扫码关注公众号           扫码咨询技术支持           扫码咨询技术服务
  
客服热线:400-901-9800  客服QQ:4009019800  技术答疑  技术支持  质量反馈  人才招聘  关于我们  联系我们
产品中心-北京博奥森生物技术有限公司
首页 > 产品中心 > 一抗 > 产品信息
Galectin 3 Recombinant Rabbit mAb (bsm-61087R)  
订购热线:400-901-9800
订购邮箱:sales@bioss.com.cn
订购QQ:  400-901-9800
技术支持:techsupport@bioss.com.cn
25ul/800.00元
50ul/1400.00元
100ul/2500.00元
大包装/询价

产品编号 bsm-61087R
英文名称 Galectin 3 Recombinant Rabbit mAb
中文名称 半乳糖凝集素3重组兔单抗
别    名 CBP35; GAL3; GALBP; GALIG; L31; LGALS2; MAC2; GBP; L-34; Mac-2; AGE-R3; CBP30; gal-3; LEG3_HUMAN; LGALS3; 35 kDa lectin; Carbohydrate-binding protein 35 (CBP 35); Galactose-specific lectin 3; Galactoside-binding protein (GALBP); IgE-binding protein; L-31; Laminin-binding protein; Lectin L-29; Mac-2 antigen; LEG3_MOUSE; L-34 galactoside-binding lectin; LEG3_RAT;   
抗体来源 Rabbit
克隆类型 Recombinant
克 隆 号 5C5
交叉反应 Human
产品应用 WB=1:1000-5000,IHC-P=1:200-800,IHC-F=1:200-800,IF=1:200-800
not yet tested in other applications.
optimal dilutions/concentrations should be determined by the end user.
理论分子量 29 kDa
检测分子量 28
细胞定位 细胞核 细胞浆 细胞膜 分泌型蛋白 
性    状 Liquid
免 疫 原 A synthesized peptide derived from human Galectin 3: 160-190 
亚    型 IgG
纯化方法 affinity purified by Protein A
缓 冲 液 0.01M TBS(pH7.4) with 1% BSA, 0.02% Proclin300 and 50% Glycerol.
保存条件 Shipped at 4℃. Store at -20 °C for one year. Avoid repeated freeze/thaw cycles.
注意事项 This product as supplied is intended for research use only, not for use in human, therapeutic or diagnostic applications.
PubMed PubMed
产品介绍 bs-0721P is one synthetic peptide derived from human Galectin 3.
Galactose-specific lectin which binds IgE. May mediate with the alpha-3, beta-1 integrin the stimulation by CSPG4 of endothelial cells migration. Together with DMBT1, required for terminal differentiation of columnar epithelial cells during early embryogenesis. In the nucleus: acts as a pre-mRNA splicing factor. Involved in acute inflammatory responses including neutrophil activation and adhesion, chemoattraction of monocytes macrophages, opsonization of apoptotic neutrophils, and activation of mast cells.

Function:
Galactose-specific lectin which binds IgE. May mediate with the alpha-3, beta-1 integrin the stimulation by CSPG4 of endothelial cells migration. Together with DMBT1, required for terminal differentiation of columnar epithelial cells during early embryogenesis. In the nucleus: acts as a pre-mRNA splicing factor. Involved in acute inflammatory responses including neutrophil activation and adhesion, chemoattraction of monocytes macrophages, opsonization of apoptotic neutrophils, and activation of mast cells.

Subunit:
Probably forms homo- or heterodimers. Interacts with DMBT1 (By similarity). Forms a complex with the ITGA3, ITGB1 and CSPG4. Interacts with LGALS3BP, LYPD3, CYHR1 and UACA.

Subcellular Location:
Cytoplasm. Nucleus. Secreted. Note=Secreted by a non-classical secretory pathway and associates with the cell surface.

Tissue Specificity:
A major expression is found in the colonic epithelium. It is also abundant in the activated macrophages.

Similarity:
Contains 1 galectin domain.

