扫码关注公众号           扫码咨询技术支持           扫码咨询技术服务
  
客服热线:400-901-9800  客服QQ:4009019800  技术答疑  技术支持  质量反馈  人才招聘  关于我们  联系我们
产品中心-北京博奥森生物技术有限公司
首页 > 产品中心 > 一抗 > 产品信息
phospho-p38 (T180/Y182) Recombinant Rabbit mAb (bsm-55528R)  
订购热线:400-901-9800
订购邮箱:sales@bioss.com.cn
订购QQ:  400-901-9800
技术支持:techsupport@bioss.com.cn
25ul/800.00元
50ul/1400.00元
100ul/2500.00元
大包装/询价

产品编号 bsm-55528R
英文名称 phospho-p38 (T180/Y182) Recombinant Rabbit mAb
中文名称 磷酸化p38 MAPK重组兔单抗
别    名 MAPK14 | p38 MAPK (phospho-T180/Y182); p-p38 MAPK; phospho-p38 MAPK; p-MAPK14; MAPK14 | p38 MAPK (phospho-Thr180/Tyr182); CSBP; CSBP1; CSBP2; CSPB1; EXIP; Mxi2; PRKM14; PRKM15; RK; SAPK2A; p38; p38ALPHA; Crk1; p38-alpha; p38MAPK; p38a; Hog; p38Hog; MK14_CANLF; MAPK14; MAP kinase 14; MAPK 14; Mitogen-activated protein kinase p38 alpha (MAP kinase p38 alpha); 2.7.11.24; MK14_HUMAN; Cytokine suppressive anti-inflammatory drug-binding protein (CSAID-binding protein | CSBP); MAP kinase MXI2; MAX-interacting protein 2; Stress-activated protein kinase 2a (SAPK2a); MK14_MOUSE; MK14_RAT;   
抗体来源 Rabbit
克隆类型 Recombinant
克 隆 号 SB98
交叉反应 Human,Mouse,Rat
产品应用 WB=1:500-2000,IHC-P=1:100-500,IHC-F=1:100-500,IF=1:100-500,Flow-Cyt=1:50-100
not yet tested in other applications.
optimal dilutions/concentrations should be determined by the end user.
理论分子量 38 kDa
检测分子量 40
性    状 Liquid
免 疫 原 KLH conjugated Synthetic phosphopeptide derived from Human p-p38(Thr180/Tyr182) 
亚    型 IgG
纯化方法 Affinity Purification
缓 冲 液 PBS with 100 μg/ml BSA,0.15% ProClin300 and 50% glycerol.
保存条件 Store at -20 ℃ for one year. Avoid repeated freeze/thaw cycles.
注意事项 This product as supplied is intended for research use only, not for use in human, therapeutic or diagnostic applications.
PubMed PubMed
产品介绍 Serine/threonine kinase which acts as an essential component of the MAP kinase signal transduction pathway. MAPK12 is one of the four p38 MAPKs which play an important role in the cascades of cellular responses evoked by extracellular stimuli such as pro-inflammatory cytokines or physical stress leading to direct activation of transcription factors such as ELK1 and ATF2.

SWISS:
Q16539

Gene ID:
1432

p38 MAP 激酶(MAPK)也称为 RK 或 CSBP,参与控制细胞因子和应激引起的细胞反应的信号转导级联。现已发现p38 的四种同工型:p38α、β、γ(也称 Erk6 或 SAPK3)和 δ(也称 SAPK4)。与 SAPK/JNK 通路相似,p38 MAPK 被多种细胞应激激活,包括渗透压休克、炎性细胞因子、脂多糖 (LPS)、紫外线和生长因子。MKK3、MKK6 和 SEK 通过磷酸化 Thr180 和 Tyr182 位点激活 p38 MAPK。激活的 p38 MAPK 已证实可磷酸化和激活
产品图片
25 ug total protein per lane of various lysates (see on figure) probed with Phospho-p38 (T180/Y182) monoclonal antibody, unconjugated (bsm-55528R) at 1:1000 dilution and 4°C overnight incubation. Followed by conjugated secondary antibody incubation at r.t. for 60 min.
