扫码关注公众号           扫码咨询技术支持           扫码咨询技术服务
  
客服热线:400-901-9800  客服QQ:4009019800  技术答疑  技术支持  质量反馈  人才招聘  关于我们  联系我们
产品中心-北京博奥森生物技术有限公司
首页 > 产品中心 > 一抗 > 产品信息
GFAP Recombinant Rabbit mAb (bsm-42001R)  
订购热线:400-901-9800
订购邮箱:sales@bioss.com.cn
订购QQ:  400-901-9800
技术支持:techsupport@bioss.com.cn
25ul/800.00元
50ul/1400.00元
大包装/询价

产品编号 bsm-42001R
英文名称 GFAP Recombinant Rabbit mAb
中文名称 胶质纤维酸性蛋白重组兔单抗
别    名 ALXDRD; GFAP_BOVIN; GFAP; GFAP_HUMAN; GFAP_MOUSE;  
抗体来源 Rabbit
克隆类型 Recombinant
克 隆 号 6G1
交叉反应 Human,Mouse,Rat
产品应用 WB=1:1000-5000,IHC-P=1:200-1000,IHC-F=1:200-1000,IF=1:200-1000,Flow-Cyt=1:50-100
not yet tested in other applications.
optimal dilutions/concentrations should be determined by the end user.
理论分子量 48 kDa
检测分子量 35-45
性    状 Liquid
浓    度 1mg/ml
免 疫 原 Recombinant human GFAP protein: 1-390/432 
亚    型 IgG
纯化方法 affinity purified by Protein A
缓 冲 液 0.01M TBS(pH7.4) with 1% BSA, 0.02% Proclin300 and 50% Glycerol.
保存条件 Shipped at 4℃. Store at -20 °C for one year. Avoid repeated freeze/thaw cycles.
注意事项 This product as supplied is intended for research use only, not for use in human, therapeutic or diagnostic applications.
PubMed PubMed
产品介绍 This gene encodes one of the major intermediate filament proteins of mature astrocytes. It is used as a marker to distinguish astrocytes from other glial cells during development. Mutations in this gene cause Alexander disease, a rare disorder of astrocytes in the central nervous system. Alternative splicing results in multiple transcript variants encoding distinct isoforms. [provided by RefSeq, Oct 2008]

SWISS:
P14136

Gene ID:
2670

产品组分及规格 编号 组分 规格 浓度 储存 1 PBS缓冲液(干粉)
产品图片
25 ug total protein per lane of various lysates (see on figure) probed with GFAP monoclonal antibody, unconjugated (bsm-42001R) at 1:1000 dilution and 4°C overnight incubation. Followed by conjugated secondary antibody incubation at r.t. for 60 min.
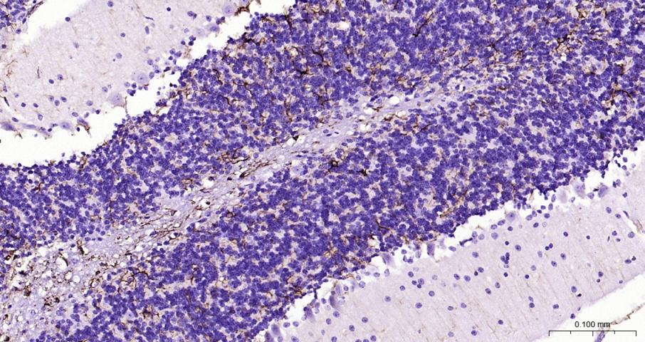
Paraformaldehyde-fixed, paraffin embedded Human Cerebellum; Antigen retrieval by boiling in sodium citrate buffer (pH6.0) for 15 min; Antibody incubation with GFAP Monoclonal Antibody, Unconjugated(bsm-42001R) at 1:200 overnight at 4°C, followed by conjugation to the bs-0295G-HRP and DAB (C-0010) staining.
