扫码关注公众号           扫码咨询技术支持           扫码咨询技术服务
  
客服热线:400-901-9800  客服QQ:4009019800  技术答疑  技术支持  质量反馈  人才招聘  关于我们  联系我们
产品中心-北京博奥森生物技术有限公司
首页 > 产品中心 > 试剂盒 > 产品信息
Mouse beta I Tubulin Ready-To-Use IHC Kit (IHC0371M)  
订购热线:400-901-9800
订购邮箱:sales@bioss.com.cn
订购QQ:  400-901-9800
技术支持:techsupport@bioss.com.cn
50T/3200.00元
大包装/询价

产品编号 IHC0371M
英文名称 Mouse beta I Tubulin Ready-To-Use IHC Kit
中文名称 小鼠微管蛋白β1即用型免疫组化试剂盒
别    名 2810484G07Rik; Beta tubulin 1; class VI; Class VI beta tubulin; dJ543J19.4; M(beta)1; TBB1_HUMAN; TUBB1; Tubulin beta 1 class VI; Tubulin beta-1 chain; Tubulin; beta 1; tubulin; beta1  
克 隆 号
适用样品基质 FFPE tissue
保存条件 Please store components at the temperatures indicated on the individual tube labels. The kit is stable for 6 months from the date of receipt.
产品介绍 TUBB1 encodes a member of the beta tubulin protein family. Beta tubulins are one of two core protein families (alpha and beta tubulins) that heterodimerize and assemble to form microtubules. This protein is specifically expressed in platelets and megakaryocytes and may be involved in proplatelet production and platelet release. A mutations in this gene is associated with autosomal dominant macrothrombocytopenia. Two pseudogenes of this gene are found on chromosome Y.

SWISS:
Q9H4B7

Gene ID:
81027

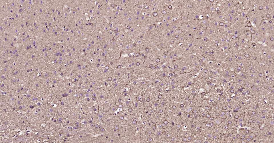
产品图片
Immunohistochemical analysis of paraffin embedded mouse brain tissue slide using IHC0371M (Mouse beta I Tubulin Kit).
版权所有 2004-2026 www.bioss.com.cn 北京博奥森生物技术有限公司
通过国际质量管理体系ISO 9001:2015 GB/T 19001-2016    证书编号: 00124Q34771R2M/1100
通过国际医疗器械-质量管理体系ISO 13485:2016 GB/T 42061-2022     证书编号: CQC24QY20047R0M/1100
京ICP备05066980号-1         京公网安备110107000727号