扫码关注公众号           扫码咨询技术支持           扫码咨询技术服务
  
客服热线:400-901-9800  客服QQ:4009019800  技术答疑  技术支持  质量反馈  人才招聘  关于我们  联系我们
产品中心-北京博奥森生物技术有限公司
首页 > 产品中心 > 试剂盒 > 产品信息
Cyclin D1 Ready-To-Use IHC Kit (IHC0325)  
订购热线:400-901-9800
订购邮箱:sales@bioss.com.cn
订购QQ:  400-901-9800
技术支持:techsupport@bioss.com.cn
50T/3200.00元
大包装/询价

产品编号 IHC0325
英文名称 Cyclin D1 Ready-To-Use IHC Kit
中文名称 周期素D1即用型免疫组化试剂盒
别    名 AI327039; bcl-1; BCL1; CCND1; cD1; CycD1; Cyl-1; D11S287E; PRAD1; U21B31  
克 隆 号
适用样品基质 FFPE tissue
保存条件 Please store components at the temperatures indicated on the individual tube labels. The kit is stable for 6 months from the date of receipt.
产品介绍 Cyclin D1 (PRAD-1, bcl-1) is one of the key cell cycle regulators, and functions in association with cdk4 and/or cdk6 by phosphorylating the Rb protein. Cyclin D1 is a putative proto-oncogene overexpressed in a wide variety of human neoplasms including mantle cell lymphomas (MCL). In addition, cyclin D1 positively regulates protein phosphorylation, mammary gland epithelial cell proliferation, and fat cell differentiation. In humans, the CCND1 gene encoding cyclin D1 is present on chromosome 11. Cyclin D1 is a cytoplasmic and nuclear protein that is synthesized during G1 phase and assembles with either cyclin-dependent kinase 4 (CDK4) or CDK6 in response to growth factor stimulation. D-type cyclin-CDK complexes act to inactivate the growth-suppressive function of the Rb protein through its phosphorylation, and titrate CDK inhibitors such as p21Cip1 and p27Kip1. Without growth factor-mediated stimulation, Cyclin D1 is unstable, and undergoes ubiquitin-mediated degradation, which is triggered by its phosphorylation. Cyclin D1 destabilization participates in G1/S phase arrest. The Cyclin D1 protein belongs to the highly conserved cyclin family, whose members are characterized by a dramatic periodicity in protein abundance throughout the cell cycle. Cyclins function as regulators of CDK kinases. Different cyclins exhibit distinct expression and degradation patterns which contribute to the temporal coordination of each mitotic event. Cyclin D1 forms a complex with and functions as a regulatory subunit of CDK4 or CDK6, whose activity is required for cell cycle G1/S transition. The Cyclin D1 protein has been shown to interact with tumor suppressor protein Rb and the expression of this gene is regulated positively by Rb. Mutations, amplification and overexpression of this gene, which alters cell cycle progression, are observed frequently in a variety of tumors and may contribute to tumorigenesis. Cyclin D1 has been successfully employed and is a promising tool for further studies in both cell cycle biology and cancer associated abnormalities.

SWISS:
P24385

Gene ID:
595

产品图片
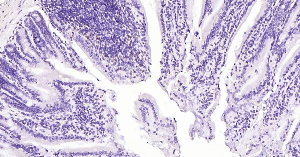
Immunohistochemical analysis of paraffin embedded mouse small intestine tissue slide using IHC0325 (Cyclin D1 Kit).
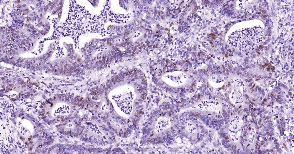
Immunohistochemical analysis of paraffin embedded human colon cancer tissue slide using IHC0325 (Cyclin D1 Kit).
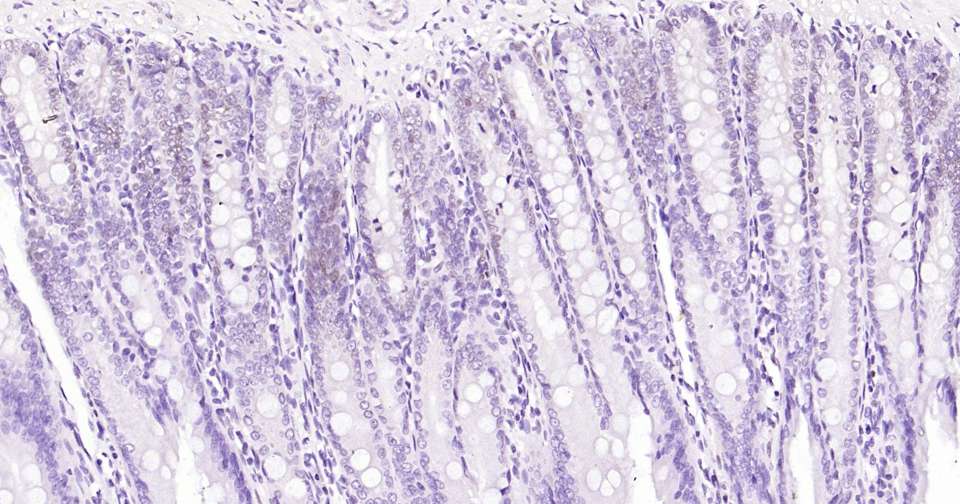
Immunohistochemical analysis of paraffin embedded rat small intestine tissue slide using IHC0325 (Cyclin D1 Kit).
版权所有 2004-2026 www.bioss.com.cn 北京博奥森生物技术有限公司
通过国际质量管理体系ISO 9001:2015 GB/T 19001-2016    证书编号: 00124Q34771R2M/1100
通过国际医疗器械-质量管理体系ISO 13485:2016 GB/T 42061-2022     证书编号: CQC24QY20047R0M/1100
京ICP备05066980号-1         京公网安备110107000727号