扫码关注公众号           扫码咨询技术支持           扫码咨询技术服务
  
客服热线:400-901-9800  客服QQ:4009019800  技术答疑  技术支持  质量反馈  人才招聘  关于我们  联系我们
产品中心-北京博奥森生物技术有限公司
首页 > 产品中心 > 一抗 > 产品信息
[KO验证抗体] SQSTM1/p62 Rabbit pAb (bs-55207R)  
订购热线:400-901-9800
订购邮箱:sales@bioss.com.cn
订购QQ:  400-901-9800
技术支持:techsupport@bioss.com.cn
50ul/1180.00元
100ul/1980.00元
大包装/询价

产品编号 bs-55207R
英文名称 [KO验证抗体] SQSTM1/p62 Rabbit pAb
中文名称 泛素结合蛋白P62抗体
别    名 A170; DMRV; EBIAP; FTDALS3; NADGP; OSIL; PDB3; ZIP3; p60; p62; p62B; OSF-6; Osi; STAP; STONE14; ZIP; SQSTM_HUMAN; SQSTM1; EBI3-associated protein of 60 kDa (EBIAP | p60); Phosphotyrosine-independent ligand for the Lck SH2 domain of 62 kDa; Ubiquitin-bindi  
Specific References  (11)     |     bs-55207R has been referenced in 11 publications.
[IF=7.419] Wei-Wei Zhou. et al. Gentianella acuta improves TAC-induced cardiac remodelling by regulating the Notch and PI3K/Akt/FOXO1/3 pathways. BIOMED PHARMACOTHER. 2022 Oct;154:113564  WB ;  Rat.  
[IF=6.025] Xuliang Zhang. et al. PINK1/Parkin-mediated mitophagy mitigates T-2 toxin-induced nephrotoxicity. FOOD CHEM TOXICOL. 2022 Jun;164:113078  WB ;  Mouse.  
[IF=5.396] Kaidi Ma. et al. Lactobacillus rhamnosus GG ameliorates deoxynivalenol-induced kidney oxidative damage and mitochondrial injury in weaned piglets. Food Funct. 2022 Mar;:  WB ;  Piglets.  
[IF=4.932] Qingyu Meng. et al. Morin hydrate inhibits atherosclerosis and LPS-induced endothelial cells inflammatory responses by modulating the NFκB signaling-mediated autophagy. Int Immunopharmacol. 2021 Nov;100:108096  WB ;  Human.  
[IF=4.872] Jianzhao Liao. et al. Copper induces energy metabolic dysfunction and AMPK-mTOR pathway-mediated autophagy in kidney of broiler chickens. Ecotox Environ Safe. 2020 Dec;206:111366  WB ;  Chicken.  
[IF=3.739] Lu Peng. et al. Polychlorinated Biphenyl Quinone Metabolites Cause Neutrophil Extracellular Traps in Mouse Bone Marrow Neutrophils. Chem Res Toxicol. 2022;XXXX(XXX):XXX-XXX  WB ;  Mouse.  
[IF=3.674] Qiao Wanchen. et al. Liensinine ameliorates ischemia–reperfusion-induced brain injury by inhibiting autophagy via PI3K/AKT signaling. FUNCT INTEGR GENOMIC. 2023 Jun;23(2):1-9  WB ;  Rat.  
[IF=3.115] Pengfei Zhang. et al. The Effects of Ginkgo biloba Extract on Autophagy in Human Macrophages Stimulated by Cigarette Smoke Extract. FRONT BIOSCI-LANDMRK. 2023 Mar;28(3):50  WB ;  Human.  
[IF=2.952] Zhi-Yu Li. et al. NOX4 stimulates ANF secretion via activation of the Sirt1/Nrf2/ATF3/4 axis in hypoxic beating rat atria. Mol Med Rep. 2022 Mar;25(3):1-9  WB ;  Rat.  
[IF=2.677] Xing Yifeng. et al. Osteogenic effects of rapamycin on bone marrow mesenchymal stem cells via inducing autophagy. J ORTHOP SURG RES. 2023 Dec;18(1):1-13  WB ;  Rat.  
[IF=2.65] Ying Li. et al. Bushen Wenyang Huayu Decoction Targets TLR4/NF-κB Mediated Autophagy to Treat Endometriosis Effectively.. EVID-BASED COMPL ALT. 2022 Nov;2022:4263417-4263417  WB ;  Rat.  
研究领域 心血管  染色质和核信号  信号转导  细胞凋亡  转录调节因子  表观遗传学  
抗体来源 Rabbit
克隆类型 Polyclonal
克 隆 号
交叉反应 Human,Mouse,Rat
产品应用 WB=1:1000-5000,IHC-P=1:200-1000,IHC-F=1:200-1000,IF=1:200-1000,Flow-Cyt=1:100-200,ICC/IF=1:100-500,ELISA=1:5000-10000
not yet tested in other applications.
optimal dilutions/concentrations should be determined by the end user.
理论分子量 38/47 kDa
检测分子量 62
细胞定位 细胞核 细胞浆 
性    状 Liquid
浓    度 1mg/ml
免 疫 原 Recombinant human SQSTM1/p62: 1-440 
亚    型 IgG
纯化方法 affinity purified by Protein A
缓 冲 液 0.01M TBS (pH7.4) with 1% BSA, 0.02% Proclin300 and 50% Glycerol.
保存条件 Store at -20℃ for one year. Avoid repeated freeze/thaw cycles. The lyophilized antibody is stable at room temperature for at least one month and for greater than a year when kept at -20°C. When reconstituted in sterile pH 7.4 0.01M PBS or diluent of antib
注意事项 This product as supplied is intended for research use only, not for use in human, therapeutic or diagnostic applications.
PubMed PubMed
产品介绍 This gene encodes a multifunctional protein that binds ubiquitin and regulates activation of the nuclear factor kappa-B (NF-kB) signaling pathway. The protein functions as a scaffolding/adaptor protein in concert with TNF receptor-associated factor 6 to mediate activation of NF-kB in response to upstream signals. Alternatively spliced transcript variants encoding either the same or different isoforms have been identified for this gene. Mutations in this gene result in sporadic and familial Paget disease of bone. [provided by RefSeq, Mar 2009]

