扫码关注公众号           扫码咨询技术支持           扫码咨询技术服务
  
客服热线:400-901-9800  客服QQ:4009019800  技术答疑  技术支持  质量反馈  人才招聘  关于我们  联系我们
产品中心-北京博奥森生物技术有限公司
首页 > 产品中心 > 一抗 > 产品信息
Acetyl-Histone H3(K9) Recombinant Rabbit mAb (bsm-63244R)  
订购热线:400-901-9800
订购邮箱:sales@bioss.com.cn
订购QQ:  400-901-9800
技术支持:techsupport@bioss.com.cn
25ul/800.00元
50ul/1400.00元
100ul/2500.00元
大包装/询价

产品编号 bsm-63244R
英文名称 Acetyl-Histone H3(K9) Recombinant Rabbit mAb
中文名称 乙酰化组蛋白H3(K9)重组兔单抗
别    名 H3C1 | Histone H3 (acetyl-K10); H3K10Ac; ac-Histone H3; acetyl-Histone H3; ac-H3; H3C1 | Histone H3 (acetyl-Lys10); H3/A; H3C10; H3C11; H3C12; H3C2; H3C3; H3C4; H3C6; H3C7; H3C8; H3FA; HIST1H3A; H3/b; H3C1; H3FB; HIST1H3D; H3.1; H3/c; H3FC; HIST1H3C; H3/d; H3FD; HIST1H3E; H3.f; H3/f; H3FF; HIST1H3I; H3/h; H3FH; HIST1H3G; H3/j; H3FJ; HIST1H3J; H3/k; H3F1K; H3FK; HIST1H3H; H3/l; H3FL; HIST1H3B; H3/i; H3FI; HIST1H3F; H3.2-221; H3c13; H3c14; H3c15; Hist1; H3-143; H3-b; H3-53; H3-f; H3-291; H3-H; H3.1-221; H3 histone; Hist1h2ail; Hist1h2ail1; Hist2h3c; Hist3h3; H31_HUMAN; Histone H3/a; Histone H3/b; Histone H3/c; Histone H3/d; Histone H3/f; Histone H3/h; Histone H3/i; Histone H3/j; Histone H3/k; Histone H3/l; H3FC HIST1H3C; H33_HUMAN; H3-3A; H3-3B; H3.3A; H3F3; H3F3A; H3.3B; H3F3B; H31T_HUMAN; H3-4; H3/t; H3t; H3/g; Histone H3.4; H3FT; H3C_HUMAN; H3-5; Histone H3.5; H3F3C; H32_HUMAN; H3-clustered histone 13; H3-clustered histone 14; H3-clustered histone 15; Histone H3/m; Histone H3/o; HIST2H3A; H3F2; H3FM; HIST2H3D; H31_MOUSE; H3a; H3g; H3.1-291; H3h; H3.1-I; H3i; H32_MOUSE; H3-clustered histone 2; H3-clustered histone 3; H3-clustered histone 4; H3-clustered histone 6; H3-clustered histone 7; H3.2; H3b; H3f; H3.2-616; Hist2h3b; H3.2-615; Hist2h3c1; Hist2h3ca1; H3.2-614; Hist2h3c2; Hist2h3ca2; H31_RAT;  
抗体来源 Rabbit
克隆类型 Recombinant
克 隆 号 3A7
交叉反应 Human,Mouse,Rat
产品应用 WB=1:1000-2000,IHC-P=1:100-500,IHC-F=1:100-500,IF=1:100-500,Flow-Cyt=1:100-200,ICC/IF=1:100-500,IP=1:20-50
not yet tested in other applications.
optimal dilutions/concentrations should be determined by the end user.
理论分子量 15 kDa
检测分子量 15
性    状 Liquid
免 疫 原 A synthesized peptide derived from human Histone H3.1 around the acetylation site of K9: TAR-K(Ac)-STG 
亚    型 IgG
纯化方法 affinity purified by Protein A
缓 冲 液 10mM phosphate buffered saline(pH 7.4) with 150mM sodium chloride, 0.05% BSA, 0.02% Proclin300 and 50% glycerol.
保存条件 Store at 4℃ for short term. Store at -20℃ for long term. Avoid repeated freeze/thaw cycles.
注意事项 This product as supplied is intended for research use only, not for use in human, therapeutic or diagnostic applications.
PubMed PubMed
产品介绍 Core component of nucleosome. Nucleosomes wrap and compact DNA into chromatin, limiting DNA accessibility to the cellular machineries which require DNA as a template. Histones thereby play a central role in transcription regulation, DNA repair, DNA replication and chromosomal stability. DNA accessibility is regulated via a complex set of post-translational modifications of histones, also called histone code, and nucleosome remodeling.

