扫码关注公众号           扫码咨询技术支持           扫码咨询技术服务
  
客服热线:400-901-9800  客服QQ:4009019800  技术答疑  技术支持  质量反馈  人才招聘  关于我们  联系我们
产品中心-北京博奥森生物技术有限公司
首页 > 产品中心 > 一抗 > 产品信息
5 Lipoxygenase Recombinant Rabbit mAb (bsm-61061R)  
订购热线:400-901-9800
订购邮箱:sales@bioss.com.cn
订购QQ:  400-901-9800
技术支持:techsupport@bioss.com.cn
25ul/800.00元
50ul/1400.00元
100ul/2500.00元
大包装/询价

产品编号 bsm-61061R
英文名称 5 Lipoxygenase Recombinant Rabbit mAb
中文名称 5-脂氧合酶重组兔单抗
别    名 5-LO; 5-LOX; 5LPG; LOG5; 5LO; 5LX; F730011J02; LOX5A; LOX5_HUMAN; ALOX5; Arachidonate 5-lipoxygenase (5-LO | 5-lipoxygenase); 1.13.11.-; LOX5_MOUSE; LOX5_RAT;   
抗体来源 Rabbit
克隆类型 Recombinant
克 隆 号 18A12
交叉反应 Human,Mouse,Rat
产品应用 WB=1:500-2000,IHC-P=1:200-500,IHC-F=1:200-500,IF=1:200-500
not yet tested in other applications.
optimal dilutions/concentrations should be determined by the end user.
理论分子量 78 kDa
检测分子量 75
细胞定位 细胞核 细胞浆 细胞膜 
性    状 Liquid
免 疫 原 A synthesized peptide derived from human 5 Lipoxygenase: 120-155 
亚    型 IgG
纯化方法 affinity purified by Protein A
缓 冲 液 0.01M TBS(pH7.4) with 1% BSA, 0.02% Proclin300 and 50% Glycerol.
保存条件 Shipped at 4℃. Store at -20 °C for one year. Avoid repeated freeze/thaw cycles.
注意事项 This product as supplied is intended for research use only, not for use in human, therapeutic or diagnostic applications.
PubMed PubMed
产品介绍 This gene encodes a member of the lipoxygenase gene family and plays a dual role in the synthesis of leukotrienes from arachidonic acid. The encoded protein, which is expressed specifically in bone marrow-derived cells, catalyzes the conversion of arachidonic acid to 5(S)-hydroperoxy-6-trans-8,11,14-cis-eicosatetraenoic acid, and further to the allylic epoxide 5(S)-trans-7,9-trans-11,14-cis-eicosatetrenoic acid (leukotriene A4). Leukotrienes are important mediators of a number of inflammatory and allergic conditions. Mutations in the promoter region of this gene lead to a diminished response to antileukotriene drugs used in the treatment of asthma and may also be associated with atherosclerosis and several cancers. Alternatively spliced transcript variants have been observed, but their full-length nature has not been determined.

Function:
Catalyzes the first step in leukotriene biosynthesis, and thereby plays a role in inflammatory processes.

Subunit:
Interacts with ALOX5AP and LTC4S.

Subcellular Location:
Cytoplasm. Nucleus matrix. Nucleus membrane; Peripheral membrane protein.

Post-translational modifications:
Serine phosphorylation by MAPKAPK2 is stimulated by arachidonic acid. Phosphorylation on Ser-523 by PKA has an inhibitory effect. Phosphorylation on Ser-272 prevents export from the nucleus.

Similarity:
Belongs to the lipoxygenase family. Contains 1 lipoxygenase domain. Contains 1 PLAT domain.

