扫码关注公众号           扫码咨询技术支持           扫码咨询技术服务
  
客服热线:400-901-9800  客服QQ:4009019800  技术答疑  技术支持  质量反馈  人才招聘  关于我们  联系我们
产品中心-北京博奥森生物技术有限公司
首页 > 产品中心 > 试剂盒 > 产品信息
Human PIK3C3 Ready-To-Use IHC Kit (IHC0339H)  
订购热线:400-901-9800
订购邮箱:sales@bioss.com.cn
订购QQ:  400-901-9800
技术支持:techsupport@bioss.com.cn
50T/3200.00元
大包装/询价

产品编号 IHC0339H
英文名称 Human PIK3C3 Ready-To-Use IHC Kit
中文名称 人磷脂酰肌醇激酶3催化亚单位3即用型免疫组化试剂盒
别    名 5330434F23Rik; hVps34; PIK3C3; VPS34  
克 隆 号
适用样品基质 FFPE tissue
保存条件 Please store components at the temperatures indicated on the individual tube labels. The kit is stable for 6 months from the date of receipt.
产品介绍 PIK3C3 (hVPS34) is the sole class III member of the PI3 Kinase family. PIK3C3 phosphorylates phosphatidylinositol (PI) to produce phosphatidylinositol 3-phosphate [PI(3)P], which recruits downstream effectors containing FYVE and Phox domains to membranes. PIK3C3 is involved in coupling nutrient signaling to mTOR and also plays a role in autophagy and intracellular trafficking. Involved in regulation of degradative endocytic trafficking and required for the abcission step in cytokinesis, probably in the context of PI3KC3-C2. Involved in the transport of lysosomal enzyme precursors to lysosomes. Required for transport from early to late endosomes.

SWISS:
Q8NEB9

Gene ID:
5289

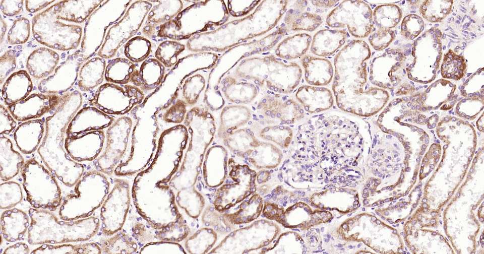
产品图片
Immunohistochemical analysis of paraffin embedded human kidney tissue slide using IHC0339H (Human PIK3C3 Kit).
版权所有 2004-2026 www.bioss.com.cn 北京博奥森生物技术有限公司
通过国际质量管理体系ISO 9001:2015 GB/T 19001-2016    证书编号: 00124Q34771R2M/1100
通过国际医疗器械-质量管理体系ISO 13485:2016 GB/T 42061-2022     证书编号: CQC24QY20047R0M/1100
京ICP备05066980号-1         京公网安备110107000727号