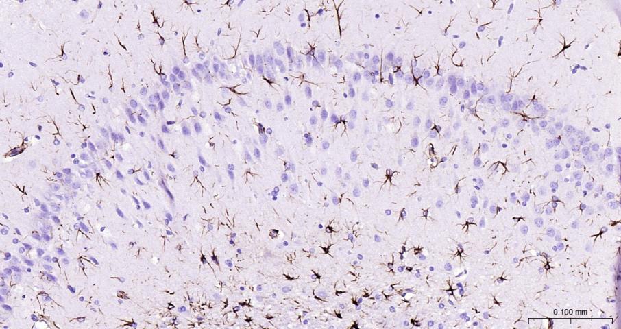
Paraformaldehyde-fixed, paraffin embedded Mouse Cerebrum; Antigen retrieval by boiling in sodium citrate buffer (pH6.0) for 15 min; Antibody incubation with GFAP Monoclonal Antibody, Unconjugated(bsm-42001R) at 1:200 overnight at 4°C, followed by conjugation to the bs-0295G-HRP and DAB (C-0010) staining.
Paraformaldehyde-fixed, paraffin embedded Rat Spinal Cord; Antigen retrieval by boiling in sodium citrate buffer (pH6.0) for 15 min; Antibody incubation with GFAP Monoclonal Antibody, Unconjugated(bsm-42001R) at 1:200 overnight at 4°C, followed by conjugation to the bs-0295G-HRP and DAB (C-0010) staining.
Paraformaldehyde-fixed, paraffin embedded Rat Cerebellum; Antigen retrieval by boiling in sodium citrate buffer (pH6.0) for 15 min; Antibody incubation with GFAP Monoclonal Antibody, Unconjugated(bsm-42001R) at 1:200 overnight at 4°C, followed by conjugation to the bs-0295G-HRP and DAB (C-0010) staining.
Paraformaldehyde-fixed, paraffin embedded Human Cerebrum; Antigen retrieval by boiling in sodium citrate buffer (pH6.0) for 15 min; Antibody incubation with GFAP Monoclonal Antibody, Unconjugated(bsm-42001R) at 1:200 overnight at 4°C, followed by conjugation to the bs-0295G-HRP and DAB (C-0010) staining.
Paraformaldehyde-fixed, paraffin embedded Rat Cerebrum; Antigen retrieval by boiling in sodium citrate buffer (pH6.0) for 15 min; Antibody incubation with GFAP Monoclonal Antibody, Unconjugated(bsm-42001R) at 1:200 overnight at 4°C, followed by conjugation to the bs-0295G-HRP and DAB (C-0010) staining.
Paraformaldehyde-fixed, paraffin embedded Mouse Spinal Cord; Antigen retrieval by boiling in sodium citrate buffer (pH6.0) for 15 min; Antibody incubation with GFAP Monoclonal Antibody, Unconjugated(bsm-42001R) at 1:200 overnight at 4°C, followed by conjugation to the bs-0295G-HRP and DAB (C-0010) staining.
