扫码关注公众号           扫码咨询技术支持           扫码咨询技术服务
  
客服热线:400-901-9800  客服QQ:4009019800  技术答疑  技术支持  质量反馈  人才招聘  关于我们  联系我们
产品中心-北京博奥森生物技术有限公司
首页 > 产品中心 > 一抗 > 产品信息
GAPDH Recombinant Rabbit mAb, Loading Control (bsm-52262R)  
订购热线:400-901-9800
订购邮箱:sales@bioss.com.cn
订购QQ:  400-901-9800
技术支持:techsupport@bioss.com.cn
50ul/680.00元
100ul/980.00元
500ul/4000.00元
大包装/询价

产品编号 bsm-52262R
英文名称 GAPDH Recombinant Rabbit mAb, Loading Control
中文名称 3-磷酸甘油醛脱氢酶(内参)重组兔单抗
别    名 GAPD; KNC-NDS6; G3PD; HEL-S-162eP; Gm20899; BARS-38; bb02e05; cb609; mg:bb02e05; wu:fb33a10; wu:ft80f05; G3P_CHICK; GAPDH; Peptidyl-cysteine S-nitrosylase GAPDH; 1.2.1.12; G3P_HUMAN; G3P_MOUSE; G3P_RAT; 38 kDa BFA-dependent ADP-ribosylation substrate; G3P  
Specific References  (7)     |     bsm-52262R has been referenced in 7 publications.
[IF=6.196] Cheng He. et al. Crosstalk of renal cell carcinoma cells and tumor-associated macrophages aggravates tumor progression by modulating muscleblind-like protein 2/B-cell lymphoma 2/beclin 1-mediated autophagy. CYTOTHERAPY. 2022 Oct;:  WB ;  Human.  
[IF=5.168] Feiyang Ma. et al. New insights into the interaction between duodenal toxicity and microbiota disorder under copper exposure in chicken: Involving in endoplasmic reticulum stress and mitochondrial toxicity. CHEM-BIOL INTERACT. 2022 Oct;366:110132  WB ;  Chicken.  
[IF=3.947] Ma, Wenbin. et al. CircPCNX Promotes PDGF-BB-Induced Proliferation and Migration of Human Aortic Vascular Smooth Muscle Cells Through Regulating miR-1278/DNMT1 Axis. CARDIOVASC DRUG THER. 2022 Jun;:1-13  WB ;  Human.  
[IF=3.575] Li Li. et al. Circ_LPAR3 promotes the progression of oral squamous cell carcinoma (OSCC). Biochem Bioph Res Co. 2021 Dec;:  WB ;  Human.  
[IF=3.192] Dr. Jing Tian. et al. Downregulation of SOX21-AS1 alleviated cisplatin resistance in cervical cancer through Epithelial-messenchymal transition (EMT) inhibition. REJUV RES. 2022 Aug 30  WB ;  Human.  
[IF=1.785] Jing Feng. et al. Insulin growth factor‑1 promotes the proliferation and osteogenic differentiation of bone marrow mesenchymal stem cells through the Wnt/β‑catenin pathway. Exp Ther Med. 2021 Aug;22(2):1-8  WB ;  Mouse.  
[IF=1.73] Chao Wang. et al. Inhibition of monoacylglycerol lipase restrains proliferation, migration, invasion, tumor growth and induces apoptosis in cervical cancer. 2021 Dec 07  WB ;  Human.  
研究领域 肿瘤  细胞生物  免疫学  信号转导  新陈代谢  
抗体来源 Rabbit
克隆类型 Recombinant
克 隆 号 3B5
交叉反应 Human,Mouse,Rat (predicted: Zebrafish,Monkey)
产品应用 WB=1:5000-500000,IHC-P=1:200-1000,IHC-F=1:200-1000,IF=1:200-1000,Flow-Cyt=1:100-200,ICC/IF=1:100-500
not yet tested in other applications.
optimal dilutions/concentrations should be determined by the end user.
理论分子量 38 kDa
检测分子量 38
细胞定位 细胞核 细胞浆 细胞膜 
性    状 Liquid
浓    度 1mg/ml
免 疫 原 A synthesized peptide derived from human GAPDH: 130-335/335 
亚    型 IgG
纯化方法 affinity purified by Protein A
缓 冲 液 0.01M TBS (pH7.4) with 1% BSA, 0.02% Proclin300 and 50% Glycerol.
保存条件 Shipped at 4℃. Store at -20℃ for one year. Avoid repeated freeze/thaw cycles.
注意事项 This product as supplied is intended for research use only, not for use in human, therapeutic or diagnostic applications.
PubMed PubMed
产品介绍 Glyceraldehyde 3 phosphate dehydrogenase (GAPDH) is well known as one of the key enzymes involved in glycolysis. As well as functioning as a glycolytic enzyme in cytoplasm, recent evidence suggests that mammalian GAPDH is also involved in a great number of intracellular proceses such as membrane fusion, microtubule bundling, phosphotransferase activity, nuclear RNA export, DNA replication, and DNA repair. During the last decade a lot of data appeared concerning the role of GAPDH in different pathologies including prostate cancer progression, programmed neuronal cell death, age related neuronal diseases, such as Alzheimer's and Huntington's disease. GAPDH is expressed in all cells. It is constitutively expressed in almost all tissues at high levels. There are however some physiological factors such as hypoxia and diabetes that increase GAPDH expression in certain cell types. GAPDH molecule is composed of four 36kDa subunits.

