扫码关注公众号           扫码咨询技术支持           扫码咨询技术服务
  
客服热线:400-901-9800  客服QQ:4009019800  技术答疑  技术支持  质量反馈  人才招聘  关于我们  联系我们
产品中心-北京博奥森生物技术有限公司
首页 > 产品中心 > 一抗 > 产品信息
phospho-JNK1/2/3(T183+T183+T221) Recombinant Rabbit mAb (bsm-52462R)  
订购热线:400-901-9800
订购邮箱:sales@bioss.com.cn
订购QQ:  400-901-9800
技术支持:techsupport@bioss.com.cn
25ul/800.00元
50ul/1400.00元
100ul/2500.00元
大包装/询价

产品编号 bsm-52462R
英文名称 phospho-JNK1/2/3(T183+T183+T221) Recombinant Rabbit mAb
中文名称 磷酸化氨基末端激酶1/2/3重组兔单抗
别    名 JNK1 & JNK2 & JNK3 (phospho-T183/T183/T221); p-JNK1 & JNK2 & JNK3; phospho-JNK1 & JNK2 & JNK3; JNK1 & JNK2 & JNK3 (phospho-Thr183/Thr183/Thr221); JNK; JNK-46; JNK1; JNK1A2; JNK21B1/2; PRKM8; SAPK1; SAPK1c; MK08_HUMAN; MAPK8; MAP kinase 8; MAPK 8; Stress-a  
Specific References  (2)     |     bsm-52462R has been referenced in 2 publications.
[IF=8.025] Ying-Xue Liu. et al. Reactive oxygen species–mediated phosphorylation of JNK is involved in the regulation of BmFerHCH on Bombyx mori nucleopolyhedrovirus proliferation. INT J BIOL MACROMOL. 2023 Apr;235:123834  IF,WB ;  Silkworm.  
[IF=2.447] Mei-Hua Jin. et al. Hispidin inhibits LPS‑induced nitric oxide production in BV‑2 microglial cells via ROS‑dependent MAPK signaling. Exp Ther Med. 2021 Sep;22(3):1-9  WB ;  Mouse.  
研究领域 肿瘤  信号转导  转录调节因子  
抗体来源 Rabbit
克隆类型 Recombinant
克 隆 号 6C10
交叉反应 Human
产品应用 IHC-P=1:100-500,IHC-F=1:100-500,IF=1:100-500,ICC/IF=1:50-200
not yet tested in other applications.
optimal dilutions/concentrations should be determined by the end user.
理论分子量 42 kDa
细胞定位 细胞核 细胞浆 
性    状 Liquid
浓    度 1mg/ml
免 疫 原 A synthesized peptide derived from human JNK1 around the phosphorylation site of T183: FMM-pT-PY 
亚    型 IgG
纯化方法 affinity purified by Protein A
缓 冲 液 0.01M TBS (pH7.4) with 1% BSA, 0.02% Proclin300 and 50% Glycerol.
保存条件 Shipped at 4℃. Store at -20℃ for one year. Avoid repeated freeze/thaw cycles.
注意事项 This product as supplied is intended for research use only, not for use in human, therapeutic or diagnostic applications.
PubMed PubMed
产品介绍 The protein encoded by this gene is a member of the MAP kinase family. MAP kinases act as an integration point for multiple biochemical signals, and are involved in a wide variety of cellular processes such as proliferation, differentiation, transcription regulation and development. This kinase is activated by various cell stimuli, and targets specific transcription factors, and thus mediates immediate-early gene expression in response to cell stimuli. The activation of this kinase by tumor-necrosis factor alpha (TNF-alpha) is found to be required for TNF-alpha induced apoptosis. This kinase is also involved in UV radiation induced apoptosis, which is thought to be related to cytochrom c-mediated cell death pathway. Studies of the mouse counterpart of this gene suggested that this kinase play a key role in T cell proliferation, apoptosis and differentiation. Five alternatively spliced transcript variants encoding distinct isoforms have been reported. [provided by RefSeq, Jun 2013]

Function:
Serine/threonine-protein kinase involved in various processes such as cell proliferation, differentiation, migration, transformation and programmed cell death. Extracellular stimuli such as proinflammatory cytokines or physical stress stimulate the stress-activated protein kinase/c-Jun N-terminal kinase (SAP/JNK) signaling pathway. In this cascade, two dual specificity kinases MAP2K4/MKK4 and MAP2K7/MKK7 phosphorylate and activate MAPK8/JNK1. In turn, MAPK8/JNK1 phosphorylates a number of transcription factors, primarily components of AP-1 such as JUN, JDP2 and ATF2 and thus regulates AP-1 transcriptional activity. Phosphorylates the replication licensing factor CDT1, inhibiting the interaction between CDT1 and the histone H4 acetylase HBO1 to replication origins. Loss of this interaction abrogates the acetylation required for replication initiation. Promotes stressed cell apoptosis by phosphorylating key regulatory factors including p53/TP53 and Yes-associates protein YAP1. In T-cells, MAPK8 and MAPK9 are required for polarized differentiation of T-helper cells into Th1 cells. Contributes to the survival of erythroid cells by phosphorylating the antagonist of cell death BAD upon EPO stimulation. Mediates starvation-induced BCL2 phosphorylation, BCL2 dissociation from BECN1, and thus activation of autophagy. Phosphorylates STMN2 and hence regulates microtubule dynamics, controlling neurite elongation in cortical neurons. In the developing brain, through its cytoplasmic activity on STMN2, negatively regulates the rate of exit from multipolar stage and of radial migration from the ventricular zone. Phosphorylates several other substrates including heat shock factor protein 4 (HSF4), the deacetylase SIRT1, ELK1, or the E3 ligase ITCH.
JNK1 isoforms display different binding patterns: beta-1 preferentially binds to c-Jun, whereas alpha-1, alpha-2, and beta-2 have a similar low level of binding to both c-Jun or ATF2. However, there is no correlation between binding and phosphorylation, which is achieved at about the same efficiency by all isoforms.

