扫码关注公众号           扫码咨询技术支持           扫码咨询技术服务
  
客服热线:400-901-9800  客服QQ:4009019800  技术答疑  技术支持  质量反馈  人才招聘  关于我们  联系我们
产品中心-北京博奥森生物技术有限公司
首页 > 产品中心 > 试剂盒 > 产品信息
Phospho-CREB-1 (Ser133) Ready-To-Use IHC Kit (IHC0345)  
订购热线:400-901-9800
订购邮箱:sales@bioss.com.cn
订购QQ:  400-901-9800
技术支持:techsupport@bioss.com.cn
50T/3200.00元
大包装/询价

产品编号 IHC0345
英文名称 Phospho-CREB-1 (Ser133) Ready-To-Use IHC Kit
中文名称 磷酸化CREB-1即用型免疫组化试剂盒
别    名 2310001E10Rik; 3526402H21Rik; AV083133; CREB; CREB-1; CREB1; Cyclic AMP-responsive element binding protein 1; MGC9284  
克 隆 号
适用样品基质 FFPE tissue
保存条件 Please store components at the temperatures indicated on the individual tube labels. The kit is stable for 6 months from the date of receipt.
产品介绍 CREB (Cyclic AMP response element binding protein) is a 43 kDa basic/leucine zipper transcription factor that binds the cyclic AMP response element (CRE) and activates transcription in response to a variety of extracellular signals including neurotransmitters, hormones, membrane depolarization, and growth and neurotrophic factors. Activation of CREB is dependent upon the phosphorylation of serine 133. Phosphorylation of CREB occurs via p44/42 MAP kinase and p90RSK, and via p38 MAP kinase and MSK1. Although CREB will bind DNA independent of its phosphorylation state, only the phosphorylated form is competent as a transcription factor. CREB binding protein (CBP), a transcriptional coactivator that directly interacts with CREB, binds to CREB in the region of serine 133. CREB is involved in different cellular processes including the synchronization of circadian rhythmicity, differentiation of adipose cells, and learning and memory. In humans, the gene is located on the q arm of chromosome 2. Diseases associated with CREB dysfunction include Alzheimer’s Disease, histiocytoma and soft tissue melanoma.

SWISS:
P16220

Gene ID:
1385

产品图片
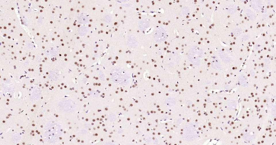
Immunohistochemical analysis of paraffin embedded mouse brain tissue slide using IHC0345 (Phospho-CREB-1 (Ser133) Kit).
Immunohistochemical analysis of paraffin embedded human cerebellum tissue slide using IHC0345 (Phospho-CREB-1 (Ser133) Kit).
Immunohistochemical analysis of paraffin embedded rat brain tissue slide using IHC0345 (Phospho-CREB-1 (Ser133) Kit).
版权所有 2004-2026 www.bioss.com.cn 北京博奥森生物技术有限公司
通过国际质量管理体系ISO 9001:2015 GB/T 19001-2016    证书编号: 00124Q34771R2M/1100
通过国际医疗器械-质量管理体系ISO 13485:2016 GB/T 42061-2022     证书编号: CQC24QY20047R0M/1100
京ICP备05066980号-1         京公网安备110107000727号