2022     证书编号: CQC24QY20047R0M/1100
京ICP备05066980号-1         京公网安备110107000727号