扫码关注公众号           扫码咨询技术支持           扫码咨询技术服务
  
客服热线:400-901-9800  客服QQ:4009019800  技术答疑  技术支持  质量反馈  人才招聘  关于我们  联系我们
产品中心-北京博奥森生物技术有限公司
首页 > 产品中心 > 一抗 > 产品信息
TOP2A Recombinant Rabbit mAb (bsm-61077R)  
订购热线:400-901-9800
订购邮箱:sales@bioss.com.cn
订购QQ:  400-901-9800
技术支持:techsupport@bioss.com.cn
25ul/800.00元
50ul/1400.00元
100ul/2500.00元
大包装/询价

产品编号 bsm-61077R
英文名称 TOP2A Recombinant Rabbit mAb
中文名称 DNA拓普西异构酶Ⅱ抗体
别    名 TOP2; TOP2alpha; TOPIIA; TP2A; Top-2; TOP2A_HUMAN; TOP2A; DNA topoisomerase II, alpha isozyme; 5.6.2.2; TOP2A_MOUSE; TOP2A_RAT;   
抗体来源 Rabbit
克隆类型 Recombinant
克 隆 号 11D3
交叉反应 Human,Mouse,Rat
产品应用 WB=1:500-2000,IHC-P=1:100-500,IHC-F=1:100-500,IF=1:100-500
not yet tested in other applications.
optimal dilutions/concentrations should be determined by the end user.
理论分子量 174 kDa
检测分子量 180
细胞定位 细胞核 细胞浆 
性    状 Liquid
浓    度 1mg/ml
免 疫 原 A synthesized peptide derived from human Topoisomerase 2 alpha: 1500-1531/1531 
亚    型 IgG
纯化方法 affinity purified by Protein A
缓 冲 液 0.01M TBS(pH7.4) with 1% BSA, 0.02% Proclin300 and 50% Glycerol.
保存条件 Shipped at 4℃. Store at -20 °C for one year. Avoid repeated freeze/thaw cycles.
注意事项 This product as supplied is intended for research use only, not for use in human, therapeutic or diagnostic applications.
PubMed PubMed
产品介绍 This gene encodes a DNA topoisomerase, an enzyme that controls and alters the topologic states of DNA during transcription. This nuclear enzyme is involved in processes such as chromosome condensation, chromatid separation, and the relief of torsional stress that occurs during DNA transcription and replication. It catalyzes the transient breaking and rejoining of two strands of duplex DNA which allows the strands to pass through one another, thus altering the topology of DNA. Two forms of this enzyme exist as likely products of a gene duplication event. The gene encoding this form, alpha, is localized to chromosome 17 and the beta gene is localized to chromosome 3. The gene encoding this enzyme functions as the target for several anticancer agents and a variety of mutations in this gene have been associated with the development of drug resistance. Reduced activity of this enzyme may also play a role in ataxia-telangiectasia. [provided by RefSeq, Jul 2010]

Function:
Control of topological states of DNA by transient breakage and subsequent rejoining of DNA strands. Topoisomerase II makes double-strand breaks.

Subunit:
Homodimer. Interacts with COPS5.

Subcellular Location:
Cytoplasm. Nucleus > nucleoplasm. Generally located in the nucleoplasm.

Post-translational modifications:
Phosphorylation has no effect on catalytic activity.

Similarity:
Belongs to the type II topoisomerase family.

SWISS:
P11388

Gene ID:
7153

Database links:

Entrez Gene: 7153 Human

Entrez Gene: 21973 Mouse

Entrez Gene: 360243 Rat

Omim: 126430 Human

SwissProt: P11388 Human

SwissProt: Q01320 Mouse

SwissProt: P41516 Rat

Unigene: 156346 Human

Unigene: 4237 Mouse

Unigene: 90996 Rat



拓扑异构酶II是一种能催化DNA 拓扑异构体相互变换,调节DNA三维结构的核酶。与染色质或染色体的组装与分组装、基因组复制、DNA重组、基因转录及DNA损伤后修复等有密切的关系。许多人的恶性肿瘤都有拓扑异构酶II的过表达,因此,拓扑异构酶II是许多化疗药的靶标。大部分以拓扑异构酶II为重要靶标抗肿瘤的化疗药物是通过稳定的DNA与拓扑异构酶II的复合物激发凋亡的。
产品图片
25 ug total protein per lane of various lysates (see on figure) probed with TOP2A monoclonal antibody, unconjugated (bsm-61077R) at 1:1000 dilution and 4°C overnight incubation. Followed by conjugated secondary antibody incubation at r.t. for 60 min.
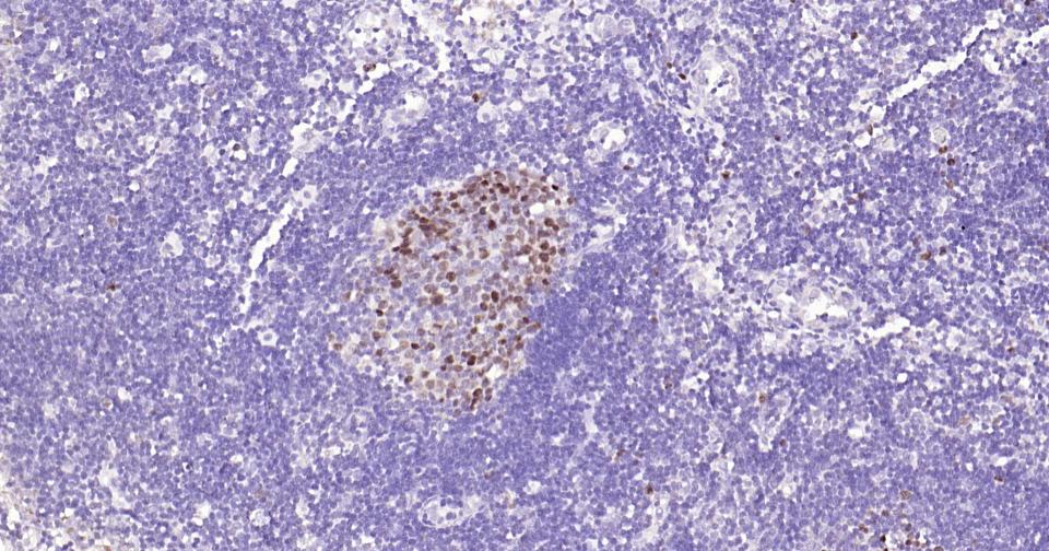
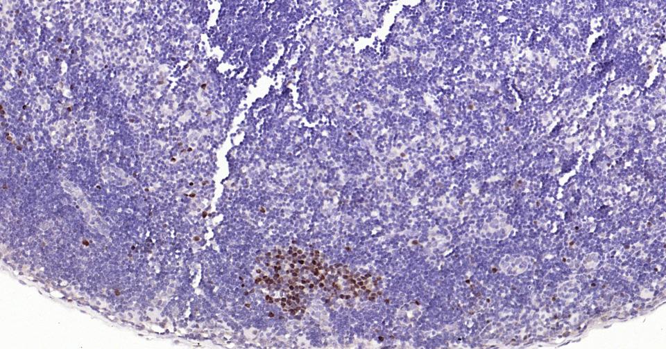
Paraformaldehyde-fixed, paraffin embedded Rat Lymph; Antigen retrieval by boiling in sodium citrate buffer (pH6.0) for 15 min; Antibody incubation with TOP2A Monoclonal Antibody, Unconjugated(bsm-61077R) at 1:400 overnight at 4°C, followed by conjugation to the SP Kit (Rabbit, SP-0023) and DAB (C-0010) staining.
Paraformaldehyde-fixed, paraffin embedded Mouse Lymph; Antigen retrieval by boiling in sodium citrate buffer (pH6.0) for 15 min; Antibody incubation with TOP2A Monoclonal Antibody, Unconjugated(bsm-61077R) at 1:400 overnight at 4°C, followed by conjugation to the SP Kit (Rabbit, SP-0023) and DAB (C-0010) staining.