SWISS:
Q71DI3

Gene ID:
8968

产品组分及规格 编号 组分 规格 浓度 储存 1
产品图片
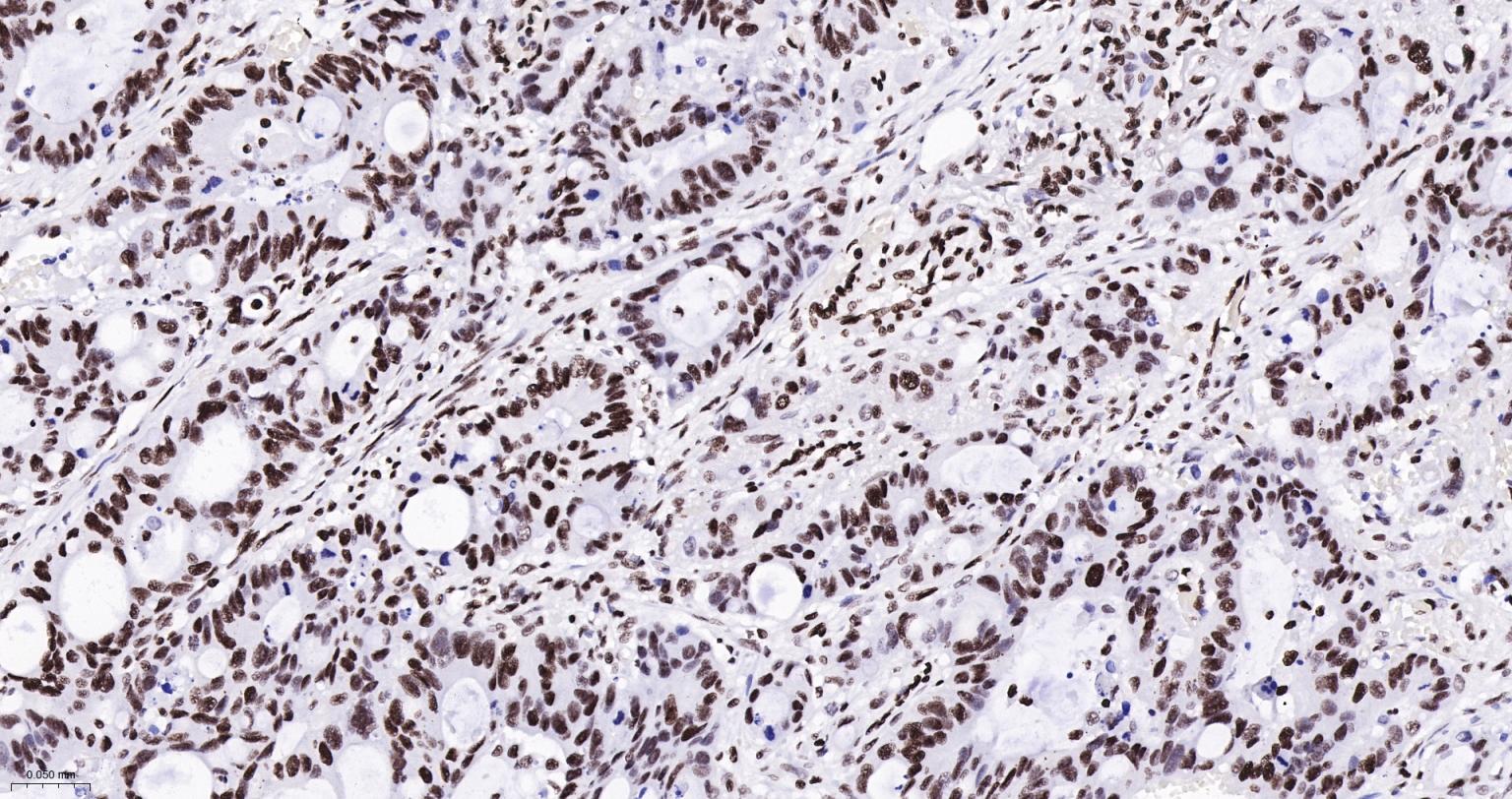
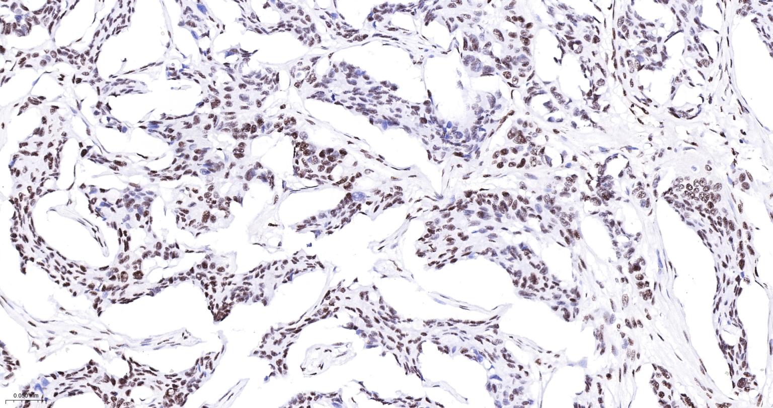
Paraformaldehyde-fixed, paraffin embedded Human Breast Cancer; Antigen retrieval by boiling in sodium citrate buffer (pH6.0) for 15 min; The section was incubated with Acetyl-Histone H3(K9) Monoclonal Antibody, Unconjugated (bsm-63244R) at 1:200 overnight at 4°C, followed by conjugation to the bs-0295G-HRP and DAB (C-0010) staining.
