扫码关注公众号           扫码咨询技术支持           扫码咨询技术服务
  
客服热线:400-901-9800  客服QQ:4009019800  技术答疑  技术支持  质量反馈  人才招聘  关于我们  联系我们
产品中心-北京博奥森生物技术有限公司
首页 > 产品中心 > 一抗 > 产品信息
BOB1 Mouse mAb (bsm-34182M)  
订购热线:400-901-9800
订购邮箱:sales@bioss.com.cn
订购QQ:  400-901-9800
技术支持:techsupport@bioss.com.cn
50ul/1180.00元
100ul/1980.00元
大包装/询价

产品编号 bsm-34182M
英文名称 BOB1 Mouse mAb
中文名称 B细胞特异性转录因子OBF-1单克隆抗体
别    名 CK820_G0034414; BOB-1; BOB1; OBF-1; OBF1; OCAB; CR201_G0006205; OBF1_BOVIN; POU2AF1; B-cell-specific coactivator OBF-1; OCT-binding factor 1; OBF1_HUMAN; OCA-B;   
抗体来源 Mouse
克隆类型 Monoclonal
克 隆 号 5G9
交叉反应 Human
产品应用 IHC-P=1:200-500,IHC-F=1:200-500,IF=1:200-500
not yet tested in other applications.
optimal dilutions/concentrations should be determined by the end user.
理论分子量 28 kDa
性    状 Liquid
浓    度 1mg/ml
免 疫 原 KLH conjugated synthetic peptide derived from human BOb-1 
亚    型 IgG
纯化方法 affinity purified by Protein A
缓 冲 液 0.01M TBS(pH7.4) with 1% BSA, 0.02% Proclin300 and 50% Glycerol.
保存条件 Shipped at 4℃. Store at -20 °C for one year. Avoid repeated freeze/thaw cycles.
注意事项 This product as supplied is intended for research use only, not for use in human, therapeutic or diagnostic applications.
PubMed PubMed
产品介绍 POU domain proteins contain a bipartite DNA-binding domain divided by a flexible linker that enables them to adopt various monomer configurations on DNA. The versatility of POU protein operation is additionally conferred at the dimerization level. The POU dimer from the OCT1 gene formed on the palindromic OCT factor recognition element, or PORE (ATTTGAAATGCAAAT), could recruit the transcriptional coactivator OBF1. Studies of tissue-specific expression of immunoglobulin promoters demonstrate the importance of an octamer, ATTTGCAT, and the proteins that bind to it. This is a regulatory element important for tissue- and cell-specific transcription as well as for transcription of a number of housekeeping genes. Oct-1 encodes one protein, NF-A1, which is found in nuclear extracts from all cell types and thus is not specific to lymphoid cells as is the protein NF-A2, which is encoded by Oct-2. A novel protein designated Bob 1 (B cell Oct binding protein 1), alternatively called OBF-1, specifically interacts with Oct-1 and Oct-2, enhancing their transcriptional efficacy. Bob 1 is expressed at highest levels in spleen and peripheral blood leukocytes and represents an Oct co-factor capable of conferring cell-specific activation of Oct-1 and Oct-2. Although having no intrinsic capacity for DNA binding, Bob 1 associates tightly with the octamer motif in the presence of Oct-1 and/or Oct-2. The gene which encodes Bob 1 maps to human chromosome 11q23.1.

SWISS:
Q16633

Gene ID:
5450

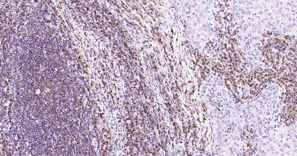
产品图片
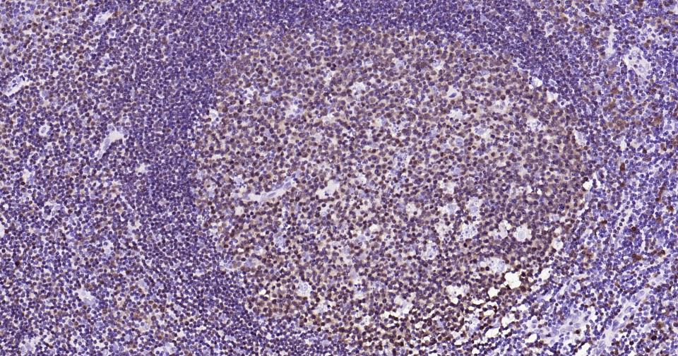
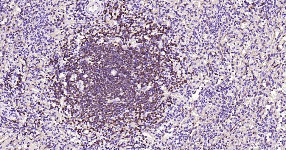
Paraformaldehyde-fixed, paraffin embedded Human Tonsil; Antigen retrieval by boiling in sodium citrate buffer (pH6.0) for 15 min; Antibody incubation with BOB1 Monoclonal Antibody, Unconjugated(bsm-34182M) at 1:200 overnight at 4°C, followed by conjugation to the SP Kit (Mouse, sp-0024) and DAB (C-0010) staining.
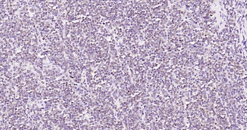
Paraformaldehyde-fixed, paraffin embedded Human Gastric Cancer; Antigen retrieval by boiling in sodium citrate buffer (pH6.0) for 15 min; Antibody incubation with BOB1 Monoclonal Antibody, Unconjugated(bsm-34182M) at 1:200 overnight at 4°C, followed by conjugation to the SP Kit (Mouse, sp-0024) and DAB (C-0010) staining.
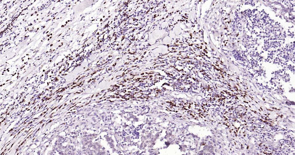
Paraformaldehyde-fixed, paraffin embedded Human Esophageal Cancer; Antigen retrieval by boiling in sodium citrate buffer (pH6.0) for 15 min; Antibody incubation with BOB1 Monoclonal Antibody, Unconjugated(bsm-34182M) at 1:200 overnight at 4°C, followed by conjugation to the SP Kit (Mouse, sp-0024) and DAB (C-0010) staining.
Paraformaldehyde-fixed, paraffin embedded Human Spleen; Antigen retrieval by boiling in sodium citrate buffer (pH6.0) for 15 min; Antibody incubation with BOB1 Monoclonal Antibody, Unconjugated(bsm-34182M) at 1:200 overnight at 4°C, followed by conjugation to the SP Kit (Mouse, sp-0024) and DAB (C-0010) staining.
Paraformaldehyde-fixed, paraffin embedded Human Lymph; Antigen retrieval by boiling in sodium citrate buffer (pH6.0) for 15 min; Antibody incubation with BOB1 Monoclonal Antibody, Unconjugated(bsm-34182M) at 1:200 overnight at 4°C, followed by conjugation to the SP Kit (Mouse, sp-0024) and DAB (C-0010) staining.
Paraformaldehyde-fixed, paraffin embedded Human Colon Cancer; Antigen retrieval by boiling in sodium citrate buffer (pH6.0) for 15 min; Antibody incubation with BOB1 Monoclonal Antibody, Unconjugated(bsm-34182M) at 1:200 overnight at 4°C, followed by conjugation to the SP Kit (Mouse, sp-0024) and DAB (C-0010) staining.
版权所有 2004-2026 www.bioss.com.cn 北京博奥森生物技术有限公司
通过国际质量管理体系ISO 9001:2015 GB/T 19001-2016    证书编号: 00124Q34771R2M/1100
通过国际医疗器械-质量管理体系ISO 13485:2016 GB/T 42061-2022     证书编号: CQC24QY20047R0M/1100
京ICP备05066980号-1         京公网安备110107000727号