Function:
Has both glyceraldehyde-3-phosphate dehydrogenase and nitrosylase activities, thereby playing a role in glycolysis and nuclear functions, respectively. Participates in nuclear events including transcription, RNA transport, DNA replication and apoptosis. Nuclear functions are probably due to the nitrosylase activity that mediates cysteine S-nitrosylation of nuclear target proteins such as SIRT1, HDAC2 and PRKDC. Glyceraldehyde-3-phosphate dehydrogenase is a key enzyme in glycolysis that catalyzes the first step of the pathway by converting D-glyceraldehyde 3-phosphate (G3P) into 3-phospho-D-glyceroyl phosphate.

Subunit:
Homotetramer. Interacts with TPPP; the interaction is direct. Interacts (when S-nitrosylated) with SIAH1; leading to nuclear translocation. Interacts with RILPL1/GOSPEL, leading to prevent the interaction between GAPDH and SIAH1 and prevent nuclear translocation. Interacts with EIF1AD, USP25, PRKCI and WARS.

Subcellular Location:
Cytoplasm, cytosol. Nucleus. Cytoplasm, perinuclear region. Membrane. Note=Translocates to the nucleus following S-nitrosylation and interaction with SIAH1, which contains a nuclear localization signal. Postnuclear and Perinuclear regions.

Post-translational modifications:
S-nitrosylation of Cys-152 leads to interaction with SIAH1, followed by translocation to the nucleus.
ISGylated (Probable).
Sulfhydration at Cys-152 increases catalytic activity.

Similarity:
Belongs to the glyceraldehyde-3-phosphate dehydrogenase family.

SWISS:
P04406

Gene ID:
2597

Database links:

Entrez Gene: 374193 Chicken

Entrez Gene: 2597 Human

Entrez Gene: 100042025 Mouse

Entrez Gene: 14433 Mouse

Entrez Gene: 24383 Rat

Entrez Gene: 685186 Rat

Entrez Gene: 317743 Zebrafish

Omim: 138400 Human

SwissProt: P00356 Chicken

SwissProt: P04406 Human

SwissProt: P16858 Mouse

SwissProt: P04797 Rat

SwissProt: Q5XJ10 Zebrafish



产品图片
25 ug total protein per lane of various lysates (see on figure) probed with GAPDH monoclonal antibody, unconjugated (bsm-52262R) at 1:5000 dilution and 4°C overnight incubation. Followed by conjugated secondary antibody incubation at r.t. for 60 min.
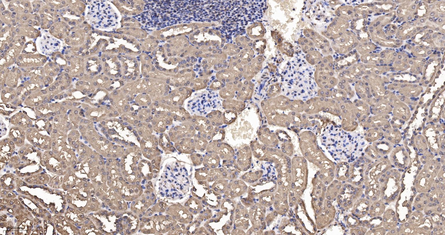
Paraformaldehyde-fixed, paraffin embedded Human Kidney; Antigen retrieval by boiling in sodium citrate buffer (pH6.0) for 15 min; The section was incubated with GAPDH Monoclonal Antibody, Unconjugated (bsm-52262R) at 1:200 overnight at 4°C, followed by conjugation to the bs-0295G-HRP and DAB (C-0010) staining.
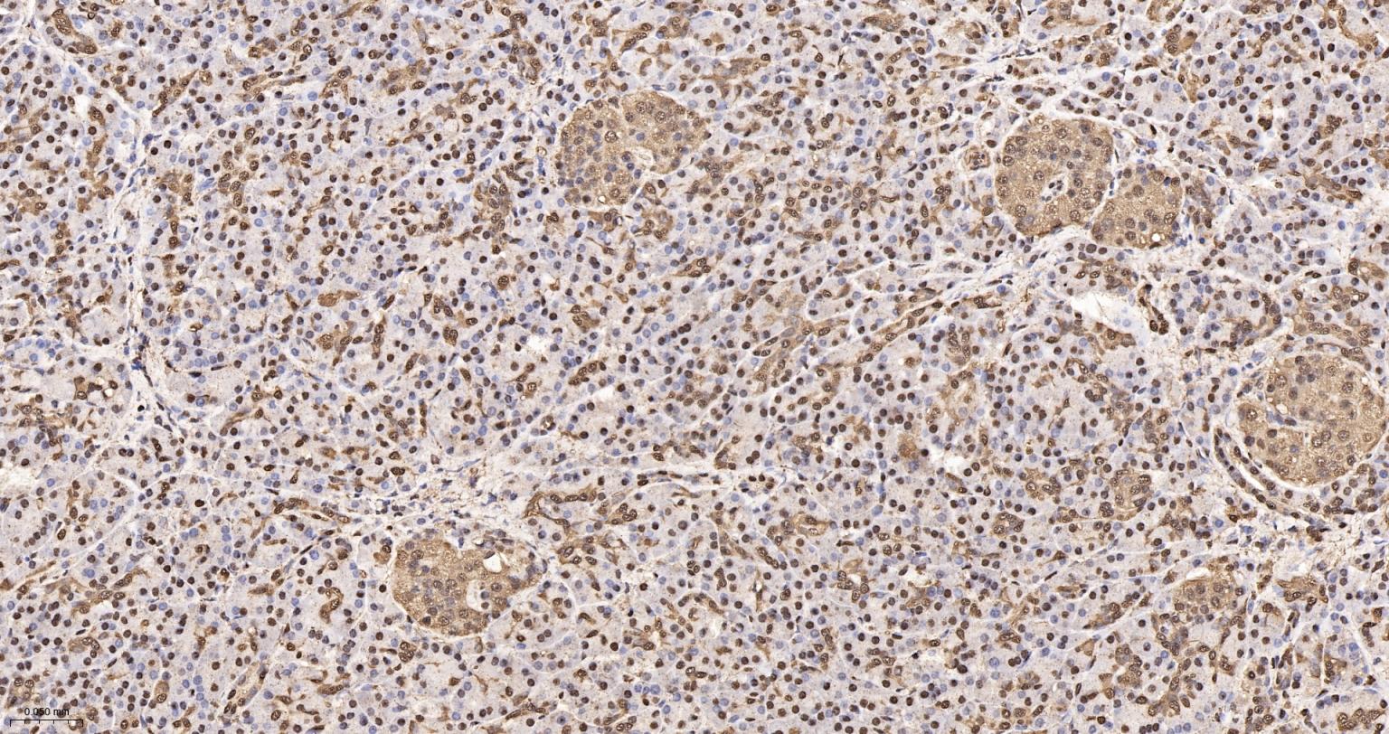
Paraformaldehyde-fixed, paraffin embedded Mouse Pancreas; Antigen retrieval by boiling in sodium citrate buffer (pH6.0) for 15 min; The section was incubated with GAPDH Monoclonal Antibody, Unconjugated (bsm-52262R) at 1:200 overnight at 4°C, followed by conjugation to the bs-0295G-HRP and DAB (C-0010) staining.
Paraformaldehyde-fixed, paraffin embedded Human Liver; Antigen retrieval by boiling in sodium citrate buffer (pH6.0) for 15 min; Antibody incubation with GAPDH Monoclonal Antibody, Unconjugated(bsm-52262R) at 1:250 overnight at 4°C, followed by conjugation to the SP Kit (Rabbit, SP-0023) and DAB (C-0010) staining.
