扫码关注公众号           扫码咨询技术支持           扫码咨询技术服务
  
客服热线:400-901-9800  客服QQ:4009019800  技术答疑  技术支持  质量反馈  人才招聘  关于我们  联系我们
产品中心-北京博奥森生物技术有限公司
首页 > 产品中心 > 一抗 > 产品信息
Ki-67 Mouse mAb (bsm-25816M)  
订购热线:400-901-9800
订购邮箱:sales@bioss.com.cn
订购QQ:  400-901-9800
技术支持:techsupport@bioss.com.cn
50ul/1180.00元
100ul/1980.00元
200ul/2800.00元
大包装/询价

产品编号 bsm-25816M
英文名称 Ki-67 Mouse mAb
中文名称 Ki67单克隆抗体
别    名 KIA; MIB-; MIB-1; PPP1R105; KI67_HUMAN; MKI67; Antigen identified by monoclonal antibody Ki-67 (Antigen KI-67 | Antigen Ki67);   
抗体来源 Mouse
克隆类型 Monoclonal
克 隆 号
交叉反应 Human
产品应用 IHC-P=1:1000-5000,IHC-F=1:1000-5000,IF=1:1000-5000,Flow-Cyt=1ug/Test,ICC/IF=1:100-500
not yet tested in other applications.
optimal dilutions/concentrations should be determined by the end user.
理论分子量 358 kDa
细胞定位 细胞核 
性    状 Liquid
浓    度 1mg/ml
免 疫 原 KLH conjugated synthetic peptide derived from human Ki67 
亚    型 IgG
纯化方法 affinity purified by Protein A
缓 冲 液 0.01M TBS (pH7.4) with 1% BSA, 0.02% Proclin300 and 50% Glycerol.
保存条件 Shipped at 4℃. Store at -20℃ for one year. Avoid repeated freeze/thaw cycles.
注意事项 This product as supplied is intended for research use only, not for use in human, therapeutic or diagnostic applications.
PubMed PubMed
产品介绍 Ki67 antigen is the prototypic cell cycle related nuclear protein, expressed by proliferating cells in all phases of the active cell cycle (G1, S, G2 and M phase). It is absent in resting (G0) cells. Ki67 antibodies are useful in establishing the cell growing fraction in neoplasms (immunohistochemically quantified by determining the number of Ki67 positive cells among the total number of resting cells = Ki67 index). In neoplastic tissues the prognostic value is comparable to the tritiated thymidine labelling index. The correlation between low Ki67 index and histologically low grade tumours is strong. Ki67 is routinely used as a neuronal marker of cell cycling and proliferation.

Function:
Thought to be required for maintaining cell proliferation.

Subcellular Location:
Nucleus. Chromosome. Predominantly localized in the G1 phase in the perinucleolar region, in the later phases it is also detected throughout the nuclear interior, being predominantly localized in the nuclear matrix. In mitosis, it is present on all chromosomes.

Similarity:
Contains 1 FHA domain.

SWISS:
P46013

Gene ID:
4288

Database links:

Entrez Gene : 4288 Human

SwissProt : P46013 Human



细胞增殖标志物(Proliferation Marker)
Ki67与PCNA一样,为细胞增殖的一种标记,在细胞凋亡中S、G2 、M期均有表达,G0期缺如。
Ki-67增殖指数高低与许多肿瘤的分化程度、浸润、转移以及预后密切相关,因此被广泛作为各种恶性肿瘤的必检项目之一。
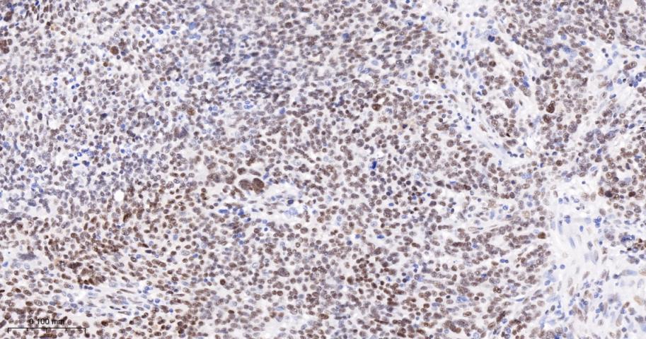
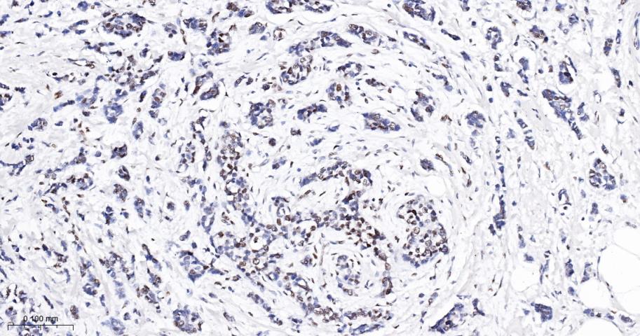
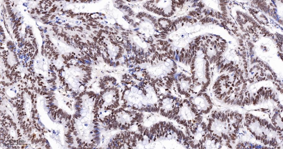
产品图片
Paraformaldehyde-fixed, paraffin embedded Human Breast Cancer; Antigen retrieval by boiling in sodium citrate buffer (pH6.0) for 15 min; The section was incubated with Ki-67 Monoclonal Antibody, Unconjugated (bsm-25816M) at 1:1000 overnight at 4°C, followed by conjugation to the bs-40296G-HRP and DAB (C-0010) staining.
Paraformaldehyde-fixed, paraffin embedded Human Colon; Antigen retrieval by boiling in sodium citrate buffer (pH6.0) for 15 min; The section was incubated with Ki-67 Monoclonal Antibody, Unconjugated (bsm-25816M) at 1:1000 overnight at 4°C, followed by conjugation to the bs-40296G-HRP and DAB (C-0010) staining.
Paraformaldehyde-fixed, paraffin embedded Human Serous ovarian cancer; Antigen retrieval by boiling in sodium citrate buffer (pH6.0) for 15 min; The section was incubated with Ki-67 Monoclonal Antibody, Unconjugated (bsm-25816M) at 1:1000 overnight at 4°C, followed by conjugation to the bs-40296G-HRP and DAB (C-0010) staining.
Paraformaldehyde-fixed, paraffin embedded Human Colon Cancer; Antigen retrieval by boiling in sodium citrate buffer (pH6.0) for 15 min; The section was incubated with Ki-67 Monoclonal Antibody, Unconjugated (bsm-25816M) at 1:1000 overnight at 4°C, followed by conjugation to the bs-40296G-HRP and DAB (C-0010) staining.
(Negative control) Paraformaldehyde-fixed, paraffin embedded Human Heart; Antigen retrieval by boiling in sodium citrate buffer (pH6.0) for 15 min; The section was incubated with Ki-67 Monoclonal Antibody, Unconjugated (bsm-25816M) at 1:1000 overnight at 4°C, followed by conjugation to the bs-40296G-HRP and DAB (C-0010) staining.
4% Paraformaldehyde-fixed Hela (H) cell; Triton X-100 at r.t. for 20 min; Antibody incubation with (Ki-67) monoclonal Antibody, unconjugated (bsm-0061R) 1:100, 90 min at 37°C; followed by conjugated Goat Anti-Mouse IgG antibody (green, bs-60296G-FITC) at 37°C for 90 min, DAPI (blue, C02-04002) was used to stain the cell nuclei. PBS instead of the primary antibody was used as the blank control.
The Hela (H) cells were fixed with 4% PFA (10 min at r.t.) and then permeabilized with 90% ice-cold methanol for 20 min at -20℃,the cells then were incubated in 5%BSA to block non-specific protein-protein interactions (30 min at r.t.), followed by secondary antibody incubation for 40 min at room temperature. Primary Antibody (green):Mouse Anti-Ki-67 antibody (bsm-258161M): 1 μg/10^6 cells; Isotype Control (orange): Mouse IgG (bs-0296P). Blank control (black): PBS. Acquisition of 20,000 events was performed.
版权所有 2004-2026 www.bioss.com.cn 北京博奥森生物技术有限公司
通过国际质量管理体系ISO 9001:2015 GB/T 19001-2016    证书编号: 00124Q34771R2M/1100
通过国际医疗器械-质量管理体系ISO 13485:2016 GB/T 42061-2022     证书编号: CQC24QY20047R0M/1100
京ICP备05066980号-1         京公网安备110107000727号