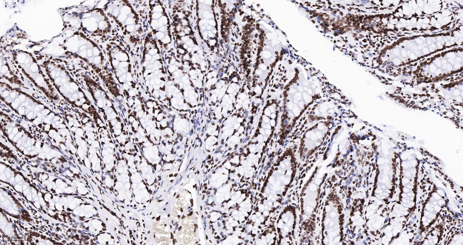
Paraformaldehyde-fixed, paraffin embedded Human Colon Cancer; Antigen retrieval by boiling in sodium citrate buffer (pH6.0) for 15 min; The section was incubated with Acetyl-Histone H3(K9) Monoclonal Antibody, Unconjugated (bsm-63244R) at 1:200 overnight at 4°C, followed by conjugation to the bs-0295G-HRP and DAB (C-0010) staining.
Paraformaldehyde-fixed, paraffin embedded Human Glioma; Antigen retrieval by boiling in sodium citrate buffer (pH6.0) for 15 min; The section was incubated with Acetyl-Histone H3(K9) Monoclonal Antibody, Unconjugated (bsm-63244R) at 1:200 overnight at 4°C, followed by conjugation to the bs-0295G-HRP and DAB (C-0010) staining.
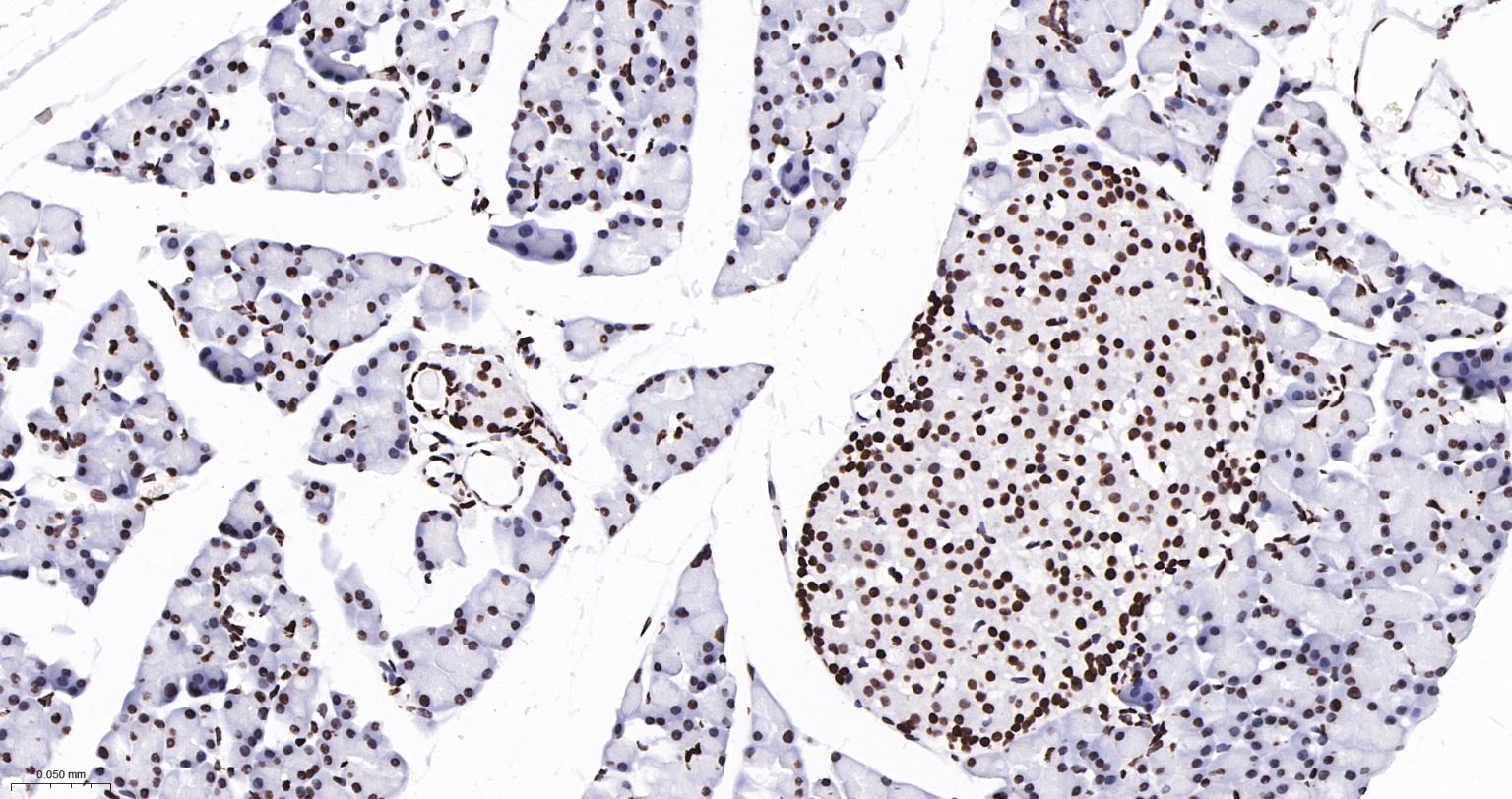
Paraformaldehyde-fixed, paraffin embedded Human Pancreas; Antigen retrieval by boiling in sodium citrate buffer (pH6.0) for 15 min; The section was incubated with Acetyl-Histone H3(K9) Monoclonal Antibody, Unconjugated (bsm-63244R) at 1:200 overnight at 4°C, followed by conjugation to the bs-0295G-HRP and DAB (C-0010) staining.
