扫码关注公众号           扫码咨询技术支持           扫码咨询技术服务
  
客服热线:400-901-9800  客服QQ:4009019800  技术答疑  技术支持  质量反馈  人才招聘  关于我们  联系我们
产品中心-北京博奥森生物技术有限公司
首页 > 产品中心 > 一抗 > 产品信息
LAMP1 Recombinant Rabbit mAb (bsm-41335R)  
订购热线:400-901-9800
订购邮箱:sales@bioss.com.cn
订购QQ:  400-901-9800
技术支持:techsupport@bioss.com.cn
25ul/800.00元
50ul/1400.00元
100ul/2500.00元
大包装/询价

产品编号 bsm-41335R
英文名称 LAMP1 Recombinant Rabbit mAb
中文名称 溶酶体相关膜蛋白1(CD107)重组兔单抗
别    名 CD107a; LAMPA; LGP120; LGP-120; LGP-A; Lamp-1; P2B; Perk; LAMP1_HUMAN; LAMP1; Lysosome-associated membrane protein 1; CD107 antigen-like family member A; LAMP1_MOUSE; 120 kDa lysosomal membrane glycoprotein; Lysosomal membrane glycoprotein A (LGP-A); LAMP1_RAT; 120 kDa lysosomal membrane glycoprotein (LGP-120);   
抗体来源 Rabbit
克隆类型 Recombinant
克 隆 号 10G6
交叉反应 Human
产品应用 WB=1:1000-5000,IHC-P=1:200-1000,IHC-F=1:200-1000,IF=1:200-1000,ICC/IF=1:50-200
not yet tested in other applications.
optimal dilutions/concentrations should be determined by the end user.
理论分子量 45 kDa
检测分子量 120
性    状 Liquid
浓    度 1mg/ml
免 疫 原 Recombinant human LAMP1 protein: 29-382/417 
亚    型 IgG
纯化方法 affinity purified by Protein A
缓 冲 液 0.01M TBS (pH7.4) with 1% BSA, 0.02% Proclin300 and 50% Glycerol.
保存条件 Shipped at 4℃. Store at -20℃ for one year. Avoid repeated freeze/thaw cycles.
注意事项 This product as supplied is intended for research use only, not for use in human, therapeutic or diagnostic applications.
PubMed PubMed
产品介绍 Lysosome associated membrane protein (LAMP1), also known as lgp120 or lgpA, is a type 1 integral membrane protein that is transported from trans Golgi networks to endosomes and then lysosomes. Upon cell activation, LAMP1 transfer to the plasma membrane is dependent on a carboxyl terminal tyrosine based motif (YXXI). Perturbation in the spacing between the tyrosine based motif relative to the membrane abolishes lysosome localization of LAMP1. This mutant protein then cycles between the plasma membrane and the endosome. Cell surface LAMP1 and LAMP2 have been shown to promote adhesion of human peripheral blood mononuclear cells (PBMC) to vascular endothelium, therefore they are possibly involved in the adhesion of PBMCs to the site of inflammation.

