扫码关注公众号           扫码咨询技术支持           扫码咨询技术服务
  
客服热线:400-901-9800  客服QQ:4009019800  技术答疑  技术支持  质量反馈  人才招聘  关于我们  联系我们
产品中心-北京博奥森生物技术有限公司
首页 > 产品中心 > 一抗 > 产品信息
CD32/FcRII-b Mouse mAb (bsm-43210M)  
订购热线:400-901-9800
订购邮箱:sales@bioss.com.cn
订购QQ:  400-901-9800
技术支持:techsupport@bioss.com.cn
50ul/1180.00元
100ul/1980.00元
200ul/2800.00元
大包装/询价

产品编号 bsm-43210M
英文名称 CD32/FcRII-b Mouse mAb
中文名称 低亲和力免疫球蛋白γFc区受体II-b/Fc γ RII b单克隆抗体
别    名 CD32; CD32B; FCG2; FCGR2; FCGR2C; FcGRIIB; FcRII-c; FcgammaRIIb; IGFR2; FCG2B_HUMAN; FCGR2B; IgG Fc receptor II-b; CDw32; Fc-gamma RII-b (Fc-gamma-RIIb | FcRII-b);   
抗体来源 Mouse
克隆类型 Monoclonal
克 隆 号 4A11
交叉反应 Human
产品应用 WB=1:500-2000,IHC-P=1:100-500,IHC-F=1:100-500,IF=1:100-500
not yet tested in other applications.
optimal dilutions/concentrations should be determined by the end user.
理论分子量 34 kDa
性    状 Liquid
浓    度 1mg/ml
免 疫 原 Recombinant Human Fc gamma RIIB/C(CD32b/c): 46-217/291 
亚    型 IgG
纯化方法 affinity purified by Protein A
缓 冲 液 0.01M TBS (pH7.4) with 1% BSA, 0.02% Proclin300 and 50% Glycerol.
保存条件 Shipped at 4℃. Store at -20℃ for one year. Avoid repeated freeze/thaw cycles.
注意事项 This product as supplied is intended for research use only, not for use in human, therapeutic or diagnostic applications.
PubMed PubMed
产品介绍 The protein encoded by this gene is a low affinity receptor for the Fc region of immunoglobulin gamma complexes. The encoded protein is involved in the phagocytosis of immune complexes and in the regulation of antibody production by B-cells. Variations in this gene may increase susceptibilty to systemic lupus erythematosus (SLE). Several transcript variants encoding different isoforms have been found for this gene. [provided by RefSeq, Jun 2010]

SWISS:
P31994

Gene ID:
2213

产品图片
25 ug total protein per lane of various lysates (see on figure) probed with CD32/FcRII-b monoclonal antibody, unconjugated (bsm-43210M) at 1:1000 dilution and 4°C overnight incubation. Followed by conjugated secondary antibody incubation at r.t. for 60 min.
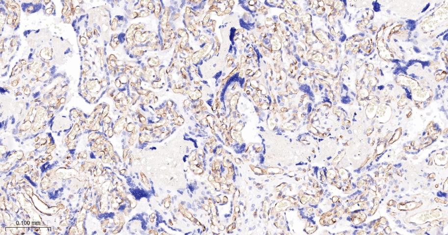
Paraformaldehyde-fixed, paraffin embedded Human Placenta; Antigen retrieval by boiling in sodium citrate buffer (pH6.0) for 15 min; The section was incubated with CD32/FcRII-b Monoclonal Antibody, Unconjugated (bsm-43210M) at 1:200 overnight at 4°C, followed by conjugation to the bs-40296G-HRP and DAB (C-0010) staining.
Paraformaldehyde-fixed, paraffin embedded Human Spleen; Antigen retrieval by boiling in sodium citrate buffer (pH6.0) for 15 min; The section was incubated with CD32/FcRII-b Monoclonal Antibody, Unconjugated (bsm-43210M) at 1:200 overnight at 4°C, followed by conjugation to the bs-40296G-HRP and DAB (C-0010) staining.
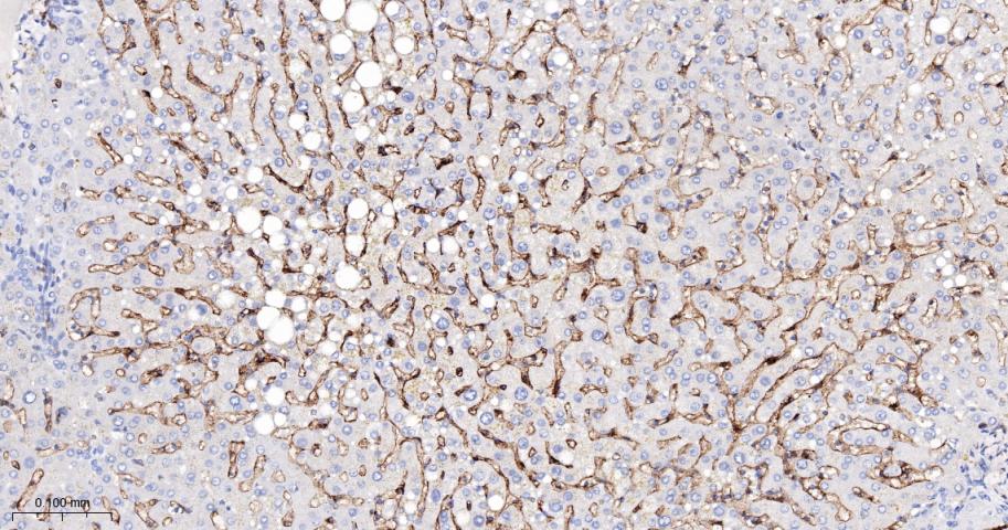
Paraformaldehyde-fixed, paraffin embedded Human Liver; Antigen retrieval by boiling in sodium citrate buffer (pH6.0) for 15 min; The section was incubated with CD32/FcRII-b Monoclonal Antibody, Unconjugated (bsm-43210M) at 1:200 overnight at 4°C, followed by conjugation to the bs-40296G-HRP and DAB (C-0010) staining.
版权所有 2004-2026 www.bioss.com.cn 北京博奥森生物技术有限公司
通过国际质量管理体系ISO 9001:2015 GB/T 19001-2016    证书编号: 00124Q34771R2M/1100
通过国际医疗器械-质量管理体系ISO 13485:2016 GB/T 42061-2022     证书编号: CQC24QY20047R0M/1100
京ICP备05066980号-1         京公网安备110107000727号