Paraformaldehyde-fixed, paraffin embedded Rat Pancreas; Antigen retrieval by boiling in sodium citrate buffer (pH6.0) for 15 min; The section was incubated with Acetyl-Histone H3(K9) Monoclonal Antibody, Unconjugated (bsm-63244R) at 1:200 overnight at 4°C, followed by conjugation to the bs-0295G-HRP and DAB (C-0010) staining.
Paraformaldehyde-fixed, paraffin embedded Mouse Pancreas; Antigen retrieval by boiling in sodium citrate buffer (pH6.0) for 15 min; The section was incubated with Acetyl-Histone H3(K9) Monoclonal Antibody, Unconjugated (bsm-63244R) at 1:200 overnight at 4°C, followed by conjugation to the bs-0295G-HRP and DAB (C-0010) staining.
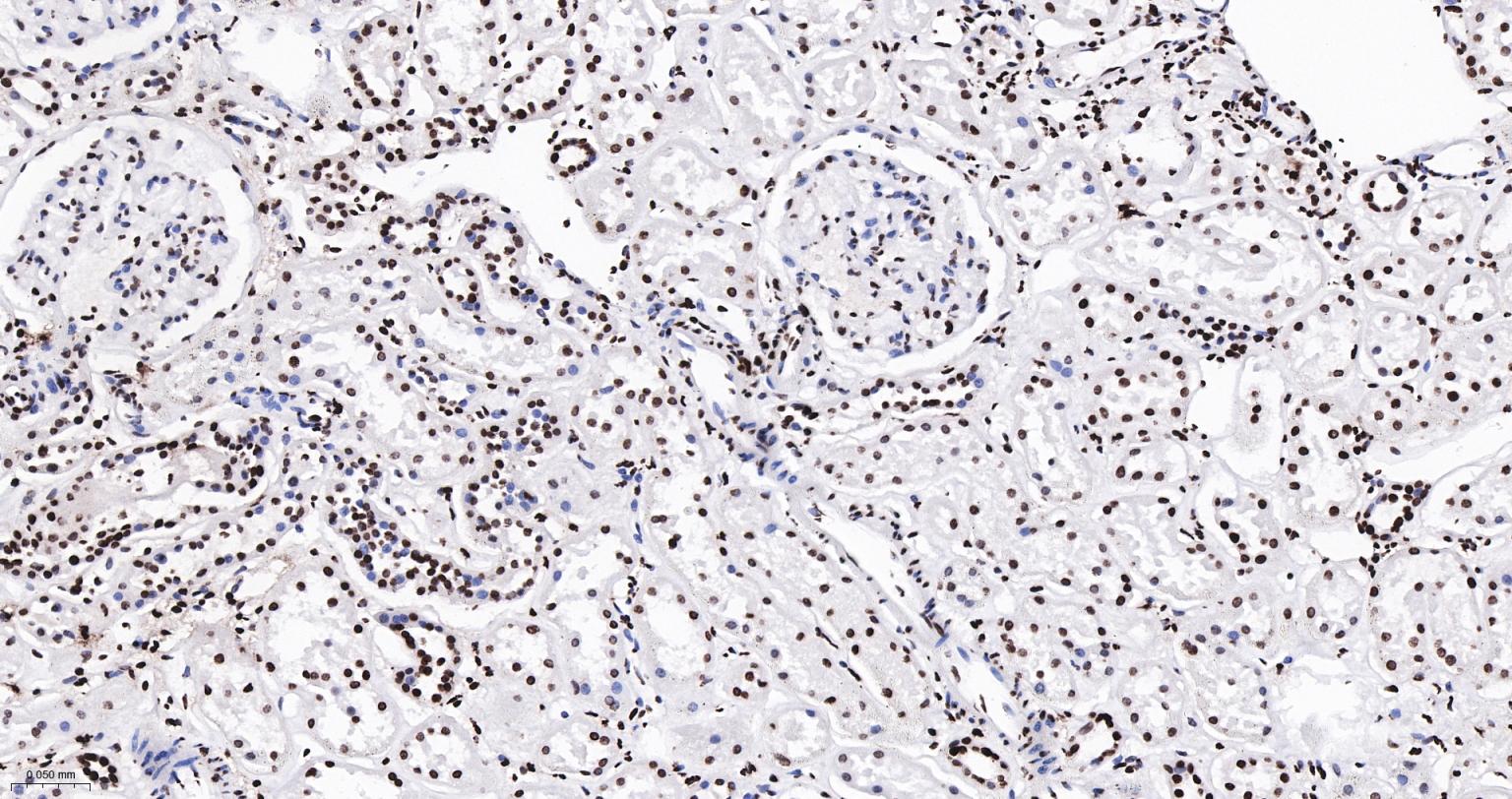
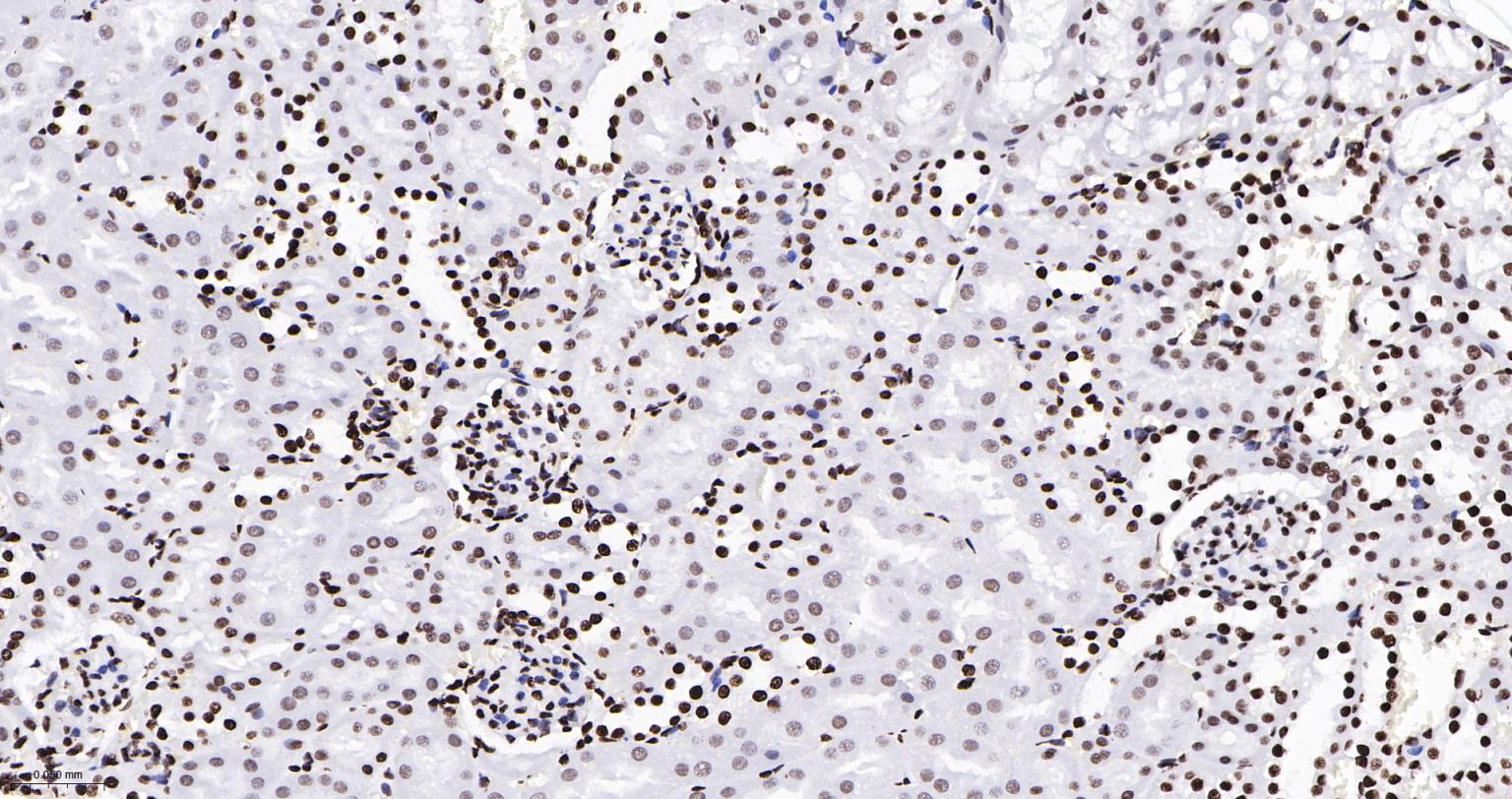
Paraformaldehyde-fixed, paraffin embedded Human Kidney; Antigen retrieval by boiling in sodium citrate buffer (pH6.0) for 15 min; The section was incubated with Acetyl-Histone H3(K9) Monoclonal Antibody, Unconjugated (bsm-63244R) at 1:200 overnight at 4°C, followed by conjugation to the bs-0295G-HRP and DAB (C-0010) staining.
