扫码关注公众号           扫码咨询技术支持           扫码咨询技术服务
  
客服热线:400-901-9800  客服QQ:4009019800  技术答疑  技术支持  质量反馈  人才招聘  关于我们  联系我们
产品中心-北京博奥森生物技术有限公司
首页 > 产品中心 > 一抗 > 产品信息
Glutaminase Recombinant Rabbit mAb (bsm-60888R)  
订购热线:400-901-9800
订购邮箱:sales@bioss.com.cn
订购QQ:  400-901-9800
技术支持:techsupport@bioss.com.cn
25ul/800.00元
50ul/1400.00元
100ul/2500.00元
大包装/询价

产品编号 bsm-60888R
英文名称 Glutaminase Recombinant Rabbit mAb
中文名称 谷氨酰胺酶重组兔单抗
别    名 AAD20; CASGID; DEE71; EIEE71; GAC; GAM; GDPAG; GLS1; KGA; 6330442B14; B230365M23Rik; Glut; RATGLUT; GLSK_HUMAN; GLS; K-glutaminase; L-glutamine amidohydrolase; 3.5.1.2; KIAA0838; GLSK_MOUSE; GLSK_RAT;  
抗体来源 Rabbit
克隆类型 Recombinant
克 隆 号 15H3
交叉反应 Human,Mouse,Rat
产品应用 WB=1:500-2000,IHC-P=1:200-500,IHC-F=1:200-500,IF=1:200-500,Flow-Cyt=1ug/Test,ICC/IF=1:100-200
not yet tested in other applications.
optimal dilutions/concentrations should be determined by the end user.
理论分子量 73 kDa
检测分子量 55-65
性    状 Liquid
浓    度 1mg/ml
免 疫 原 A synthesized peptide derived from human GLS: 50-101/669 
亚    型 IgG
纯化方法 affinity purified by Protein A
缓 冲 液 0.01M TBS(pH7.4) with 1% BSA, 0.02% Proclin300 and 50% Glycerol.
保存条件 Shipped at 4℃. Store at -20 °C for one year. Avoid repeated freeze/thaw cycles.
注意事项 This product as supplied is intended for research use only, not for use in human, therapeutic or diagnostic applications.
PubMed PubMed
产品介绍 This gene encodes the K-type mitochondrial glutaminase. The encoded protein is an phosphate-activated amidohydrolase that catalyzes the hydrolysis of glutamine to glutamate and ammonia. This protein is primarily expressed in the brain and kidney plays an essential role in generating energy for metabolism, synthesizing the brain neurotransmitter glutamate and maintaining acid-base balance in the kidney. Alternate splicing results in multiple transcript variants. [provided by RefSeq, Jan 2012].

SWISS:
O94925

Gene ID:
2744

产品图片
25 ug total protein per lane of various lysates (see on figure) probed with Glutaminase monoclonal antibody, unconjugated (bsm-60888R) at 1:2000 dilution and 4°C overnight incubation. Followed by conjugated secondary antibody incubation at r.t. for 60 min.
Paraformaldehyde-fixed, paraffin embedded Human Pancreas; Antigen retrieval by boiling in sodium citrate buffer (pH6.0) for 15 min; Antibody incubation with Glutaminase Monoclonal Antibody, Unconjugated(bsm-60888R) at 1:200 overnight at 4°C, followed by conjugation to the bs-0295G-HRP and DAB (C-0010) staining.
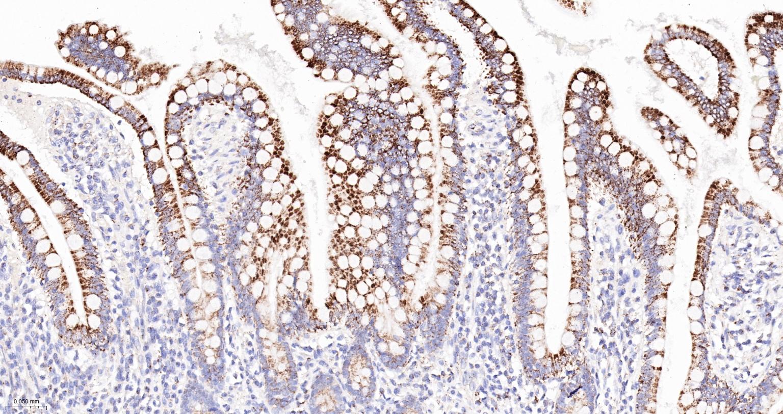
Paraformaldehyde-fixed, paraffin embedded Human Duodenum; Antigen retrieval by boiling in sodium citrate buffer (pH6.0) for 15 min; Antibody incubation with Glutaminase Monoclonal Antibody, Unconjugated(bsm-60888R) at 1:200 overnight at 4°C, followed by conjugation to the bs-0295G-HRP and DAB (C-0010) staining.