SWISS:
P17931

Gene ID:
3958

Database links:

Entrez Gene: 3958 Human

Entrez Gene: 16854 Mouse

Entrez Gene: 83781 Rat

Omim: 153619 Human

SwissProt: P17931 Human

SwissProt: P16110 Mouse

SwissProt: P08699 Rat

Unigene: 531081 Human

Unigene: 248615 Mouse

Unigene: 764 Rat



Galectin-3是Galectin(半乳凝素)家族的一员,能识别糖蛋白和糖脂的特异性低聚糖结构,参与多种生理和病理过程,包括细胞生长和凋亡、细胞黏附、新生血管形成和肿瘤浸润与转移等。Galectin-3在肿瘤的发生、发展及转移中起重要作用。 Galectin-3在某些肿瘤组织中高表达,其在不同类型肿瘤,如结直肠癌、胃癌、胰腺癌、甲状腺癌及肺癌等患者中的高表达水平,与低生存、肿瘤复发、预后差及对化疗药物敏感性降低相关对于某些肿瘤,Galectin-3有可能成为一个有价值的诊断标志和治疗靶点。
产品图片
25 ug total protein per lane of various lysates (see on figure) probed with Galectin 3 monoclonal antibody, unconjugated (bsm-61087R) at 1:2000 dilution and 4°C overnight incubation. Followed by conjugated secondary antibody incubation at r.t. for 60 min.
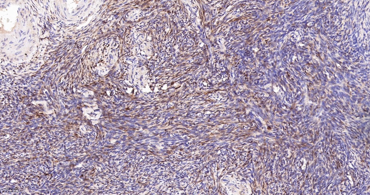
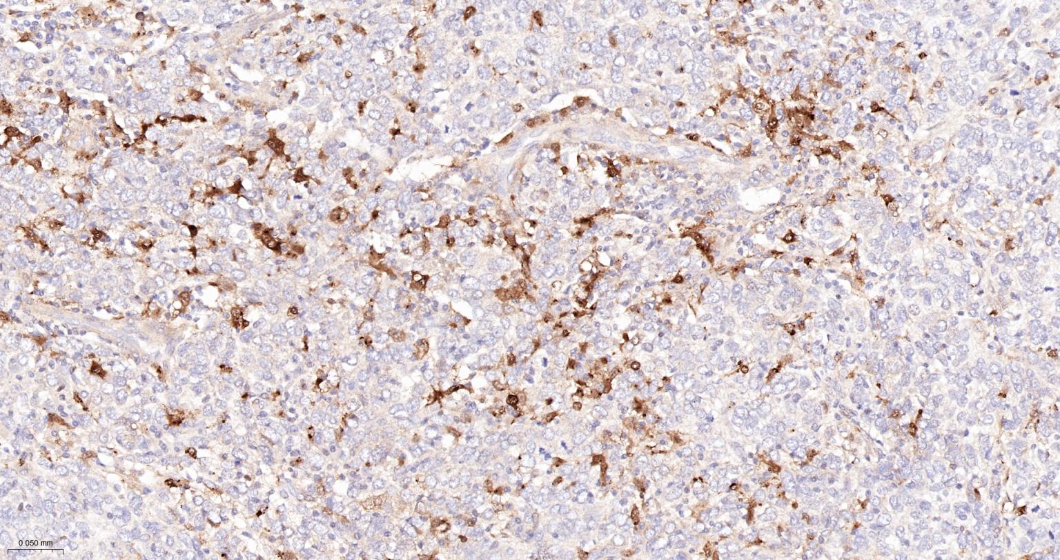
Paraformaldehyde-fixed, paraffin embedded Human Thyroid Cancer; Antigen retrieval by boiling in sodium citrate buffer (pH6.0) for 15 min; The section was incubated with Galectin 3 Monoclonal Antibody, Unconjugated (bsm-61087R) at 1:200 overnight at 4°C, followed by conjugation to the bs-0295G-HRP and DAB (C-0010) staining.
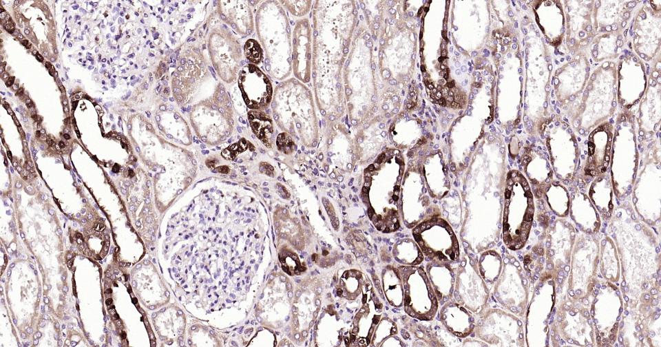
Paraformaldehyde-fixed, paraffin embedded Human Kidney; Antigen retrieval by boiling in sodium citrate buffer (pH6.0) for 15 min; Antibody incubation with Galectin 3 Monoclonal Antibody, Unconjugated(bsm-61087R) at 1:200 overnight at 4°C, followed by conjugation to the SP Kit (Rabbit, SP-0023)and DAB (C-0010) staining.