Subcellular Location:
Cytoplasm. Nucleus.

Post-translational modifications:
Dually phosphorylated on Thr-183 and Tyr-185 by MAP2K7 and MAP2K4, which activates the enzyme. Phosphorylated by TAOK2.

Similarity:
Belongs to the protein kinase superfamily. CMGC Ser/Thr protein kinase family. MAP kinase subfamily.
Contains 1 protein kinase domain.

SWISS:
P45983

Gene ID:
5599

Database links:

Entrez Gene: 5599 Human

Entrez Gene: 5601 Human

Entrez Gene: 5602 Human

Entrez Gene: 26414 Mouse

Entrez Gene: 26419 Mouse

Entrez Gene: 26420 Mouse

Entrez Gene: 116554 Rat

Entrez Gene: 25272 Rat

Entrez Gene: 50658 Rat

Omim: 601158 Human

Omim: 602896 Human

Omim: 602897 Human

SwissProt: P45983 Human

SwissProt: P45984 Human

SwissProt: P53779 Human

SwissProt: Q61831 Mouse

SwissProt: Q91Y86 Mouse

SwissProt: Q9WTU6 Mouse

SwissProt: P49185 Rat

SwissProt: P49186 Rat

SwissProt: P49187 Rat

Unigene: 138211 Human

Unigene: 522924 Human

Unigene: 21495 Mouse

Unigene: 4090 Rat



产品图片
Paraformaldehyde-fixed, paraffin embedded Human Liver; Antigen retrieval by boiling in sodium citrate buffer (pH6.0) for 15 min; The section was incubated with phospho-JNK1/2/3(T183+T183+T221) Monoclonal Antibody, Unconjugated (bsm-52462R) at 1:200 overnight at 4°C, followed by conjugation to the bs-0295G-HRP and DAB (C-0010) staining.
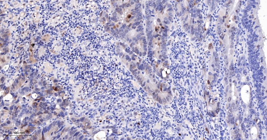
Paraformaldehyde-fixed, paraffin embedded Human Endometrial Cancer; Antigen retrieval by boiling in sodium citrate buffer (pH6.0) for 15 min; The section was incubated with Phospho-JNK1/2/3(T183+T183+T221) Monoclonal Antibody, Unconjugated (bsm-52462R) at 1:200 overnight at 4°C, followed by conjugation to the bs-0295G-HRP and DAB (C-0010) staining.
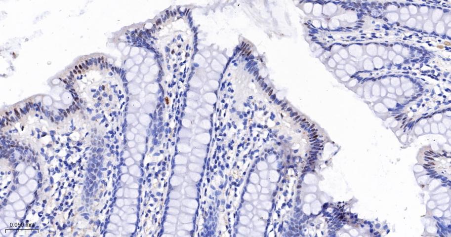
Paraformaldehyde-fixed, paraffin embedded Human Colon; Antigen retrieval by boiling in sodium citrate buffer (pH6.0) for 15 min; The section was incubated with Phospho-JNK1/2/3(T183+T183+T221) Monoclonal Antibody, Unconjugated (bsm-52462R) at 1:200 overnight at 4°C, followed by conjugation to the bs-0295G-HRP and DAB (C-0010) staining.
Paraformaldehyde-fixed, paraffin embedded Human Colon Cancer; Antigen retrieval by boiling in sodium citrate buffer (pH6.0) for 15 min; The section was incubated with Phospho-JNK1/2/3(T183+T183+T221) Monoclonal Antibody, Unconjugated (bsm-52462R) at 1:200 overnight at 4°C, followed by conjugation to the bs-0295G-HRP and DAB (C-0010) staining.
Paraformaldehyde-fixed, paraffin embedded Human Heart; Antigen retrieval by boiling in sodium citrate buffer (pH6.0) for 15 min; Antibody incubation with Phospho-JNK1 2 3(T183+T183+T221) Monoclonal Antibody, Unconjugated(bsm-52462R) at 1:200 overnight at 4°C, followed by conjugation to the SP Kit(Rabbit, SP-0023) and DAB (C-0010) staining.
4% Paraformaldehyde-fixed Hela (treated with 100 ng/ml EGF for 20 mins) (H) cell; Triton X-100 at r.t. for 20 min; Antibody incubation with (Phospho-JNK1/2/3(T183+T183+T221)) monoclonal Antibody, unconjugated (bsm-52462R) 1:100, 90 min at 37°C; followed by BF488 conjugated Goat Anti-Rabbit IgG antibody (green, bs-60295G-BF488) at 37°C for 90 min, DAPI (blue, C02-04002) was used to stain the cell nuclei. PBS instead of the primary antibody was used as the blank control.
版权所有 2004-2026 www.bioss.com.cn 北京博奥森生物技术有限公司
通过国际质量管理体系ISO 9001:2015 GB/T 19001-2016    证书编号: 00124Q34771R2M/1100
通过国际医疗器械-质量管理体系ISO 13485:2016 GB/T 42061-2022     证书编号: CQC24QY20047R0M/1100
京ICP备05066980号-1         京公网安备110107000727号