SWISS:
P09917

Gene ID:
240

Database links:

Entrez Gene: 477753 Dog

Entrez Gene: 240 Human

Entrez Gene: 11689 Mouse

Entrez Gene: 25290 Rat

Omim: 152390 Human

SwissProt: P09917 Human

SwissProt: P48999 Mouse

SwissProt: P12527 Rat

Unigene: 89499 Human

Unigene: 41072 Mouse

Unigene: 9662 Rat



5-脂氧合酶蛋白(5-LOX; 5-lipoxygenase; Arachidonate 5-lipoxygenase; 5-LO; ALOX5 )是花生四烯酸代谢途径中的一种关键酶,在恶性肿瘤的发生、发展过程中起了重要作用.抑制5-脂氧合酶及其产物的表达有可能预防和逆转恶性肿瘤的发生。
产品图片
25 ug total protein per lane of various lysates (see on figure) probed with 5 Lipoxygenase monoclonal antibody, unconjugated (bsm-61061R) at 1:1000 dilution and 4°C overnight incubation. Followed by conjugated secondary antibody incubation at r.t. for 60 min.
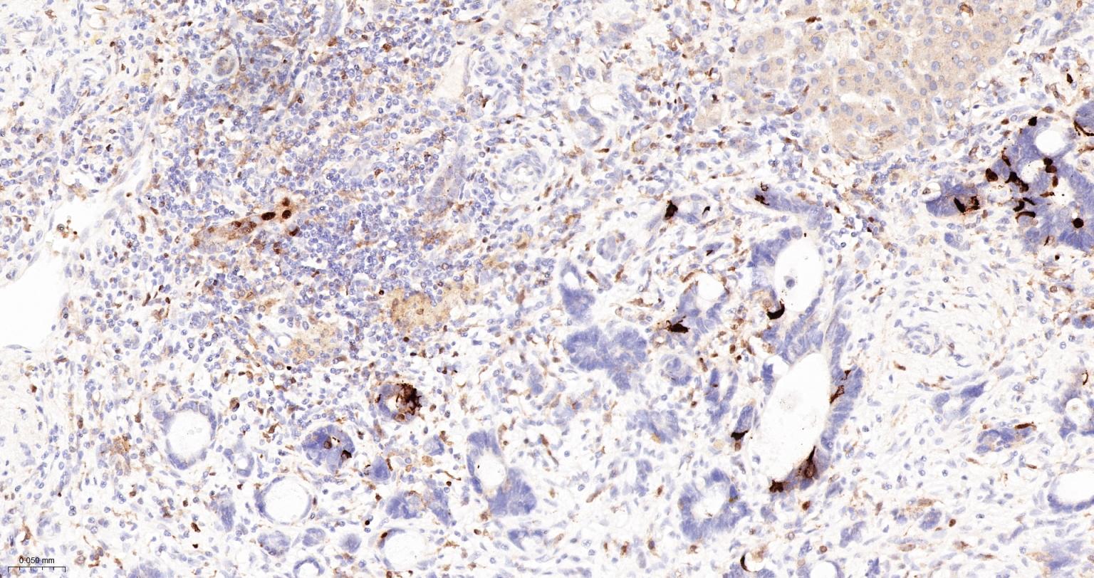
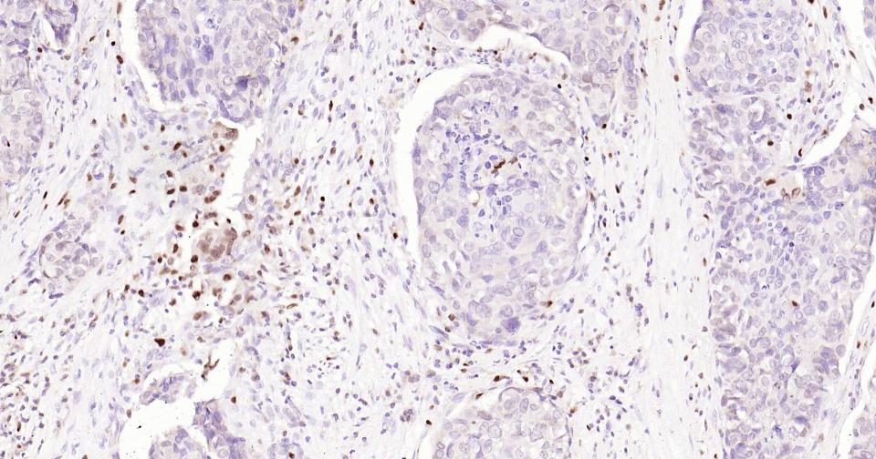
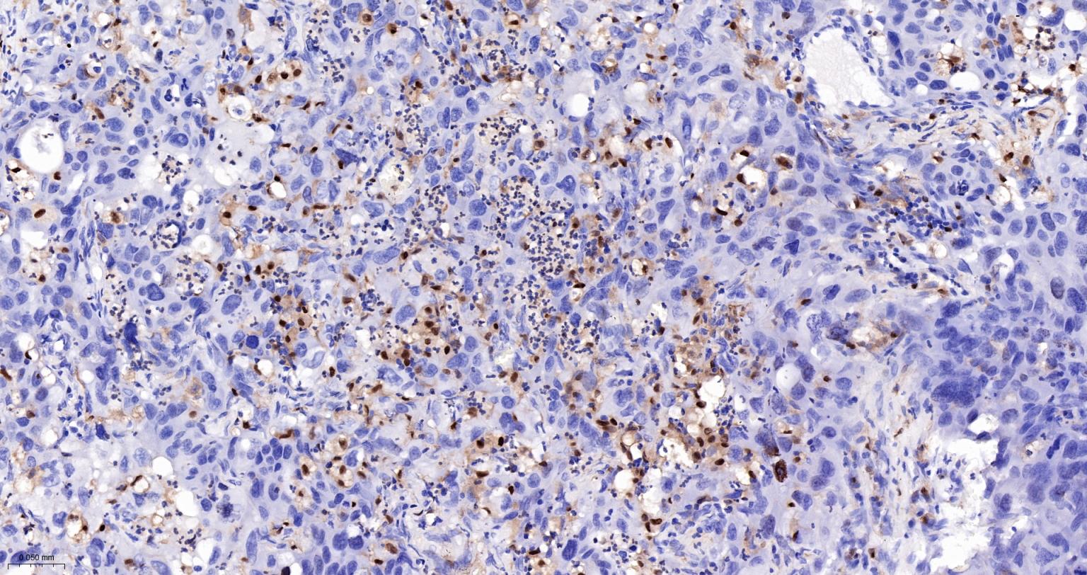
Paraformaldehyde-fixed, paraffin embedded Human Pancreatic Cancer; Antigen retrieval by boiling in sodium citrate buffer (pH6.0) for 15 min; The section was incubated with 5 Lipoxygenase Monoclonal Antibody, Unconjugated (bsm-61061R) at 1:200 overnight at 4°C, followed by conjugation to the bs-0295G-HRP and DAB (C-0010) staining.
