扫码关注公众号           扫码咨询技术支持           扫码咨询技术服务
  
客服热线:400-901-9800  客服QQ:4009019800  技术答疑  技术支持  质量反馈  人才招聘  关于我们  联系我们
产品中心-北京博奥森生物技术有限公司
首页 > 产品中心 > 一抗 > 产品信息
S100A4 Recombinant Rabbit mAb (bsm-55522R)  
订购热线:400-901-9800
订购邮箱:sales@bioss.com.cn
订购QQ:  400-901-9800
技术支持:techsupport@bioss.com.cn
25ul/800.00元
50ul/1400.00元
100ul/2500.00元
大包装/询价

产品编号 bsm-55522R
英文名称 S100A4 Recombinant Rabbit mAb
中文名称 S100钙结合蛋白A4重组兔单抗
别    名 MTS1; 18A2; 42A; CAPL; FSP1; P9KA; PEL98; metastasin; pk9a; RNP9KA; S10A4_BOVIN; S100A4; Placental calcium-binding protein homolog; S100 calcium-binding protein A4; S10A4_CANLF; S10A4_HUMAN; Calvasculin; Placental calcium-binding protein; Protein Mts1; S10A4_MOUSE; Metastatic cell protein; Protein 18A2; S10A4_RAT; Nerve growth factor-induced protein 42A; P9K;   
抗体来源 Rabbit
克隆类型 Recombinant
克 隆 号 SB100
交叉反应 Human,Mouse,Rat
产品应用 WB=1: 500-2000,IHC-P=1:100-500,IHC-F=1:100-500,IF=1:100-500,Flow-Cyt=1:50-100
not yet tested in other applications.
optimal dilutions/concentrations should be determined by the end user.
理论分子量 12 kDa
检测分子量 12
性    状 Liquid
免 疫 原 Recombinant Mouse S100A4 protein 
亚    型 IgG
纯化方法 Affinity Purification
缓 冲 液 PBS with 100 μg/ml BSA,0.15% ProClin300 and 50% glycerol.
保存条件 Store at -20 ℃ for one year. Avoid repeated freeze/thaw cycles.
注意事项 This product as supplied is intended for research use only, not for use in human, therapeutic or diagnostic applications.
PubMed PubMed
产品介绍 The protein encoded by this gene is a member of the S100 family of proteins containing 2 EF-hand calcium-binding motifs. S100 proteins are localized in the cytoplasm and/or nucleus of a wide range of cells, and involved in the regulation of a number of cellular processes such as cell cycle progression and differentiation. S100 genes include at least 13 members which are located as a cluster on chromosome 1q21. This protein may function in motility, invasion, and tubulin polymerization. Chromosomal rearrangements and altered expression of this gene have been implicated in tumor metastasis.