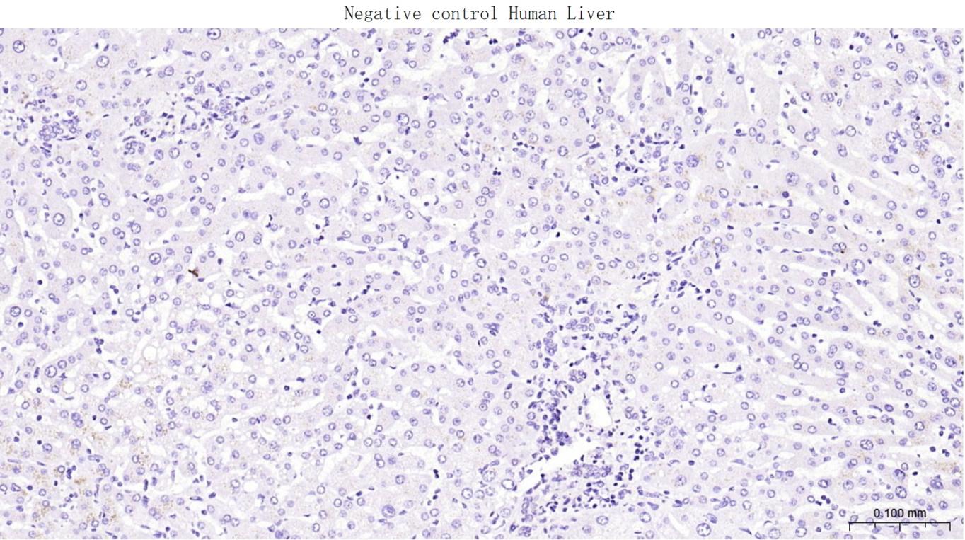
(Negative control) Paraformaldehyde-fixed, paraffin embedded Human Liver; Antigen retrieval by boiling in sodium citrate buffer (pH6.0) for 15 min; Antibody incubation with GFAP Monoclonal Antibody, Unconjugated(bsm-42001R) at 1:200 overnight at 4°C, followed by conjugation to the bs-0295G-HRP and DAB (C-0010) staining.
(Negative control) Paraformaldehyde-fixed, paraffin embedded Mouse Liver; Antigen retrieval by boiling in sodium citrate buffer (pH6.0) for 15 min; Antibody incubation with GFAP Monoclonal Antibody, Unconjugated(bsm-42001R) at 1:200 overnight at 4°C, followed by conjugation to the bs-0295G-HRP and DAB (C-0010) staining.
(Negative control) Paraformaldehyde-fixed, paraffin embedded Rat Liver; Antigen retrieval by boiling in sodium citrate buffer (pH6.0) for 15 min; Antibody incubation with GFAP Monoclonal Antibody, Unconjugated(bsm-42001R) at 1:200 overnight at 4°C, followed by conjugation to the bs-0295G-HRP and DAB (C-0010) staining.
Paraformaldehyde-fixed, paraffin embedded Mouse Cerebrum. Merged staining of anti-GFAP (bsm-42001R; 1:200; pink) anti-AIF1/Iba1 (bsm-54132R; 1:200; red) anti-NeuN (bsm-52268R; 1:200; green) anti-MBP (bsm-33932M; 1:200; yellow) and anti-Olig2 (bsm-61115R; 1:200; light blue) . DAPI (dark blue) was used as a nuclear counter stain.
Paraformaldehyde-fixed, paraffin embedded Human Cerebrum. Merged staining of anti-GFAP (bsm-42001R; 1:200; pink) anti-AIF1/Iba1 (bsm-54132R; 1:200; red) anti-NeuN (bsm-52268R; 1:200; green) anti-MBP (bsm-33932M; 1:200; yellow) and anti-Olig2 (bsm-61115R; 1:200; light blue) . DAPI (dark blue) was used as a nuclear counter stain.
Paraformaldehyde-fixed, paraffin embedded Rat Cerebrum. Merged staining of anti-GFAP (bsm-42001R; 1:200; pink) anti-AIF1/Iba1 (bsm-54132R; 1:200; red) anti-NeuN (bsm-52268R; 1:200; green) anti-MBP (bsm-33932M; 1:200; yellow) and anti-Olig2 (bsm-61115R; 1:200; light blue) . DAPI (dark blue) was used as a nuclear counter stain.
Paraformaldehyde-fixed, paraffin embedded Rat Cerebrum; Antigen retrieval by boiling in sodium citrate buffer (pH6.0) for 15 min. The first round ,antibody incubation with S100B Monoclonal Antibody, Unconjugated (bsm-10832M) at 1:200 overnight at 4°C. Followed by conjugated Goat Anti-Mouse IgG antibody (green, bs-0296G-BF488). The second round , antibody incubation with GFAP Monoclonal Antibody, Unconjugated (bsm-42001R) at 1:200 overnight at 4°C. Followed by conjugated Goat Anti-Rabbit IgG antibody (red, bs-0295G-BF594). DAPI (blue, C02-04002) was used to stain the cell nuclei.