Paraformaldehyde-fixed, paraffin embedded Human Liver Cancer; Antigen retrieval by boiling in sodium citrate buffer (pH6.0) for 15 min; The section was incubated with 5 Lipoxygenase Monoclonal Antibody, Unconjugated (bsm-61061R) at 1:200 overnight at 4°C, followed by conjugation to the bs-0295G-HRP and DAB (C-0010) staining.
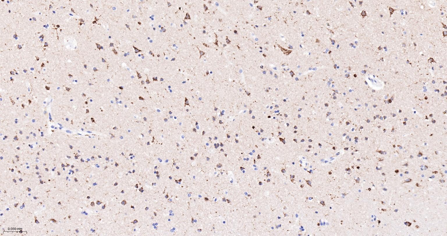
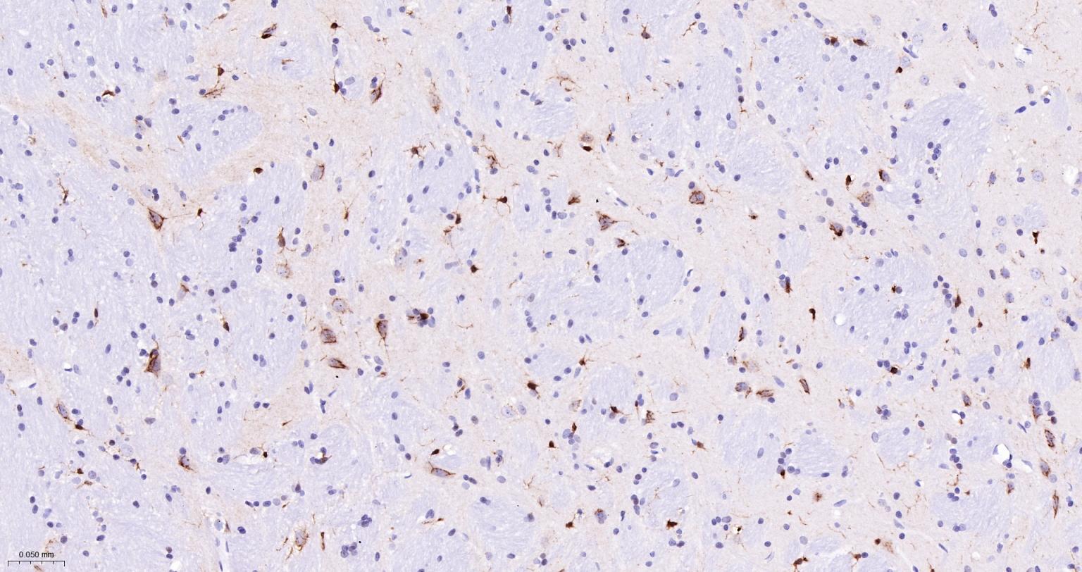
Paraformaldehyde-fixed, paraffin embedded Human Cerebrum; Antigen retrieval by boiling in sodium citrate buffer (pH6.0) for 15 min; The section was incubated with 5 Lipoxygenase Monoclonal Antibody, Unconjugated (bsm-61061R) at 1:200 overnight at 4°C, followed by conjugation to the bs-0295G-HRP and DAB (C-0010) staining.
Paraformaldehyde-fixed, paraffin embedded Mouse Cerebrum; Antigen retrieval by boiling in sodium citrate buffer (pH6.0) for 15 min; The section was incubated with 5 Lipoxygenase Monoclonal Antibody, Unconjugated (bsm-61061R) at 1:200 overnight at 4°C, followed by conjugation to the bs-0295G-HRP and DAB (C-0010) staining.
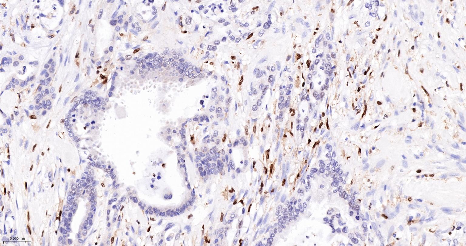