Paraformaldehyde-fixed, paraffin embedded Rat Kidney; Antigen retrieval by boiling in sodium citrate buffer (pH6.0) for 15 min; The section was incubated with Acetyl-Histone H3(K9) Monoclonal Antibody, Unconjugated (bsm-63244R) at 1:200 overnight at 4°C, followed by conjugation to the bs-0295G-HRP and DAB (C-0010) staining.
Paraformaldehyde-fixed, paraffin embedded Mouse Kidney; Antigen retrieval by boiling in sodium citrate buffer (pH6.0) for 15 min; The section was incubated with Acetyl-Histone H3(K9) Monoclonal Antibody, Unconjugated (bsm-63244R) at 1:200 overnight at 4°C, followed by conjugation to the bs-0295G-HRP and DAB (C-0010) staining.
Paraformaldehyde-fixed, paraffin embedded Human Cerebrum; Antigen retrieval by boiling in sodium citrate buffer (pH6.0) for 15 min; The section was incubated with Acetyl-Histone H3(K9) Monoclonal Antibody, Unconjugated (bsm-63244R) at 1:200 overnight at 4°C, followed by conjugation to the bs-0295G-HRP and DAB (C-0010) staining.
Paraformaldehyde-fixed, paraffin embedded Rat Cerebrum; Antigen retrieval by boiling in sodium citrate buffer (pH6.0) for 15 min; The section was incubated with Acetyl-Histone H3(K9) Monoclonal Antibody, Unconjugated (bsm-63244R) at 1:200 overnight at 4°C, followed by conjugation to the bs-0295G-HRP and DAB (C-0010) staining.
Paraformaldehyde-fixed, paraffin embedded Mouse Cerebrum; Antigen retrieval by boiling in sodium citrate buffer (pH6.0) for 15 min; The section was incubated with Acetyl-Histone H3(K9) Monoclonal Antibody, Unconjugated (bsm-63244R) at 1:200 overnight at 4°C, followed by conjugation to the bs-0295G-HRP and DAB (C-0010) staining.
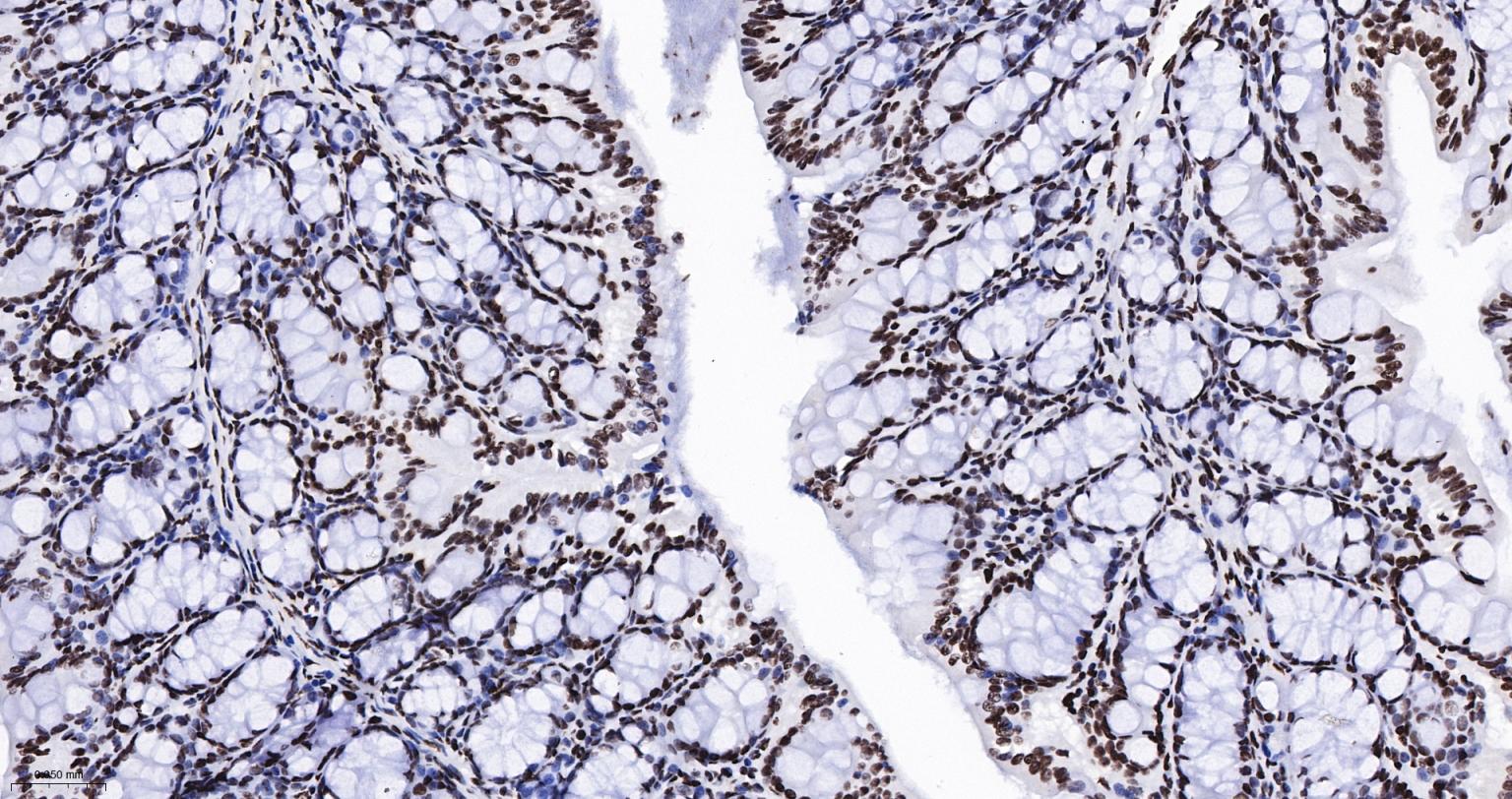