Paraformaldehyde-fixed, paraffin embedded Rat Cerebrum; Antigen retrieval by boiling in sodium citrate buffer (pH6.0) for 15 min. The first round ,antibody incubation with S100B Monoclonal Antibody, Unconjugated (bsm-10832M) at 1:200 overnight at 4°C. Followed by conjugated Goat Anti-Mouse IgG antibody (green, bs-0296G-BF488). The second round , antibody incubation with GFAP Monoclonal Antibody, Unconjugated (bsm-42001R) at 1:200 overnight at 4°C. Followed by conjugated Goat Anti-Rabbit IgG antibody (red, bs-0295G-BF594). DAPI (blue, C02-04002) was used to stain the cell nuclei.
Paraformaldehyde-fixed, paraffin embedded Mouse Cerebrum; Antigen retrieval by boiling in sodium citrate buffer (pH6.0) for 15 min. The first round ,antibody incubation with S100B Monoclonal Antibody, Unconjugated (bsm-10832M) at 1:200 overnight at 4°C. Followed by conjugated Goat Anti-Mouse IgG antibody (green, bs-0296G-BF488). The second round , antibody incubation with GFAP Monoclonal Antibody, Unconjugated (bsm-42001R) at 1:200 overnight at 4°C. Followed by conjugated Goat Anti-Rabbit IgG antibody (red, bs-0295G-BF594). DAPI (blue, C02-04002) was used to stain the cell nuclei.
Paraformaldehyde-fixed, paraffin embedded Mouse Cerebrum; Antigen retrieval by boiling in sodium citrate buffer (pH6.0) for 15 min. The first round ,antibody incubation with S100B Monoclonal Antibody, Unconjugated (bsm-10832M) at 1:200 overnight at 4°C. Followed by conjugated Goat Anti-Mouse IgG antibody (green, bs-0296G-BF488). The second round , antibody incubation with GFAP Monoclonal Antibody, Unconjugated (bsm-42001R) at 1:200 overnight at 4°C. Followed by conjugated Goat Anti-Rabbit IgG antibody (red, bs-0295G-BF594). DAPI (blue, C02-04002) was used to stain the cell nuclei.
Paraformaldehyde-fixed, paraffin embedded Human Cerebellum; Antigen retrieval by boiling in sodium citrate buffer (pH6.0) for 15 min; Antibody incubation with GFAP Polyclonal Antibody, Unconjugated (bsm-42001R) at 1:200 overnight at 4°C. Followed by conjugated Goat Anti-Rabbit IgG antibody (green, bs-60295G-FITC), DAPI (blue, C02-04002) was used to stain the cell nuclei.
Paraformaldehyde-fixed, paraffin embedded Mouse Cerebrum; Antigen retrieval by boiling in sodium citrate buffer (pH6.0) for 15 min; Antibody incubation with GFAP Polyclonal Antibody, Unconjugated (bsm-42001R) at 1:200 overnight at 4°C. Followed by conjugated Goat Anti-Rabbit IgG antibody (green, bs-60295G-FITC), DAPI (blue, C02-04002) was used to stain the cell nuclei.
Paraformaldehyde-fixed, paraffin embedded Rat Cerebrum; Antigen retrieval by boiling in sodium citrate buffer (pH6.0) for 15 min; Antibody incubation with GFAP Polyclonal Antibody, Unconjugated (bsm-42001R) at 1:200 overnight at 4°C. Followed by conjugated Goat Anti-Rabbit IgG antibody (green, bs-60295G-FITC), DAPI (blue, C02-04002) was used to stain the cell nuclei.