Paraformaldehyde-fixed, paraffin embedded Human Esophageal Cancer; Antigen retrieval by boiling in sodium citrate buffer (pH6.0) for 15 min; Antibody incubation with 5 Lipoxygenase Monoclonal Antibody, Unconjugated(bsm-61061R) at 1:200 overnight at 4°C, followed by conjugation to the SP Kit (Rabbit, SP-0023) and DAB (C-0010) staining.
Paraformaldehyde-fixed, paraffin embedded Human Breast Cancer; Antigen retrieval by boiling in sodium citrate buffer (pH6.0) for 15 min; Antibody incubation with 5 Lipoxygenase Monoclonal Antibody, Unconjugated(bsm-61061R) at 1:200 overnight at 4°C, followed by conjugation to the SP Kit (Rabbit, SP-0023) and DAB (C-0010) staining.
Paraformaldehyde-fixed, paraffin embedded Human Colon Cancer; Antigen retrieval by boiling in sodium citrate buffer (pH6.0) for 15 min; Antibody incubation with 5 Lipoxygenase Monoclonal Antibody, Unconjugated(bsm-61061R) at 1:200 overnight at 4°C, followed by conjugation to the SP Kit (Rabbit, SP-0023) and DAB (C-0010) staining.
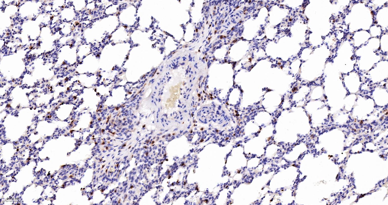
Paraformaldehyde-fixed, paraffin embedded Human Lung Cancer; Antigen retrieval by boiling in sodium citrate buffer (pH6.0) for 15 min; Antibody incubation with 5 Lipoxygenase Monoclonal Antibody, Unconjugated(bsm-61061R) at 1:200 overnight at 4°C, followed by conjugation to the SP Kit (Rabbit, SP-0023) and DAB (C-0010) staining.
