扫码关注公众号           扫码咨询技术支持           扫码咨询技术服务
  
客服热线:400-901-9800  客服QQ:4009019800  技术答疑  技术支持  质量反馈  人才招聘  关于我们  联系我们
产品中心-北京博奥森生物技术有限公司
首页 > 产品中心 > 一抗 > 产品信息
TrkB Recombinant Rabbit mAb (bsm-61083R)  
订购热线:400-901-9800
订购邮箱:sales@bioss.com.cn
订购QQ:  400-901-9800
技术支持:techsupport@bioss.com.cn
25ul/800.00元
50ul/1400.00元
100ul/2500.00元
大包装/询价

产品编号 bsm-61083R
英文名称 TrkB Recombinant Rabbit mAb
中文名称 酪氨酸激酶B重组兔单抗
别    名 DEE58; EIEE58; GP145-TrkB; OBHD; TRKB; trk-B; GP145-TrkB/GP95-TrkB; Tkrb; RATTRKB1; TRKB1; NTRK2_HUMAN; NTRK2; GP145-TrkB (Trk-B); Neurotrophic tyrosine kinase receptor type 2; TrkB tyrosine kinase; Tropomyosin-related kinase B; 2.7.10.1; NTRK2_MOUSE; GP145-TrkB/GP95-TrkB (Trk-B); NTRK2_RAT; TrkB tyrosine kinase (Trk-B);   
抗体来源 Rabbit
克隆类型 Recombinant
克 隆 号 13B3
交叉反应 Mouse,Rat
产品应用 WB=1:500-2000,IHC-P=1:100-500,IHC-F=1:100-500,IF=1:100-500
not yet tested in other applications.
optimal dilutions/concentrations should be determined by the end user.
理论分子量 92 kDa
检测分子量 140,90
细胞定位 细胞浆 细胞膜 
性    状 Liquid
浓    度 1mg/ml
免 疫 原 A synthesized peptide derived from mouse Trk B: 120-430 
亚    型 IgG
纯化方法 affinity purified by Protein A
缓 冲 液 0.01M TBS(pH7.4) with 1% BSA, 0.02% Proclin300 and 50% Glycerol.
保存条件 Shipped at 4℃. Store at -20 °C for one year. Avoid repeated freeze/thaw cycles.
注意事项 This product as supplied is intended for research use only, not for use in human, therapeutic or diagnostic applications.
PubMed PubMed
产品介绍 This gene encodes a member of the neurotrophic tyrosine receptor kinase (NTRK) family. This kinase is a membrane-bound receptor that, upon neurotrophin binding, phosphorylates itself and members of the MAPK pathway. Signalling through this kinase leads to cell differentiation. Mutations in this gene have been associated with obesity and mood disorders. Alternate transcriptional splice variants encoding different isoforms have been found for this gene. [provided by RefSeq, Jul 2008].

Function:
Receptor tyrosine kinase involved in the development and the maturation of the central and the peripheral nervous systems through regulation of neuron survival, proliferation, migration, differentiation, and synapse formation and plasticity. Receptor for BDNF/brain-derived neurotrophic factor and NTF4/neurotrophin-4. Alternatively can also bind NTF3/neurotrophin-3 which is less efficient in activating the receptor but regulates neuron survival through NTRK2. Upon ligand-binding, undergoes homodimerization, autophosphorylation and activation. Recruits, phosphorylates and/or activates several downstream effectors including SHC1, FRS2, SH2B1, SH2B2 and PLCG1 that regulate distinct overlapping signaling cascades. Through SHC1, FRS2, SH2B1, SH2B2 activates the GRB2-Ras-MAPK cascade that regulates for instance neuronal differentiation including neurite outgrowth. Through the same effectors controls the Ras-PI3 kinase-AKT1 signaling cascade that mainly regulates growth and survival. Through PLCG1 and the downstream protein kinase C-regulated pathways controls synaptic plasticity. Thereby, plays a role in learning and memory by regulating both short term synaptic function and long-term potentiation. PLCG1 also leads to NF-Kappa-B activation and the transcription of genes involved in cell survival. Hence, it is able to suppress anoikis, the apoptosis resulting from loss of cell-matrix interactions. May also play a role in neutrophin-dependent calcium signaling in glial cells and mediate communication between neurons and glia.

