扫码关注公众号           扫码咨询技术支持           扫码咨询技术服务
  
客服热线:400-901-9800  客服QQ:4009019800  技术答疑  技术支持  质量反馈  人才招聘  关于我们  联系我们
产品中心-北京博奥森生物技术有限公司
首页 > 产品中心 > 试剂盒 > 产品信息
Mouse Androgen receptor Ready-To-Use IHC Kit (IHC0327M)  
订购热线:400-901-9800
订购邮箱:sales@bioss.com.cn
订购QQ:  400-901-9800
技术支持:techsupport@bioss.com.cn
50T/3200.00元
大包装/询价

产品编号 IHC0327M
英文名称 Mouse Androgen receptor Ready-To-Use IHC Kit
中文名称 小鼠雄激素受体即用型免疫组化试剂盒
别    名 AIS; AR; AR8; DHTR; HUMARA; HYSP1; KD; NR3C4; SBMA; SMAX1; TFM  
克 隆 号
适用样品基质 FFPE tissue
保存条件 Please store components at the temperatures indicated on the individual tube labels. The kit is stable for 6 months from the date of receipt.
产品介绍 The androgen receptor (AR) is a member of the steroid-hormone receptor superfamily of nuclear receptors. The receptor is more than 90 kDa and has three major functional domains: the N-terminal domain, DNA-binding domain, and the androgen-binding domain. The androgen receptor is a ligand-activated transcription factor that binds active testosterone (T) and dihydrotestosterone (DHT). Upon binding the hormone ligand, the receptor dissociates from accessory proteins, translocates into the nucleus, dimerizes, and then stimulates transcription of androgen responsive genes. The AR signaling pathway plays a key role in development and function of male reproductive organs, including the prostate and epididymis. AR also plays a role in nonreproductive organs, such as muscle, hair follicles, and brain. Androgen Receptor is a phosphoprotein, and also regulates mitogen-activated protein kinase (MAP kinase). The inhibition of the MEK1/2 pathway correlates directly with a change in phosphorylation state of the androgen receptor. Abnormalities in the AR signaling pathway have been linked to a number of diseases, including prostate cancer, Kennedy's disease, and male infertility. Mutations in this gene are associated with complete androgen insensitivity (CAIS).

SWISS:
P10275

Gene ID:
367

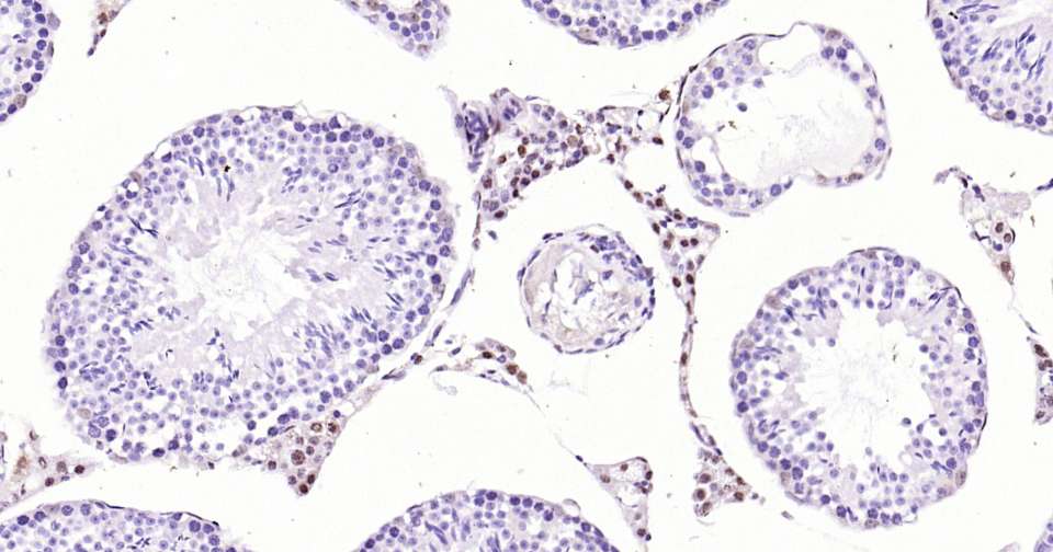
产品图片
Immunohistochemical analysis of paraffin embedded mouse testis tissue slide using IHC0327M (Mouse Androgen receptor Kit).
版权所有 2004-2026 www.bioss.com.cn 北京博奥森生物技术有限公司
通过国际质量管理体系ISO 9001:2015 GB/T 19001-2016    证书编号: 00124Q34771R2M/1100
通过国际医疗器械-质量管理体系ISO 13485:2016 GB/T 42061-2022     证书编号: CQC24QY20047R0M/1100
京ICP备05066980号-1         京公网安备110107000727号