25 ug total protein per lane of various lysates (see on figure) probed with Phospho-p38 (T180/Y182) monoclonal antibody, unconjugated (bsm-55528R) at 1:1000 dilution and 4°C overnight incubation. Followed by conjugated secondary antibody incubation at r.t. for 60 min.
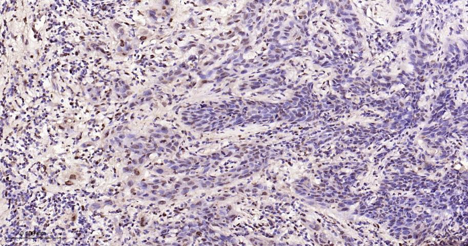
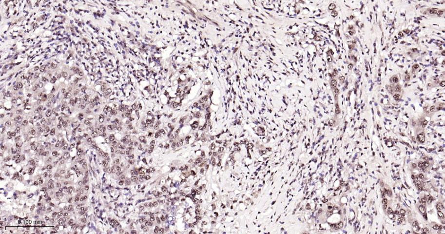
Paraformaldehyde-fixed, paraffin embedded Human Breast Cancer; Antigen retrieval by boiling in sodium citrate buffer (pH6.0) for 15 min; The section was incubated with Phospho-p38 (T180/Y182) Monoclonal Antibody, Unconjugated (bsm-55528R) at 1:200 overnight at 4°C, followed by conjugation to the bs-0295G-HRP and DAB (C-0010) staining.
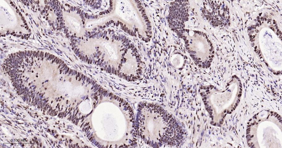
Paraformaldehyde-fixed, paraffin embedded Human Colon Cancer; Antigen retrieval by boiling in sodium citrate buffer (pH6.0) for 15 min; The section was incubated with Phospho-p38 (T180/Y182) Monoclonal Antibody, Unconjugated (bsm-55528R) at 1:200 overnight at 4°C, followed by conjugation to the bs-0295G-HRP and DAB (C-0010) staining.
Paraformaldehyde-fixed, paraffin embedded Human Cervical Cancer; Antigen retrieval by boiling in sodium citrate buffer (pH6.0) for 15 min; The section was incubated with Phospho-p38 (T180/Y182) Monoclonal Antibody, Unconjugated (bsm-55528R) at 1:200 overnight at 4°C, followed by conjugation to the bs-0295G-HRP and DAB (C-0010) staining.
Paraformaldehyde-fixed, paraffin embedded Human Lung Cancer; Antigen retrieval by boiling in sodium citrate buffer (pH6.0) for 15 min; The section was incubated with Phospho-p38 (T180/Y182) Monoclonal Antibody, Unconjugated (bsm-55528R) at 1:200 overnight at 4°C, followed by conjugation to the bs-0295G-HRP and DAB (C-0010) staining.
