扫码关注公众号           扫码咨询技术支持           扫码咨询技术服务
  
客服热线:400-901-9800  客服QQ:4009019800  技术答疑  技术支持  质量反馈  人才招聘  关于我们  联系我们
产品中心-北京博奥森生物技术有限公司
首页 > 产品中心 > 试剂盒 > 产品信息
Somatostatin 28 Ready-To-Use IHC Kit (IHC0355)  
订购热线:400-901-9800
订购邮箱:sales@bioss.com.cn
订购QQ:  400-901-9800
技术支持:techsupport@bioss.com.cn
50T/3200.00元
大包装/询价

产品编号 IHC0355
英文名称 Somatostatin 28 Ready-To-Use IHC Kit
中文名称 生长抑素即用型免疫组化试剂盒
别    名 Growth hormone release inhibiting factor; SMS_HUMAN; SMST; SST; Somatostatin 14; Somatostatin14; Somatostatin-14; somatostatin SS14; Somatostatin 28; Somatostatin28; Somatostatin-28; somatostatin SS28  
克 隆 号
适用样品基质 FFPE tissue
保存条件 Please store components at the temperatures indicated on the individual tube labels. The kit is stable for 6 months from the date of receipt.
产品介绍 The hormone somatostatin has active 14 aa and 28 aa forms that are produced by alternate cleavage of the single preproprotein encoded by this gene. Somatostatin is expressed throughout the body and inhibits the release of numerous secondary hormones by binding to high-affinity G-protein-coupled somatostatin receptors. This hormone is an important regulator of the endocrine system through its interactions with pituitary growth hormone, thyroid stimulating hormone, and most hormones of the gastrointestinal tract. Somatostatin also affects rates of neurotransmission in the central nervous system and proliferation of both normal and tumorigenic cells.

SWISS:
P61278

Gene ID:
6750

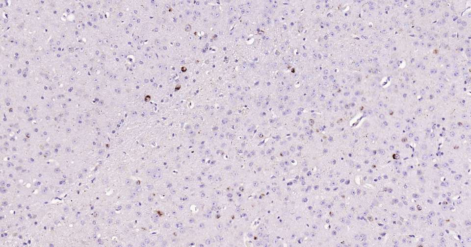
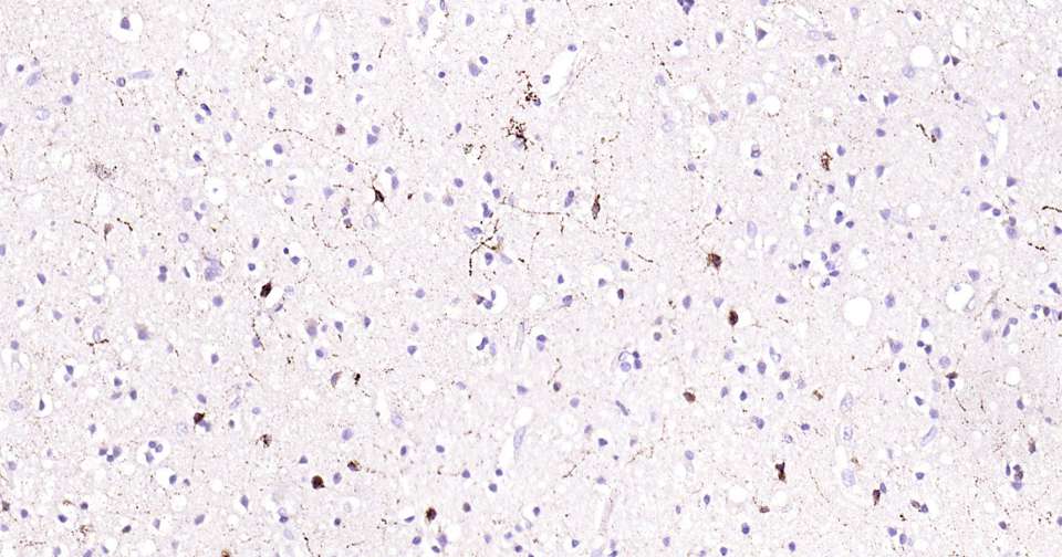
产品图片
Immunohistochemical analysis of paraffin embedded mouse brain tissue slide using IHC0355 (Somatostatin 28 Kit).
Immunohistochemical analysis of paraffin embedded human brain tissue slide using IHC0355 (Somatostatin 28 Kit).
Immunohistochemical analysis of paraffin embedded rat brain tissue slide using IHC0355 (Somatostatin 28 Kit).
版权所有 2004-2026 www.bioss.com.cn 北京博奥森生物技术有限公司
通过国际质量管理体系ISO 9001:2015 GB/T 19001-2016    证书编号: 00124Q34771R2M/1100
通过国际医疗器械-质量管理体系ISO 13485:2016 GB/T 42061-2022     证书编号: CQC24QY20047R0M/1100
京ICP备05066980号-1         京公网安备110107000727号