扫码关注公众号           扫码咨询技术支持           扫码咨询技术服务
  
客服热线:400-901-9800  客服QQ:4009019800  技术答疑  技术支持  质量反馈  人才招聘  关于我们  联系我们
产品中心-北京博奥森生物技术有限公司
首页 > 产品中心 > 一抗 > 产品信息
MUC1/CD227 Recombinant Rabbit mAb (bsm-55523R)  
订购热线:400-901-9800
订购邮箱:sales@bioss.com.cn
订购QQ:  400-901-9800
技术支持:techsupport@bioss.com.cn
25ul/800.00元
50ul/1400.00元
100ul/2500.00元
大包装/询价

产品编号 bsm-55523R
英文名称 MUC1/CD227 Recombinant Rabbit mAb
中文名称 粘蛋白-1重组兔单抗
别    名 ADMCKD; ADMCKD1; ADTKD2; CA 15-3; CD227; Ca15-3; EMA; H23AG; KL-6; MAM6; MCD; MCKD; MCKD1; MUC-1; MUC-1/SEC; MUC-1/X; MUC1/ZD; PEM; PEMT; PUM; MUC1_HUMAN; MUC1; Breast carcinoma-associated antigen DF3; Cancer antigen 15-3 (CA 15-3); Carcinoma-associated mucin; Episialin; Krebs von den Lungen-6 (KL-6); Peanut-reactive urinary mucin (PUM); Polymorphic epithelial mucin (PEM); Tumor-associated epithelial membrane antigen (EMA); Tumor-associated mucin; MUC1_MOUSE;   
抗体来源 Rabbit
克隆类型 Recombinant
克 隆 号 SB48
交叉反应 Human
产品应用 WB=1: 500-2000,IHC-P=1: 200-1000,IHC-F=1: 200-1000,IF=1: 200-1000
not yet tested in other applications.
optimal dilutions/concentrations should be determined by the end user.
检测分子量 350
性    状 Liquid
免 疫 原 Synthesized peptide derived from Human MUC1 
亚    型 IgG
纯化方法 Affinity Purification
缓 冲 液 PBS with 100 μg/ml BSA,0.15% ProClin300 and 50% glycerol.
保存条件 Store at -20 ℃ for one year. Avoid repeated freeze/thaw cycles.
注意事项 This product as supplied is intended for research use only, not for use in human, therapeutic or diagnostic applications.
PubMed PubMed
产品介绍 Mucins represent a family of glycoproteins characterized by repeat domains and dense O-glycosylation . MUC1 (or mucin 1) is aberrantly overexpressed in most human carcinomas. Increased expression of MUC1 in carcinomas reduces cell-cell and cell-ECM interactions. MUC1 is cleaved proteolytically, and the large ectodomain can remain associated with the small 25 kDa carboxy-terminal domain that contains a transmembrane segment and a 72-residue cytoplasmic tail. MUC1 interacts with ErbB family receptors and potentiates ERK1/2 activation. MUC1 also interacts with β-catenin, which is regulated by GSK-3β, PKCγ, and Src through phosphorylation at Ser44, Thr41, and Tyr46 of the MUC1 cytoplasmic tail. Overexpression of MUC1 potentiates transformation and attenuates stress-induced apoptosis through the Akt or p53 pathways