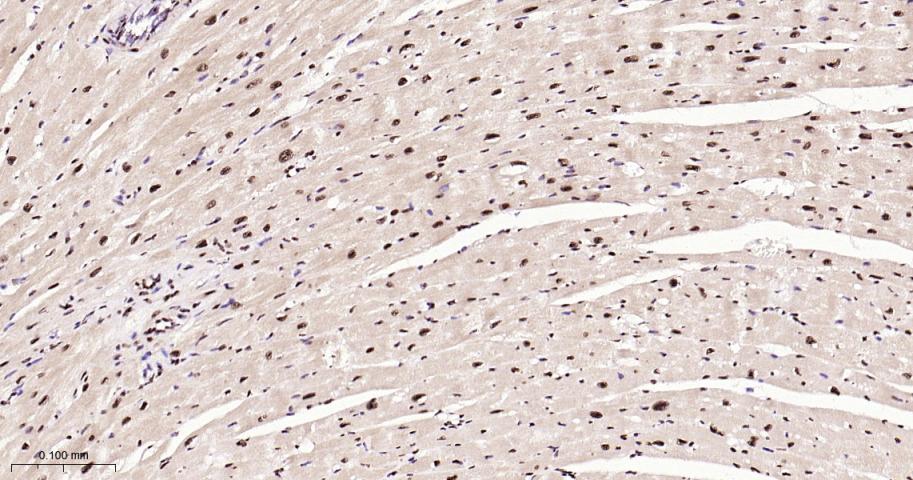
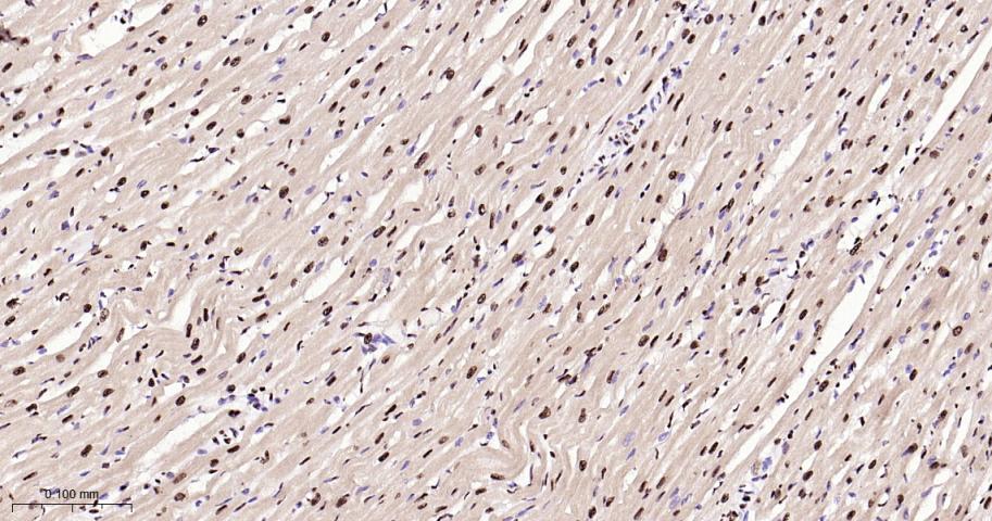
Paraformaldehyde-fixed, paraffin embedded Human Heart; Antigen retrieval by boiling in sodium citrate buffer (pH6.0) for 15 min; The section was incubated with Phospho-p38 (T180/Y182) Monoclonal Antibody, Unconjugated (bsm-55528R) at 1:200 overnight at 4°C, followed by conjugation to the bs-0295G-HRP and DAB (C-0010) staining.
Paraformaldehyde-fixed, paraffin embedded Rat Heart; Antigen retrieval by boiling in sodium citrate buffer (pH6.0) for 15 min; The section was incubated with Phospho-p38 (T180/Y182) Monoclonal Antibody, Unconjugated (bsm-55528R) at 1:200 overnight at 4°C, followed by conjugation to the bs-0295G-HRP and DAB (C-0010) staining.
Paraformaldehyde-fixed, paraffin embedded Mouse Heart; Antigen retrieval by boiling in sodium citrate buffer (pH6.0) for 15 min; The section was incubated with Phospho-p38 (T180/Y182) Monoclonal Antibody, Unconjugated (bsm-55528R) at 1:200 overnight at 4°C, followed by conjugation to the bs-0295G-HRP and DAB (C-0010) staining.
