扫码关注公众号           扫码咨询技术支持           扫码咨询技术服务
  
客服热线:400-901-9800  客服QQ:4009019800  技术答疑  技术支持  质量反馈  人才招聘  关于我们  联系我们
产品中心-北京博奥森生物技术有限公司
首页 > 产品中心 > 一抗 > 产品信息
Nestin Mouse mAb (bsm-55556M)  
订购热线:400-901-9800
订购邮箱:sales@bioss.com.cn
订购QQ:  400-901-9800
技术支持:techsupport@bioss.com.cn
50ul/1180.00元
100ul/1980.00元
200ul/2800.00元
大包装/询价

产品编号 bsm-55556M
英文名称 Nestin Mouse mAb
中文名称 巢蛋白/神经上皮干细胞蛋白单克隆抗体
别    名 Nbla00170; ESTM46; Ifaprc2; Marc2; RC2; NEST_HUMAN; NES; NEST_MOUSE; NEST_RAT;   
抗体来源 Mouse
克隆类型 Monoclonal
克 隆 号 9F5
交叉反应 Rat
产品应用 IHC-P=1:100-500,IHC-F=1:100-500,IF=1:100-500
not yet tested in other applications.
optimal dilutions/concentrations should be determined by the end user.
理论分子量 208 kDa
细胞定位 细胞浆 
性    状 Liquid
浓    度 1mg/ml
免 疫 原 Recombinant protein corresponding to Mouse Nestin 
亚    型 IgG2b,k
纯化方法 affinity purified by Protein A
缓 冲 液 PBS with 0.02% Proclin300,100 μg/ml BSA and 50% glycerol.
保存条件 Shipped at 4℃. Store at -20℃ for one year. Avoid repeated freeze/thaw cycles.
注意事项 This product as supplied is intended for research use only, not for use in human, therapeutic or diagnostic applications.
PubMed PubMed
产品介绍 Nestin is a Class VI intermediate filament expressed in the developing central nervous system (CNS) in early embryonic neuroepithelial stem cells. This protein has been widely used as a predominant marker for stem / progenitor cells, glioma cells, and tumor endothelial cells in the mammalian CNS. Furthermore, it is a superior angiogenic marker to evaluate neovascularity of endothelial cells in tumor.

Function:
Required for brain and eye development (By similarity). Promotes the disassembly of phosphorylated vimentin intermediate filaments (IF) during mitosis and may play a role in the trafficking and distribution of IF proteins and other cellular factors to daughter cells during progenitor cell division. Required for survival, renewal and mitogen-stimulated proliferation of neural progenitor cells.

Subunit:
Forms homodimers and homotetramers in vitro. In mixtures with other intermediate filament proteins such as vimentin and alpha-internexin, this protein preferentially forms heterodimers which can assemble to form intermediate filaments if nestin does not exceed 25%. Interacts with FHOD3.

Subcellular Location:
cytoplasm

Tissue Specificity:
CNS stem cells.

Post-translational modifications:
Constitutively phosphorylated. This increases during mitosis when the cytoplasmic intermediate filament network is reorganized.

Similarity:
Belongs to the intermediate filament family.

SWISS:
Q6P5H2

Gene ID:
18008

Database links:

Entrez Gene : 10763 Human

Entrez Gene : 18008 Mouse

Entrez Gene : 25491 Rat

Omim : 600915 Human

SwissProt : P48681 Human

SwissProt : Q6P5H2 Mouse

SwissProt : P21263 Rat

Unigene : 527971 Human

Unigene : 331129 Mouse

Unigene : 9701 Rat



神经干细胞标志物 在动物体早期发育过程中,中枢神经系统发育尤为重要 。Nestin是一种中等纤维蛋白,它在哺乳动物神经前体细胞中表达较高,目前已被广泛用于神经前体细胞的重要标志分子。研究Nestin的表达调控规律,将有助于人们认识神经前体细胞的生物特性。此抗体还表达中枢神经系统干细胞及神经上皮细胞。
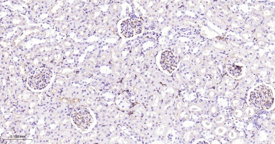
产品图片
Paraformaldehyde-fixed, paraffin embedded Rat Kidney; Antigen retrieval by boiling in sodium citrate buffer (pH6.0) for 15 min; Antibody incubation with Nestin Monoclonal Antibody, Unconjugated(bsm-55556M) at 1:200 overnight at 4°C, followed by conjugation to the bs-40296G-HRP and DAB (C-0010) staining.
版权所有 2004-2026 www.bioss.com.cn 北京博奥森生物技术有限公司
通过国际质量管理体系ISO 9001:2015 GB/T 19001-2016    证书编号: 00124Q34771R2M/1100
通过国际医疗器械-质量管理体系ISO 13485:2016 GB/T 42061-2022     证书编号: CQC24QY20047R0M/1100
京ICP备05066980号-1         京公网安备110107000727号