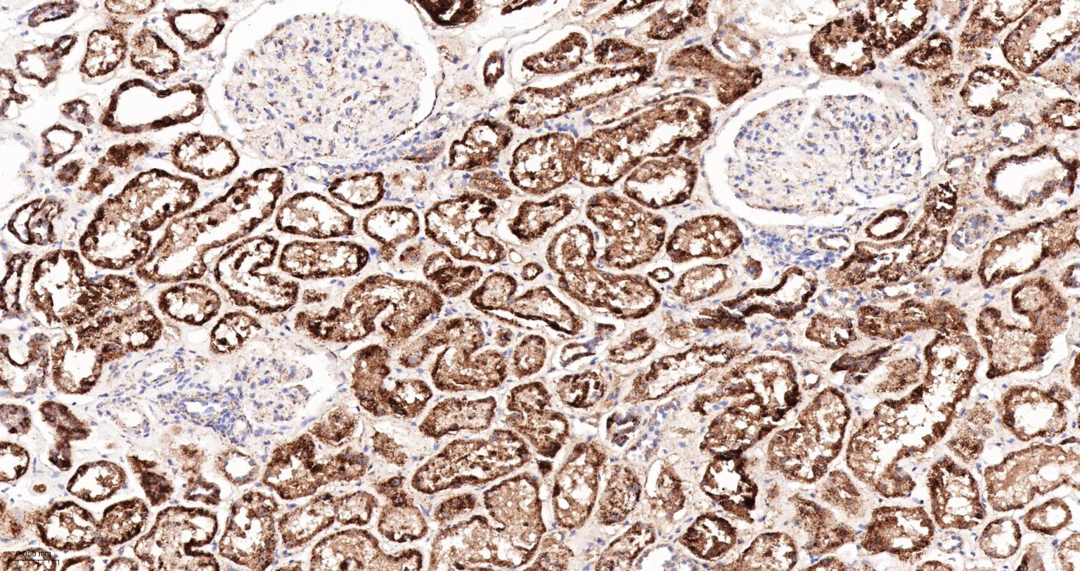
Paraformaldehyde-fixed, paraffin embedded Human Kidney; Antigen retrieval by boiling in sodium citrate buffer (pH6.0) for 15 min; Antibody incubation with Glutaminase Monoclonal Antibody, Unconjugated(bsm-60888R) at 1:200 overnight at 4°C, followed by conjugation to the bs-0295G-HRP and DAB (C-0010) staining.
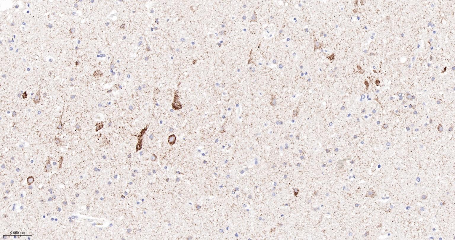
Paraformaldehyde-fixed, paraffin embedded Human Cerebrum; Antigen retrieval by boiling in sodium citrate buffer (pH6.0) for 15 min; Antibody incubation with Glutaminase Monoclonal Antibody, Unconjugated(bsm-60888R) at 1:200 overnight at 4°C, followed by conjugation to the bs-0295G-HRP and DAB (C-0010) staining.
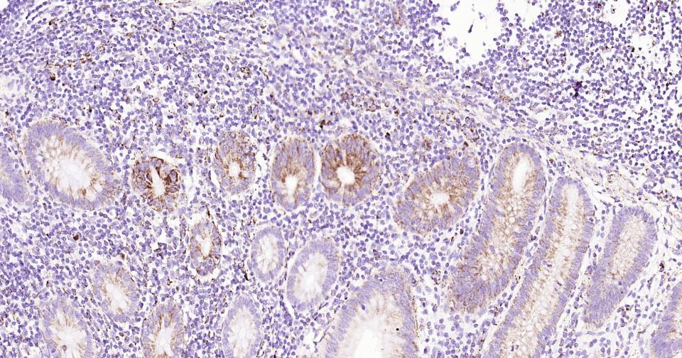
Paraformaldehyde-fixed, paraffin embedded Human appendix; Antigen retrieval by boiling in sodium citrate buffer (pH6.0) for 15 min; Antibody incubation with Glutaminase Monoclonal Antibody, Unconjugated(bsm-60888R) at 1:200 overnight at 4°C, followed by conjugation to the bs-0295G-HRP and DAB (C-0010) staining.
