扫码关注公众号           扫码咨询技术支持           扫码咨询技术服务
  
客服热线:400-901-9800  客服QQ:4009019800  技术答疑  技术支持  质量反馈  人才招聘  关于我们  联系我们
产品中心-北京博奥森生物技术有限公司
首页 > 产品中心 > 一抗 > 产品信息
Cytokeratin 5 Mouse mAb (bsm-34181M)  
订购热线:400-901-9800
订购邮箱:sales@bioss.com.cn
订购QQ:  400-901-9800
技术支持:techsupport@bioss.com.cn
50ul/1180.00元
100ul/1980.00元
大包装/询价

产品编号 bsm-34181M
英文名称 Cytokeratin 5 Mouse mAb
中文名称 细胞角蛋白5单克隆抗体
别    名 CK5; DDD; DDD1; EBS1; EBS2; EBS2A; EBS2B; EBS2C; EBS2D; EBS2E; EBS2F; K5; KRT5A; 3300001P10Rik; Krt2-5; Tfip8; CK-5; Sak57; K2C5_HUMAN; KRT5; 58 kDa cytokeratin; Cytokeratin-5 (CK-5); Keratin-5 (K5); Type-II keratin Kb5; K2C5_MOUSE; K2C5_RAT;   
抗体来源 Mouse
克隆类型 Monoclonal
克 隆 号 12H10
交叉反应 Human
产品应用 IHC-P=1:200-500,IHC-F=1:200-500,IF=1:200-500
not yet tested in other applications.
optimal dilutions/concentrations should be determined by the end user.
理论分子量 64 kDa
细胞定位 细胞核 细胞浆 细胞外基质 
性    状 Liquid
浓    度 1mg/ml
免 疫 原 KLH conjugated synthetic peptide derived from human CK5 
亚    型 IgG
纯化方法 affinity purified by Protein A
缓 冲 液 0.01M TBS(pH7.4) with 1% BSA, 0.02% Proclin300 and 50% Glycerol.
保存条件 Shipped at 4℃. Store at -20 °C for one year. Avoid repeated freeze/thaw cycles.
注意事项 This product as supplied is intended for research use only, not for use in human, therapeutic or diagnostic applications.
PubMed PubMed
产品介绍 Cytokeratins (CK) are intermediate filaments of epithelial cells, both in keratinising tissue (ie., skin) and non keratinising cells (ie., mesothelial cells). Although not a traditional marker for endothelial cells, cytokeratins have also been found in some microvascular endothelial cells. At least 20 different cytokeratins (CK) in the molecular range of 40 to 70 kDa and isoelectric points of 5 to 8.5 can be identified using two dimensional gel electrophoresis. Biochemically, most members of the CK family fall into one of two classes, type I (acidic polypeptides) and type II (basic polypeptides). At least one member of the acidic family and one member of the basic family is expressed in all epithelial cells. Defects in KRT5 are a cause of epidermolysis bullosa simplex.

Subunit:
Heterotetramer of two type I and two type II keratins. Keratin-5 associates with keratin-14. Interacts with TCHP.

DISEASE:
Defects in KRT5 are a cause of epidermolysis bullosa simplex Dowling-Meara type (DM-EBS) [MIM:131760]. DM-EBS is a severe form of intraepidermal epidermolysis bullosa characterized by generalized herpetiform blistering, milia formation, dystrophic nails, and mucous membrane involvement. Defects in KRT5 are the cause of epidermolysis bullosa simplex with migratory circinate erythema (EBSMCE) [MIM:609352]. EBSMCE is a form of intraepidermal epidermolysis bullosa characterized by unusual migratory circinate erythema. Skin lesions appear from birth primarily on the hands, feet, and legs but spare nails, ocular epithelia and mucosae. Lesions heal with brown pigmentation but no scarring. Electron microscopy findings are distinct from those seen in the DM-EBS, with no evidence of tonofilament clumping. Defects in KRT5 are a cause of epidermolysis bullosa simplex Weber-Cockayne type (WC-EBS) [MIM:131800]. WC-EBS is a form of intraepidermal epidermolysis bullosa characterized by blistering limited to palmar and plantar areas of the skin. Defects in KRT5 are a cause of epidermolysis bullosa simplex Koebner type (K-EBS) [MIM:131900]. K-EBS is a form of intraepidermal epidermolysis bullosa characterized by generalized skin blistering. The phenotype is not fundamentally distinct from the Dowling-Meara type, althought it is less severe. Defects in KRT5 are the cause of epidermolysis bullosa simplex with mottled pigmentation (MP-EBS) [MIM:131960]. MP-EBS is a form of intraepidermal epidermolysis bullosa characterized by blistering at acral sites and 'mottled' pigmentation of the trunk and proximal extremities with hyper- and hypopigmentation macules. Defects in KRT5 are the cause of Dowling-Degos disease (DDD) [MIM:179850]; also known as Dowling-Degos-Kitamura disease or reticulate acropigmentation of Kitamura. DDD is an autosomal dominant genodermatosis. Affected individuals develop a postpubertal reticulate hyperpigmentation that is progressive and disfiguring, and small hyperkeratotic dark brown papules that affect mainly the flexures and great skin folds. Patients usually show no abnormalities of the hair or nails.