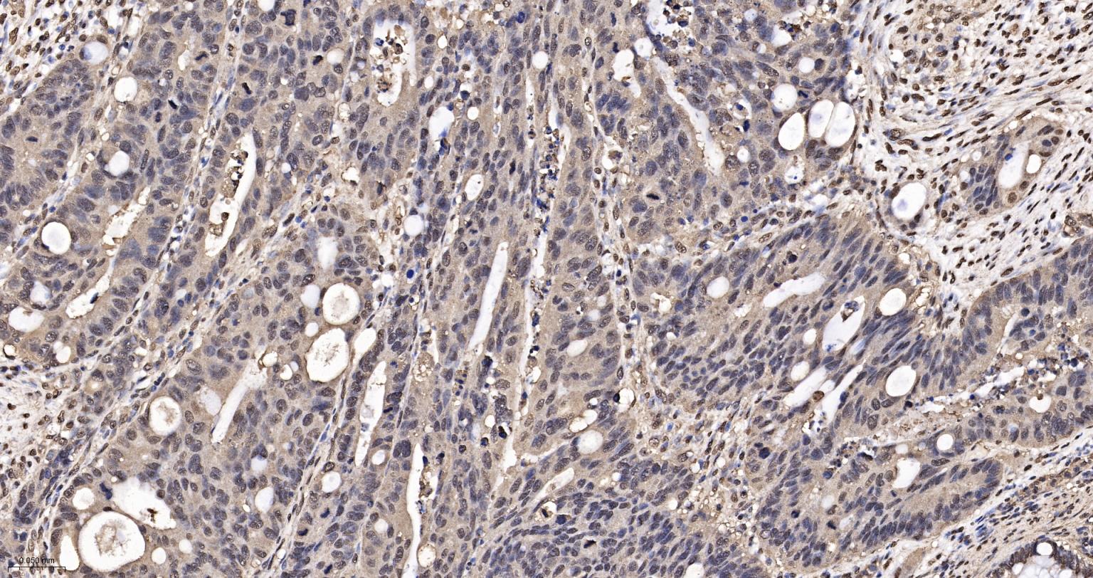
Paraformaldehyde-fixed, paraffin embedded Human Breast Cancer; Antigen retrieval by boiling in sodium citrate buffer (pH6.0) for 15 min; Antibody incubation with GAPDH Monoclonal Antibody, Unconjugated(bsm-52262R) at 1:250 overnight at 4°C, followed by conjugation to the SP Kit (Rabbit, SP-0023) and DAB (C-0010) staining.
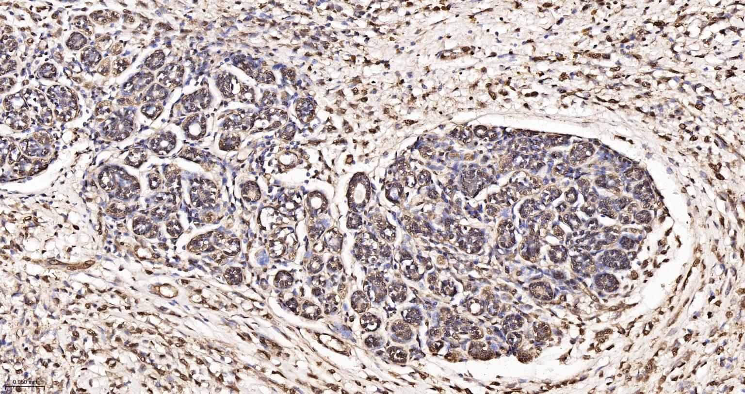
Paraformaldehyde-fixed, paraffin embedded Human Pancreas; Antigen retrieval by boiling in sodium citrate buffer (pH6.0) for 15 min; Antibody incubation with GAPDH Monoclonal Antibody, Unconjugated(bsm-52262R) at 1:250 overnight at 4°C, followed by conjugation to the SP Kit (Rabbit, SP-0023) and DAB (C-0010) staining.
Paraformaldehyde-fixed, paraffin embedded Rat Pancreas; Antigen retrieval by boiling in sodium citrate buffer (pH6.0) for 15 min; Antibody incubation with GAPDH Monoclonal Antibody, Unconjugated(bsm-52262R) at 1:250 overnight at 4°C, followed by conjugation to the SP Kit (Rabbit, SP-0023) and DAB (C-0010) staining.
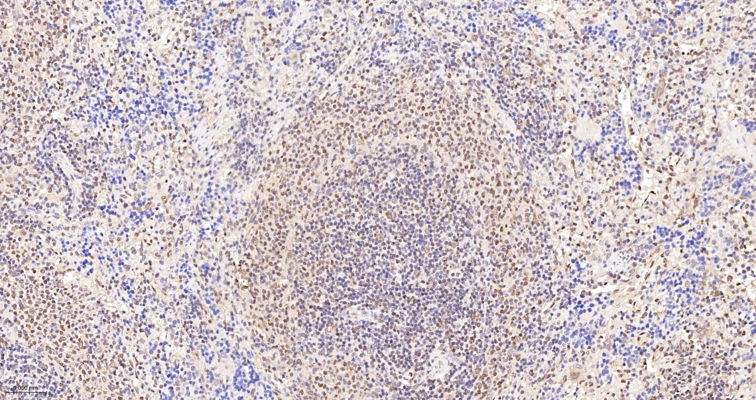
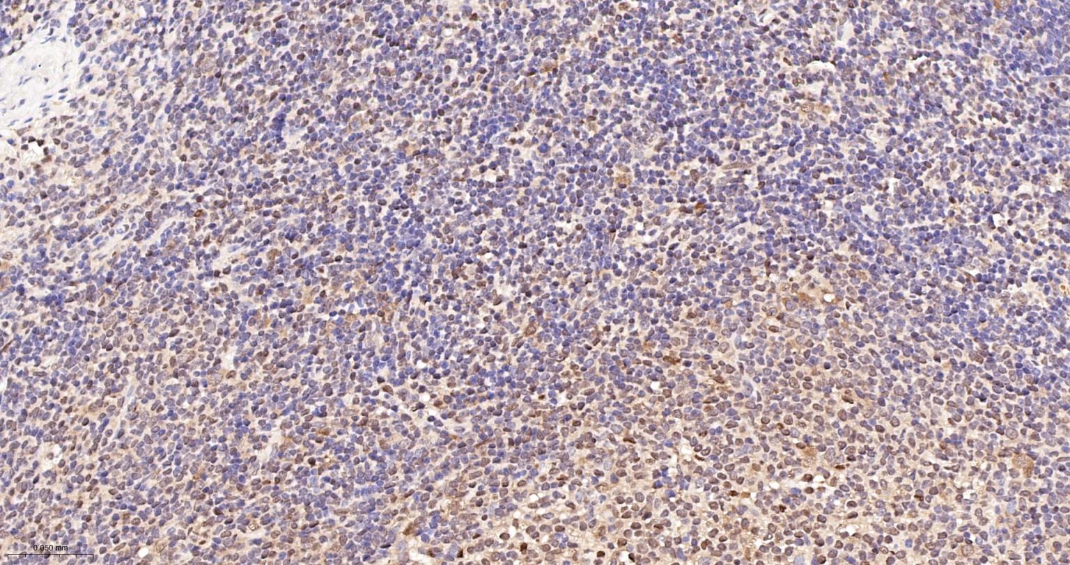
Paraformaldehyde-fixed, paraffin embedded Rat Spleen; Antigen retrieval by boiling in sodium citrate buffer (pH6.0) for 15 min; Antibody incubation with GAPDH Monoclonal Antibody, Unconjugated(bsm-52262R) at 1:200 overnight at 4°C, followed by conjugation to the SP Kit (Rabbit, SP-0023) and DAB (C-0010) staining.