Subunit:
Exists in a dynamic equilibrium between monomeric (low affinity) and dimeric (high affinity) structures. Interacts (phosphorylated upon activation by BDNF) with SHC1; mediates SHC1 phosphorylation and activation. Interacts (phosphorylated upon activation by BDNF) with PLCG1 and/or PLCG2; mediates PLCG1 phosphorylation and activation. Interacts with SH2B1 and SH2B2. Interacts with NGFR; may regulate the ligand specificity of the receptor. Interacts (phosphorylated upon ligand-binding) with SH2D1A; regulates NTRK2. Interacts with SQSTM1 and KIDINS220. Interacts (phosphorylated upon ligand-binding) with FRS2; activates the MAPK signaling pathway.

Subcellular Location:
Isoform TrkB is expressed in the central and peripheral nervous system. In the central nervous system (CNS), expression is observed in the cerebral cortex, hippocampus, thalamus, choroid plexus, granular layer of the cerebellum, brain stem, and spinal cord. In the peripheral nervous system, it is expressed in many cranial ganglia, the ophtalmic nerve, the vestibular system, multiple facial structures, the submaxillary glands, and dorsal root ganglia. Isoform TrkB-T1 is mainly expressed in the brain but also detected in other tissues including pancreas, kidney and heart. Isoform TrkB-T-Shc is predominantly expressed in the brain.

Tissue Specificity:
TrkB-T1 is mainly expressed in the brain but also detected in other tissues including pancreas, kidney and heart. Isoform TrkB-T-Shc is predominantly expressed in the brain.

Post-translational modifications:
Phosphorylated. Undergoes ligand-mediated autophosphorylation that is required for interaction with SHC1 and PLCG1 and other downstream effectors. Isoform TrkB-T-Shc is not phosphorylated. Ubiquitinated. Undergoes polyubiquitination upon activation; regulated by NGFR. Ubiquitination regulates the internalization of the receptor.

DISEASE:
Defects in NTRK2 are the cause of obesity hyperphagia and developmental delay (OHPDD) [MIM:613886]. OHPDD is a disorder characterized by early-onset obesity, hyperphagia, and severe developmental delay in motor function, speech, and language.

Similarity:
Belongs to the protein kinase superfamily. Tyr protein kinase family. Insulin receptor subfamily. Contains 2 Ig-like C2-type (immunoglobulin-like) domains. Contains 2 LRR (leucine-rich) repeats. Contains 1 LRRCT domain. Contains 1 LRRNT domain. Contains 1 protein kinase domain.

SWISS:
P15209

Gene ID:
18212

Database links:

Entrez Gene: 4915 Human

Entrez Gene: 18212 Mouse

Entrez Gene: 25054 Rat

Omim: 600456 Human

SwissProt: Q16620 Human

SwissProt: P15209 Mouse

SwissProt: Q63604 Rat

Unigene: 494312 Human

Unigene: 712776 Human

Unigene: 130054 Mouse

Unigene: 11246 Rat



神经生物学相关蛋白(Neurobiology)
此抗体针对NGF、BDNF、NT-3、NT-4等的受体包括trkA、trkB、trkC及NGFR。BDNF、NT-3能诱导trkB的酪氨酸磷酸化。(神经生长因子受体的一种)
产品图片
25 ug total protein per lane of various lysates (see on figure) probed with TrkB monoclonal antibody, unconjugated (bsm-61083R) at 1:1000 dilution and 4°C overnight incubation. Followed by conjugated secondary antibody incubation at r.t. for 60 min.
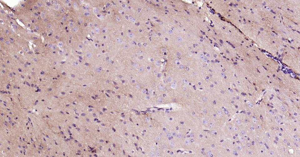
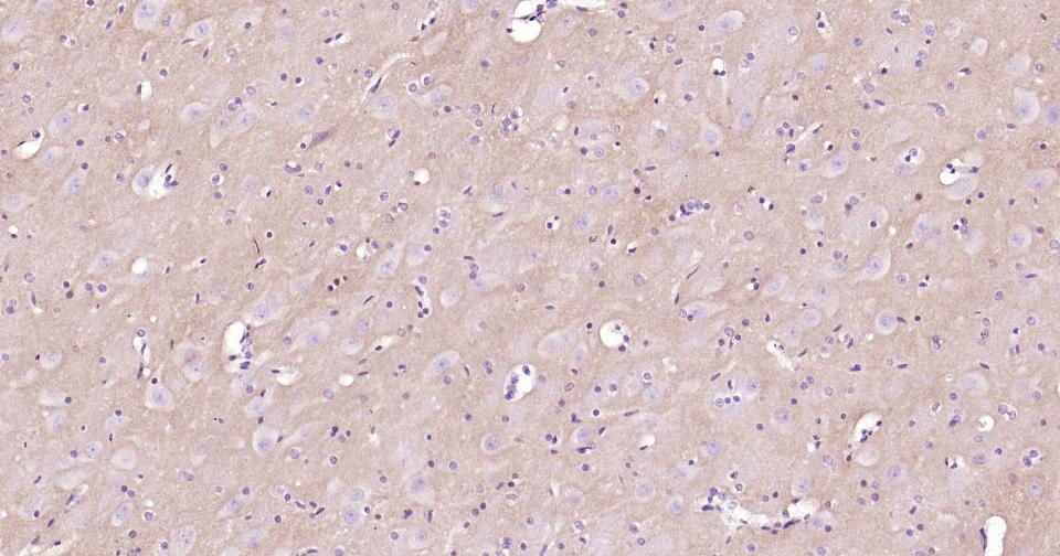
Paraformaldehyde-fixed, paraffin embedded Rat Cerebrum; Antigen retrieval by boiling in sodium citrate buffer (pH6.0) for 15 min; Antibody incubation with TrkB Monoclonal Antibody, Unconjugated(bsm-61083R) at 1:200 overnight at 4°C, followed by conjugation to the SP Kit (Rabbit, SP-0023) and DAB (C-0010) staining.
Paraformaldehyde-fixed, paraffin embedded Mouse Cerebrum; Antigen retrieval by boiling in sodium citrate buffer (pH6.0) for 15 min; Antibody incubation with TrkB Monoclonal Antibody, Unconjugated(bsm-61083R) at 1:200 overnight at 4°C, followed by conjugation to the SP Kit (Rabbit, SP-0023) and DAB (C-0010) staining.
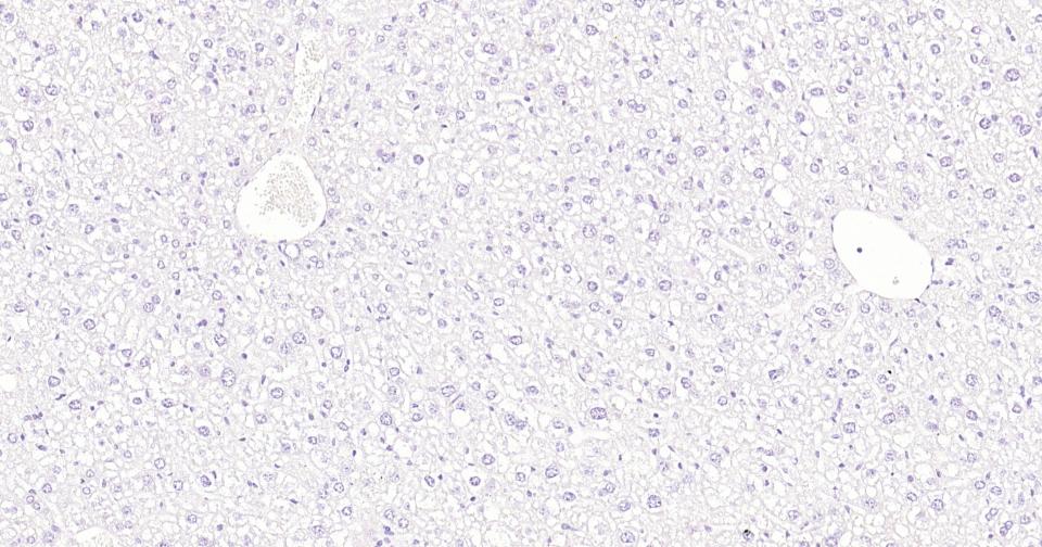
(Negative control) Paraformaldehyde-fixed, paraffin embedded Rat Liver; Antigen retrieval by boiling in sodium citrate buffer (pH6.0) for 15 min; Antibody incubation with TrkB Monoclonal Antibody, Unconjugated(bsm-61083R) at 1:200 overnight at 4°C, followed by conjugation to the SP Kit (Rabbit, SP-0023) and DAB (C-0010) staining.
(Negative control) Paraformaldehyde-fixed, paraffin embedded Mouse Liver; Antigen retrieval by boiling in sodium citrate buffer (pH6.0) for 15 min; Antibody incubation with TrkB Monoclonal Antibody, Unconjugated(bsm-61083R) at 1:200 overnight at 4°C, followed by conjugation to the SP Kit (Rabbit, SP-0023) and DAB (C-0010) staining.
版权所有 2004-2026 www.bioss.com.cn 北京博奥森生物技术有限公司
通过国际质量管理体系ISO 9001:2015 GB/T 19001-2016    证书编号: 00124Q34771R2M/1100
通过国际医疗器械-质量管理体系ISO 13485:2016 GB/T 42061-2022     证书编号: CQC24QY20047R0M/1100
京ICP备05066980号-1         京公网安备110107000727号