扫码关注公众号           扫码咨询技术支持           扫码咨询技术服务
  
客服热线:400-901-9800  客服QQ:4009019800  技术答疑  技术支持  质量反馈  人才招聘  关于我们  联系我们
产品中心-北京博奥森生物技术有限公司
首页 > 产品中心 > 试剂盒 > 产品信息
CK10/Cytokeratin 10 Ready-To-Use IHC Kit (IHC0360)  
订购热线:400-901-9800
订购邮箱:sales@bioss.com.cn
订购QQ:  400-901-9800
技术支持:techsupport@bioss.com.cn
50T/3200.00元
大包装/询价

产品编号 IHC0360
英文名称 CK10/Cytokeratin 10 Ready-To-Use IHC Kit
中文名称 细胞角蛋白10即用型免疫组化试剂盒
别    名 CK10; Ka10; KER10; KPP; KRT10; 56 kDa cytokeratin; BCIE; BIE; CK 10; CK-10; ck10; Cytokeratin 10; Cytokeratin 6B; Cytokeratin VIB; Cytokeratin-10; Cytokeratin10; EHK; k10; K1C10_HUMAN; Keratin 10; Keratin; Keratin type i cytoskeletal 10; Keratin type I cytoskeletal 59 kDa; Keratin-10; Keratin10; kpp; Krt 1 10; Krt 10; krt10; type I cytoskeletal 10; Type I keratin Ka10; Keratin; type I cytoskeletal 10; Cytokeratin-10; K10  
克 隆 号
适用样品基质 FFPE tissue
保存条件 Please store components at the temperatures indicated on the individual tube labels. The kit is stable for 6 months from the date of receipt.
产品介绍 Cytokeratins (CK) are intermediate filaments of epithelial cells, both in keratinizing tissue (i.e., skin) and non-keratinizing cells (i.e. mesothelial cells). Although not a traditional marker for endothelial cells, cytokeratins have also been found in some microvascular endothelial cells. At least 20 different cytokeratins (CK) in the molecular range of 40-70 kDa and isoelectric points of 5-8. 5 can be identified using two dimensional gel electrophoresis. Biochemically, most members of the CK family fall into one of two classes, type I (acidic polypeptides) and type II (basic polypeptides). At least one member of the acidic family and one member of the basic family is expressed in all epithelial cells. Monoclonal antibodies to cytokeratin proteins can be useful markers for tumor identification and classification.

SWISS:
P13645

Gene ID:
3858

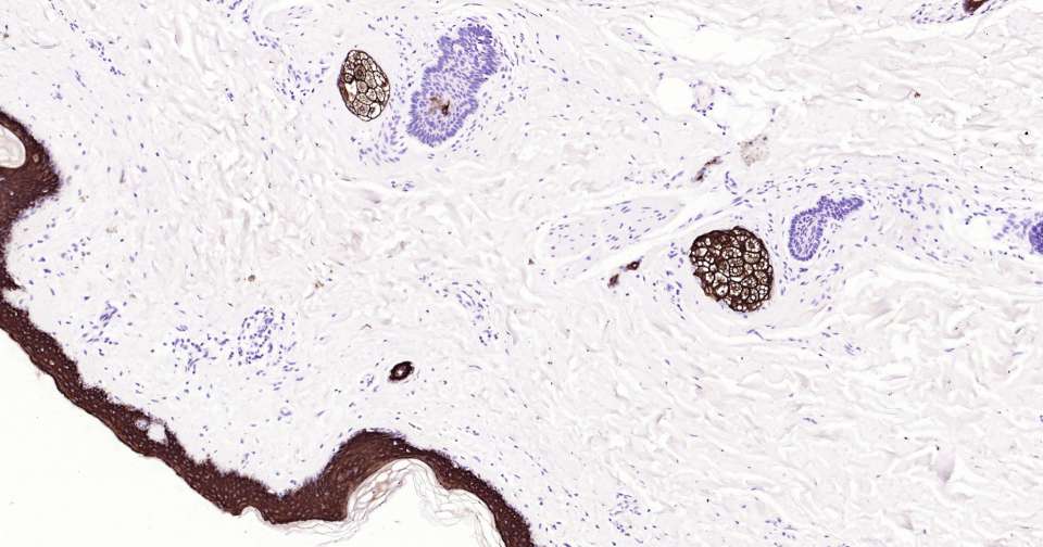
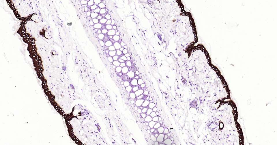
产品图片
Immunohistochemical analysis of paraffin embedded mouse skin tissue slide using IHC0360 (CK10/Cytokeratin 10 Kit).
Immunohistochemical analysis of paraffin embedded human skin tissue slide using IHC0360 (CK10/Cytokeratin 10 Kit).
Immunohistochemical analysis of paraffin embedded rat skin tissue slide using IHC0360 (CK10/Cytokeratin 10 Kit).
版权所有 2004-2026 www.bioss.com.cn 北京博奥森生物技术有限公司
通过国际质量管理体系ISO 9001:2015 GB/T 19001-2016    证书编号: 00124Q34771R2M/1100
通过国际医疗器械-质量管理体系ISO 13485:2016 GB/T 42061-2022     证书编号: CQC24QY20047R0M/1100
京ICP备05066980号-1         京公网安备110107000727号