Paraformaldehyde-fixed, paraffin embedded Mouse Spleen; Antigen retrieval by boiling in sodium citrate buffer (pH6.0) for 15 min; Antibody incubation with GAPDH Monoclonal Antibody, Unconjugated(bsm-52262R) at 1:200 overnight at 4°C, followed by conjugation to the SP Kit (Rabbit, SP-0023) and DAB (C-0010) staining.
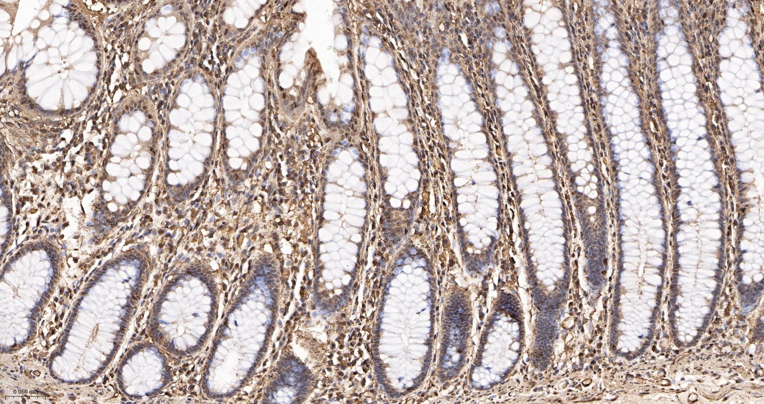
Paraformaldehyde-fixed, paraffin embedded Human Colon; Antigen retrieval by boiling in sodium citrate buffer (pH6.0) for 15 min; Antibody incubation with GAPDH Monoclonal Antibody, Unconjugated(bsm-52262R) at 1:250 overnight at 4°C, followed by conjugation to the SP Kit (Rabbit, SP-0023) and DAB (C-0010) staining.
Paraformaldehyde-fixed, paraffin embedded Rat Colon; Antigen retrieval by boiling in sodium citrate buffer (pH6.0) for 15 min; Antibody incubation with GAPDH Monoclonal Antibody, Unconjugated(bsm-52262R) at 1:250 overnight at 4°C, followed by conjugation to the SP Kit (Rabbit, SP-0023) and DAB (C-0010) staining.
Paraformaldehyde-fixed, paraffin embedded Mouse Colon; Antigen retrieval by boiling in sodium citrate buffer (pH6.0) for 15 min; Antibody incubation with GAPDH Monoclonal Antibody, Unconjugated(bsm-52262R) at 1:250 overnight at 4°C, followed by conjugation to the SP Kit (Rabbit, SP-0023) and DAB (C-0010) staining.
Paraformaldehyde-fixed, paraffin embedded Rat Testicles; Antigen retrieval by boiling in sodium citrate buffer (pH6.0) for 15 min; Antibody incubation with GAPDH Monoclonal Antibody, Unconjugated(bsm-52262R) at 1:250 overnight at 4°C, followed by conjugation to the SP Kit (Rabbit, SP-0023) and DAB (C-0010) staining.