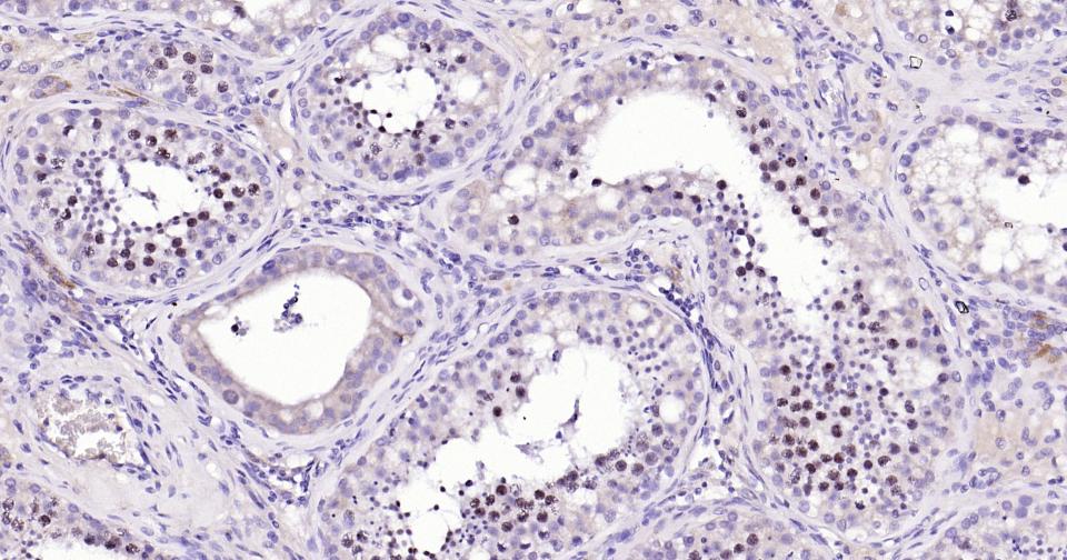
Paraformaldehyde-fixed, paraffin embedded Human Testicles; Antigen retrieval by boiling in sodium citrate buffer (pH6.0) for 15 min; Antibody incubation with TOP2A Monoclonal Antibody, Unconjugated(bsm-61077R) at 1:400 overnight at 4°C, followed by conjugation to the SP Kit (Rabbit, SP-0023) and DAB (C-0010) staining.
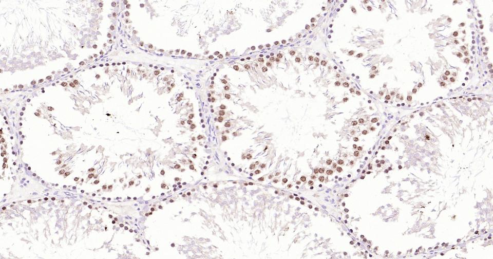
Paraformaldehyde-fixed, paraffin embedded Rat Testicles; Antigen retrieval by boiling in sodium citrate buffer (pH6.0) for 15 min; Antibody incubation with TOP2A Monoclonal Antibody, Unconjugated(bsm-61077R) at 1:200 overnight at 4°C, followed by conjugation to the SP Kit (Rabbit, SP-0023) and DAB (C-0010) staining.
Paraformaldehyde-fixed, paraffin embedded Mouse Testicles; Antigen retrieval by boiling in sodium citrate buffer (pH6.0) for 15 min; Antibody incubation with TOP2A Monoclonal Antibody, Unconjugated(bsm-61077R) at 1:200 overnight at 4°C, followed by conjugation to the SP Kit (Rabbit, SP-0023) and DAB (C-0010) staining.
版权所有 2004-2026 www.bioss.com.cn 北京博奥森生物技术有限公司
通过国际质量管理体系ISO 9001:2015 GB/T 19001-2016    证书编号: 00124Q34771R2M/1100
通过国际医疗器械-质量管理体系ISO 13485:2016 GB/T 42061-2022     证书编号: CQC24QY20047R0M/1100
京ICP备05066980号-1         京公网安备110107000727号