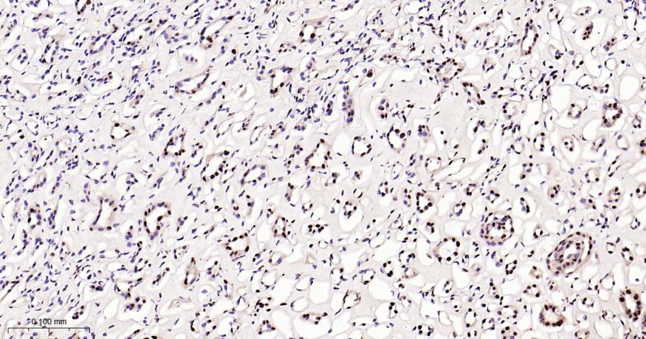
Paraformaldehyde-fixed, paraffin embedded Human Kidney; Antigen retrieval by boiling in sodium citrate buffer (pH6.0) for 15 min; The section was incubated with Phospho-p38 (T180/Y182) Monoclonal Antibody, Unconjugated (bsm-55528R) at 1:200 overnight at 4°C, followed by conjugation to the bs-0295G-HRP and DAB (C-0010) staining.
Paraformaldehyde-fixed, paraffin embedded Rat Kidney; Antigen retrieval by boiling in sodium citrate buffer (pH6.0) for 15 min; The section was incubated with Phospho-p38 (T180/Y182) Monoclonal Antibody, Unconjugated (bsm-55528R) at 1:200 overnight at 4°C, followed by conjugation to the bs-0295G-HRP and DAB (C-0010) staining.
Paraformaldehyde-fixed, paraffin embedded Mouse Kidney; Antigen retrieval by boiling in sodium citrate buffer (pH6.0) for 15 min; The section was incubated with Phospho-p38 (T180/Y182) Monoclonal Antibody, Unconjugated (bsm-55528R) at 1:200 overnight at 4°C, followed by conjugation to the bs-0295G-HRP and DAB (C-0010) staining.
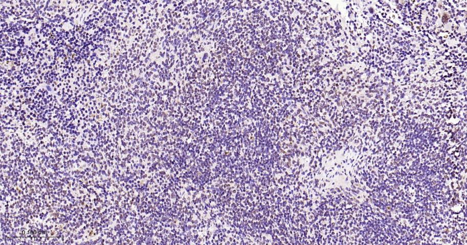
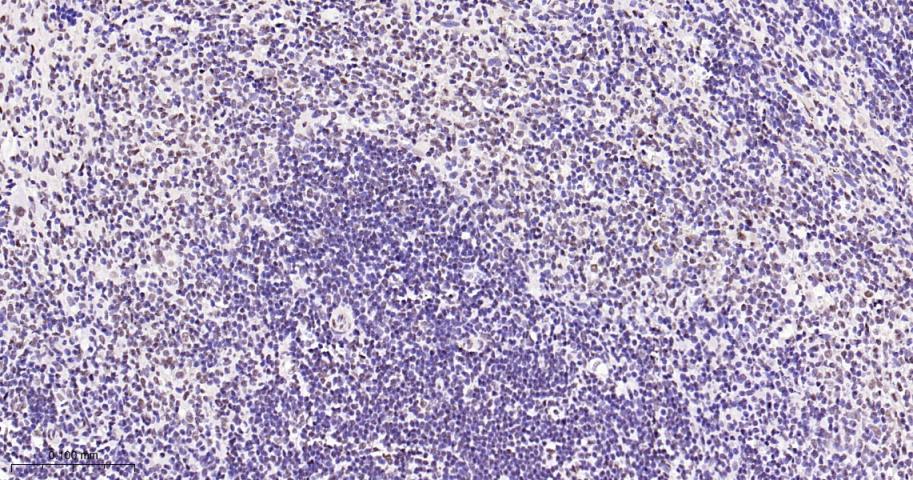
Paraformaldehyde-fixed, paraffin embedded Rat Spleen; Antigen retrieval by boiling in sodium citrate buffer (pH6.0) for 15 min; The section was incubated with Phospho-p38 (T180/Y182) Monoclonal Antibody, Unconjugated (bsm-55528R) at 1:200 overnight at 4°C, followed by conjugation to the bs-0295G-HRP and DAB (C-0010) staining.
Paraformaldehyde-fixed, paraffin embedded Mouse Spleen; Antigen retrieval by boiling in sodium citrate buffer (pH6.0) for 15 min; The section was incubated with Phospho-p38 (T180/Y182) Monoclonal Antibody, Unconjugated (bsm-55528R) at 1:200 overnight at 4°C, followed by conjugation to the bs-0295G-HRP and DAB (C-0010) staining.