SWISS:
P07091

Gene ID:
20198

S100A4属于钙离子结合蛋白S100蛋白家族,参与细胞骨架及细胞膜的相互作用、钙离子信号传递和细胞生长及分化等,在细胞内、外均可发挥作用,增加肿瘤细胞的运动、侵袭能力,降低细胞间黏附力,重塑细胞外基质,促进细胞异常增生及血管生成,被称为转移促进基因。
产品图片
25 ug total protein per lane of various lysates (see on figure) probed with S100A4 monoclonal antibody, unconjugated (bsm-55522R) at 1:500 dilution and 4°C overnight incubation. Followed by conjugated secondary antibody incubation at r.t. for 60 min.
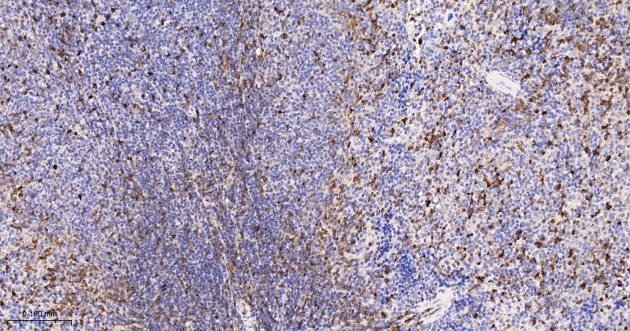
Paraformaldehyde-fixed, paraffin embedded Human Tonsil; Antigen retrieval by boiling in sodium citrate buffer (pH6.0) for 15 min; The section was incubated with S100A4 Monoclonal Antibody, Unconjugated (bsm-55522R) at 1:500 overnight at 4°C, followed by conjugation to the bs-0295G-HRP and DAB (C-0010) staining.
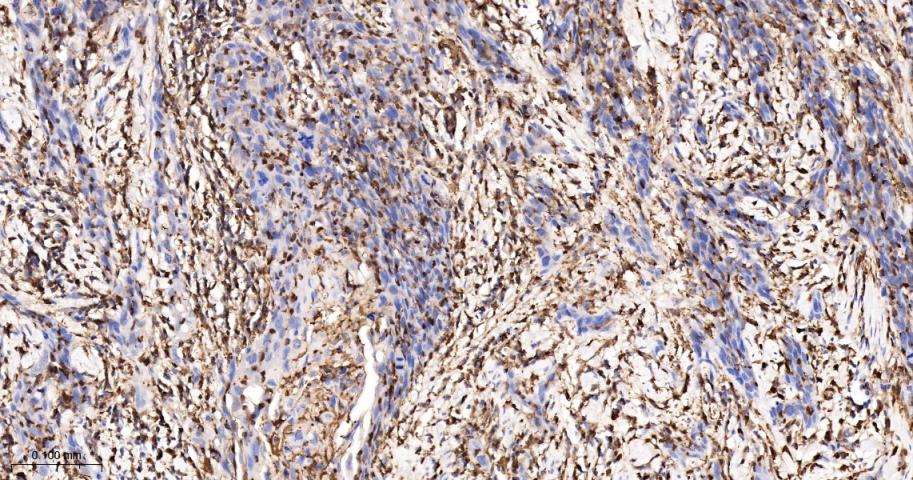
Paraformaldehyde-fixed, paraffin embedded Human Cervical Cancer; Antigen retrieval by boiling in sodium citrate buffer (pH6.0) for 15 min; The section was incubated with S100A4 Monoclonal Antibody, Unconjugated (bsm-55522R) at 1:500 overnight at 4°C, followed by conjugation to the bs-0295G-HRP and DAB (C-0010) staining.
Paraformaldehyde-fixed, paraffin embedded Mouse Spleen; Antigen retrieval by boiling in sodium citrate buffer (pH6.0) for 15 min; The section was incubated with S100A4 Monoclonal Antibody, Unconjugated (bsm-55522R) at 1:500 overnight at 4°C, followed by conjugation to the bs-0295G-HRP and DAB (C-0010) staining.
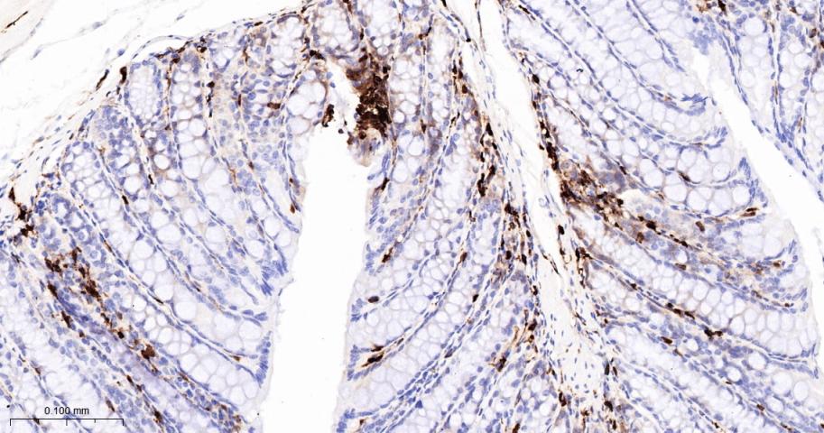
Paraformaldehyde-fixed, paraffin embedded Rat Colon; Antigen retrieval by boiling in sodium citrate buffer (pH6.0) for 15 min; The section was incubated with S100A4 Monoclonal Antibody, Unconjugated (bsm-55522R) at 1:500 overnight at 4°C, followed by conjugation to the bs-0295G-HRP and DAB (C-0010) staining.
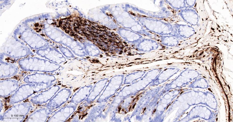
Paraformaldehyde-fixed, paraffin embedded Mouse Colon; Antigen retrieval by boiling in sodium citrate buffer (pH6.0) for 15 min; The section was incubated with S100A4 Monoclonal Antibody, Unconjugated (bsm-55522R) at 1:500 overnight at 4°C, followed by conjugation to the bs-0295G-HRP and DAB (C-0010) staining.
