扫码关注公众号           扫码咨询技术支持           扫码咨询技术服务
  
客服热线:400-901-9800  客服QQ:4009019800  技术答疑  技术支持  质量反馈  人才招聘  关于我们  联系我们
产品中心-北京博奥森生物技术有限公司
首页 > 产品中心 > 一抗 > 产品信息
CD16A Mouse mAb (bsm-43212M)  
订购热线:400-901-9800
订购邮箱:sales@bioss.com.cn
订购QQ:  400-901-9800
技术支持:techsupport@bioss.com.cn
50ul/1180.00元
100ul/1980.00元
200ul/2800.00元
大包装/询价

产品编号 bsm-43212M
英文名称 CD16A Mouse mAb
中文名称 FC段γ受体3/免疫球蛋白G Fc段受体III单克隆抗体
别    名 CD16; CD16-II; CD16A; FCG3; FCGR3; FCGRIII; FCR-10; FCRIII; FCRIIIA; FcGRIIIA; IGFR3; IMD20; CD16-2; Fcgr4; FCG3A_HUMAN; FCGR3A; IgG Fc receptor III-A; CD16a antigen; Fc-gamma RIII-alpha (Fc-gamma RIII | Fc-gamma RIIIa | FcRIII | FcRIIIa | FcgammaRIIIA); IgG Fc receptor III-2; FCGR3_MOUSE; IgG Fc receptor III; Fc-gamma RIII (FcRIII); FCGR3_RAT;   
抗体来源 Mouse
克隆类型 Monoclonal
克 隆 号
交叉反应 Human
产品应用 IHC-P=1:100-500,IHC-F=1:100-500,IF=1:100-500
not yet tested in other applications.
optimal dilutions/concentrations should be determined by the end user.
理论分子量 27 kDa
性    状 Liquid
浓    度 1mg/ml
免 疫 原 Recombinant human Fc gamma RIIIA/CD16a (F176) Protein: 17-208/254 
亚    型 IgG
纯化方法 affinity purified by Protein A
缓 冲 液 0.01M TBS (pH7.4) with 1% BSA, 0.02% Proclin300 and 50% Glycerol.
保存条件 Shipped at 4℃. Store at -20℃ for one year. Avoid repeated freeze/thaw cycles.
注意事项 This product as supplied is intended for research use only, not for use in human, therapeutic or diagnostic applications.
PubMed PubMed
产品介绍 This gene encodes a receptor for the Fc portion of immunoglobulin G, and it is involved in the removal of antigen-antibody complexes from the circulation, as well as other responses, including antibody dependent cellular mediated cytotoxicity and antibody dependent enhancement of virus infections. This gene (FCGR3A) is highly similar to another nearby gene (FCGR3B) located on chromosome 1. The receptor encoded by this gene is expressed on natural killer (NK) cells as an integral membrane glycoprotein anchored through a transmembrane peptide, whereas FCGR3B is expressed on polymorphonuclear neutrophils (PMN) where the receptor is anchored through a phosphatidylinositol (PI) linkage. Mutations in this gene are associated with immunodeficiency 20, and have been linked to susceptibility to recurrent viral infections, susceptibility to systemic lupus erythematosus, and alloimmune neonatal neutropenia. Alternatively spliced transcript variants encoding different isoforms have been found for this gene. [provided by RefSeq, Aug 2020]