SWISS:
P15941

Gene ID:
4582

Mucin(CD227)是糖蛋白家族的一员,以重复结构域和密集的O-糖基化为特征。MUC1在呼吸道、胃肠道等所有上皮组织、皮脂腺和唾液腺以及造血细胞中都有表达,MUC1的非上皮性表达已被描述发生在白细胞上,包括T细胞、B细胞、骨髓单核细胞、单核细胞和树突状细胞(DCs)等。MUC1可进行蛋白质水解裂解,并且较大的胞外域与较小的羧基末端结构域有关,后者包含一个跨膜片段和一个含72个残基的胞质尾区。MUC1对正常的上皮起润滑和保护作用,同时还介导信号转导和细胞黏附功能,免疫活化和抑制作用等。在肿瘤组织中,MU
产品图片
25 ug total protein per lane of various lysates (see on figure) probed with MUC1 monoclonal antibody, unconjugated (bsm-55523R) at 1:1000 dilution and 4°C overnight incubation. Followed by conjugated secondary antibody incubation at r.t. for 60 min.
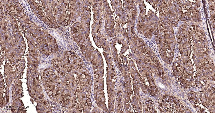
Paraformaldehyde-fixed, paraffin embedded Human Endometrial Cancer; Antigen retrieval by boiling in sodium citrate buffer (pH6.0) for 15 min; Antibody incubation with MUC1/MUC1/CD227 Monoclonal Antibody, Unconjugated(bsm-55523R) at 1:200 overnight at 4°C, followed by conjugation to the bs-0295G-HRP and DAB (C-0010) staining.
Paraformaldehyde-fixed, paraffin embedded Human Endometrial; Antigen retrieval by boiling in sodium citrate buffer (pH6.0) for 15 min; Antibody incubation with MUC1/MUC1/CD227 Monoclonal Antibody, Unconjugated(bsm-55523R) at 1:200 overnight at 4°C, followed by conjugation to the bs-0295G-HRP and DAB (C-0010) staining.
Paraformaldehyde-fixed, paraffin embedded Human Breast Cancer; Antigen retrieval by boiling in sodium citrate buffer (pH6.0) for 15 min; Antibody incubation with MUC1/MUC1/CD227 Monoclonal Antibody, Unconjugated(bsm-55523R) at 1:200 overnight at 4°C, followed by conjugation to the bs-0295G-HRP and DAB (C-0010) staining.
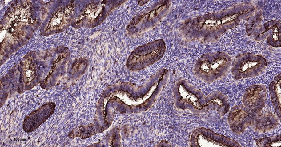
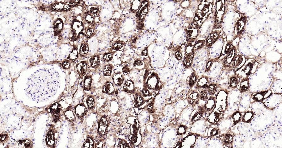
Paraformaldehyde-fixed, paraffin embedded Human Kidney; Antigen retrieval by boiling in sodium citrate buffer (pH6.0) for 15 min; Antibody incubation with MUC1/MUC1/CD227 Monoclonal Antibody, Unconjugated(bsm-55523R) at 1:200 overnight at 4°C, followed by conjugation to the bs-0295G-HRP and DAB (C-0010) staining.
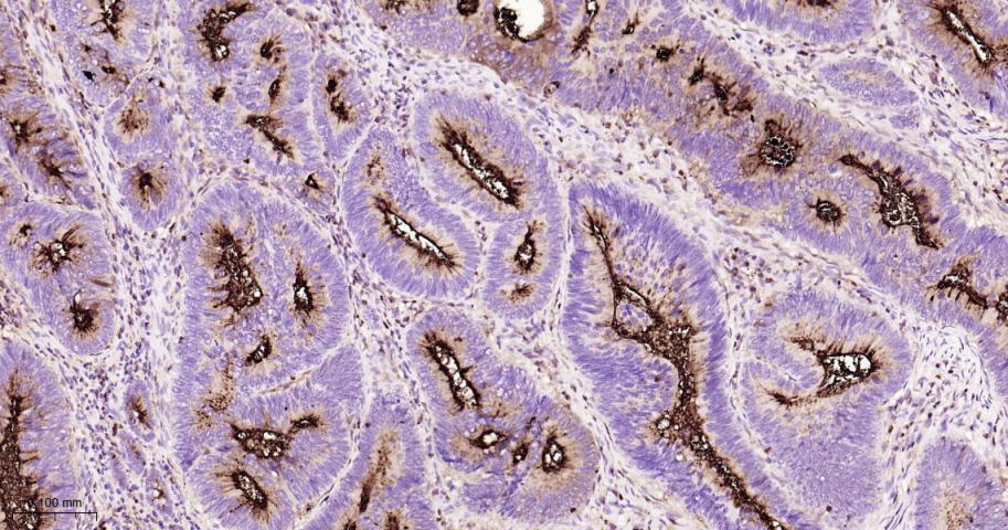
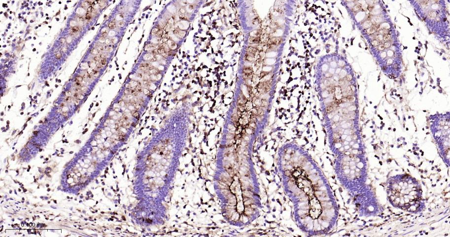
Paraformaldehyde-fixed, paraffin embedded Human Colon; Antigen retrieval by boiling in sodium citrate buffer (pH6.0) for 15 min; Antibody incubation with MUC1/MUC1/CD227 Monoclonal Antibody, Unconjugated(bsm-55523R) at 1:200 overnight at 4°C, followed by conjugation to the bs-0295G-HRP and DAB (C-0010) staining.
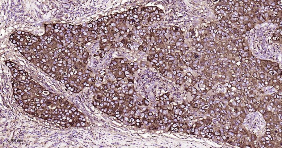
Paraformaldehyde-fixed, paraffin embedded Human Colon Cancer; Antigen retrieval by boiling in sodium citrate buffer (pH6.0) for 15 min; Antibody incubation with MUC1/MUC1/CD227 Monoclonal Antibody, Unconjugated(bsm-55523R) at 1:200 overnight at 4°C, followed by conjugation to the bs-0295G-HRP and DAB (C-0010) staining.
版权所有 2004-2026 www.bioss.com.cn 北京博奥森生物技术有限公司
通过国际质量管理体系ISO 9001:2015 GB/T 19001-2016    证书编号: 00124Q34771R2M/1100
通过国际医疗器械-质量管理体系ISO 13485:2016 GB/T 42061-2022     证书编号: CQC24QY20047R0M/1100
京ICP备05066980号-1         京公网安备110107000727号