扫码关注公众号           扫码咨询技术支持           扫码咨询技术服务
  
客服热线:400-901-9800  客服QQ:4009019800  技术答疑  技术支持  质量反馈  人才招聘  关于我们  联系我们
产品中心-北京博奥森生物技术有限公司
首页 > 产品中心 > 一抗 > 产品信息
SERPINB3 Mouse mAb (bsm-43190M)  
订购热线:400-901-9800
订购邮箱:sales@bioss.com.cn
订购QQ:  400-901-9800
技术支持:techsupport@bioss.com.cn
50ul/1180.00元
100ul/1980.00元
200ul/2800.00元
大包装/询价

产品编号 bsm-43190M
英文名称 SERPINB3 Mouse mAb
中文名称 丝氨酸蛋白酶抑制剂B3单克隆抗体
别    名 HsT1196; SCC; SCCA-1; SCCA-PD; SCCA1; SSCA1; T4-A; SPB3_HUMAN; SERPINB3; Protein T4-A; Squamous cell carcinoma antigen 1 (SCCA-1); SCCA;   
抗体来源 Mouse
克隆类型 Monoclonal
克 隆 号 8C9
交叉反应 Human
产品应用 IHC-P=1:100-500,IHC-F=1:100-500,IF=1:100-500
not yet tested in other applications.
optimal dilutions/concentrations should be determined by the end user.
理论分子量 45 kDa
细胞定位 细胞浆 分泌型蛋白 
性    状 Liquid
免 疫 原 Recombinant human SERPINB3 protein: 1-390/390 
亚    型 IgG
纯化方法 affinity purified by Protein A
缓 冲 液 0.01M TBS (pH7.4) with 1% BSA, 0.02% Proclin300 and 50% Glycerol.
保存条件 Shipped at 4℃. Store at -20℃ for one year. Avoid repeated freeze/thaw cycles.
注意事项 This product as supplied is intended for research use only, not for use in human, therapeutic or diagnostic applications.
PubMed PubMed
产品介绍

Enables cysteine-type endopeptidase inhibitor activity; protease binding activity; and virus receptor activity. Involved in several processes, including autocrine signaling; paracrine signaling; and regulation of cellular protein metabolic process. Located in cytoplasmic vesicle; extracellular exosome; and nucleus. [provided by Alliance of Genome Resources, Apr 2022]




Function:
May act as a protease inhibitor to modulate the host immune response against tumor cells.

Subcellular Location:
Cytoplasm. Seems to also be secreted in plasma by cancerous cells but at a low level.

Tissue Specificity:
Squamous cells. Expressed in some hepatocellular carcinoma (at protein level).

Similarity:
Belongs to the serpin family. Ov-serpin subfamily.

SWISS:
P29508

Gene ID:
6317

Database links:

Entrez Gene : 6317 Human

Omim : 600517 Human

SwissProt : P29508 Human

Unigene : 227948 Human



产品图片
Paraformaldehyde-fixed, paraffin embedded Human Esophagus; Antigen retrieval by boiling in sodium citrate buffer (pH6.0) for 15 min; Antibody incubation with SERPINB3 Monoclonal Antibody, Unconjugated(bsm-43190M) at 1:200 overnight at 4°C, followed by conjugation to the bs-40296G-HRP and DAB (C-0010) staining.
Paraformaldehyde-fixed, paraffin embedded Human Prostate; Antigen retrieval by boiling in sodium citrate buffer (pH6.0) for 15 min; Antibody incubation with SERPINB3 Monoclonal Antibody, Unconjugated(bsm-43190M) at 1:200 overnight at 4°C, followed by conjugation to the bs-40296G-HRP and DAB (C-0010) staining.
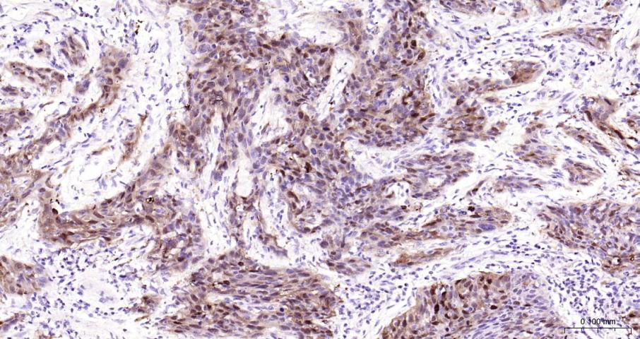
Paraformaldehyde-fixed, paraffin embedded Human Cervical Cancer; Antigen retrieval by boiling in sodium citrate buffer (pH6.0) for 15 min; Antibody incubation with SERPINB3 Monoclonal Antibody, Unconjugated(bsm-43190M) at 1:200 overnight at 4°C, followed by conjugation to the bs-40296G-HRP and DAB (C-0010) staining.
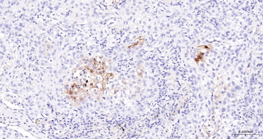
Paraformaldehyde-fixed, paraffin embedded Human Lung squamous cell carcinoma; Antigen retrieval by boiling in sodium citrate buffer (pH6.0) for 15 min; Antibody incubation with SERPINB3 Monoclonal Antibody, Unconjugated(bsm-43190M) at 1:200 overnight at 4°C, followed by conjugation to the bs-40296G-HRP and DAB (C-0010) staining.
版权所有 2004-2026 www.bioss.com.cn 北京博奥森生物技术有限公司
通过国际质量管理体系ISO 9001:2015 GB/T 19001-2016    证书编号: 00124Q34771R2M/1100
通过国际医疗器械-质量管理体系ISO 13485:2016 GB/T 42061-2022     证书编号: CQC24QY20047R0M/1100
京ICP备05066980号-1         京公网安备110107000727号