扫码关注公众号           扫码咨询技术支持           扫码咨询技术服务
  
客服热线:400-901-9800  客服QQ:4009019800  技术答疑  技术支持  质量反馈  人才招聘  关于我们  联系我们
产品中心-北京博奥森生物技术有限公司
首页 > 产品中心 > 试剂盒 > 产品信息
TrkB Ready-To-Use IHC Kit (IHC0351)  
订购热线:400-901-9800
订购邮箱:sales@bioss.com.cn
订购QQ:  400-901-9800
技术支持:techsupport@bioss.com.cn
50T/3200.00元
大包装/询价

产品编号 IHC0351
英文名称 TrkB Ready-To-Use IHC Kit
中文名称 酪氨酸激酶B即用型免疫组化试剂盒
别    名 Ntrk2; trk-B; Trkb; AI848316; BDNF tropomyosine receptor kinase B; BDNF/NT 3 growth factors receptor; BDNF/NT-3 growth factors receptor; Brain derived neurotrophic factor receptor; C030027L06Rik; EC 2.7.10.1; GP145 TrkB; GP145-TrkB; GP145-TrkB/GP95-TrkB; GP95 TrkB; Neurotrophic receptor tyrosine kinase 2; Neurotrophic tyrosine kinase receptor type 2; Neurotrophin receptor tyrosine kinase type 2; NTRK 2; Ntrk2; NTRK2_HUMAN; Obesity; hyperphagia; and developmental delay; included; RATTRKB1; Tkrb; Trk B; Trk-B; TRKB; TrkB tyrosine kinase; TRKB1; Tropomyosin related kinase B; tyrosine kinase receptor B; Tyrosine receptor kinase B  
克 隆 号
适用样品基质 FFPE tissue
保存条件 Please store components at the temperatures indicated on the individual tube labels. The kit is stable for 6 months from the date of receipt.
产品介绍 NTRK2 (TRKB) belongs to the neurotrophic factor family of related polypeptides central to the development and maintenance of the mammalian nervous system. NTRK2 is the receptor for brain-derived neurotrophic factor (BDNF). Together, NTRK2 and BDNF regulate both short-term synaptic functions and long-term potentiation of brain synapses. TrkB is involved in the development and maintenance of the nervous system. Moreover, Trk B is a tyrosine kinase gene highly related to Trk A. Trk B expression is confined to tissues within the central and peripheral nervous systems. The brain-derived neurotrophic factor (BDNF) and NT-3, but not NGF, can induce rapid phosphorylation on tyrosine of Trk B gp145, one of the receptors encoded by Trk B, although BDNF elicits a response at least two orders of magnitude greater than NT-3. TrkB is a membrane-bound receptor that, upon neurotrophin binding, phosphorylates itself and members of the MAPK pathway. Signaling through TrkB leads to cell differentiation. Mutations in the TrkB gene have been associated with obesity and mood disorders. Alternate transcriptional splice variants encoding different isoforms have been found for the TrkB gene.

SWISS:
P15209

Gene ID:
18212

产品图片
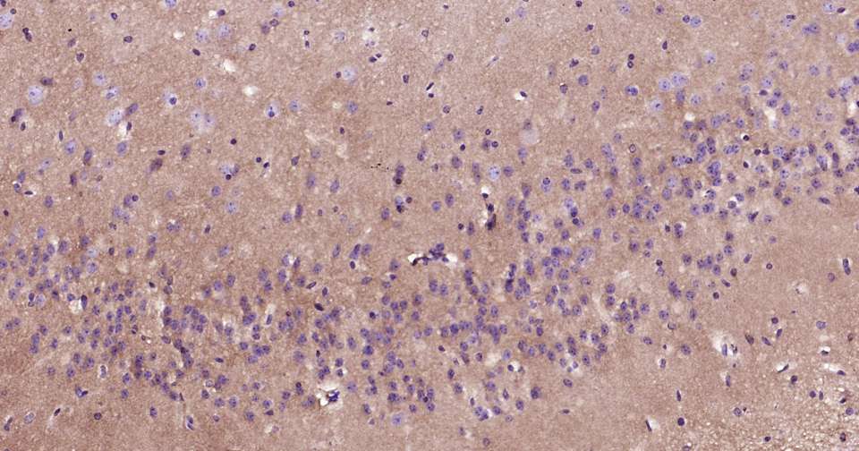
Immunohistochemical analysis of paraffin embedded mouse brain tissue slide using IHC0351 (TrkB Kit).
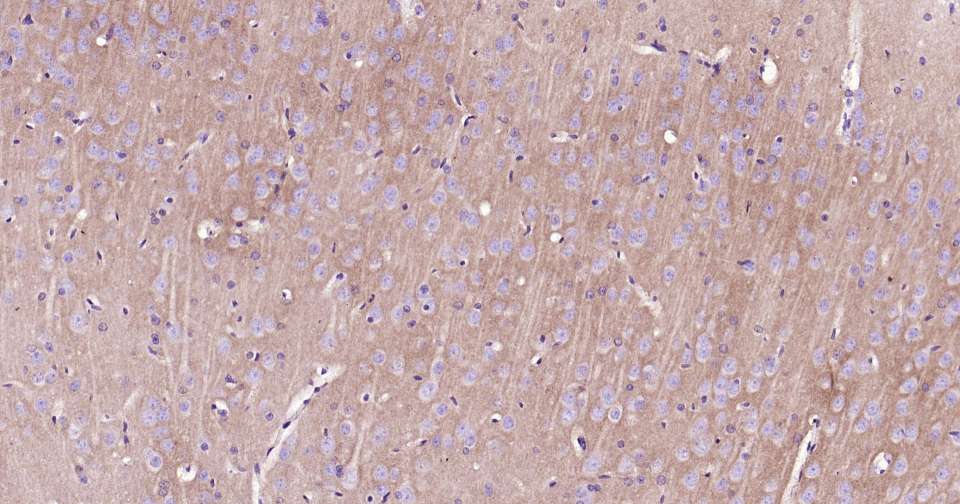
Immunohistochemical analysis of paraffin embedded rat brain tissue slide using IHC0351 (TrkB Kit).
版权所有 2004-2026 www.bioss.com.cn 北京博奥森生物技术有限公司
通过国际质量管理体系ISO 9001:2015 GB/T 19001-2016    证书编号: 00124Q34771R2M/1100
通过国际医疗器械-质量管理体系ISO 13485:2016 GB/T 42061-2022     证书编号: CQC24QY20047R0M/1100
京ICP备05066980号-1         京公网安备110107000727号