扫码关注公众号           扫码咨询技术支持           扫码咨询技术服务
  
客服热线:400-901-9800  客服QQ:4009019800  技术答疑  技术支持  质量反馈  人才招聘  关于我们  联系我们
产品中心-北京博奥森生物技术有限公司
首页 > 产品中心 > 试剂盒 > 产品信息
Human AIF Ready-To-Use IHC Kit (IHC0318H)  
订购热线:400-901-9800
订购邮箱:sales@bioss.com.cn
订购QQ:  400-901-9800
技术支持:techsupport@bioss.com.cn
50T/3200.00元
大包装/询价

产品编号 IHC0318H
英文名称 Human AIF Ready-To-Use IHC Kit
中文名称 人凋亡诱导因子即用型免疫组化试剂盒
别    名 AIF; AIFM1; AIFsh2; CMT2D; CMTX4; COWCK; COXPD6; DFNX5; Hq; NADMR; NAMSD; PDCD8  
克 隆 号
适用样品基质 FFPE tissue
保存条件 Please store components at the temperatures indicated on the individual tube labels. The kit is stable for 6 months from the date of receipt.
产品介绍 Apoptosis Inducing Factor (AIF) causes chromatin condensation and DNA fragmentation. AIF was recently identified, and cloned. Apoptosis is characterized by several morphological nuclear changes including chromatin condensation and nuclear fragmentation. These changes are triggered by the activation of members of caspase family, caspase activated DNase, and several novel proteins. Like the critical molecules, cytochrome c and caspase-9, in apoptosis, AIF localizes in mitochondria. AIF translocates to the nucleus when apoptosis is induced and induces mitochondria to release the apoptogenic proteins cytochrome c and caspase-9. AIF induces chromatin condensation and large scale DNA fragmentation, which are the hallmarks of apoptosis, of the isolated nucleus and the nucleus in live cells by microinjection and apoptosis stimuli. AIF is highly conserved between human and mouse and widely expressed. Mutations in the AIF gene cause combined oxidative phosphorylation deficiency 6, which results in a severe mitochondrial encephalomyopathy. Alternative splicing results in multiple transcript variants of AIF and a related pseudogene has been identified on chromosome 10.

SWISS:
O95831

Gene ID:
9131

产品图片
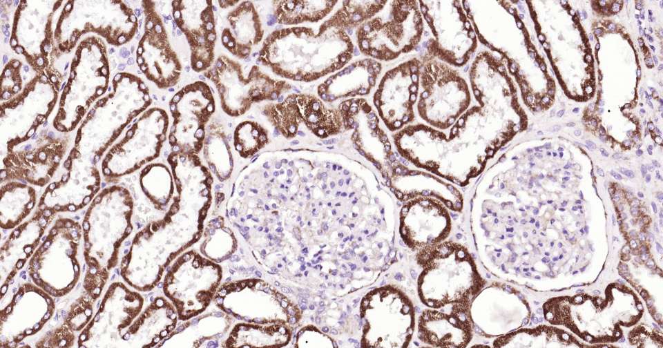
Immunohistochemical analysis of paraffin embedded human kidney tissue slide using IHC0318H (Human AIF Kit).
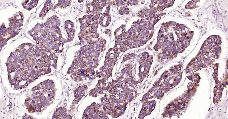
Immunohistochemical analysis of paraffin embedded human colon cancer tissue slide using IHC0318H (Human AIF Kit).
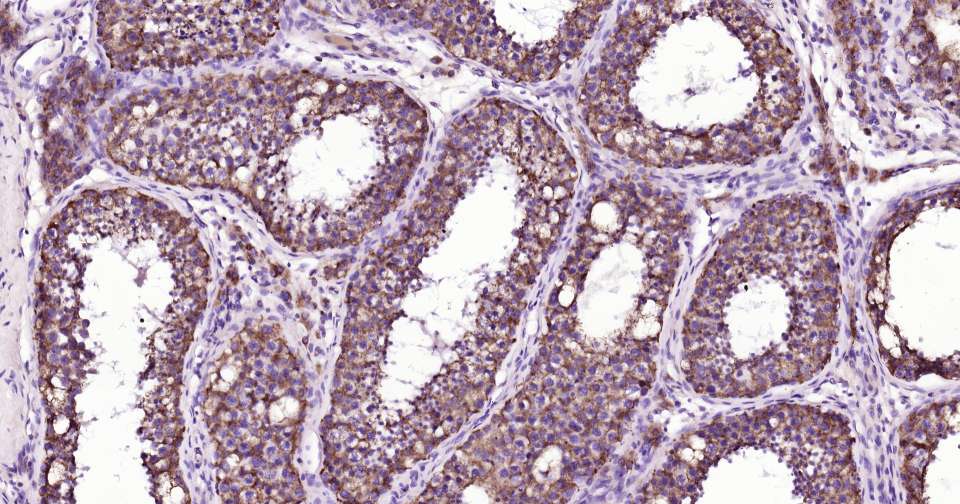
Immunohistochemical analysis of paraffin embedded human testis tissue slide using IHC0318H (Human AIF Kit).
Immunohistochemical analysis of paraffin embedded human hepatocellular carcinoma tissue slide using IHC0318H (Human AIF Kit).
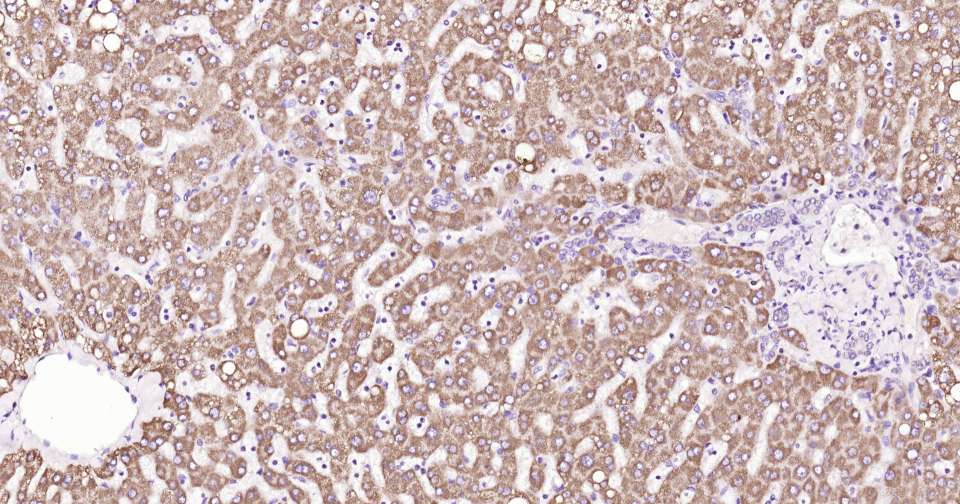
Immunohistochemical analysis of paraffin embedded human liver tissue slide using IHC0318H (Human AIF Kit).
版权所有 2004-2026 www.bioss.com.cn 北京博奥森生物技术有限公司
通过国际质量管理体系ISO 9001:2015 GB/T 19001-2016    证书编号: 00124Q34771R2M/1100
通过国际医疗器械-质量管理体系ISO 13485:2016 GB/T 42061-2022     证书编号: CQC24QY20047R0M/1100
京ICP备05066980号-1         京公网安备110107000727号