扫码关注公众号           扫码咨询技术支持           扫码咨询技术服务
  
客服热线:400-901-9800  客服QQ:4009019800  技术答疑  技术支持  质量反馈  人才招聘  关于我们  联系我们
产品中心-北京博奥森生物技术有限公司
首页 > 产品中心 > 一抗 > 产品信息
CD16B mAb (bsm-43215M)  
订购热线:400-901-9800
订购邮箱:sales@bioss.com.cn
订购QQ:  400-901-9800
技术支持:techsupport@bioss.com.cn
50ul/1180.00元
100ul/1980.00元
200ul/2800.00元
大包装/询价

产品编号 bsm-43215M
英文名称 CD16B mAb
中文名称 FC段γ受体3B/免疫球蛋白G Fc段受体IIIB单克隆抗体
别    名 CD16; CD16-I; CD16A; CD16b; FCG3; FCGR3; FCGR3A; FCR-10; FCRIII; FCRIIIb; FCG3B_HUMAN; FCGR3B; Fc-gamma RIII-beta (CD16-I | Fc-gamma RIII | Fc-gamma RIIIb | FcRIII | FcRIIIb); IgG Fc receptor III-1; IGFR3;   
抗体来源
克隆类型 Monoclonal
克 隆 号
交叉反应 Human
产品应用 IHC-P=1:200-1000,IHC-F=1:200-1000,IF=1:200-1000
not yet tested in other applications.
optimal dilutions/concentrations should be determined by the end user.
理论分子量 26 kDa
性    状 Liquid
浓    度 1mg/ml
免 疫 原 Recombinant human Fc gamma RIIIB / CD16b (NA2) Protein: 17-200/233 
亚    型 IgG
纯化方法 affinity purified by Protein A
保存条件 Shipped at 4℃. Store at -20℃ for one year. Avoid repeated freeze/thaw cycles.
注意事项 This product as supplied is intended for research use only, not for use in human, therapeutic or diagnostic applications.
PubMed PubMed
产品介绍 The protein encoded by this gene is a low affinity receptor for the Fc region of gamma immunoglobulins (IgG). The encoded protein acts as a monomer and can bind either monomeric or aggregated IgG. This gene may function to capture immune complexes in the peripheral circulation. Several transcript variants encoding different isoforms have been found for this gene. A highly-similar gene encoding a related protein is also found on chromosome 1. [provided by RefSeq, Aug 2012]

SWISS:
O75015

Gene ID:
2215

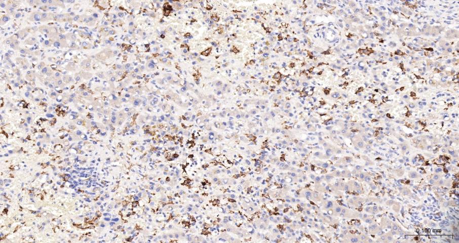
产品图片
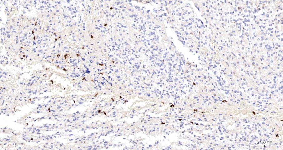
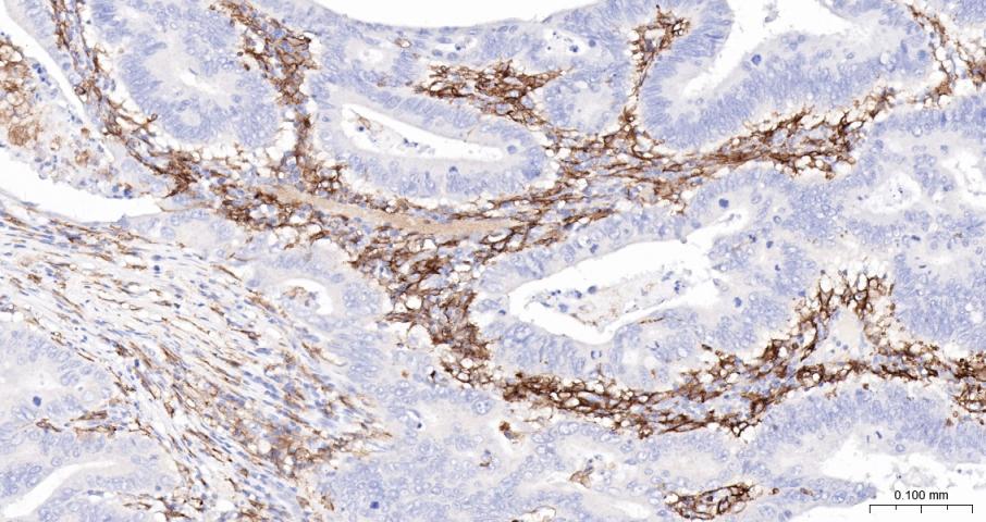
Paraformaldehyde-fixed, paraffin embedded Human Pyogenic appendicitis; Antigen retrieval by boiling in sodium citrate buffer (pH6.0) for 15 min; The section was incubated with CD16B mAb Monoclonal Antibody, Unconjugated (bsm-43215M) at 1:200 overnight at 4°C, followed by conjugation to the bs-40296G-HRP and DAB (C-0010) staining.
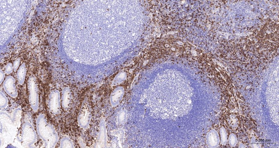
Paraformaldehyde-fixed, paraffin embedded Human Chronic tonsillitis; Antigen retrieval by boiling in sodium citrate buffer (pH6.0) for 15 min; The section was incubated with CD16B mAb Monoclonal Antibody, Unconjugated (bsm-43215M) at 1:200 overnight at 4°C, followed by conjugation to the bs-40296G-HRP and DAB (C-0010) staining.
Paraformaldehyde-fixed, paraffin embedded Human Colon Cancer; Antigen retrieval by boiling in sodium citrate buffer (pH6.0) for 15 min; The section was incubated with CD16B mAb Monoclonal Antibody, Unconjugated (bsm-43215M) at 1:200 overnight at 4°C, followed by conjugation to the bs-40296G-HRP and DAB (C-0010) staining.
Paraformaldehyde-fixed, paraffin embedded Human Glioblastoma; Antigen retrieval by boiling in sodium citrate buffer (pH6.0) for 15 min; The section was incubated with CD16B mAb Monoclonal Antibody, Unconjugated (bsm-43215M) at 1:200 overnight at 4°C, followed by conjugation to the bs-40296G-HRP and DAB (C-0010) staining.
Paraformaldehyde-fixed, paraffin embedded Human Liver Cancer; Antigen retrieval by boiling in sodium citrate buffer (pH6.0) for 15 min; The section was incubated with CD16B mAb Monoclonal Antibody, Unconjugated (bsm-43215M) at 1:200 overnight at 4°C, followed by conjugation to the bs-40296G-HRP and DAB (C-0010) staining.
Paraformaldehyde-fixed, paraffin embedded Human Lung squamous cell carcinoma; Antigen retrieval by boiling in sodium citrate buffer (pH6.0) for 15 min; The section was incubated with CD16B mAb Monoclonal Antibody, Unconjugated (bsm-43215M) at 1:200 overnight at 4°C, followed by conjugation to the bs-40296G-HRP and DAB (C-0010) staining.
版权所有 2004-2026 www.bioss.com.cn 北京博奥森生物技术有限公司
通过国际质量管理体系ISO 9001:2015 GB/T 19001-2016    证书编号: 00124Q34771R2M/1100
通过国际医疗器械-质量管理体系ISO 13485:2016 GB/T 42061-2022     证书编号: CQC24QY20047R0M/1100
京ICP备05066980号-1         京公网安备110107000727号