Similarity:
Belongs to the intermediate filament family.

SWISS:
P13647

Gene ID:
3852

Database links:

Entrez Gene : 3852 Human

Entrez Gene : 110308 Mouse

Entrez Gene : 369017 Rat

Omim : 148040 Human

SwissProt : P13647 Human

SwissProt : Q922U2 Mouse

SwissProt : Q6P6Q2 Rat

Unigene : 433845 Human

Unigene : 451847 Mouse

Unigene : 129725 Rat

Unigene : 195318 Rat



结构蛋白(Structural Proteins)
细胞角蛋白5,为高分子量细胞角蛋白 58 kDa ,表达在皮肤的基底细胞和棘层细胞,部分前列腺基底细胞,与其它单层腺上皮不表达。主要用于间皮瘤与腺癌的鉴别诊断。
细胞角蛋白是一类与结构相关的蛋白家族,其在上皮细胞中形成细胞骨架中间丝。CK5是在表皮角质化细胞中大量表达的4种角蛋白之一。CK5可用以区分正常细胞和肿瘤细胞。在基底细胞上皮瘤、多种鳞状细胞癌(皮肤和舌)、多种上皮细胞和间皮瘤都有CK5的表达。
产品图片
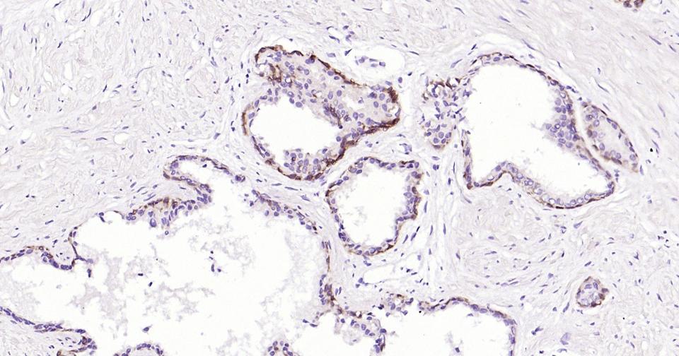
Paraformaldehyde-fixed, paraffin embedded Human Prostate; Antigen retrieval by boiling in sodium citrate buffer (pH6.0) for 15 min; Antibody incubation with Cytokeratin 5 Monoclonal Antibody, Unconjugated(bsm-34181M) at 1:200 overnight at 4°C, followed by conjugation to the SP Kit (Mouse, sp-0024) and DAB (C-0010) staining.
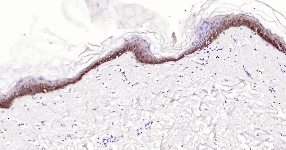
Paraformaldehyde-fixed, paraffin embedded Human Skin; Antigen retrieval by boiling in sodium citrate buffer (pH6.0) for 15 min; Antibody incubation with Cytokeratin 5 Monoclonal Antibody, Unconjugated(bsm-34181M) at 1:200 overnight at 4°C, followed by conjugation to the SP Kit (Mouse, sp-0024) and DAB (C-0010) staining.
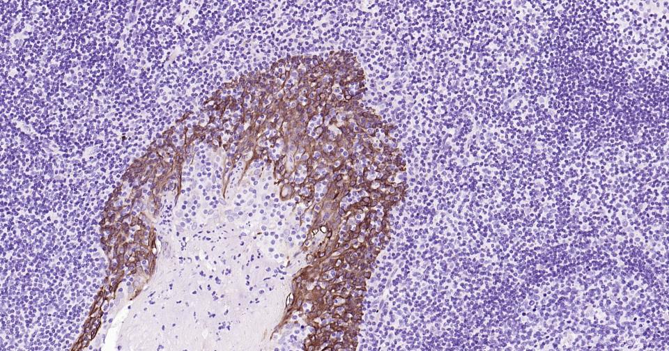
Paraformaldehyde-fixed, paraffin embedded Human Tonsil; Antigen retrieval by boiling in sodium citrate buffer (pH6.0) for 15 min; Antibody incubation with Cytokeratin 5 Monoclonal Antibody, Unconjugated(bsm-34181M) at 1:200 overnight at 4°C, followed by conjugation to the SP Kit (Mouse, sp-0024) and DAB (C-0010) staining.
版权所有 2004-2026 www.bioss.com.cn 北京博奥森生物技术有限公司
通过国际质量管理体系ISO 9001:2015 GB/T 19001-2016    证书编号: 00124Q34771R2M/1100
通过国际医疗器械-质量管理体系ISO 13485:2016 GB/T 42061-2022     证书编号: CQC24QY20047R0M/1100
京ICP备05066980号-1         京公网安备110107000727号