扫码关注公众号           扫码咨询技术支持           扫码咨询技术服务
  
客服热线:400-901-9800  客服QQ:4009019800  技术答疑  技术支持  质量反馈  人才招聘  关于我们  联系我们
产品中心-北京博奥森生物技术有限公司
首页 > 产品中心 > 一抗 > 产品信息
Citrulline-Histone H3 (Arg2/8/17) Recombinant Rabbit mAb (bsm-60866R)  
订购热线:400-901-9800
订购邮箱:sales@bioss.com.cn
订购QQ:  400-901-9800
技术支持:techsupport@bioss.com.cn
25ul/800.00元
50ul/1400.00元
100ul/2500.00元
大包装/询价

产品编号 bsm-60866R
英文名称 Citrulline-Histone H3 (Arg2/8/17) Recombinant Rabbit mAb
中文名称 瓜氨酸组蛋白3重组兔单抗
别    名 H3C1 | Histone H3 (citrulline-R2/R8/R17); H3R2citR8citR17cit; cit-Histone H3; citrulline-Histone H3; cit-H3; H3C1 | Histone H3 (citrulline-Arg2/Arg8/Arg17); H3/A; H3C10; H3C11; H3C12; H3C2; H3C3; H3C4; H3C6; H3C7; H3C8; H3FA; HIST1H3A; H3/b; H3C1; H3FB; HIST1H3D; H3.1; H3/c; H3FC; HIST1H3C; H3/d; H3FD; HIST1H3E; H3.f; H3/f; H3FF; HIST1H3I; H3/h; H3FH; HIST1H3G; H3/j; H3FJ; HIST1H3J; H3/k; H3F1K; H3FK; HIST1H3H; H3/l; H3FL; HIST1H3B; H3/i; H3FI; HIST1H3F; H3.2-221; H3c13; H3c14; H3c15; Hist1; H3-143; H3-b; H3-53; H3-f; H3-291; H3-H; H3.1-221; H3 histone; Hist1h2ail; Hist1h2ail1; Hist2h3c; Hist3h3; H31_HUMAN; Histone H3/a; Histone H3/b; Histone H3/c; Histone H3/d; Histone H3/f; Histone H3/h; Histone H3/i; Histone H3/j; Histone H3/k; Histone H3/l; H3FC HIST1H3C; H33_HUMAN; H3-3A; H3-3B; H3.3A; H3F3; H3F3A; H3.3B; H3F3B; H31T_HUMAN; H3-4; H3/t; H3t; H3/g; Histone H3.4; H3FT; H3C_HUMAN; H3-5; Histone H3.5; H3F3C; H32_HUMAN; H3-clustered histone 13; H3-clustered histone 14; H3-clustered histone 15; Histone H3/m; Histone H3/o; HIST2H3A; H3F2; H3FM; HIST2H3D; H31_MOUSE; H3a; H3g; H3.1-291; H3h; H3.1-I; H3i; H32_MOUSE; H3-clustered histone 2; H3-clustered histone 3; H3-clustered histone 4; H3-clustered histone 6; H3-clustered histone 7; H3.2; H3b; H3f; H3.2-616; Hist2h3b; H3.2-615; Hist2h3c1; Hist2h3ca1; H3.2-614; Hist2h3c2; Hist2h3ca2; H31_RAT;   瓜氨酸化组蛋白3; 瓜氨酸组蛋白H3;
抗体来源 Rabbit
克隆类型 Recombinant
克 隆 号 11E7
交叉反应 Human (predicted: Mouse,Rat)
产品应用 WB=1:2000-20000,IHC-P=1:200-800,IHC-F=1:200-800,IF=1:200-800
not yet tested in other applications.
optimal dilutions/concentrations should be determined by the end user.
理论分子量 15 kDa
性    状 Liquid
浓    度 1mg/ml
亚    型 IgG
纯化方法 affinity purified by Protein A
缓 冲 液 PBS, Glycerol, BSA.
保存条件 Shipped at 4℃. Store at -20℃ for one year. Avoid repeated freeze/thaw cycles.
注意事项 This product as supplied is intended for research use only, not for use in human, therapeutic or diagnostic applications.
PubMed PubMed
产品介绍 Modulation of the chromatin structure plays an important role in the regulation of transcription in eukaryotes. The nucleosome, made up of four core histone proteins (H2A, H2B, H3 and H4), is the primary building block of chromatin. The N-terminal tail of core histones undergoes different posttranslational modifications including acetylation, phosphorylation and methylation. These modifications occur in response to cell signal stimuli and have a direct effect on gene expression. In most species, the histone H2B is primarily acetylated at lysines 5, 12, 15 and 20. Histone H3 is primarily acetylated at lysines 9, 14, 18 and 23. Acetylation at lysine 9 appears to have a dominant role in histone deposition and chromatin assembly in some organisms. Phosphorylation at Ser10 of histone H3 is tightly correlated with chromosome condensation during both mitosis and meiosis.

产品组分及规格 编号 组分 规格 浓度 储存 1
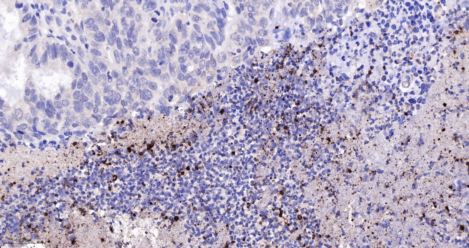
产品图片
Paraformaldehyde-fixed, paraffin embedded Human Ovarian Cancer; Antigen retrieval by boiling in sodium citrate buffer (pH6.0) for 15 min; The section was incubated with Citrulline-Histone H3 (Arg2/8/17) Monoclonal Antibody, Unconjugated (bsm-60866R) at 1:200 overnight at 4°C, followed by conjugation to the bs-0295G-HRP and DAB (C-0010) staining.
版权所有 2004-2026 www.bioss.com.cn 北京博奥森生物技术有限公司
通过国际质量管理体系ISO 9001:2015 GB/T 19001-2016    证书编号: 00124Q34771R2M/1100
通过国际医疗器械-质量管理体系ISO 13485:2016 GB/T 42061-2022     证书编号: CQC24QY20047R0M/1100
京ICP备05066980号-1         京公网安备110107000727号