扫码关注公众号           扫码咨询技术支持           扫码咨询技术服务
  
客服热线:400-901-9800  客服QQ:4009019800  技术答疑  技术支持  质量反馈  人才招聘  关于我们  联系我们
产品中心-北京博奥森生物技术有限公司
首页 > 产品中心 > 试剂盒 > 产品信息
N Cadherin Ready-To-Use IHC Kit (IHC0315)  
订购热线:400-901-9800
订购邮箱:sales@bioss.com.cn
订购QQ:  400-901-9800
技术支持:techsupport@bioss.com.cn
50T/3200.00元
大包装/询价

产品编号 IHC0315
英文名称 N Cadherin Ready-To-Use IHC Kit
中文名称 N-钙粘附分子即用型免疫组化试剂盒
别    名 cadherin-2; N-cadherin; CDH4; CAD4; R-CAD; RCAD; CDH3; CDHP; HJMD; PCAD; CD325; CDHN; CDw325; NCAD; N Cadherin; CDH2; Arc-1; CD324; CDHE; ECAD; LCAM; UVO  
克 隆 号
适用样品基质 FFPE tissue
保存条件 Please store components at the temperatures indicated on the individual tube labels. The kit is stable for 6 months from the date of receipt.
产品介绍 N-cadherin is a 140 kDa protein belonging to a family of transmembrane molecules that mediate calcium-dependent intercellular adhesion. Cadherins are involved in controlling morphogenetic movements during development and regulate cell surface adhesion through homotypic adhesion with the same cadherin species. N-cadherin's function is dependent on its association with the actin-cytoskeleton and is mediated through interactions between the C-terminal region of N-cadherin and the cytoplasmic catenin proteins. The stability of this association is regulated by phosphorylation and dephosphorylation of beta-catenin. Further, N-cadherin is a calcium dependent cell-cell adhesion glycoprotein comprised of five extracellular cadherin repeats, a transmembrane region and a highly conserved cytoplasmic tail. The protein functions during gastrulation and is required for establishment of left-right asymmetry.

SWISS:
P19022

Gene ID:
1000

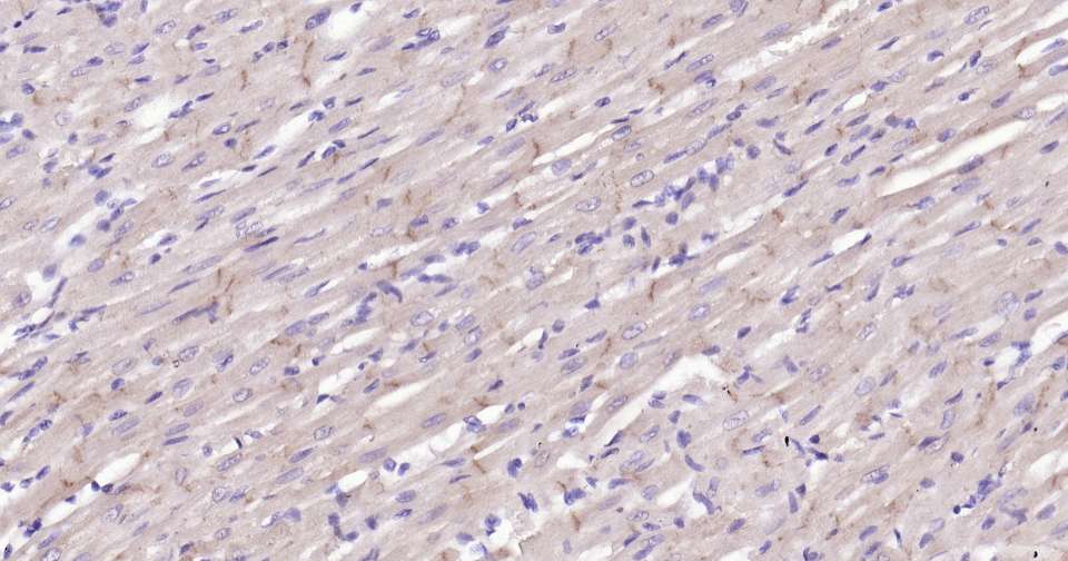
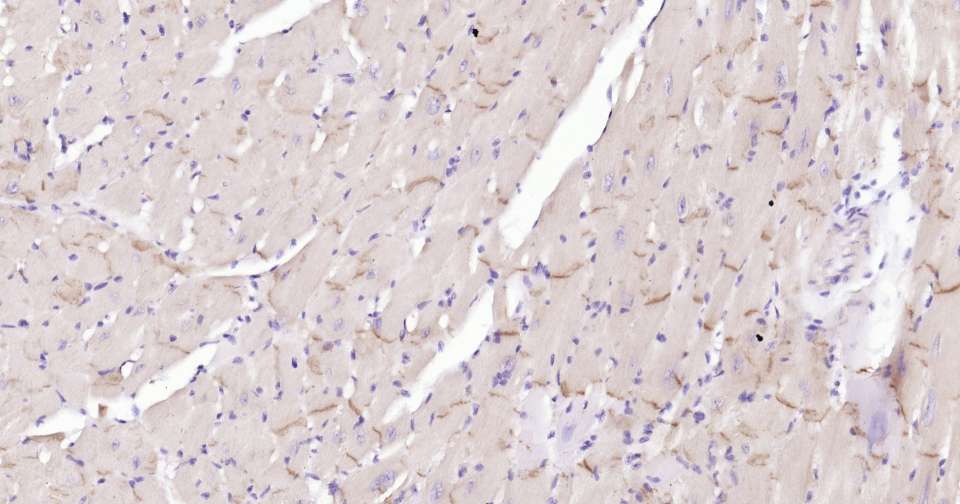
产品图片
Immunohistochemical analysis of paraffin embedded mouse heart tissue slide using IHC0315 (N Cadherin Kit).
Immunohistochemical analysis of paraffin embedded human heart tissue slide using IHC0315 (N Cadherin Kit).
Immunohistochemical analysis of paraffin embedded rat heart tissue slide using IHC0315 (N Cadherin Kit).
版权所有 2004-2026 www.bioss.com.cn 北京博奥森生物技术有限公司
通过国际质量管理体系ISO 9001:2015 GB/T 19001-2016    证书编号: 00124Q34771R2M/1100
通过国际医疗器械-质量管理体系ISO 13485:2016 GB/T 42061-2022     证书编号: CQC24QY20047R0M/1100
京ICP备05066980号-1         京公网安备110107000727号