Function:
Adapter protein which binds ubiquitin and may regulate the activation of NFKB1 by TNF-alpha, nerve growth factor (NGF) and interleukin-1. May play a role in titin/TTN downstream signaling in muscle cells. May regulate signaling cascades through ubiquitination. Adapter that mediates the interaction between TRAF6 and CYLD (By similarity). May be involved in cell differentiation, apoptosis, immune response and regulation of K(+) channels.

Subunit:
Cytoplasm. Late endosome. Nucleus. Endoplasmic reticulum. Note=Sarcomere. In cardiac muscles localizes to the sarcomeric band. Localizes to late endosomes. May also localize to the nucleus. Accumulates in neurofibrillary tangles and in Lewy bodies of neurons from individuals with Alzheimer and Parkinson disease respectively. Enriched in Rosenthal fibers of pilocytic astrocytoma. In liver cells, accumulates in Mallory bodies associated with alcoholic hepatitis, Wilson disease, indian childhood cirrhosis and in hyaline bodies associated with hepatocellular carcinoma. Colocalizes with TRIM13 in the perinuclear endoplasmic reticulum.

Subcellular Location:
Cytoplasm. Late endosome. Nucleus. Sarcomere (By similarity). In cardiac muscles localizes to the sarcomeric band (By similarity). Localizes to late endosomes. May also localize to the nucleus. Accumulates in neurofibrillary tangles and in Lewy bodies of neurons from individuals with Alzheimer and Parkinson disease respectively. Enriched in Rosenthal fibers of pilocytic astrocytoma. In liver cells, accumulates in Mallory bodies associated with alcoholic hepatitis, Wilson disease, indian childhood cirrhosis and in hyaline bodies associated with hepatocellular carcinoma.