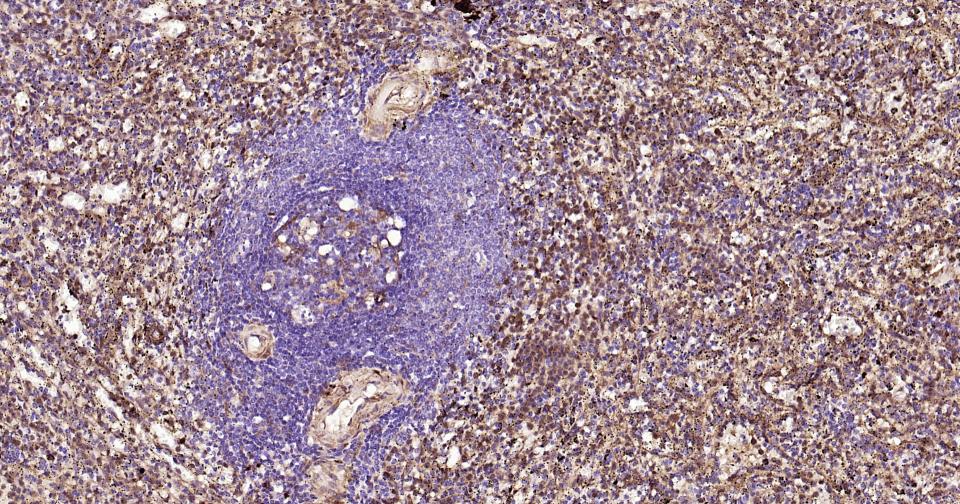
Paraformaldehyde-fixed, paraffin embedded Human Spleen; Antigen retrieval by boiling in sodium citrate buffer (pH6.0) for 15 min; Antibody incubation with Galectin 3 Monoclonal Antibody, Unconjugated(bsm-61087R) at 1:200 overnight at 4°C, followed by conjugation to the SP Kit (Rabbit, SP-0023)and DAB (C-0010) staining.
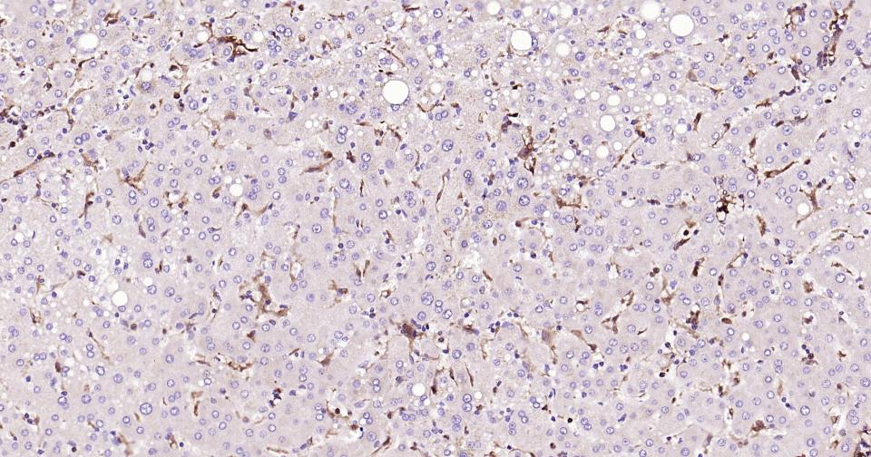
Paraformaldehyde-fixed, paraffin embedded Human liver; Antigen retrieval by boiling in sodium citrate buffer (pH6.0) for 15 min; Antibody incubation with Galectin 3 Monoclonal Antibody, Unconjugated(bsm-61087R) at 1:200 overnight at 4°C, followed by conjugation to the SP Kit (Rabbit, SP-0023)and DAB (C-0010) staining.
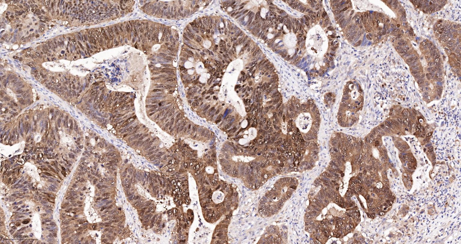
Paraformaldehyde-fixed, paraffin embedded Human Colon Cancer; Antigen retrieval by boiling in sodium citrate buffer (pH6.0) for 15 min; Antibody incubation with Galectin 3 Monoclonal Antibody, Unconjugated(bsm-61087R) at 1:200 overnight at 4°C, followed by conjugation to the SP Kit (Rabbit, SP-0023)and DAB (C-0010) staining.
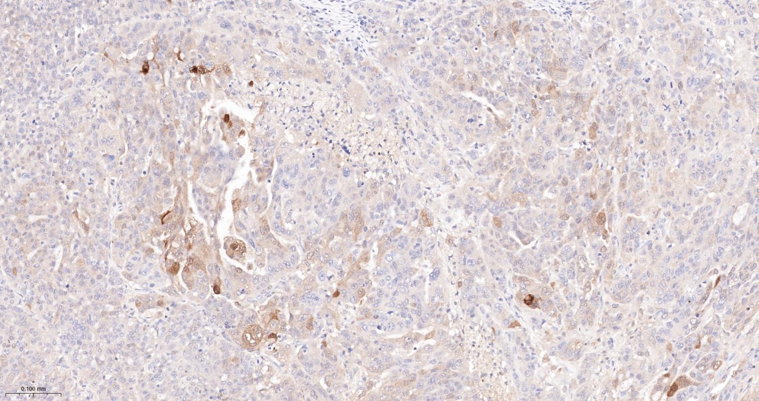
Paraformaldehyde-fixed, paraffin embedded Human Ovarian Cancer; Antigen retrieval by boiling in sodium citrate buffer (pH6.0) for 15 min; The section was incubated with Galectin 3 Monoclonal Antibody, Unconjugated (bsm-61087R) at 1:200 overnight at 4°C, followed by conjugation to the bs-0295G-HRP and DAB (C-0010) staining.