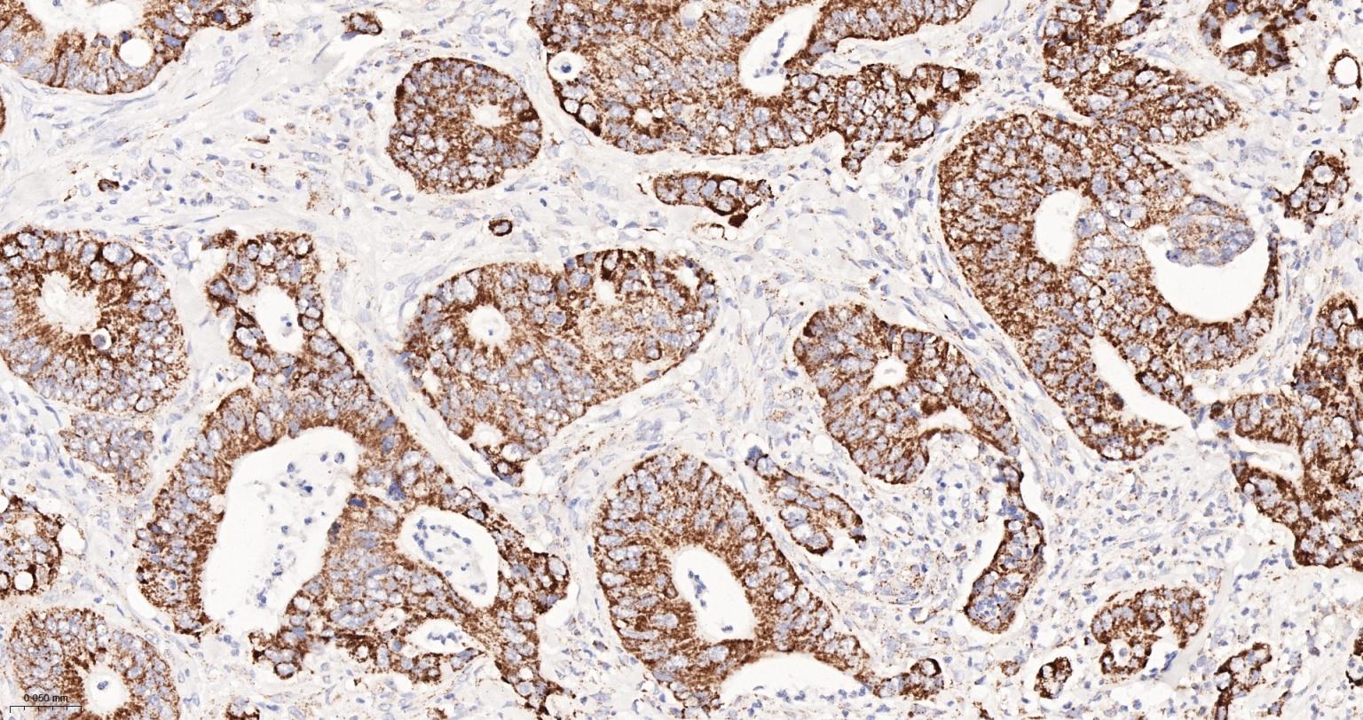
Paraformaldehyde-fixed, paraffin embedded Human Colon Cancer; Antigen retrieval by boiling in sodium citrate buffer (pH6.0) for 15 min; Antibody incubation with Glutaminase Monoclonal Antibody, Unconjugated(bsm-60888R) at 1:200 overnight at 4°C, followed by conjugation to the bs-0295G-HRP and DAB (C-0010) staining.
4% Paraformaldehyde-fixed SH-SY5Y(H) cell; Triton X-100 at r.t. for 20 min; Antibody incubation with (Glutaminase) monoclonal Antibody, unconjugated (bsm-60888R) 1:100, 90 min at 37°C; followed by BF594 conjugated Goat Anti-Rabbit IgG antibody (red, bs-60295G-BF594) at 37°C for 90 min, then stained with Phalloidin/FITC for 30 min at room temperature; DAPI (blue, C02-04002) was used to stain the cell nuclei.
4% Paraformaldehyde-fixed HeLa (H) cell; Triton X-100 at r.t. for 20 min; Antibody incubation with (Glutaminase) monoclonal Antibody, unconjugated (bsm-60888R) 1:100, 90 min at 37°C; followed by conjugated Goat Anti-Rabbit IgG antibody (green, bs-60295G-BF488) at 37°C for 90 min, DAPI (blue, C02-04002) was used to stain the cell nuclei. PBS instead of the primary antibody was used as the blank control.
