扫码关注公众号           扫码咨询技术支持           扫码咨询技术服务
  
客服热线:400-901-9800  客服QQ:4009019800  技术答疑  技术支持  质量反馈  人才招聘  关于我们  联系我们
产品中心-北京博奥森生物技术有限公司
首页 > 产品中心 > 试剂盒 > 产品信息
Notch1 Ready-To-Use IHC Kit (IHC0364)  
订购热线:400-901-9800
订购邮箱:sales@bioss.com.cn
订购QQ:  400-901-9800
技术支持:techsupport@bioss.com.cn
50T/3200.00元
大包装/询价

产品编号 IHC0364
英文名称 Notch1 Ready-To-Use IHC Kit
中文名称 跨膜受体蛋白Notch-1即用型免疫组化试剂盒
别    名 9930111A19Rik; AOS5; AOVD1; hN1; lin-12; Mis6; Motch; N1; NOTCH1; Notch 1 extracellular truncation; Notch 1 intracellular domain; hN1; Lin-12; LIN12; MIS6; Motch A; mT14; Neurogenic locus notch homolog protein 1; Neurogenic locus notch protein homolog; NICD; Notch1 intracellular domain; NOTC1_HUMAN; Notch 1; NOTCH; Notch gene homolog 1 (Drosophila); Notch homolog 1 translocation associated (Drosophila); Notch homolog 1; translocation-associated (Drosophila); NOTCH; Drosophila; homolog of; 1; notch1; p300; TAN 1; TAN1; TAN1; Translocation Associated Notch Homolog; Translocation Associated Notch Homolog; Translocation associated notch protein TAN 1; Translocation-associated notch protein TAN-1  
克 隆 号
适用样品基质 FFPE tissue
保存条件 Please store components at the temperatures indicated on the individual tube labels. The kit is stable for 6 months from the date of receipt.
产品介绍 The notch gene belongs to a family of epidermal growth factor (EGF) like homeotic genes, which encode transmembrane proteins with a variable number of cysteine-rich EGF-like repeats in the extracellular region. Four notch genes have been described in mammals: Notch1, Notch2, Notch3 and Notch4(Int-3), which have been implicated in the differentiation of the nervous system and other structures. The EGF-like proteins Delta and Serrate have been identified as ligands of Notch1. Mature Notch proteins are heterodimeric receptors derived from the cleavage of Notch pre-proteins into an extracellular subunit (NEC) containing multiple EGF-like repeats and a transmembrane subunit including intracellular region (Ntm).

SWISS:
P46531

Gene ID:
4851

产品图片
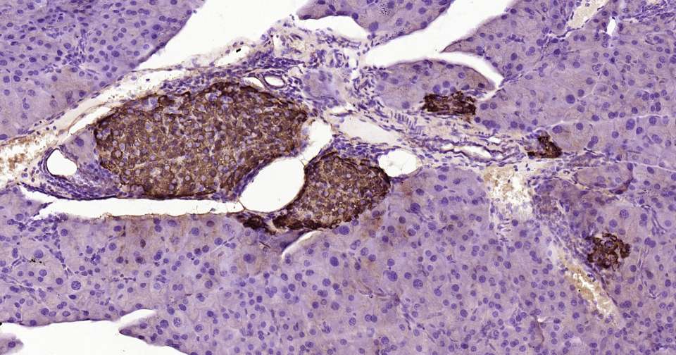
Immunohistochemical analysis of paraffin embedded mouse pancreas tissue slide using IHC0364 (Notch1 Kit).
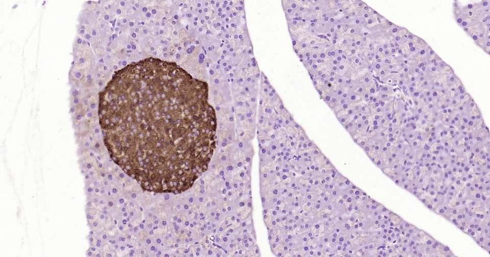
Immunohistochemical analysis of paraffin embedded human pancreas tissue slide using IHC0364 (Notch1 Kit).
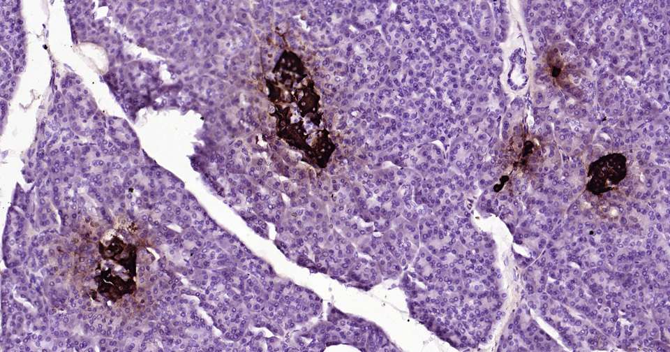
Immunohistochemical analysis of paraffin embedded rat pancreas tissue slide using IHC0364 (Notch1 Kit).
版权所有 2004-2026 www.bioss.com.cn 北京博奥森生物技术有限公司
通过国际质量管理体系ISO 9001:2015 GB/T 19001-2016    证书编号: 00124Q34771R2M/1100
通过国际医疗器械-质量管理体系ISO 13485:2016 GB/T 42061-2022     证书编号: CQC24QY20047R0M/1100
京ICP备05066980号-1         京公网安备110107000727号