扫码关注公众号           扫码咨询技术支持           扫码咨询技术服务
  
客服热线:400-901-9800  客服QQ:4009019800  技术答疑  技术支持  质量反馈  人才招聘  关于我们  联系我们
产品中心-北京博奥森生物技术有限公司
首页 > 产品中心 > 一抗 > 产品信息
STMN1 Mouse mAb (bsm-34184M)  
订购热线:400-901-9800
订购邮箱:sales@bioss.com.cn
订购QQ:  400-901-9800
技术支持:techsupport@bioss.com.cn
50ul/1180.00元
100ul/1980.00元
大包装/询价

产品编号 bsm-34184M
英文名称 STMN1 Mouse mAb
中文名称 白血病相关蛋白18/癌蛋白18单克隆抗体
别    名 C1orf215; LAP18; Lag; OP18; PP17; PP19; PR22; SMN; 19k; P18; P19; Pig; Pp18; prosolin; STMN1_HUMAN; STMN1; Leukemia-associated phosphoprotein p18; Metablastin; Oncoprotein 18 (Op18); Phosphoprotein p19 (pp19); Protein Pr22; STMN1_MOUSE; Leukemia-associated gene protein; STMN1_RAT; Pr22 protein;   
抗体来源 Mouse
克隆类型 Monoclonal
克 隆 号 14F6
交叉反应 Human
产品应用 IHC-P=1:100-500,IHC-F=1:100-500,IF=1:100-500
not yet tested in other applications.
optimal dilutions/concentrations should be determined by the end user.
理论分子量 17 kDa
性    状 Liquid
浓    度 1mg/ml
免 疫 原 KLH conjugated synthetic peptide derived from human Stathmin 1 
亚    型 IgG
纯化方法 affinity purified by Protein A
缓 冲 液 0.01M TBS(pH7.4) with 1% BSA, 0.02% Proclin300 and 50% Glycerol.
保存条件 Shipped at 4℃. Store at -20 °C for one year. Avoid repeated freeze/thaw cycles.
注意事项 This product as supplied is intended for research use only, not for use in human, therapeutic or diagnostic applications.
PubMed PubMed
产品介绍 This gene belongs to the stathmin family of genes. It encodes a ubiquitous cytosolic phosphoprotein proposed to function as an intracellular relay integrating regulatory signals of the cellular environment. The encoded protein is involved in the regulation of the microtubule filament system by destabilizing microtubules. It prevents assembly and promotes disassembly of microtubules. Multiple transcript variants encoding different isoforms have been found for this gene. [provided by RefSeq, Feb 2009]