SWISS:
P11279

Gene ID:
3916

产品图片
25 ug total protein per lane of various lysates (see on figure) probed with LAMP1 monoclonal antibody, unconjugated (bsm-41335R) at 1:1000 dilution and 4°C overnight incubation. Followed by conjugated secondary antibody incubation at r.t. for 60 min.
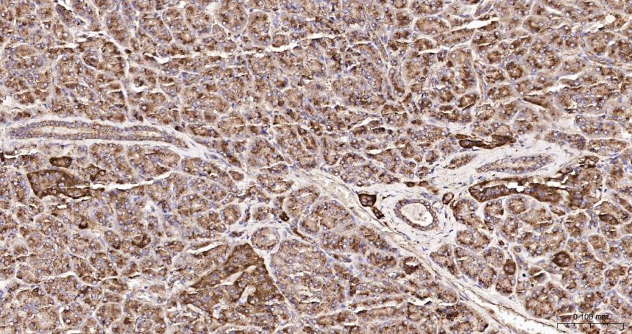
Paraformaldehyde-fixed, paraffin embedded Human Pancreas; Antigen retrieval by boiling in sodium citrate buffer (pH6.0) for 15 min; The section was incubated with LAMP1 Monoclonal Antibody, Unconjugated (bsm-41335R) at 1:200 overnight at 4°C, followed by conjugation to the bs-0295G-HRP and DAB (C-0010) staining.
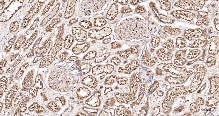
Paraformaldehyde-fixed, paraffin embedded Human Kidney; Antigen retrieval by boiling in sodium citrate buffer (pH6.0) for 15 min; The section was incubated with LAMP1 Monoclonal Antibody, Unconjugated (bsm-41335R) at 1:200 overnight at 4°C, followed by conjugation to the bs-0295G-HRP and DAB (C-0010) staining.
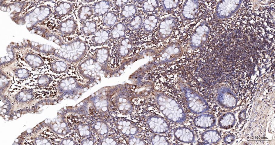
Paraformaldehyde-fixed, paraffin embedded Human Colon; Antigen retrieval by boiling in sodium citrate buffer (pH6.0) for 15 min; The section was incubated with LAMP1 Monoclonal Antibody, Unconjugated (bsm-41335R) at 1:200 overnight at 4°C, followed by conjugation to the bs-0295G-HRP and DAB (C-0010) staining.
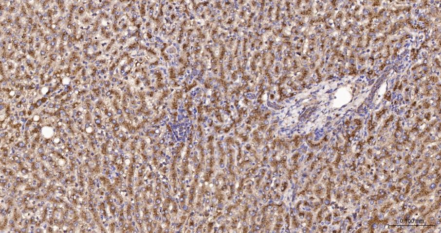
Paraformaldehyde-fixed, paraffin embedded Human Liver; Antigen retrieval by boiling in sodium citrate buffer (pH6.0) for 15 min; The section was incubated with LAMP1 Monoclonal Antibody, Unconjugated (bsm-41335R) at 1:200 overnight at 4°C, followed by conjugation to the bs-0295G-HRP and DAB (C-0010) staining.
Paraformaldehyde-fixed, paraffin embedded Human Tonsil; Antigen retrieval by boiling in sodium citrate buffer (pH6.0) for 15 min; The section was incubated with LAMP1 Monoclonal Antibody, Unconjugated (bsm-41335R) at 1:200 overnight at 4°C, followed by conjugation to the bs-0295G-HRP and DAB (C-0010) staining.
Paraformaldehyde-fixed, paraffin embedded Human Ovarian Cancer; Antigen retrieval by boiling in sodium citrate buffer (pH6.0) for 15 min; The section was incubated with LAMP1 Monoclonal Antibody, Unconjugated (bsm-41335R) at 1:200 overnight at 4°C, followed by conjugation to the bs-0295G-HRP and DAB (C-0010) staining.
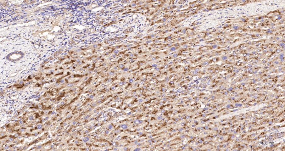
Paraformaldehyde-fixed, paraffin embedded Human Liver Cancer; Antigen retrieval by boiling in sodium citrate buffer (pH6.0) for 15 min; The section was incubated with LAMP1 Monoclonal Antibody, Unconjugated (bsm-41335R) at 1:200 overnight at 4°C, followed by conjugation to the bs-0295G-HRP and DAB (C-0010) staining.
Paraformaldehyde-fixed, paraffin embedded Human Spleen; Antigen retrieval by boiling in sodium citrate buffer (pH6.0) for 15 min; The section was incubated with LAMP1 Monoclonal Antibody, Unconjugated (bsm-41335R) at 1:200 overnight at 4°C, followed by conjugation to the bs-0295G-HRP and DAB (C-0010) staining.
4% Paraformaldehyde-fixed Hela (H) cell; Triton X-100 at r.t. for 20 min; Antibody incubation with (LAMP1) monoclonal Antibody, unconjugated (bsm-41335R) 1:100, 90 min at 37°C; followed by BF488 conjugated Goat Anti-Rabbit IgG antibody (green, bs-60295G-BF488) at 37°C for 90 min, DAPI (blue, C02-04002) was used to stain the cell nuclei. PBS instead of the primary antibody was used as the blank control.
版权所有 2004-2026 www.bioss.com.cn 北京博奥森生物技术有限公司
通过国际质量管理体系ISO 9001:2015 GB/T 19001-2016    证书编号: 00124Q34771R2M/1100
通过国际医疗器械-质量管理体系ISO 13485:2016 GB/T 42061-2022     证书编号: CQC24QY20047R0M/1100
京ICP备05066980号-1         京公网安备110107000727号