扫码关注公众号           扫码咨询技术支持           扫码咨询技术服务
  
客服热线:400-901-9800  客服QQ:4009019800  技术答疑  技术支持  质量反馈  关于我们  联系我们
产品中心-北京博奥森生物技术有限公司
首页 > 产品中心 > 一抗 > 产品信息
FCER2/CD23 Mouse mAb (bsm-43216M)  
订购热线:400-901-9800
订购邮箱:sales@bioss.com.cn
订购QQ:  400-901-9800
技术支持:techsupport@bioss.com.cn
50ul/1180.00元
100ul/1980.00元
200ul/2800.00元
大包装/询价

产品编号 bsm-43216M
英文名称 FCER2/CD23 Mouse mAb
中文名称 FCER2/CD23单克隆抗体
别    名 Fc EpsilonR II; FcεRII; Blast 2; Blast2; C type lectin domain family 4 member J; C-type lectin domain family 4, member J; CD 23; CD 23A; CD23 antigen; CD23A; CLEC 4J; CLEC4J; Fc epsilon RII; Fc fragment of IgE low affinity II receptor for; Fc fragment of IgE, low affinity II, receptor for(CD23); Fc of IgE, low affinity II, receptor for(CD23); Fc receptor IgE low affinity II alpha polypeptide; Fc receptor, IgE, low affinity II, alpha polypeptide, isoform CRA_a; FCE 2; FCE2; FCER 2; FCER2; FCER2A; IgE binding factor; IgE receptor lymphocyte; IgE-binding factor; IGEBF; Immunoglobulin E binding factor; Immunoglobulin E receptor, low affinity II; Low affinity immunoglobulin epsilon Fc receptor; Low affinity immunoglobulin epsilon Fc receptor membrane bound form; Low affinity immunoglobulin epsilon Fc receptor soluble form; Ly-42; Ly42; Lymphocyte antigen CD23; Lymphocyte IgE receptor; MGC93219.  
抗体来源 Mouse
克隆类型 Monoclonal
克 隆 号 10C1
交叉反应 Human
产品应用 IHC-P=1:100-500,IHC-F=1:100-500,IF=1:100-500
not yet tested in other applications.
optimal dilutions/concentrations should be determined by the end user.
理论分子量 36 kDa
检测分子量
性    状 Liquid
浓    度 1mg/ml
免 疫 原 Recombinant human FCER2/CD23 protein: 48-321/321 
亚    型 IgG
纯化方法 affinity purified by Protein A
缓 冲 液 0.01M TBS (pH7.4) with 1% BSA, 0.02% Proclin300 and 50% Glycerol.
保存条件 Shipped at 4℃. Store at -20℃ for one year. Avoid repeated freeze/thaw cycles.
注意事项 This product as supplied is intended for research use only, not for use in human, therapeutic or diagnostic applications.
PubMed PubMed
产品介绍
产品图片
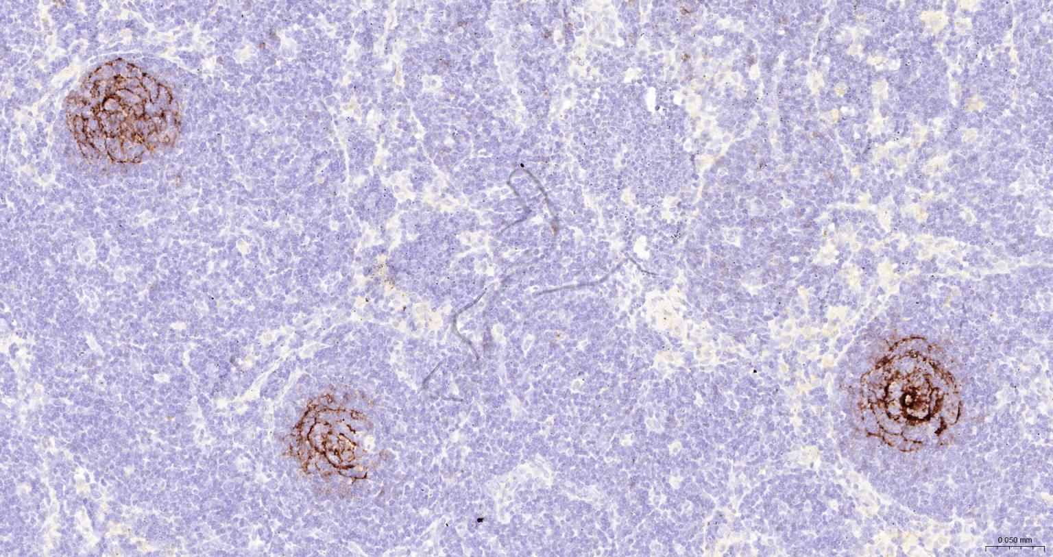
Paraformaldehyde-fixed, paraffin embedded Human Lymph; Antigen retrieval by boiling in sodium citrate buffer (pH6.0) for 15 min; The section was incubated with FCER2/CD23 Monoclonal Antibody, Unconjugated (bsm-43216M) at 1:200 overnight at 4°C, followed by conjugation to the bs-40296G-HRP and DAB (C-0010) staining.
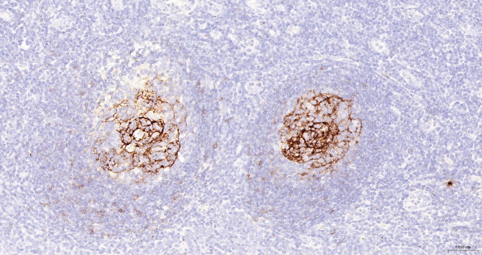
Paraformaldehyde-fixed, paraffin embedded Human Tonsil; Antigen retrieval by boiling in sodium citrate buffer (pH6.0) for 15 min; The section was incubated with FCER2/CD23 Monoclonal Antibody, Unconjugated (bsm-43216M) at 1:200 overnight at 4°C, followed by conjugation to the bs-40296G-HRP and DAB (C-0010) staining.
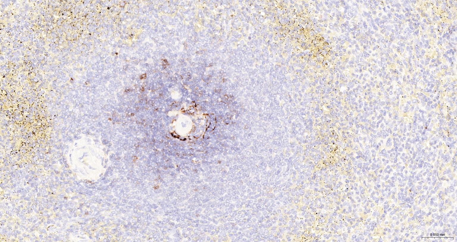
Paraformaldehyde-fixed, paraffin embedded Human Spleen; Antigen retrieval by boiling in sodium citrate buffer (pH6.0) for 15 min; The section was incubated with FCER2/CD23 Monoclonal Antibody, Unconjugated (bsm-43216M) at 1:200 overnight at 4°C, followed by conjugation to the bs-40296G-HRP and DAB (C-0010) staining.
(Negative control) Paraformaldehyde-fixed, paraffin embedded Human Heart; Antigen retrieval by boiling in sodium citrate buffer (pH6.0) for 15 min; The section was incubated with FCER2/CD23 Monoclonal Antibody, Unconjugated (bsm-43216M) at 1:200 overnight at 4°C, followed by conjugation to the bs-40296G-HRP and DAB (C-0010) staining.
版权所有 2004-2026 www.bioss.com.cn 北京博奥森生物技术有限公司
通过国际质量管理体系ISO 9001:2015 GB/T 19001-2016    证书编号: 00124Q34771R2M/1100
通过国际医疗器械-质量管理体系ISO 13485:2016 GB/T 42061-2022     证书编号: CQC24QY20047R0M/1100
京ICP备05066980号-1         京公网安备110107000727号