Paraformaldehyde-fixed, paraffin embedded Human Colon; Antigen retrieval by boiling in sodium citrate buffer (pH6.0) for 15 min; The section was incubated with Acetyl-Histone H3(K9) Monoclonal Antibody, Unconjugated (bsm-63244R) at 1:200 overnight at 4°C, followed by conjugation to the bs-0295G-HRP and DAB (C-0010) staining.
Paraformaldehyde-fixed, paraffin embedded Rat Colon; Antigen retrieval by boiling in sodium citrate buffer (pH6.0) for 15 min; The section was incubated with Acetyl-Histone H3(K9) Monoclonal Antibody, Unconjugated (bsm-63244R) at 1:200 overnight at 4°C, followed by conjugation to the bs-0295G-HRP and DAB (C-0010) staining.
Paraformaldehyde-fixed, paraffin embedded Mouse Colon; Antigen retrieval by boiling in sodium citrate buffer (pH6.0) for 15 min; The section was incubated with Acetyl-Histone H3(K9) Monoclonal Antibody, Unconjugated (bsm-63244R) at 1:200 overnight at 4°C, followed by conjugation to the bs-0295G-HRP and DAB (C-0010) staining.
Paraformaldehyde-fixed, paraffin embedded Human Testicles; Antigen retrieval by boiling in sodium citrate buffer (pH6.0) for 15 min; The section was incubated with Acetyl-Histone H3(K9) Monoclonal Antibody, Unconjugated (bsm-63244R) at 1:200 overnight at 4°C, followed by conjugation to the bs-0295G-HRP and DAB (C-0010) staining.
Paraformaldehyde-fixed, paraffin embedded Rat Testicles; Antigen retrieval by boiling in sodium citrate buffer (pH6.0) for 15 min; The section was incubated with Acetyl-Histone H3(K9) Monoclonal Antibody, Unconjugated (bsm-63244R) at 1:200 overnight at 4°C, followed by conjugation to the bs-0295G-HRP and DAB (C-0010) staining.
Paraformaldehyde-fixed, paraffin embedded Mouse Testicles; Antigen retrieval by boiling in sodium citrate buffer (pH6.0) for 15 min; The section was incubated with Acetyl-Histone H3(K9) Monoclonal Antibody, Unconjugated (bsm-63244R) at 1:200 overnight at 4°C, followed by conjugation to the bs-0295G-HRP and DAB (C-0010) staining.