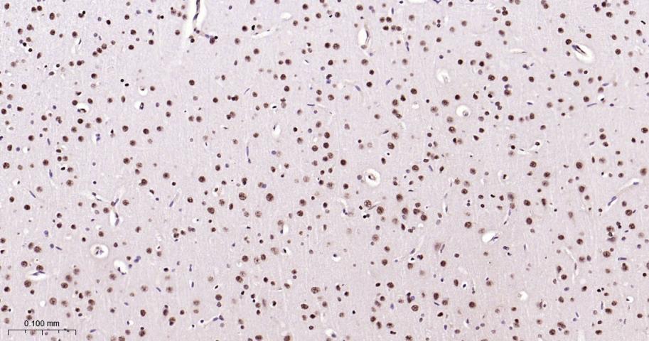
Paraformaldehyde-fixed, paraffin embedded Human Cerebrum; Antigen retrieval by boiling in sodium citrate buffer (pH6.0) for 15 min; The section was incubated with Phospho-p38 (T180/Y182) Monoclonal Antibody, Unconjugated (bsm-55528R) at 1:200 overnight at 4°C, followed by conjugation to the bs-0295G-HRP and DAB (C-0010) staining.
Paraformaldehyde-fixed, paraffin embedded Rat Cerebrum; Antigen retrieval by boiling in sodium citrate buffer (pH6.0) for 15 min; The section was incubated with Phospho-p38 (T180/Y182) Monoclonal Antibody, Unconjugated (bsm-55528R) at 1:200 overnight at 4°C, followed by conjugation to the bs-0295G-HRP and DAB (C-0010) staining.
Paraformaldehyde-fixed, paraffin embedded Mouse Cerebrum; Antigen retrieval by boiling in sodium citrate buffer (pH6.0) for 15 min; The section was incubated with Phospho-p38 (T180/Y182) Monoclonal Antibody, Unconjugated (bsm-55528R) at 1:200 overnight at 4°C, followed by conjugation to the bs-0295G-HRP and DAB (C-0010) staining.
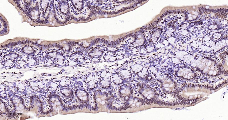
Paraformaldehyde-fixed, paraffin embedded Human Colon; Antigen retrieval by boiling in sodium citrate buffer (pH6.0) for 15 min; The section was incubated with Phospho-p38 (T180/Y182) Monoclonal Antibody, Unconjugated (bsm-55528R) at 1:200 overnight at 4°C, followed by conjugation to the bs-0295G-HRP and DAB (C-0010) staining.
Paraformaldehyde-fixed, paraffin embedded Rat Colon; Antigen retrieval by boiling in sodium citrate buffer (pH6.0) for 15 min; The section was incubated with Phospho-p38 (T180/Y182) Monoclonal Antibody, Unconjugated (bsm-55528R) at 1:200 overnight at 4°C, followed by conjugation to the bs-0295G-HRP and DAB (C-0010) staining.
Paraformaldehyde-fixed, paraffin embedded Mouse Colon; Antigen retrieval by boiling in sodium citrate buffer (pH6.0) for 15 min; The section was incubated with Phospho-p38 (T180/Y182) Monoclonal Antibody, Unconjugated (bsm-55528R) at 1:200 overnight at 4°C, followed by conjugation to the bs-0295G-HRP and DAB (C-0010) staining.