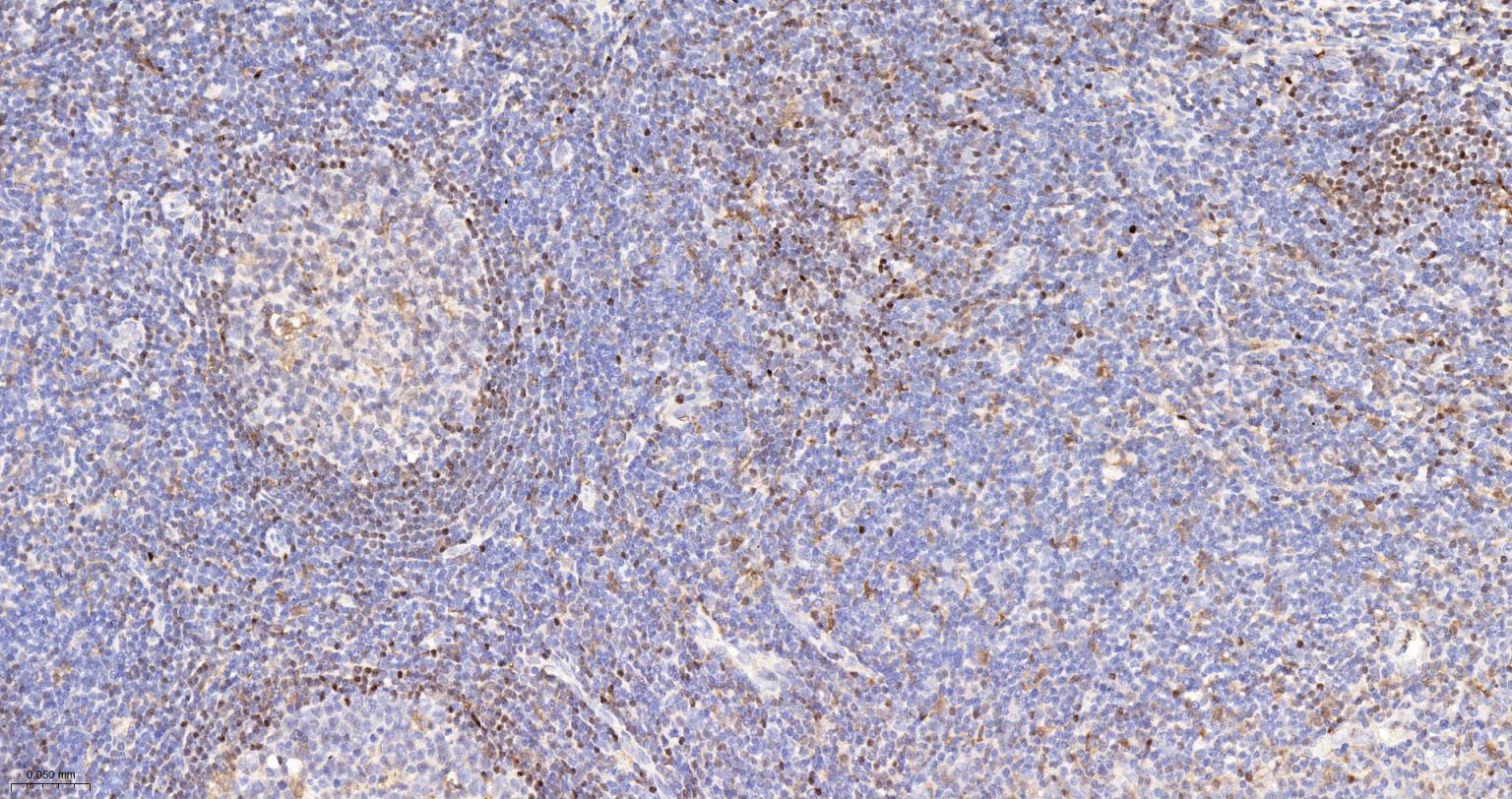
Paraformaldehyde-fixed, paraffin embedded Human Tonsil; Antigen retrieval by boiling in sodium citrate buffer (pH6.0) for 15 min; Antibody incubation with 5 Lipoxygenase Monoclonal Antibody, Unconjugated(bsm-61061R) at 1:200 overnight at 4°C, followed by conjugation to the SP Kit (Rabbit, SP-0023) and DAB (C-0010) staining.
Paraformaldehyde-fixed, paraffin embedded Human Spleen; Antigen retrieval by boiling in sodium citrate buffer (pH6.0) for 15 min; Antibody incubation with 5 Lipoxygenase Monoclonal Antibody, Unconjugated(bsm-61061R) at 1:200 overnight at 4°C, followed by conjugation to the SP Kit (Rabbit, SP-0023) and DAB (C-0010) staining.
Paraformaldehyde-fixed, paraffin embedded Rat Spleen; Antigen retrieval by boiling in sodium citrate buffer (pH6.0) for 15 min; Antibody incubation with 5 Lipoxygenase Monoclonal Antibody, Unconjugated(bsm-61061R) at 1:200 overnight at 4°C, followed by conjugation to the SP Kit (Rabbit, SP-0023) and DAB (C-0010) staining.