Paraformaldehyde-fixed, paraffin embedded Human Cerebellum; Antigen retrieval by boiling in sodium citrate buffer (pH6.0) for 15 min; The section was incubated with GFAP Monoclonal Antibody, Unconjugated (bsm-42001R) at 1:200 overnight at 4°C. Followed by conjugated Goat Anti-Rabbit IgG antibody (orange, bs-0295G-Cy3), DAPI (blue, C02-04002) was used to stain the cell nuclei.
Paraformaldehyde-fixed, paraffin embedded Mouse Cerebrum; Antigen retrieval by boiling in sodium citrate buffer (pH6.0) for 15 min; The section was incubated with GFAP Monoclonal Antibody, Unconjugated (bsm-42001R) at 1:200 overnight at 4°C. Followed by conjugated Goat Anti-Rabbit IgG antibody (orange, bs-0295G-Cy3), DAPI (blue, C02-04002) was used to stain the cell nuclei.
Paraformaldehyde-fixed, paraffin embedded Rat Cerebrum; Antigen retrieval by boiling in sodium citrate buffer (pH6.0) for 15 min; The section was incubated with GFAP Monoclonal Antibody, Unconjugated (bsm-42001R) at 1:200 overnight at 4°C. Followed by conjugated Goat Anti-Rabbit IgG antibody (orange, bs-0295G-Cy3), DAPI (blue, C02-04002) was used to stain the cell nuclei.
Paraformaldehyde-fixed, paraffin embedded Human Cerebellum; Antigen retrieval by boiling in sodium citrate buffer (pH6.0) for 15 min; The section was incubated with GFAP Monoclonal Antibody, Unconjugated (bsm-42001R) at 1:200 overnight at 4°C. Followed by conjugated Goat Anti-Rabbit IgG antibody (Rose Red, bs-0295G-BF647), DAPI (blue, C02-04002) was used to stain the cell nuclei.
Paraformaldehyde-fixed, paraffin embedded Mouse Cerebrum; Antigen retrieval by boiling in sodium citrate buffer (pH6.0) for 15 min; The section was incubated with GFAP Monoclonal Antibody, Unconjugated (bsm-42001R) at 1:200 overnight at 4°C. Followed by conjugated Goat Anti-Rabbit IgG antibody (Rose Red, bs-0295G-BF647), DAPI (blue, C02-04002) was used to stain the cell nuclei.
Paraformaldehyde-fixed, paraffin embedded Rat Cerebrum; Antigen retrieval by boiling in sodium citrate buffer (pH6.0) for 15 min; The section was incubated with GFAP Monoclonal Antibody, Unconjugated (bsm-42001R) at 1:200 overnight at 4°C. Followed by conjugated Goat Anti-Rabbit IgG antibody (Rose Red, bs-0295G-BF647), DAPI (blue, C02-04002) was used to stain the cell nuclei.
The U-251 MG (H) cells were fixed with 4% PFA (10 min at r.t.) and then permeabilized with 90% ice-cold methanol for 20 min at -20℃,the cells then were incubated in 5%BSA to block non-specific protein-protein interactions (30 min at r.t.), followed by secondary antibody incubation for 40 min at room temperature. Primary Antibody (green):Rabbit Anti-GFAP antibody (bsm-42001R,1:100); Isotype Control (orange): Rabbit IgG (bs-0295P). Blank control (black): PBS. Acquisition of 20,000 events was performed.
版权所有 2004-2026 www.bioss.com.cn 北京博奥森生物技术有限公司
通过国际质量管理体系ISO 9001:2015 GB/T 19001-2016    证书编号: 00124Q34771R2M/1100
通过国际医疗器械-质量管理体系ISO 13485:2016 GB/T 42061-2022     证书编号: CQC24QY20047R0M/1100
京ICP备05066980号-1         京公网安备110107000727号