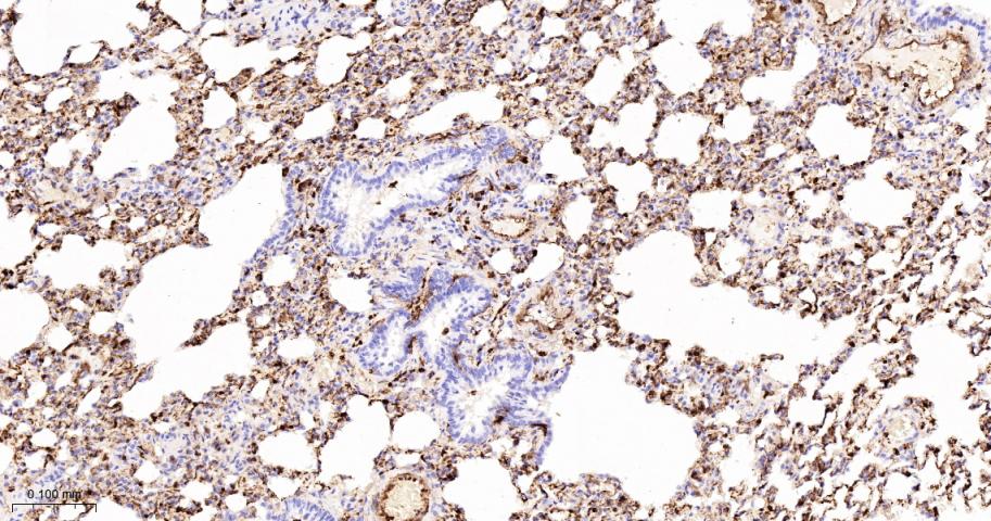
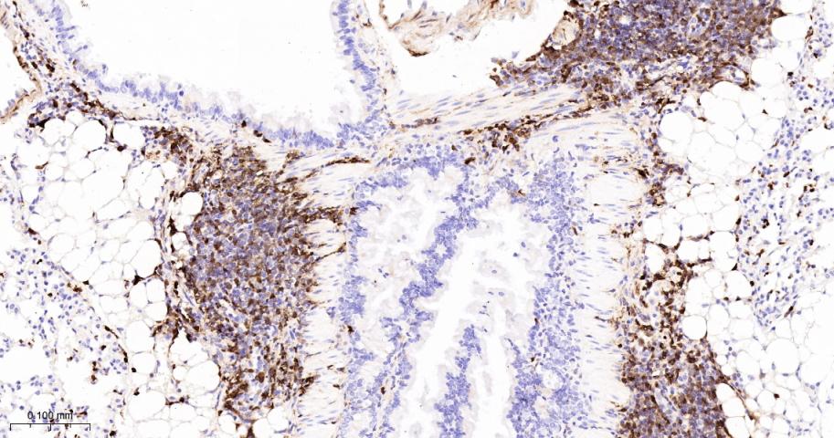
Paraformaldehyde-fixed, paraffin embedded Rat Lung; Antigen retrieval by boiling in sodium citrate buffer (pH6.0) for 15 min; The section was incubated with S100A4 Monoclonal Antibody, Unconjugated (bsm-55522R) at 1:500 overnight at 4°C, followed by conjugation to the bs-0295G-HRP and DAB (C-0010) staining.
Paraformaldehyde-fixed, paraffin embedded Mouse Lung; Antigen retrieval by boiling in sodium citrate buffer (pH6.0) for 15 min; The section was incubated with S100A4 Monoclonal Antibody, Unconjugated (bsm-55522R) at 1:500 overnight at 4°C, followed by conjugation to the bs-0295G-HRP and DAB (C-0010) staining.
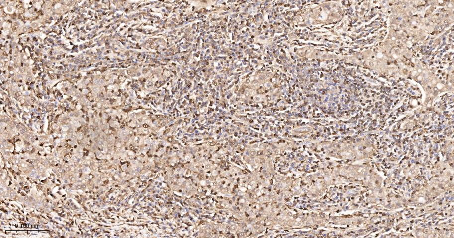
Paraformaldehyde-fixed, paraffin embedded Human Gastric Cancer; Antigen retrieval by boiling in sodium citrate buffer (pH6.0) for 15 min; The section was incubated with S100A4 Monoclonal Antibody, Unconjugated (bsm-55522R) at 1:500 overnight at 4°C, followed by conjugation to the bs-0295G-HRP and DAB (C-0010) staining.
Paraformaldehyde-fixed, paraffin embedded Human Prostate Cancer; Antigen retrieval by boiling in sodium citrate buffer (pH6.0) for 15 min; The section was incubated with S100A4 Monoclonal Antibody, Unconjugated (bsm-55522R) at 1:500 overnight at 4°C, followed by conjugation to the bs-0295G-HRP and DAB (C-0010) staining.
The Hela (H) cells were fixed with 4% PFA (10 min at r.t.) and then permeabilized with 90% ice-cold methanol for 20 min at -20℃,the cells then were incubated in 5%BSA to block non-specific protein-protein interactions (30 min at r.t.), followed by secondary antibody incubation for 40 min at room temperature. Primary Antibody (green):Rabbit Anti-S100A4 antibody (bsm-55522R,1:100); Isotype Control (orange): Rabbit IgG (bs-0295P). Blank control (black): PBS. Acquisition of 20,000 events was performed.
版权所有 2004-2026 www.bioss.com.cn 北京博奥森生物技术有限公司
通过国际质量管理体系ISO 9001:2015 GB/T 19001-2016    证书编号: 00124Q34771R2M/1100
通过国际医疗器械-质量管理体系ISO 13485:2016 GB/T 42061-2022     证书编号: CQC24QY20047R0M/1100
京ICP备05066980号-1         京公网安备110107000727号