SWISS:
P08637

Gene ID:
2214

产品图片
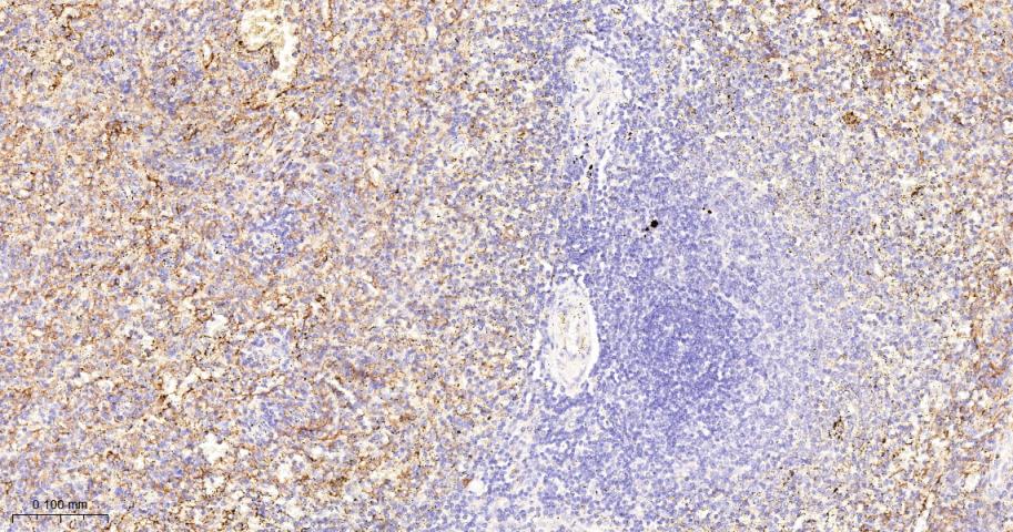
Paraformaldehyde-fixed, paraffin embedded Human Spleen; Antigen retrieval by boiling in sodium citrate buffer (pH6.0) for 15 min; The section was incubated with CD16A Monoclonal Antibody, Unconjugated (bsm-43212M) at 1:200 overnight at 4°C, followed by conjugation to the bs-40296G-HRP and DAB (C-0010) staining.
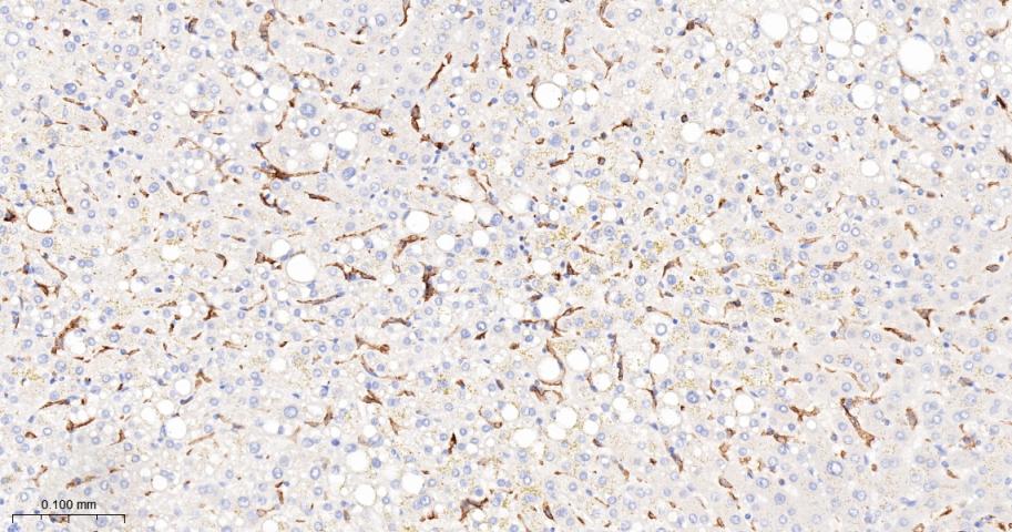
Paraformaldehyde-fixed, paraffin embedded Human Liver; Antigen retrieval by boiling in sodium citrate buffer (pH6.0) for 15 min; The section was incubated with CD16A Monoclonal Antibody, Unconjugated (bsm-43212M) at 1:200 overnight at 4°C, followed by conjugation to the bs-40296G-HRP and DAB (C-0010) staining.
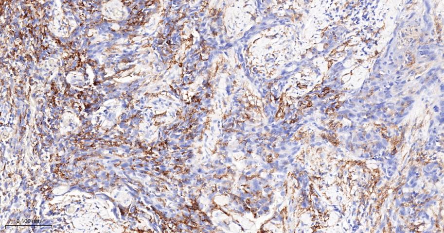
Paraformaldehyde-fixed, paraffin embedded Human cervical cancer; Antigen retrieval by boiling in sodium citrate buffer (pH6.0) for 15 min; The section was incubated with CD16A Monoclonal Antibody, Unconjugated (bsm-43212M) at 1:200 overnight at 4°C, followed by conjugation to the bs-40296G-HRP and DAB (C-0010) staining.
版权所有 2004-2026 www.bioss.com.cn 北京博奥森生物技术有限公司
通过国际质量管理体系ISO 9001:2015 GB/T 19001-2016    证书编号: 00124Q34771R2M/1100
通过国际医疗器械-质量管理体系ISO 13485:2016 GB/T 42061-2022     证书编号: CQC24QY20047R0M/1100
京ICP备05066980号-1         京公网安备110107000727号