Tissue Specificity:
Ubiquitously expressed.

Post-translational modifications:
Phosphorylated. May be phosphorylated by PRKCZ (By similarity). Phosphorylated in vitro by TTN.

DISEASE:
Defects in SQSTM1 are a cause of Paget disease of bone (PDB) [MIM:602080]. PDB is a metabolic bone disease affecting the axial skeleton and characterized by focal areas of increased and disorganized bone turn-over due to activated osteoclasts. Manifestations of the disease include bone pain, deformity, pathological fractures, deafness, neurological complications and increased risk of osteosarcoma. PDB is a chronic disease affecting 2 to 3% of the population above the age of 40 years.

Similarity:
Contains 1 OPR domain.
Contains 1 UBA domain.
Contains 1 ZZ-type zinc finger.

SWISS:
Q13501

Gene ID:
8878

Database links:

Entrez Gene: 8878 Human

Entrez Gene: 18412 Mouse

Entrez Gene: 113894 Rat

SwissProt: Q13501 Human

SwissProt: Q64337 Mouse

SwissProt: O08623 Rat



产品图片
25 ug total protein per lane of various lysates (see on figure) probed with P62/SQSTM1 polyclonal antibody, unconjugated (bs-55207R) at 1:1000 dilution and 4°C overnight incubation. Followed by conjugated secondary antibody incubation at r.t. for 60 min.
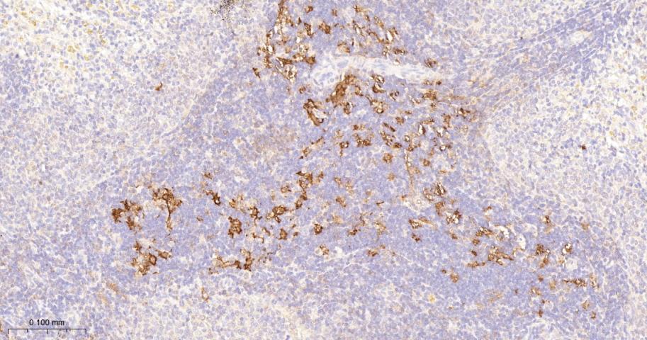
Paraformaldehyde-fixed, paraffin embedded Human Spleen; Antigen retrieval by boiling in sodium citrate buffer (pH6.0) for 15 min; The section was incubated with SQSTM1/p62 Monoclonal Antibody, Unconjugated (bs-55207R) at 1:200 overnight at 4°C, followed by conjugation to the bs-0295G-HRP and DAB (C-0010) staining.
Paraformaldehyde-fixed, paraffin embedded Rat Spleen; Antigen retrieval by boiling in sodium citrate buffer (pH6.0) for 15 min; The section was incubated with SQSTM1/p62 Monoclonal Antibody, Unconjugated (bs-55207R) at 1:200 overnight at 4°C, followed by conjugation to the bs-0295G-HRP and DAB (C-0010) staining.
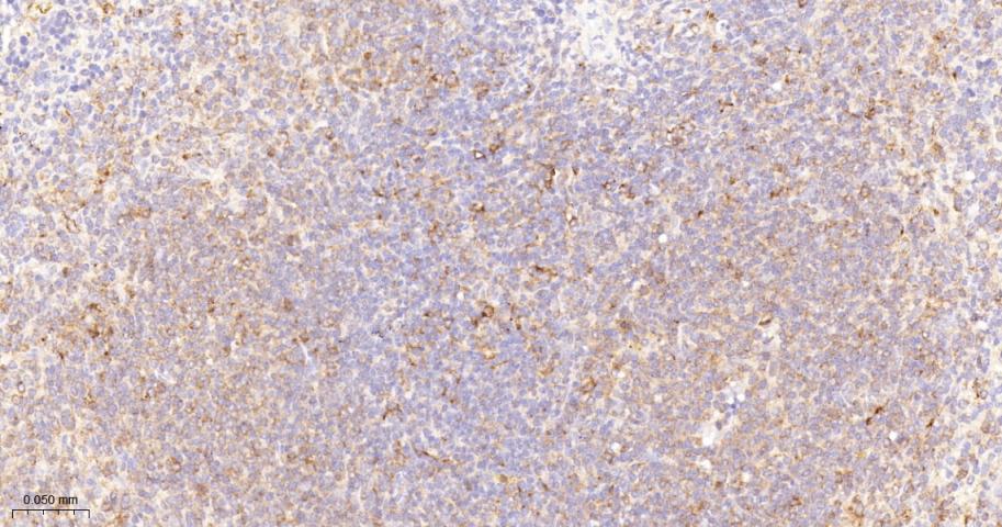
Paraformaldehyde-fixed, paraffin embedded Mouse Spleen; Antigen retrieval by boiling in sodium citrate buffer (pH6.0) for 15 min; The section was incubated with SQSTM1/p62 Monoclonal Antibody, Unconjugated (bs-55207R) at 1:200 overnight at 4°C, followed by conjugation to the bs-0295G-HRP and DAB (C-0010) staining.
