扫码关注公众号           扫码咨询技术支持           扫码咨询技术服务
  
客服热线:400-901-9800  客服QQ:4009019800  技术答疑  技术支持  质量反馈  人才招聘  关于我们  联系我们
产品中心-北京博奥森生物技术有限公司
首页 > 产品中心 > 一抗 > 产品信息
CD20 Recombinant Rabbit mAb (bsm-63327R)  
订购热线:400-901-9800
订购邮箱:sales@bioss.com.cn
订购QQ:  400-901-9800
技术支持:techsupport@bioss.com.cn
25ul/800.00元
50ul/1400.00元
100ul/2500.00元
大包装/询价

产品编号 bsm-63327R
英文名称 CD20 Recombinant Rabbit mAb
中文名称 CD20重组兔单抗
别    名 B1; Bp35; CD20; CVID5; FMC7; LEU-16; S7; CD20_HUMAN; MS4A1; B-lymphocyte surface antigen B1; Leukocyte surface antigen Leu-16; Membrane-spanning 4-domains subfamily A member 1;  
抗体来源 Rabbit
克隆类型 Recombinant
克 隆 号 1B9
交叉反应 Human
产品应用 WB=1:500-2000,IHC-P=1:100-500,IHC-F=1:100-500,IF=1:100-500,Flow-Cyt=1:50-100
not yet tested in other applications.
optimal dilutions/concentrations should be determined by the end user.
理论分子量 33 kDa
检测分子量 36
细胞定位 细胞膜 
性    状 Liquid
浓    度 1mg/ml
免 疫 原 A synthesized peptide derived from human CD20: 250-297/297 
亚    型 IgG
纯化方法 affinity purified by Protein A
缓 冲 液 0.01M TBS (pH7.4) with 1% BSA, 0.02% Proclin300 and 50% Glycerol.
保存条件 Shipped at 4℃. Store at -20℃ for one year. Avoid repeated freeze/thaw cycles.
注意事项 This product as supplied is intended for research use only, not for use in human, therapeutic or diagnostic applications.
PubMed PubMed
产品介绍 CD20 is a non glycosylated protein with a molecular weight of 35 or 37 kDa depending on the degree of phosphorylation. Although not a member of the tetraspanin superfamily of cell surface receptors, it crosses the cell membrane four times. The CD20 antigen is present on human pre B lymphocytes and on B lymphocytes at all stages of maturation, except on plasma cells. Low level expression of the CD20 antigen has been detected on normal T lymphocytes. The CD20 molecule is involved in regulation of B cell differentiation, presumably via its reported function as a Ca++ channel subunit.

Function:
This protein may be involved in the regulation of B-cell activation and proliferation

Subcellular Location:
Membrane; Multi-pass membrane protein.

Tissue Specificity:
Expressed on B-cells.

Post-translational modifications:
Phosphorylated. Might be functionally regulated by protein kinase(s).

DISEASE:
Defects in MS4A1 are the cause of immunodeficiency common variable type 5 (CVID5) [MIM:613495]; also called antibody deficiency due to CD20 defect. CVID5 is a primary immunodeficiency characterized by antibody deficiency, hypogammaglobulinemia, recurrent bacterial infections and an inability to mount an antibody response to antigen. The defect results from a failure of B-cell differentiation and impaired secretion of immunoglobulins; the numbers of circulating B-cells is usually in the normal range, but can be low.

Similarity:
Belongs to the MS4A family.

SWISS:
P11836

Gene ID:
931

Database links:

Entrez Gene : 931 Human

Omim : 112210 Human

SwissProt : P11836 Human

Unigene : 712553 Human



[PHARMACEUTICAL] Monoclonal antibodies (mAb) against CD20 are used to treat B-cell non-Hodgkin lymphoma (NHL). These antibodies include Rituximab (Mabthera), Britumomab (Zevalin) and Tositumomab (Bexxar). CD20 engaged by mAb can generate transmembrane signals capable of directly controlling cell growth and triggering cell death in certain tumors. Alternatively, mAb can mediate complement-dependent cytotoxicity. B淋巴细胞标志物 CD20是B细胞特异性抗原,其表达呈细胞类型一种质膜蛋白质,参与信号传导作用,此抗体识别大多数B细胞上的一种抗原。多用于标记B淋巴细胞及B细胞淋巴瘤。 CD20一般不与T细胞交叉反应,对B细胞淋巴瘤和急慢性淋巴细胞白血病等有较好的细胞特异性,因此在恶性淋巴瘤,尤其是T或B细胞淋巴瘤的分类上,CD20是最常用的B细胞标志。
产品图片
25 ug total protein per lane of various lysates (see on figure) probed with CD20 monoclonal antibody, unconjugated (bsm-63327R) at 1:1000 dilution and 4°C overnight incubation. Followed by conjugated secondary antibody incubation at r.t. for 60 min.
Paraformaldehyde-fixed, paraffin embedded Human Gastric Cancer; Antigen retrieval by boiling in sodium citrate buffer (pH6.0) for 15 min; Antibody incubation with CD20 Monoclonal Antibody, Unconjugated(bsm-63327R) at 1:200 overnight at 4°C, followed by conjugation to the bs-0295G-HRP and DAB (C-0010) staining.
Paraformaldehyde-fixed, paraffin embedded Human Esophageal Cancer; Antigen retrieval by boiling in sodium citrate buffer (pH6.0) for 15 min; Antibody incubation with CD20 Monoclonal Antibody, Unconjugated(bsm-63327R) at 1:200 overnight at 4°C, followed by conjugation to the bs-0295G-HRP and DAB (C-0010) staining.
Paraformaldehyde-fixed, paraffin embedded Human Breast Cancer; Antigen retrieval by boiling in sodium citrate buffer (pH6.0) for 15 min; Antibody incubation with CD20 Monoclonal Antibody, Unconjugated(bsm-63327R) at 1:200 overnight at 4°C, followed by conjugation to the bs-0295G-HRP and DAB (C-0010) staining.
Paraformaldehyde-fixed, paraffin embedded Human Spleen; Antigen retrieval by boiling in sodium citrate buffer (pH6.0) for 15 min; Antibody incubation with CD20 Monoclonal Antibody, Unconjugated(bsm-63327R) at 1:200 overnight at 4°C, followed by conjugation to the bs-0295G-HRP and DAB (C-0010) staining.
Paraformaldehyde-fixed, paraffin embedded Human Liver Cancer; Antigen retrieval by boiling in sodium citrate buffer (pH6.0) for 15 min; Antibody incubation with CD20 Monoclonal Antibody, Unconjugated(bsm-63327R) at 1:200 overnight at 4°C, followed by conjugation to the bs-0295G-HRP and DAB (C-0010) staining.
Paraformaldehyde-fixed, paraffin embedded Human Tonsil; Antigen retrieval by boiling in sodium citrate buffer (pH6.0) for 15 min; Antibody incubation with CD20 Monoclonal Antibody, Unconjugated(bsm-63327R) at 1:200 overnight at 4°C, followed by conjugation to the bs-0295G-HRP and DAB (C-0010) staining.
Paraformaldehyde-fixed, paraffin embedded Human Diffuse large B-cell lymphoma; Antigen retrieval by boiling in sodium citrate buffer (pH6.0) for 15 min; Antibody incubation with CD20 Monoclonal Antibody, Unconjugated(bsm-63327R) at 1:200 overnight at 4°C, followed by conjugation to the bs-0295G-HRP and DAB (C-0010) staining.
Paraformaldehyde-fixed, paraffin embedded Human Lung Cancer; Antigen retrieval by boiling in sodium citrate buffer (pH6.0) for 15 min; Antibody incubation with CD20 Monoclonal Antibody, Unconjugated(bsm-63327R) at 1:200 overnight at 4°C, followed by conjugation to the bs-0295G-HRP and DAB (C-0010) staining.
(Negative control)Paraformaldehyde-fixed, paraffin embedded Human Cerebrum; Antigen retrieval by boiling in sodium citrate buffer (pH6.0) for 15 min; Antibody incubation with CD20 Monoclonal Antibody, Unconjugated(bsm-63327R) at 1:200 overnight at 4°C, followed by conjugation to the bs-0295G-HRP and DAB (C-0010) staining.
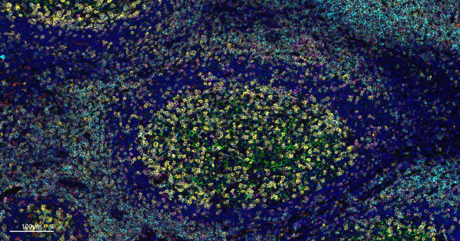
Paraformaldehyde-fixed, paraffin embedded Human Tonsil. Merged staining of anti-CD8A (bsm-34251M; 1:200; pink) anti-CD4 (bsm-52469R; 1:200; light blue) anti-CD3E (bsm-60002R; 1:200; green) anti-CD68 (bsm-60634R; 1:200; white) anti-CD11c (bsm-61135R; 1:200; orange) and anti-CD20 (bsm-63327R; 1:200; yellow) DAPI (dark blue) was used as a nuclear counter stain.
Paraformaldehyde-fixed, paraffin embedded Human Tonsil. Merged staining of anti-CD68 (bsm-60634R; 1:200; red) anti- CD20 (bsm-63327R; 1:200; white) anti-CD3E (bsm-60002R; 1:200; light blue) anti-CD4 (bsm-52469R; 1:200; rose red) anti-Ki67 (bsm-52455R; 1:200; bean green) anti-Vimentin (bsm-33170M; 1:200; yellow) and anti-Pan Cytokeratin (bsm-34137M; 1:150; green) DAPI (dark blue) was used as a nuclear counter stain.
Paraformaldehyde-fixed, paraffin embedded Human Tonsil; Antigen retrieval by boiling in sodium citrate buffer (pH6.0) for 15 min; The section was incubated with CD20 Monoclonal Antibody, Unconjugated (bsm-63327R) at 1:200 overnight at 4°C. Followed by conjugated Goat Anti-Rabbit IgG antibody (Red, bs-0295G-BF594), DAPI (blue, C02-04002) was used to stain the cell nuclei.
The Raji (H) cells were incubated in 5%BSA to block non-specific protein-protein interactions (30 min at r.t.). Primary Antibody (green): Rabbit Anti-CD20 antibody (bsm-63327R): 1 μg/10^6 cells; Secondary Antibody (white blue): Goat anti-Rabbit IgG-BF488 (bs-60295G-BF488): 1 μg/test. Blank control (black): PBS. Acquisition of 20,000 events was performed.
版权所有 2004-2026 www.bioss.com.cn 北京博奥森生物技术有限公司
通过国际质量管理体系ISO 9001:2015 GB/T 19001-2016    证书编号: 00124Q34771R2M/1100
通过国际医疗器械-质量管理体系ISO 13485:2016 GB/T 42061-2022     证书编号: CQC24QY20047R0M/1100
京ICP备05066980号-1         京公网安备110107000727号