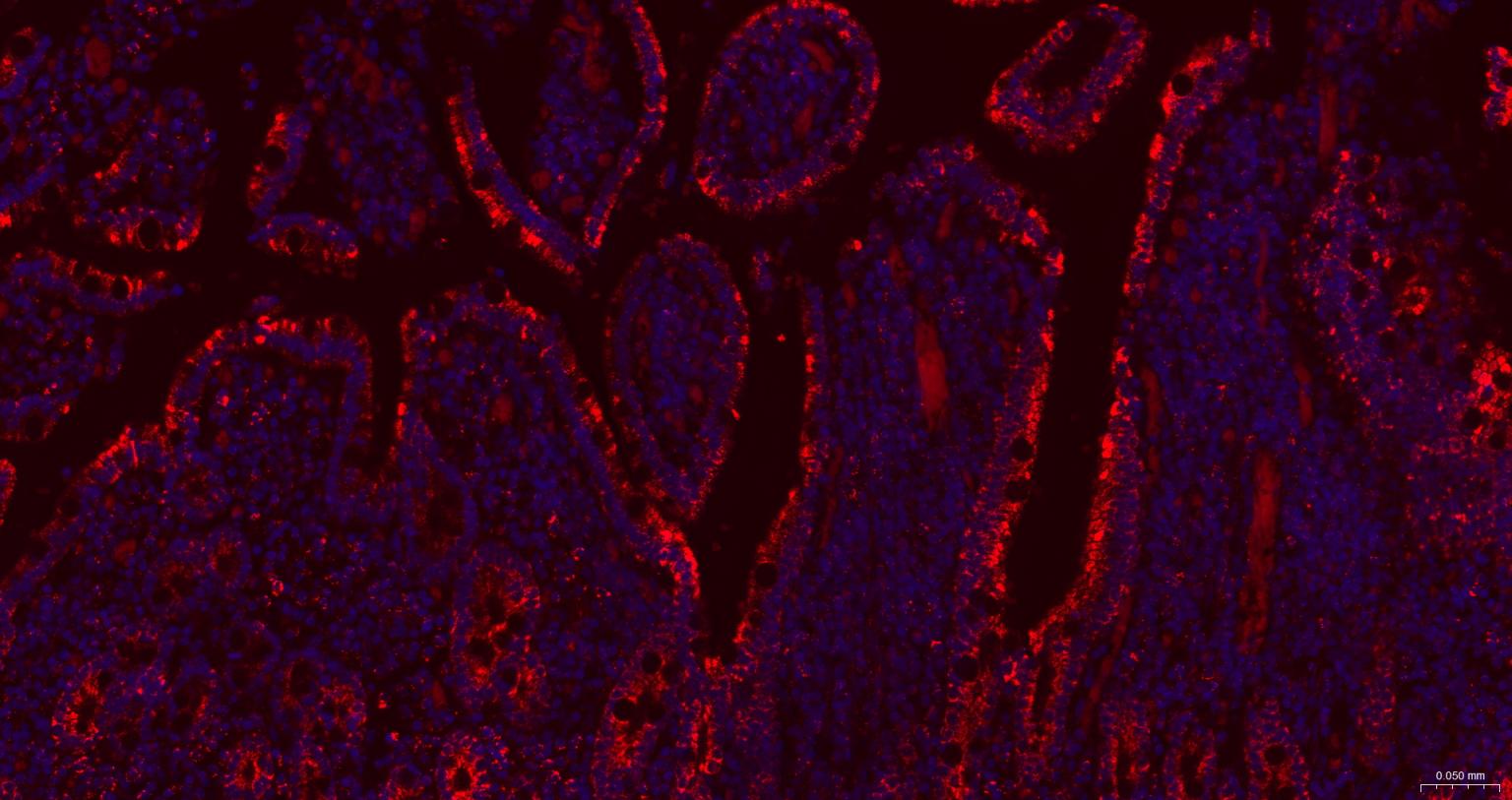
Paraformaldehyde-fixed, paraffin embedded Human Duodenum; Antigen retrieval by boiling in sodium citrate buffer (pH6.0) for 15 min; The section was incubated with Glutaminase Monoclonal Antibody, Unconjugated (bsm-60888R) at 1:200 overnight at 4°C. Followed by conjugated Goat Anti-Rabbit IgG antibody (Red, bs-0295G-BF594), DAPI (blue, C02-04002) was used to stain the cell nuclei.
The HeLa (H) cells were fixed with 4% PFA (10 min at r.t.) and then permeabilized with 90% ice-cold methanol for 20 min at -20℃,the cells then were incubated in 5%BSA to block non-specific protein-protein interactions (30 min at r.t.), followed by secondary antibody incubation for 40 min at room temperature. Primary Antibody (green):Rabbit Anti-Glutaminase antibody (bsm-60888R,1:100); Isotype Control (orange): Rabbit IgG (bs-0295P). Blank control (black): PBS. Acquisition of 20,000 events was performed.
版权所有 2004-2026 www.bioss.com.cn 北京博奥森生物技术有限公司
通过国际质量管理体系ISO 9001:2015 GB/T 19001-2016    证书编号: 00124Q34771R2M/1100
通过国际医疗器械-质量管理体系ISO 13485:2016 GB/T 42061-2022     证书编号: CQC24QY20047R0M/1100
京ICP备05066980号-1         京公网安备110107000727号