扫码关注公众号           扫码咨询技术支持           扫码咨询技术服务
  
客服热线:400-901-9800  客服QQ:4009019800  技术答疑  技术支持  质量反馈  人才招聘  关于我们  联系我们
产品中心-北京博奥森生物技术有限公司
首页 > 产品中心 > 试剂盒 > 产品信息
Mouse Dnmt3a Ready-To-Use IHC Kit (IHC0337M)  
订购热线:400-901-9800
订购邮箱:sales@bioss.com.cn
订购QQ:  400-901-9800
技术支持:techsupport@bioss.com.cn
50T/3200.00元
大包装/询价

产品编号 IHC0337M
英文名称 Mouse Dnmt3a Ready-To-Use IHC Kit
中文名称 小鼠DNA甲基转移酶-3α即用型免疫组化试剂盒
别    名 DNMT3A; MmuIIIA; TBRS; DNA (cytosine 5 ) methyltransferase 3 alpha; DNA (cytosine 5) methyltransferase 3A; DNA cytosine methyltransferase 3A2; DNA methyltransferase 3a; DNA methyltransferase HsaIIIA; DNA MTase HsaI; DNA MTase HsaIIIA; DNMT 3a; DNMT; DNMT3A2; M HsaIIIA; M.HsaIIIA; MCMT; Methyl CpG binding domain protein 3a  
克 隆 号
适用样品基质 FFPE tissue
保存条件 Please store components at the temperatures indicated on the individual tube labels. The kit is stable for 6 months from the date of receipt.
产品介绍 Methylation of DNA at cytosine residues plays an important role in regulation of gene expression, genomic imprinting and is essential for mammalian development. Hypermethylation of CpG islands in tumor suppressor genes or hypomethylation of bulk genomic DNA may be linked with development of cancer. To date, 3 families of mammalian DNA methyltransferase genes have been identified which include Dnmt1, Dnmt2 and Dnmt3. Dnmt1 is constitutively expressed in proliferating cells and inactivation of this gene causes global demethylation of genomic DNA and embryonic lethality. Dnmt2 is expressed at low levels in adult tissues and its inactivation does not affect DNA methylation or maintenance of methylation. The Dnmt3 family members, Dnmt3a and Dnmt3b, are strongly expressed in ES cells but their expression is down regulated in differentiating ES cells and is low in adult somatic tissue. Recently, it has been shown that naturally occurring mutations of Dnmt3b gene occurs in patients with a rare autosomal recessive disorder, termed ICF (immunodeficiency, centromeric instability, and facial anomalies) syndrome.

SWISS:
Q9Y6K1

Gene ID:
1788

产品图片
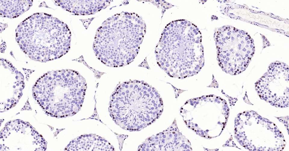
Immunohistochemical analysis of paraffin embedded mouse testis tissue slide using IHC0337M (Mouse Dnmt3a Kit).
版权所有 2004-2026 www.bioss.com.cn 北京博奥森生物技术有限公司
通过国际质量管理体系ISO 9001:2015 GB/T 19001-2016    证书编号: 00124Q34771R2M/1100
通过国际医疗器械-质量管理体系ISO 13485:2016 GB/T 42061-2022     证书编号: CQC24QY20047R0M/1100
京ICP备05066980号-1         京公网安备110107000727号