扫码关注公众号           扫码咨询技术支持           扫码咨询技术服务
  
客服热线:400-901-9800  客服QQ:4009019800  技术答疑  技术支持  质量反馈  人才招聘  关于我们  联系我们
产品中心-北京博奥森生物技术有限公司
首页 > 产品中心 > 一抗 > 产品信息
UQCRFS1 Recombinant Rabbit mAb (bsm-54363R)  
订购热线:400-901-9800
订购邮箱:sales@bioss.com.cn
订购QQ:  400-901-9800
技术支持:techsupport@bioss.com.cn
25ul/800.00元
50ul/1400.00元
100ul/2500.00元
大包装/询价

产品编号 bsm-54363R
英文名称 UQCRFS1 Recombinant Rabbit mAb
中文名称 质子梯度调节蛋白1重组兔单克隆抗体
别    名 MC3DN10; RIP1; RIS1; RISP; UQCR5; 4430402G14Rik; LRRGT00195; UCRI_HUMAN; UQCRFS1; Complex III subunit 5; Cytochrome b-c1 complex subunit 5; Rieske iron-sulfur protein (RISP); Rieske protein UQCRFS1; Ubiquinol-cytochrome c reductase iron-sulfur subunit; 7.1.1.8; UCRI_MOUSE; UCRI_RAT; Liver regeneration-related protein LRRGT00195;   
抗体来源 Rabbit
克隆类型 Recombinant
克 隆 号 10C1
交叉反应 Human,Mouse,Rat
产品应用 WB=1:500-2000,IHC-P=1:200-1000,IHC-F=1:200-1000,IF=1:200-1000,IP=1:20-100
not yet tested in other applications.
optimal dilutions/concentrations should be determined by the end user.
检测分子量 25
性    状 Liquid
浓    度 1mg/ml
免 疫 原 Recombinant human UQCRFS1 protein 
亚    型 IgG
纯化方法 affinity purified by Protein A
缓 冲 液 PBS, Glycerol, BSA.
保存条件 Shipped at 4℃. Store at -20℃ for one year. Avoid repeated freeze/thaw cycles.
注意事项 This product as supplied is intended for research use only, not for use in human, therapeutic or diagnostic applications.
PubMed PubMed
产品介绍 UQCRFS1 is an iron-sulfur Rieske protein belongs to major subunits of cytochrome b6f complex of photosynthetic membranes and is encoded by petA gene. A hydrophobic stretch next to N-terminus of the protein is considered as a transmembrane anchor for the Rieske protein. It had been shown that the Rieske protein is involved in the quinol binding. In plants it is essential protein for photoautotrophism. Confers resistance to photo-oxidative damages by contributing to the thermal dissipation of light energy and to lumenal acidification (increase of pH gradient). Component of the cytochrome b6-f complex, which mediates electron transfer between photosystem II (PSII) and photosystem I (PSI), cyclic electron flow around PSI, and state transitions.

SWISS:
P47985

Gene ID:
7386

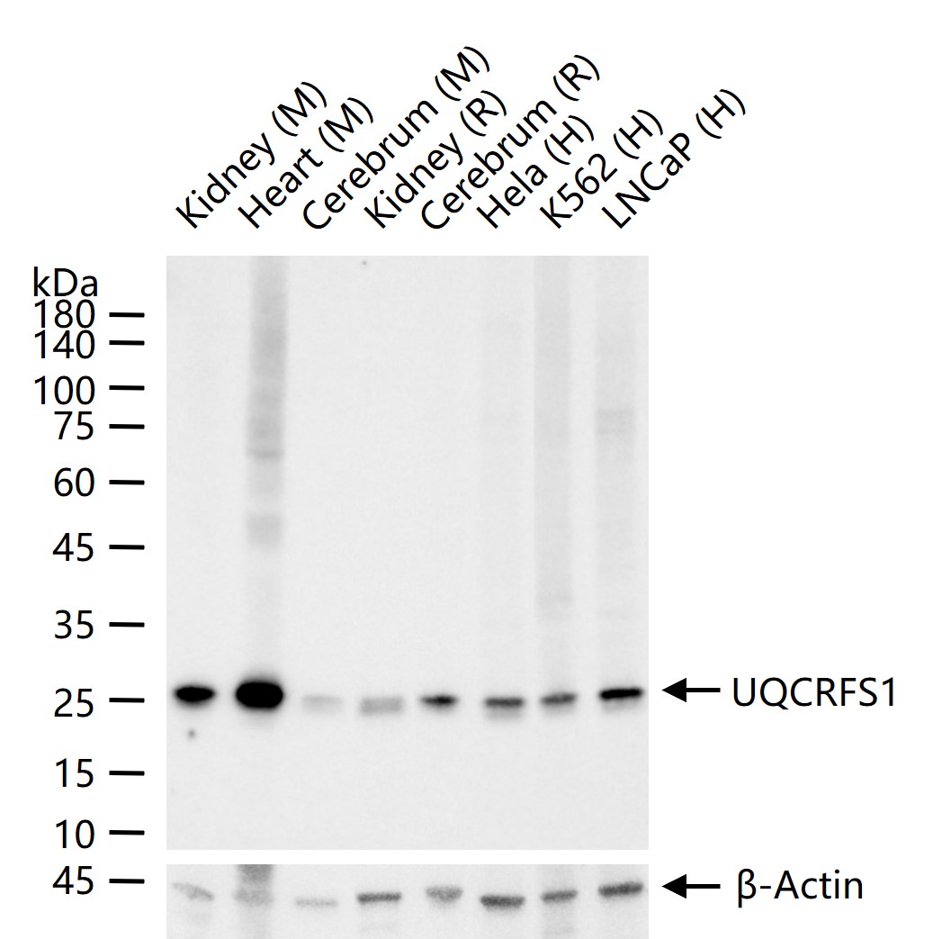
产品图片
25 ug total protein per lane of various lysates (see on figure) probed with UQCRFS1 monoclonal antibody, unconjugated (bsm-54363R) at 1:1000 dilution and 4°C overnight incubation. Followed by conjugated secondary antibody incubation at r.t. for 60 min.
版权所有 2004-2026 www.bioss.com.cn 北京博奥森生物技术有限公司
通过国际质量管理体系ISO 9001:2015 GB/T 19001-2016    证书编号: 00124Q34771R2M/1100
通过国际医疗器械-质量管理体系ISO 13485:2016 GB/T 42061-2022     证书编号: CQC24QY20047R0M/1100
京ICP备05066980号-1         京公网安备110107000727号