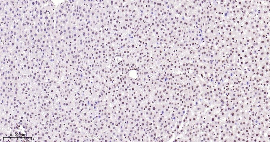
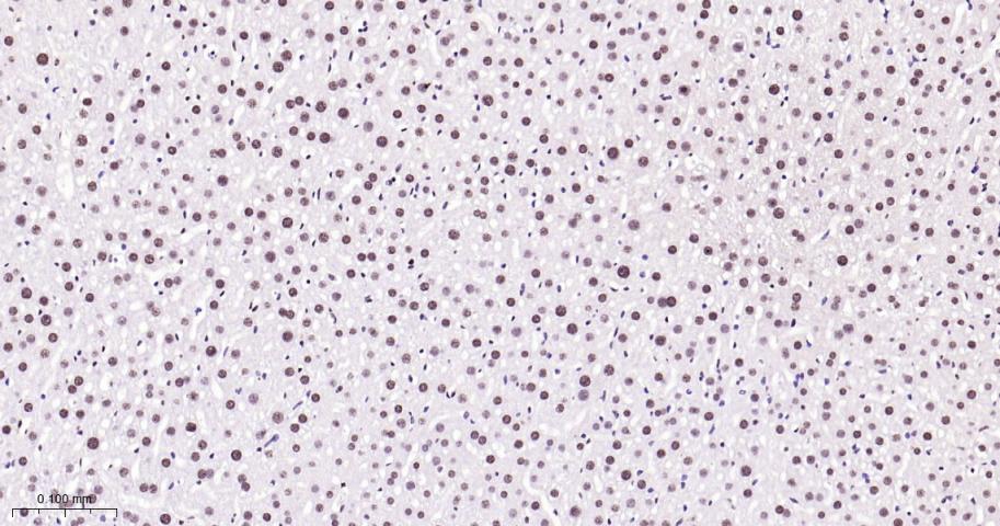
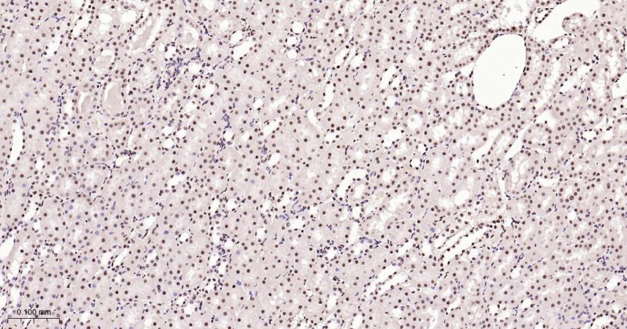
Paraformaldehyde-fixed, paraffin embedded Rat Liver; Antigen retrieval by boiling in sodium citrate buffer (pH6.0) for 15 min; The section was incubated with Phospho-p38 (T180/Y182) Monoclonal Antibody, Unconjugated (bsm-55528R) at 1:200 overnight at 4°C, followed by conjugation to the bs-0295G-HRP and DAB (C-0010) staining.
Paraformaldehyde-fixed, paraffin embedded Mouse Liver; Antigen retrieval by boiling in sodium citrate buffer (pH6.0) for 15 min; The section was incubated with Phospho-p38 (T180/Y182) Monoclonal Antibody, Unconjugated (bsm-55528R) at 1:200 overnight at 4°C, followed by conjugation to the bs-0295G-HRP and DAB (C-0010) staining.
The Hela ( treated with 200J/m2 UV-C then recovery for 30 min) (H) cells were fixed with 4% PFA (10 min at r.t.) and then permeabilized with 90% ice-cold methanol for 20 min at -20℃,the cells then were incubated in 5%BSA to block non-specific protein-protein interactions (30 min at r.t.).Primary Antibody (green):Rabbit Anti-Phospho-p38 (T180/Y182) antibody (bsm-55528R): 1:50-100; Secondary Antibody (white blue): Goat anti-Rabbit IgG-BF488 (bs-60295G-BF488): 1 μg/test. Isotype Control (orange): Rabbit IgG (bs-0295P). Blank control (black): PBS. Acquisition of 20,000 events was performed.
版权所有 2004-2026 www.bioss.com.cn 北京博奥森生物技术有限公司
通过国际质量管理体系ISO 9001:2015 GB/T 19001-2016    证书编号: 00124Q34771R2M/1100
通过国际医疗器械-质量管理体系ISO 13485:2016 GB/T 42061-2022     证书编号: CQC24QY20047R0M/1100
京ICP备05066980号-1         京公网安备110107000727号