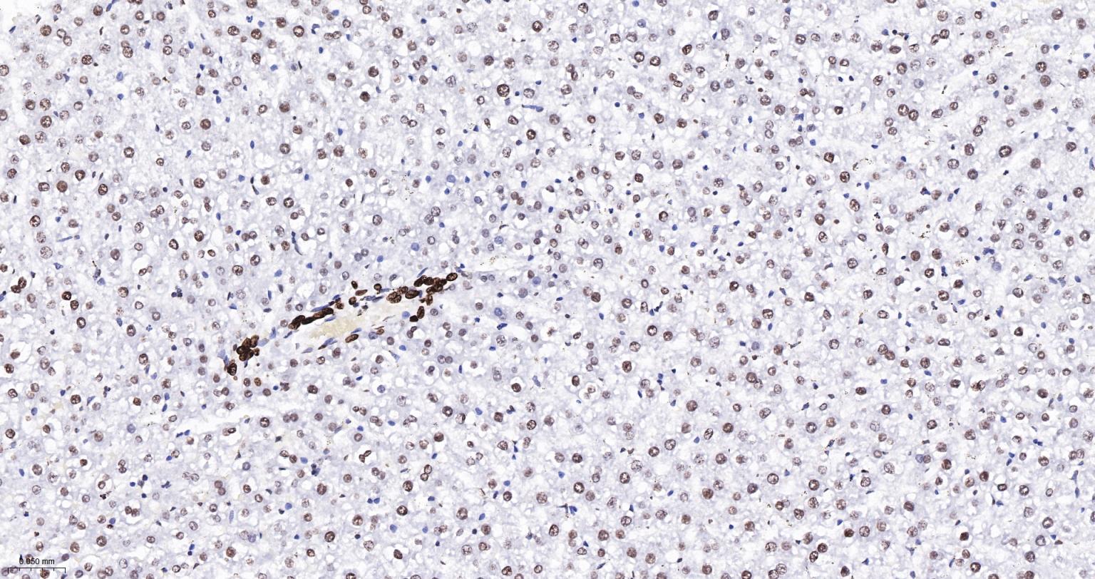
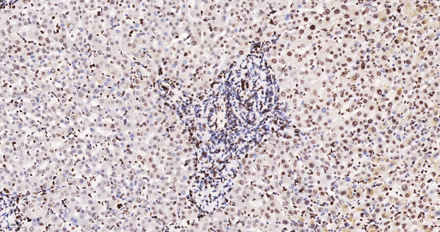
Paraformaldehyde-fixed, paraffin embedded Human Liver; Antigen retrieval by boiling in sodium citrate buffer (pH6.0) for 15 min; The section was incubated with Acetyl-Histone H3(K9) Monoclonal Antibody, Unconjugated (bsm-63244R) at 1:200 overnight at 4°C, followed by conjugation to the bs-0295G-HRP and DAB (C-0010) staining.
Paraformaldehyde-fixed, paraffin embedded Rat Liver; Antigen retrieval by boiling in sodium citrate buffer (pH6.0) for 15 min; The section was incubated with Acetyl-Histone H3(K9) Monoclonal Antibody, Unconjugated (bsm-63244R) at 1:200 overnight at 4°C, followed by conjugation to the bs-0295G-HRP and DAB (C-0010) staining.
Paraformaldehyde-fixed, paraffin embedded Mouse Liver; Antigen retrieval by boiling in sodium citrate buffer (pH6.0) for 15 min; The section was incubated with Acetyl-Histone H3(K9) Monoclonal Antibody, Unconjugated (bsm-63244R) at 1:200 overnight at 4°C, followed by conjugation to the bs-0295G-HRP and DAB (C-0010) staining.
4% Paraformaldehyde-fixed HeLa (treated with Trichostatin A (TSA)(1μM, 18h)) (H) cell; Triton X-100 at r.t. for 20 min; Antibody incubation with (Acetyl-Histone H3(K9)) monoclonal Antibody, unconjugated (bsm-63244R) 1:100, 90 min at 37°C; followed by BF488 conjugated Goat Anti-Rabbit IgG antibody (green, bs-60295G-BF488) at 37°C for 90 min, DAPI (blue, C02-04002) was used to stain the cell nuclei. PBS instead of the primary antibody was used as the blank control.
The HeLa (treated with Trichostatin A (TSA)(1μM, 18h)) (H) cells were fixed with 4% PFA (10 min at r.t.) and then permeabilized with 90% ice-cold methanol for 20 min at -20℃,the cells then were incubated in 5%BSA to block non-specific protein-protein interactions (30 min at r.t.), followed by secondary antibody incubation for 40 min at room temperature. Primary Antibody (green):Rabbit Anti-Acetyl-Histone H3(K9) antibody (bsm-63244R,1:100); Isotype Control (orange): Rabbit IgG (bs-0295P). Blank control (black): PBS. Acquisition of 20,000 events was performed.
版权所有 2004-2026 www.bioss.com.cn 北京博奥森生物技术有限公司
通过国际质量管理体系ISO 9001:2015 GB/T 19001-2016    证书编号: 00124Q34771R2M/1100
通过国际医疗器械-质量管理体系ISO 13485:2016 GB/T 42061-2022     证书编号: CQC24QY20047R0M/1100
京ICP备05066980号-1         京公网安备110107000727号