Paraformaldehyde-fixed, paraffin embedded Rat Cerebrum; Antigen retrieval by boiling in sodium citrate buffer (pH6.0) for 15 min; Antibody incubation with 5 Lipoxygenase Monoclonal Antibody, Unconjugated(bsm-61061R) at 1:200 overnight at 4°C, followed by conjugation to the SP Kit (Rabbit, SP-0023) and DAB (C-0010) staining.
Paraformaldehyde-fixed, paraffin embedded Human Lung; Antigen retrieval by boiling in sodium citrate buffer (pH6.0) for 15 min; Antibody incubation with 5 Lipoxygenase Monoclonal Antibody, Unconjugated(bsm-61061R) at 1:200 overnight at 4°C, followed by conjugation to the SP Kit (Rabbit, SP-0023) and DAB (C-0010) staining.
Paraformaldehyde-fixed, paraffin embedded Rat Lung; Antigen retrieval by boiling in sodium citrate buffer (pH6.0) for 15 min; Antibody incubation with 5 Lipoxygenase Monoclonal Antibody, Unconjugated(bsm-61061R) at 1:200 overnight at 4°C, followed by conjugation to the SP Kit (Rabbit, SP-0023) and DAB (C-0010) staining.
版权所有 2004-2026 www.bioss.com.cn 北京博奥森生物技术有限公司
通过国际质量管理体系ISO 9001:2015 GB/T 19001-2016    证书编号: 00124Q34771R2M/1100
通过国际医疗器械-质量管理体系ISO 13485:2016 GB/T 42061-2022     证书编号: CQC24QY20047R0M/1100
京ICP备05066980号-1         京公网安备110107000727号