Paraformaldehyde-fixed, paraffin embedded Human Ovary; Antigen retrieval by boiling in sodium citrate buffer (pH6.0) for 15 min; Antibody incubation with Galectin 3 Monoclonal Antibody, Unconjugated(bsm-61087R) at 1:200 overnight at 4°C, followed by conjugation to the SP Kit (Rabbit, SP-0023)and DAB (C-0010) staining.
Paraformaldehyde-fixed, paraffin embedded Human small intestine; Antigen retrieval by boiling in sodium citrate buffer (pH6.0) for 15min; Blocking buffer (normal goat serum) at 37°C for 30min; Incubation with Galectin 3 Monoclonal Antibody, Unconjugated (bsm-61087R) at 1:200 overnight at 4°C, followed by a BF594 conjugated Goat Anti-Rabbit IgG antibody (bs-0295G-BF594) for 90 minutes, and DAPI for nuclei staining.
Paraformaldehyde-fixed, paraffin embedded Human liver; Antigen retrieval by boiling in sodium citrate buffer (pH6.0) for 15min; Blocking buffer (normal goat serum) at 37°C for 30min; Incubation with Galectin 3 Monoclonal Antibody, Unconjugated (bsm-61087R) at 1:200 overnight at 4°C, followed by a BF594 conjugated Goat Anti-Rabbit IgG antibody (bs-0295G-BF594) for 90 minutes, and DAPI for nuclei staining.
版权所有 2004-2026 www.bioss.com.cn 北京博奥森生物技术有限公司
通过国际质量管理体系ISO 9001:2015 GB/T 19001-2016    证书编号: 00124Q34771R2M/1100
通过国际医疗器械-质量管理体系ISO 13485:2016 GB/T 42061-2022     证书编号: CQC24QY20047R0M/1100
京ICP备05066980号-1         京公网安备110107000727号