扫码关注公众号           扫码咨询技术支持           扫码咨询技术服务
  
客服热线:400-901-9800  客服QQ:4009019800  技术答疑  技术支持  质量反馈  人才招聘  关于我们  联系我们
产品中心-北京博奥森生物技术有限公司
首页 > 产品中心 > 一抗 > 产品信息
DLK1 Recombinant Rabbit mAb (bsm-55569R)  
订购热线:400-901-9800
订购邮箱:sales@bioss.com.cn
订购QQ:  400-901-9800
技术支持:techsupport@bioss.com.cn
25ul/800.00元
50ul/1400.00元
100ul/2500.00元
大包装/询价

产品编号 bsm-55569R
英文名称 DLK1 Recombinant Rabbit mAb
中文名称 穿膜蛋白DLK1重组兔单抗
别    名 DLK; DLK-1; Delta1; FA1; PREF1; Pref-1; ZOG; pG2; DlkI; Ly107; Peg9; SCP1; DLK1_HUMAN; DLK1; DLK1_MOUSE; Adipocyte differentiation inhibitor protein; Preadipocyte factor 1 (Pref-1); Scp-1;  
抗体来源 Rabbit
克隆类型 Recombinant
克 隆 号 2A8
交叉反应 Human,Mouse,Rat
产品应用 WB=1:500-2000,IHC-P=1:100-500,IHC-F=1:100-500,IF=1:100-500
not yet tested in other applications.
optimal dilutions/concentrations should be determined by the end user.
理论分子量 42 kDa
检测分子量 45
性    状 Liquid
免 疫 原 KLH conjugated synthetic peptide derived from human DLK1 
亚    型 IgG
纯化方法 affinity purified by Protein A
缓 冲 液 0.22μm filtered solution in 20mM hepes7.4, 150mm NaCl, 50% glycerin,0.03% proclin.
保存条件 Shipped at 4℃. Store at -20℃ for one year. Avoid repeated freeze/thaw cycles.
注意事项 This product as supplied is intended for research use only, not for use in human, therapeutic or diagnostic applications.
PubMed PubMed
产品介绍
产品图片
25 ug total protein per lane of various lysates (see on figure) probed with DLK1 monoclonal antibody, unconjugated (bsm-55569R) at 1:1000 dilution and 4°C overnight incubation. Followed by conjugated secondary antibody incubation at r.t. for 60 min.
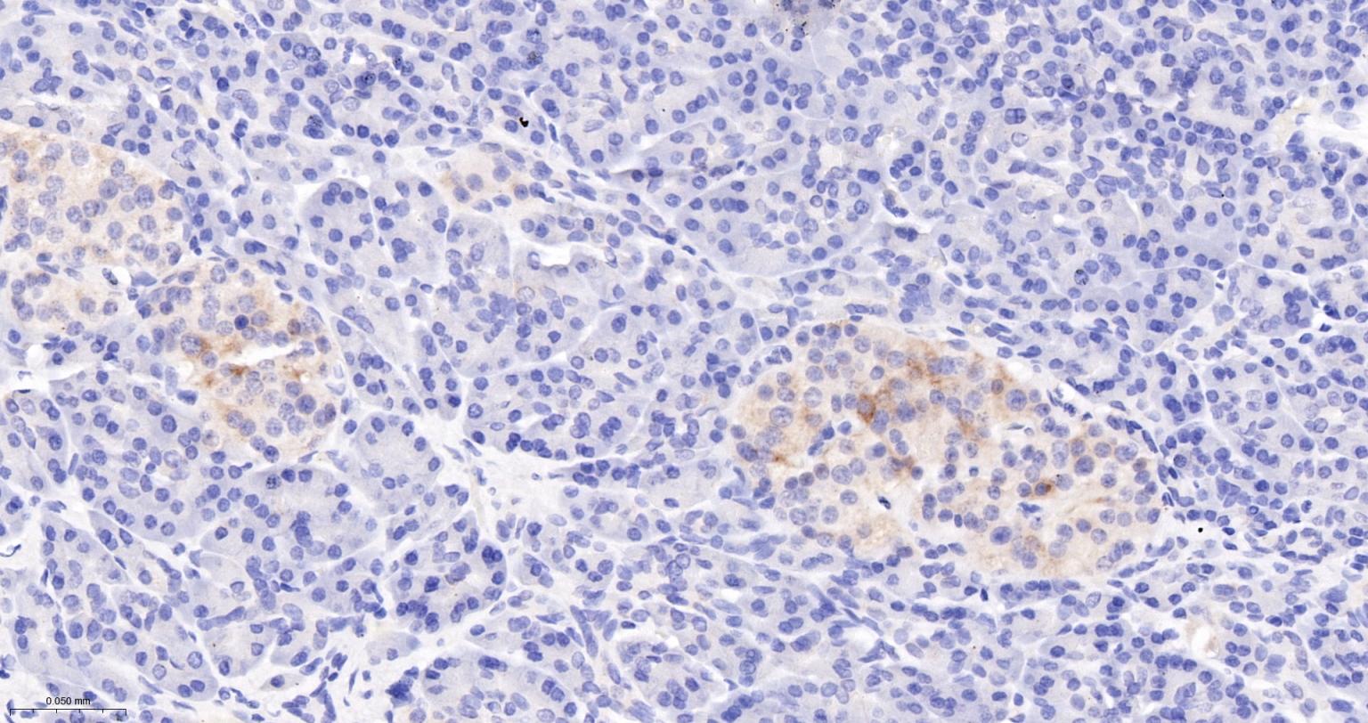
Paraformaldehyde-fixed, paraffin embedded Human Pancreas; Antigen retrieval by boiling in sodium citrate buffer (pH6.0) for 15 min; The section was incubated with DLK1 Monoclonal Antibody, Unconjugated (bsm-55569R) at 1:200 overnight at 4°C, followed by conjugation to the bs-0295G-HRP and DAB (C-0010) staining.
Paraformaldehyde-fixed, paraffin embedded Human Placenta; Antigen retrieval by boiling in sodium citrate buffer (pH6.0) for 15 min; Antibody incubation with DLK1 Monoclonal Antibody, Unconjugated(bsm-55569R) at 1:200 overnight at 4°C, followed by conjugation to the bs-0295G-HRP and DAB (C-0010) staining.
版权所有 2004-2026 www.bioss.com.cn 北京博奥森生物技术有限公司
通过国际质量管理体系ISO 9001:2015 GB/T 19001-2016    证书编号: 00124Q34771R2M/1100
通过国际医疗器械-质量管理体系ISO 13485:2016 GB/T 42061-2022     证书编号: CQC24QY20047R0M/1100
京ICP备05066980号-1         京公网安备110107000727号