扫码关注公众号           扫码咨询技术支持           扫码咨询技术服务
  
客服热线:400-901-9800  客服QQ:4009019800  技术答疑  技术支持  质量反馈  人才招聘  关于我们  联系我们
产品中心-北京博奥森生物技术有限公司
首页 > 产品中心 > 一抗 > 产品信息
Leptin Receptor Recombinant Rabbit mAb (bsm-61055R)  
订购热线:400-901-9800
订购邮箱:sales@bioss.com.cn
订购QQ:  400-901-9800
技术支持:techsupport@bioss.com.cn
25ul/800.00元
50ul/1400.00元
100ul/2500.00元
大包装/询价

产品编号 bsm-61055R
英文名称 Leptin Receptor Recombinant Rabbit mAb
中文名称 瘦素受体重组兔单抗
别    名 CD295; LEP-R; LEPRD; OB-R; OBR; B219; LEPROT; Leprb; Modb1; OB-RGRP; db; diabetes; obese-like; obl; Fa; LEPR_HUMAN; LEPR; HuB219; OB receptor (OB-R); LEPR_MOUSE; LEPR_RAT;   
抗体来源 Rabbit
克隆类型 Recombinant
克 隆 号 18C15
交叉反应 Human,Mouse,Rat
产品应用 WB=1:500-2000,IHC-P=1:50-200,IHC-F=1:50-200,IF=1:50-200
not yet tested in other applications.
optimal dilutions/concentrations should be determined by the end user.
理论分子量 126 kDa
检测分子量 150
细胞定位 细胞膜 分泌型蛋白 
性    状 Liquid
免 疫 原 A synthesized peptide derived from human Leptin receptor: 1050-1095 
亚    型 IgG
纯化方法 affinity purified by Protein A
缓 冲 液 0.01M TBS(pH7.4) with 1% BSA, 0.02% Proclin300 and 50% Glycerol.
保存条件 Shipped at 4℃. Store at -20 °C for one year. Avoid repeated freeze/thaw cycles.
注意事项 This product as supplied is intended for research use only, not for use in human, therapeutic or diagnostic applications.
PubMed PubMed
产品介绍

The protein encoded by this gene belongs to the gp130 family of cytokine receptors that are known to stimulate gene transcription via activation of cytosolic STAT proteins. This protein is a receptor for leptin (an adipocyte-specific hormone that regulates body weight), and is involved in the regulation of fat metabolism, as well as in a novel hematopoietic pathway that is required for normal lymphopoiesis. Mutations in this gene have been associated with obesity and pituitary dysfunction. Alternatively spliced transcript variants encoding different isoforms have been described for this gene. It is noteworthy that this gene and LEPROT gene (GeneID:54741) share the same promoter and the first 2 exons, however, encode distinct proteins (PMID:9207021).[provided by RefSeq, Nov 2010]




Function:
Receptor for obesity factor (leptin). On ligand binding, mediates signaling through JAK2/STAT3. Involved in the regulation of fat metabolism and, in a hematopoietic pathway, required for normal lymphopoiesis. May play a role in reproduction. Can also mediate the ERK/FOS signaling pathway (By similarity).

Subunit:
On leptin stimulation, homodimerizes. The phosphorylated receptor binds a number of SH2 domain-containing proteins such as STAT3, PTPN11, and SOCS3. Interaction with SOCS3 inhibits LRb signaling.

Subcellular Location:
Cell membrane; Single-pass type I membrane protein. Isoform E: Secreted (Probable). Isoform A is expressed in fetal liver and in hematopoietic tissues and choroid plexus. In adults highest expression in heart, liver, small intestine, prostate and ovary. Low level in lung and kidney. Isoform B is highly expressed in hypothalamus.

Tissue Specificity:
Isoform A is expressed in fetal liver and in hematopoietic tissues and choroid plexus. In adults highest expression in heart, liver, small intestine, prostate and ovary. Low level in lung and kidney. Isoform B is highly expressed in hypothalamus.

Post-translational modifications:
On ligand binding, phosphorylated on two conserved C-terminal tyrosine residues (isoform B only) by JAK2. Tyr-986 is required for complete binding and activation of PTPN11, ERK/FOS activation and, for interaction with SOCS3 (By similarity). Phosphorylation on Tyr-1141 is required for STAT3 binding/activation.

Similarity:
Belongs to the type I cytokine receptor family. Type 2 subfamily. Contains 4 fibronectin type-III domains. Contains 1 Ig-like (immunoglobulin-like) domain.