Paraformaldehyde-fixed, paraffin embedded Mouse Testicles; Antigen retrieval by boiling in sodium citrate buffer (pH6.0) for 15 min; Antibody incubation with GAPDH Monoclonal Antibody, Unconjugated(bsm-52262R) at 1:250 overnight at 4°C, followed by conjugation to the SP Kit (Rabbit, SP-0023) and DAB (C-0010) staining.
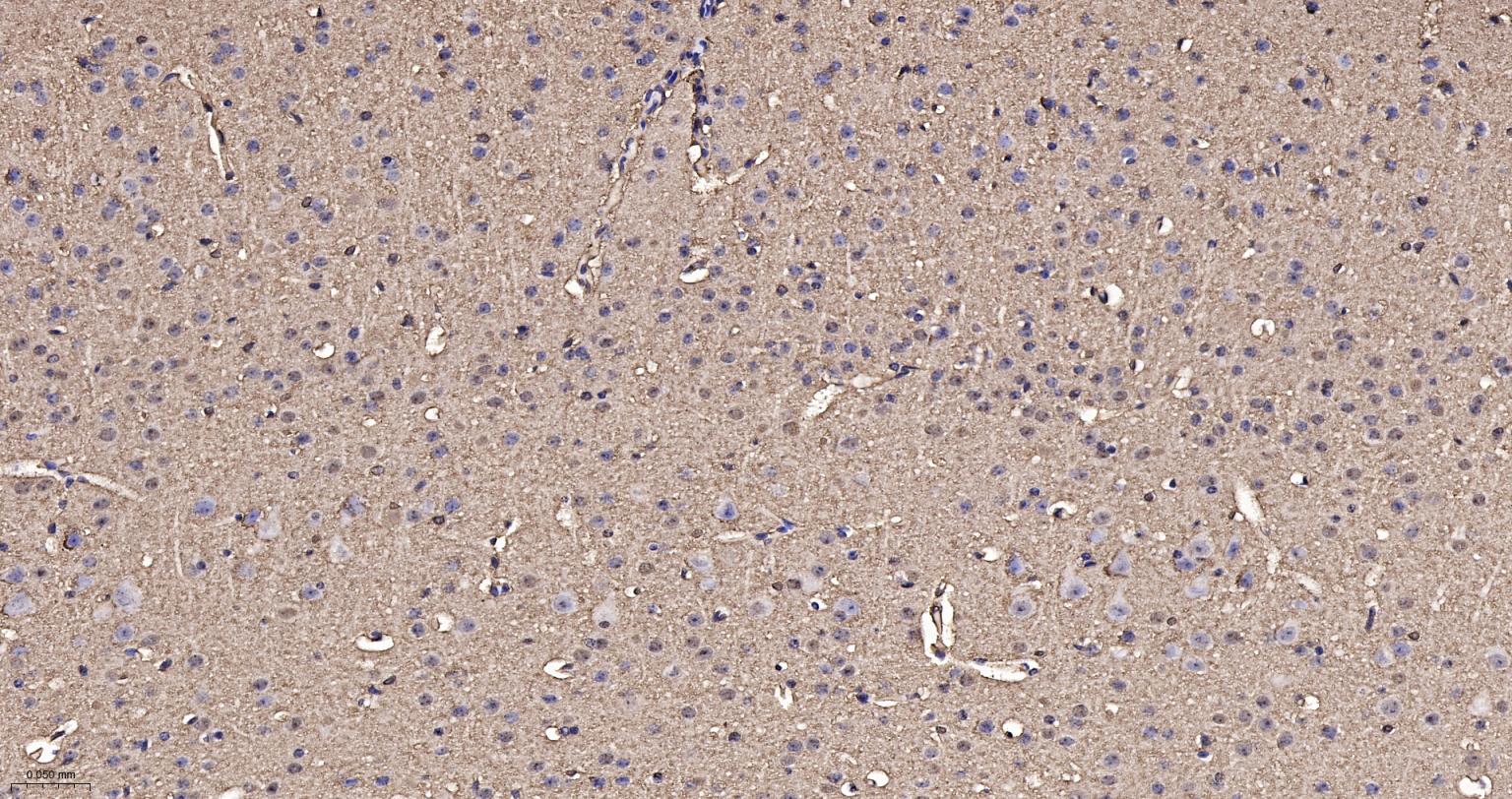
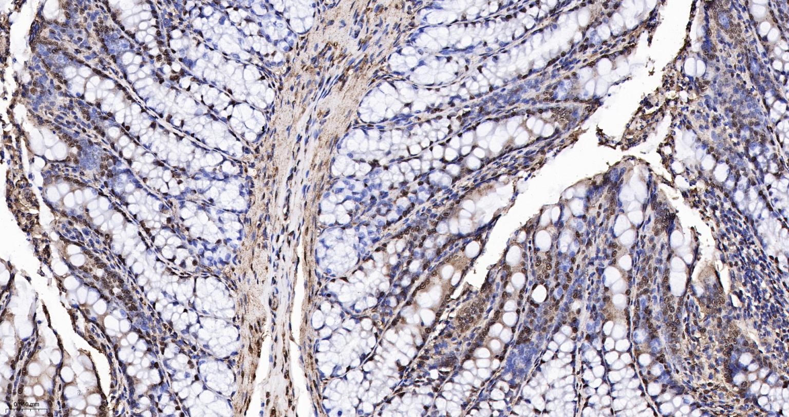
Paraformaldehyde-fixed, paraffin embedded Human Cerebrum; Antigen retrieval by boiling in sodium citrate buffer (pH6.0) for 15 min; The section was incubated with GAPDH Monoclonal Antibody, Unconjugated (bsm-52262R) at 1:200 overnight at 4°C, followed by conjugation to the bs-0295G-HRP and DAB (C-0010) staining.
Paraformaldehyde-fixed, paraffin embedded Human Colon Cancer; Antigen retrieval by boiling in sodium citrate buffer (pH6.0) for 15 min; Antibody incubation with GAPDH Monoclonal Antibody, Unconjugated(bsm-52262R) at 1:250 overnight at 4°C, followed by conjugation to the SP Kit (Rabbit, SP-0023) and DAB (C-0010) staining.
Paraformaldehyde-fixed, paraffin embedded Rat Kidney; Antigen retrieval by boiling in sodium citrate buffer (pH6.0) for 15 min; Antibody incubation with GAPDH Monoclonal Antibody, Unconjugated(bsm-52262R) at 1:250 overnight at 4°C, followed by conjugation to the SP Kit (Rabbit, SP-0023) and DAB (C-0010) staining.
Paraformaldehyde-fixed, paraffin embedded Mouse Kidney; Antigen retrieval by boiling in sodium citrate buffer (pH6.0) for 15 min; Antibody incubation with GAPDH Monoclonal Antibody, Unconjugated(bsm-52262R) at 1:250 overnight at 4°C, followed by conjugation to the SP Kit (Rabbit, SP-0023) and DAB (C-0010) staining.