SWISS:
P16949

Gene ID:
3925

    原癌基因蛋白18(oncogene protein 18,Op18),是一种广泛存在于细胞质的蛋白质,可与微管蛋白结合,参与微管和纺锤体的组装;与细胞的增殖、分化、再生和运动均有关,并具有信号活性调节的功能。在细胞增殖、分化的信号途径、传到通路激活中也具有多种调节功能。 近年来有研究发现,stathmin在多种肿瘤中高表达,并可通过调节微管的解聚,促进肿瘤细胞的运动及侵袭。Stathmin翻译后修饰状态的改变,可影响与p53蛋白的相互作用,参与肿瘤的发生发展
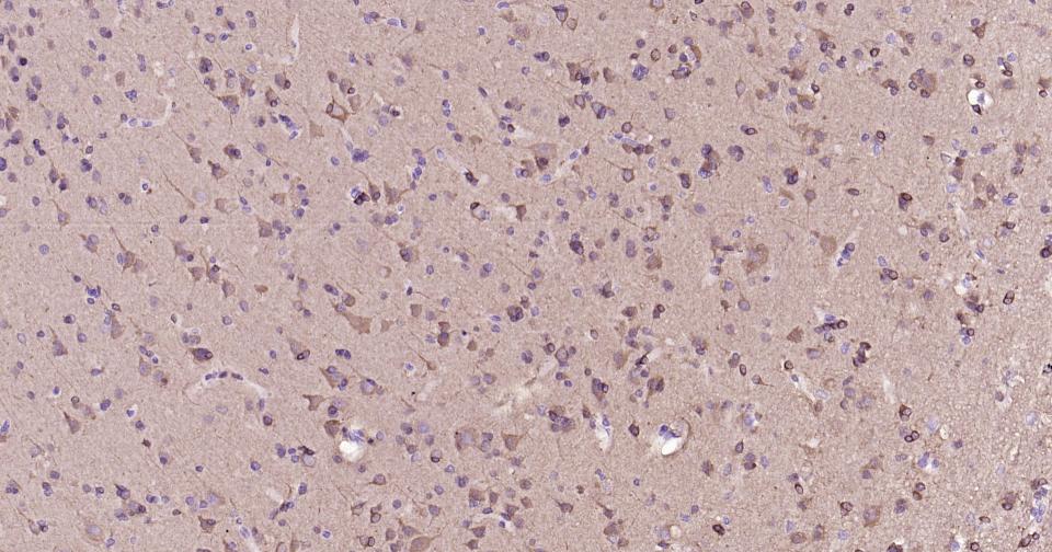
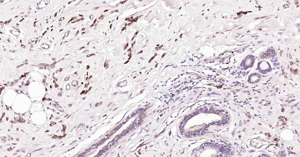
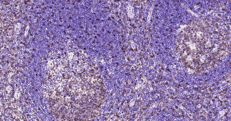
产品图片
Paraformaldehyde-fixed, paraffin embedded Human Breast Cancer; Antigen retrieval by boiling in sodium citrate buffer (pH6.0) for 15 min; Antibody incubation with STMN1 Monoclonal Antibody, Unconjugated(bsm-34184M) at 1:200 overnight at 4°C, followed by conjugation to the SP Kit (Mouse, sp-0024) and DAB (C-0010) staining.
Paraformaldehyde-fixed, paraffin embedded Human Lymph; Antigen retrieval by boiling in sodium citrate buffer (pH6.0) for 15 min; Antibody incubation with STMN1 Monoclonal Antibody, Unconjugated(bsm-34184M) at 1:200 overnight at 4°C, followed by conjugation to the SP Kit (Mouse, sp-0024) and DAB (C-0010) staining.
Paraformaldehyde-fixed, paraffin embedded Human Tonsil; Antigen retrieval by boiling in sodium citrate buffer (pH6.0) for 15 min; Antibody incubation with STMN1 Monoclonal Antibody, Unconjugated(bsm-34184M) at 1:200 overnight at 4°C, followed by conjugation to the SP Kit (Mouse, sp-0024) and DAB (C-0010) staining.
Paraformaldehyde-fixed, paraffin embedded Human Glioma; Antigen retrieval by boiling in sodium citrate buffer (pH6.0) for 15 min; Antibody incubation with STMN1 Monoclonal Antibody, Unconjugated(bsm-34184M) at 1:200 overnight at 4°C, followed by conjugation to the SP Kit (Mouse, sp-0024) and DAB (C-0010) staining.
Paraformaldehyde-fixed, paraffin embedded Human Lung Cancer; Antigen retrieval by boiling in sodium citrate buffer (pH6.0) for 15 min; Antibody incubation with STMN1 Monoclonal Antibody, Unconjugated(bsm-34184M) at 1:200 overnight at 4°C, followed by conjugation to the SP Kit (Mouse, sp-0024) and DAB (C-0010) staining.
版权所有 2004-2026 www.bioss.com.cn 北京博奥森生物技术有限公司
通过国际质量管理体系ISO 9001:2015 GB/T 19001-2016    证书编号: 00124Q34771R2M/1100
通过国际医疗器械-质量管理体系ISO 13485:2016 GB/T 42061-2022     证书编号: CQC24QY20047R0M/1100
京ICP备05066980号-1         京公网安备110107000727号