4% Paraformaldehyde-fixed Hela (H) cell; Triton X-100 at r.t. for 20 min; Antibody incubation with (P62/SQSTM1) polyclonal Antibody, unconjugated (bs-55207R) 1:100, 90 min at 37°C; followed by conjugated Goat Anti-Rabbit IgG antibody (green, bs-60295G-FITC) at 37°C for 90 min, DAPI (blue, C02-04002) was used to stain the cell nuclei. PBS instead of the primary antibody was used as the blank control.
Paraformaldehyde-fixed, paraffin embedded Human Gastric Cancer; Antigen retrieval by boiling in sodium citrate buffer (pH6.0) for 15 min; The section was incubated with SQSTM1/p62 Monoclonal Antibody, Unconjugated (bs-55207R) at 1:200 overnight at 4°C. Followed by conjugated Goat Anti-Rabbit IgG antibody (Red, bs-0295G-BF594), DAPI (blue, C02-04002) was used to stain the cell nuclei.
Paraformaldehyde-fixed, paraffin embedded Mouse Cerebrum; Antigen retrieval by boiling in sodium citrate buffer (pH6.0) for 15 min; The section was incubated with SQSTM1/p62 Monoclonal Antibody, Unconjugated (bs-55207R) at 1:200 overnight at 4°C. Followed by conjugated Goat Anti-Rabbit IgG antibody (Red, bs-0295G-BF594), DAPI (blue, C02-04002) was used to stain the cell nuclei.
Paraformaldehyde-fixed, paraffin embedded Rat Cerebrum; Antigen retrieval by boiling in sodium citrate buffer (pH6.0) for 15 min; The section was incubated with SQSTM1/p62 Monoclonal Antibody, Unconjugated (bs-55207R) at 1:200 overnight at 4°C. Followed by conjugated Goat Anti-Rabbit IgG antibody (Red, bs-0295G-BF594), DAPI (blue, C02-04002) was used to stain the cell nuclei.
The Hela (H) cells were fixed with 4% PFA (10 min at r.t.) and then permeabilized with 90% ice-cold methanol for 20 min at -20℃,the cells then were incubated in 5%BSA to block non-specific protein-protein interactions (30 min at r.t.).Primary Antibody (green):Rabbit Anti-P62/SQSTM1 antibody (bs-55207R,1:100); Secondary Antibody (white blue): Goat anti-Rabbit IgG-BF488 (bs-60295G-BF488): 1 μg/test. Blank control (black): PBS. Acquisition of 20,000 events was performed.
版权所有 2004-2026 www.bioss.com.cn 北京博奥森生物技术有限公司
通过国际质量管理体系ISO 9001:2015 GB/T 19001-2016    证书编号: 00124Q34771R2M/1100
通过国际医疗器械-质量管理体系ISO 13485:2016 GB/T 42061-2022     证书编号: CQC24QY20047R0M/1100
京ICP备05066980号-1         京公网安备110107000727号