Paraformaldehyde-fixed, paraffin embedded Human Spleen; Antigen retrieval by boiling in sodium citrate buffer (pH6.0) for 15 min; Antibody incubation with GAPDH Monoclonal Antibody, Unconjugated(bsm-52262R) at 1:200 overnight at 4°C, followed by conjugation to the SP Kit (Rabbit, SP-0023) and DAB (C-0010) staining.
Paraformaldehyde-fixed, paraffin embedded Rat Cerebrum; Antigen retrieval by boiling in sodium citrate buffer (pH6.0) for 15 min; Antibody incubation with GAPDH Monoclonal Antibody, Unconjugated(bsm-52262R) at 1:250 overnight at 4°C, followed by conjugation to the SP Kit (Rabbit, SP-0023) and DAB (C-0010) staining.
Paraformaldehyde-fixed, paraffin embedded Mouse Cerebrum; Antigen retrieval by boiling in sodium citrate buffer (pH6.0) for 15 min; Antibody incubation with GAPDH Monoclonal Antibody, Unconjugated(bsm-52262R) at 1:250 overnight at 4°C, followed by conjugation to the SP Kit (Rabbit, SP-0023) and DAB (C-0010) staining.
4% Paraformaldehyde-fixed HeLa (H) cell; Triton X-100 at r.t. for 20 min; Antibody incubation with (GAPDH) monoclonal Antibody, unconjugated (bsm-52262R) 1:100, 90 min at 37°C; followed by conjugated Goat Anti-Rabbit IgG antibody (green, bs-60295G-BF488) at 37°C for 90 min, DAPI (blue, C02-04002) was used to stain the cell nuclei. PBS instead of the primary antibody was used as the blank control.
