扫码关注公众号           扫码咨询技术支持           扫码咨询技术服务
  
客服热线:400-901-9800  客服QQ:4009019800  技术答疑  技术支持  质量反馈  人才招聘  关于我们  联系我们
产品中心-北京博奥森生物技术有限公司
首页 > 产品中心 > 试剂盒 > 产品信息
Human AACT Ready-To-Use IHC Kit (IHC0342H)  
订购热线:400-901-9800
订购邮箱:sales@bioss.com.cn
订购QQ:  400-901-9800
技术支持:techsupport@bioss.com.cn
50T/3200.00元
大包装/询价

产品编号 IHC0342H
英文名称 Human AACT Ready-To-Use IHC Kit
中文名称 人α-1抗胰糜蛋白酶/SERPINA3即用型免疫组化试剂盒
别    名 Alpha 1-Antichymotrypsin; AACT-Alpha 1; SERPINA3; AACT; A1ACT; ACT; Alpha 1 Antichymotrypsin 1; Alpha 1 Antichymotrypsin 2; Alpha 1 Antichymotrypsin 3; Clade A (Alpha 1 Antiproteinase Antitrypsin); GIG24; GIG25; Growth inhibiting protein 24; Growth inhibiting protein 25; MGC88254; PI1; Protease Inhibitor 1; Serine (or Cysteine) Proteinase Inhibitor; Serine (or cysteine) proteinase inhibitor clade A (alpha 1 antiproteinase; antitrypsin) member 3; Serine (or cysteine) proteinase inhibitor clade A member 3; Serine proteinase inhibitor clade A member 3; Serpin peptidase inhibitor clade A (alpha 1 antiproteinase antitrypsin) member 3; SERPINA1; SERPINA2; SERPINA3; Serpin A3; Alpha-1-antichymotrypsin His-Pro-less; AACT_HUMAN  
克 隆 号
适用样品基质 FFPE tissue
保存条件 Please store components at the temperatures indicated on the individual tube labels. The kit is stable for 6 months from the date of receipt.
产品介绍 SERPINA encodes Alpha 1-ACT. It is an early-stage acute-phase plasma protein and a serpin that preferentially inactivates chymotrypsin, cathepsin G, and chymase. Alpha-1-ACT, a serine protease inhibitor, is tightly associated with amyloid plaques in Alzheimer's disease (AD) and in normal aged human and monkey brain. Regulation of the serine proteases and serine protease inhibitors plays an important role in neuromuscular differentiation. Prostate specific antigen (PSA), a chymotrypsin-like serine protease, is predominantly complexed to Alpha-1-ACT.

SWISS:
P01011

Gene ID:
12

产品图片
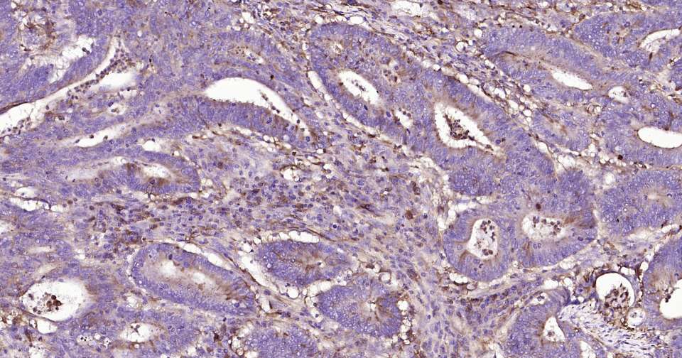
Immunohistochemical analysis of paraffin embedded human colon cancer tissue slide using IHC0342H (Human AACT Kit).
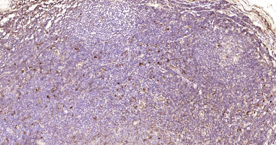
Immunohistochemical analysis of paraffin embedded human tonsil tissue slide using IHC0342H (Human AACT Kit).
版权所有 2004-2026 www.bioss.com.cn 北京博奥森生物技术有限公司
通过国际质量管理体系ISO 9001:2015 GB/T 19001-2016    证书编号: 00124Q34771R2M/1100
通过国际医疗器械-质量管理体系ISO 13485:2016 GB/T 42061-2022     证书编号: CQC24QY20047R0M/1100
京ICP备05066980号-1         京公网安备110107000727号