扫码关注公众号           扫码咨询技术支持           扫码咨询技术服务
  
客服热线:400-901-9800  客服QQ:4009019800  技术答疑  技术支持  质量反馈  人才招聘  关于我们  联系我们
产品中心-北京博奥森生物技术有限公司
首页 > 产品中心 > 试剂盒 > 产品信息
Mouse Cystatin-C Ready-To-Use IHC Kit (IHC0332M)  
订购热线:400-901-9800
订购邮箱:sales@bioss.com.cn
订购QQ:  400-901-9800
技术支持:techsupport@bioss.com.cn
50T/3200.00元
大包装/询价

产品编号 IHC0332M
英文名称 Mouse Cystatin-C Ready-To-Use IHC Kit
中文名称 小鼠胱抑素C/半胱氨酸蛋白酶抑制剂C即用型免疫组化试剂盒
别    名 ARMD11; CST3; CysC; HEL-S-2; AD8; Cst3; Cystatin 3; Cystatin C  
克 隆 号
适用样品基质 FFPE tissue
保存条件 Please store components at the temperatures indicated on the individual tube labels. The kit is stable for 6 months from the date of receipt.
产品介绍 Cystatin C, a member of the type 2 cystatin superfamily, is a potent inhibitor of cysteine proteinases, both endogenous (lysosomal cathepsins), and pathogenic. Cystatin C is a 13 kDa secreted protein which is found in high concentrations in biological fluids and is thought to be expressed by all human nucleated cells. Changes in Cystatin C have been documented in a number of cardiovascular diseases, including atherosclerosis, amyloid angiopathy and myocardial infarction. Its low molecular weight also means that Cystatin C can be used as a marker of renal failure.

SWISS:
P01034

Gene ID:
1471

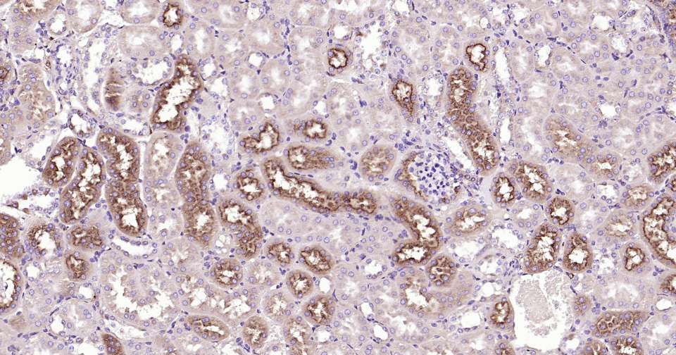
产品图片
Immunohistochemical analysis of paraffin embedded mouse kidney tissue slide using IHC0332M (Mouse Cystatin-C Kit).
版权所有 2004-2026 www.bioss.com.cn 北京博奥森生物技术有限公司
通过国际质量管理体系ISO 9001:2015 GB/T 19001-2016    证书编号: 00124Q34771R2M/1100
通过国际医疗器械-质量管理体系ISO 13485:2016 GB/T 42061-2022     证书编号: CQC24QY20047R0M/1100
京ICP备05066980号-1         京公网安备110107000727号