4% Paraformaldehyde-fixed L-929 (M) cell; Triton X-100 at r.t. for 20 min; Antibody incubation with (GAPDH) monoclonal Antibody, unconjugated (bsm-52262R) 1:100, 90 min at 37°C; followed by conjugated Goat Anti-Rabbit IgG antibody (green, bs-60295G-BF488) at 37°C for 90 min, DAPI (blue, C02-04002) was used to stain the cell nuclei. PBS instead of the primary antibody was used as the blank control.
The HeLa (H) cells were fixed with 4% PFA (10 min at r.t.) and then permeabilized with 90% ice-cold methanol for 20 min at -20℃,the cells then were incubated in 5%BSA to block non-specific protein-protein interactions (30 min at r.t.), followed by secondary antibody incubation for 40 min at room temperature. Primary Antibody (green):Rabbit Anti-GAPDH antibody (bsm-52262R,1:100); Isotype Control (orange): Rabbit IgG (bs-0295P). Blank control (black): PBS. Acquisition of 20,000 events was performed.
The L-929 (M) cells were fixed with 4% PFA (10 min at r.t.) and then permeabilized with 90% ice-cold methanol for 20 min at -20℃,the cells then were incubated in 5%BSA to block non-specific protein-protein interactions (30 min at r.t.).Primary Antibody (green):Rabbit Anti-GAPDH antibody (bsm-52262R): 1 μg/10^6 cells; Secondary Antibody (white blue): Goat anti-Rabbit IgG-BF488 (bs-60295G-BF488): 1 μg/test. Blank control (black): PBS. Acquisition of 20,000 events was performed.
版权所有 2004-2026 www.bioss.com.cn 北京博奥森生物技术有限公司
通过国际质量管理体系ISO 9001:2015 GB/T 19001-2016    证书编号: 00124Q34771R2M/1100
通过国际医疗器械-质量管理体系ISO 13485:2016 GB/T 42061-2022     证书编号: CQC24QY20047R0M/1100
京ICP备05066980号-1         京公网安备110107000727号