SWISS:
P48357

Gene ID:
3953

Database links:

Entrez Gene: 3953 Human

Entrez Gene: 16847 Mouse

Entrez Gene: 24536 Rat

Omim: 601007 Human

SwissProt: P48357 Human

SwissProt: P48356 Mouse

SwissProt: Q62959 Rat

Unigene: 23581 Human

Unigene: 723178 Human

Unigene: 259282 Mouse

Unigene: 9891 Rat



Leptin是一种分子量为16kDa的脂肪组织源激素,由脂肪细胞分泌的,具有强亲水性,以单体形式存在于血浆中。
Leptin 具有广泛的生物学效应,作用于下丘脑,调节食欲、能量代谢及体重。Leptin 还可能作为脂肪-胰岛内分泌轴一部分,参与胰岛素分泌的调节。Leptin receptor (OB-R)是与gp130最密切相关的信号转导的共同成分,属1类细胞因子超家族,下丘脑有丰富的Leptin receptor,在其它部位也有分布,但水平较低:如胰岛素B细胞;脉络丛;肝、肺、心、肾、睾丸、淋巴细胞和脂肪细胞中。
人类存在四个异性体,均为单跨膜受体。其中OB-Rb在胞内结构域最长,是唯一能进行信号传导并调节热量摄入和能量消耗的异性体,分子量为132kDa。
产品图片
25 ug total protein per lane of various lysates (see on figure) probed with Leptin Receptor monoclonal antibody, unconjugated (bsm-61055R) at 1:500 dilution and 4°C overnight incubation. Followed by conjugated secondary antibody incubation at r.t. for 60 min.
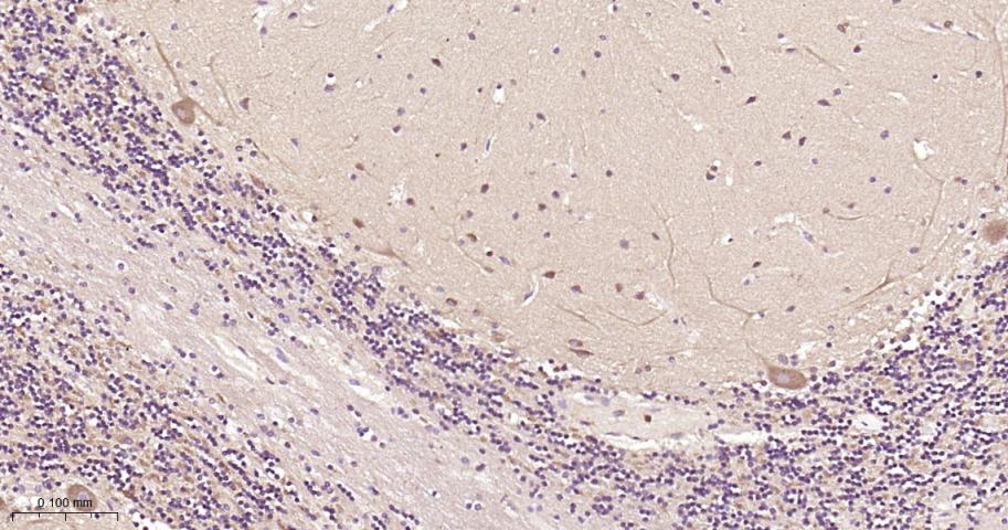
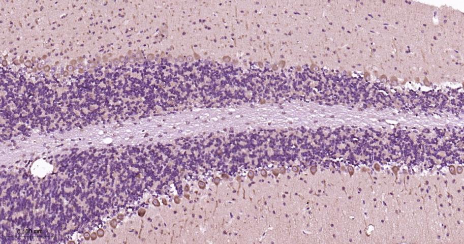
Paraformaldehyde-fixed, paraffin embedded Mouse Cerebellum; Antigen retrieval by boiling in sodium citrate buffer (pH6.0) for 15 min; Antibody incubation with Leptin Receptor Monoclonal Antibody, Unconjugated(bsm-61055R) at 1:200 overnight at 4°C, followed by conjugation to the bs-0295G-HRP and DAB (C-0010) staining.
Paraformaldehyde-fixed, paraffin embedded Human Cerebellum; Antigen retrieval by boiling in sodium citrate buffer (pH6.0) for 15 min; Antibody incubation with Leptin Receptor Monoclonal Antibody, Unconjugated(bsm-61055R) at 1:200 overnight at 4°C, followed by conjugation to the bs-0295G-HRP and DAB (C-0010) staining.
Paraformaldehyde-fixed, paraffin embedded Rat Cerebellum; Antigen retrieval by boiling in sodium citrate buffer (pH6.0) for 15 min; Antibody incubation with Leptin Receptor Monoclonal Antibody, Unconjugated(bsm-61055R) at 1:200 overnight at 4°C, followed by conjugation to the bs-0295G-HRP and DAB (C-0010) staining.
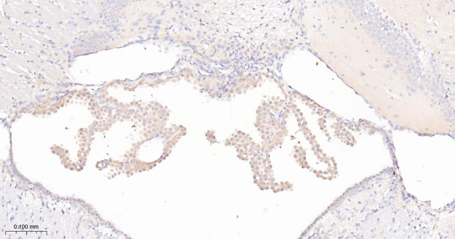
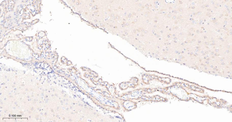
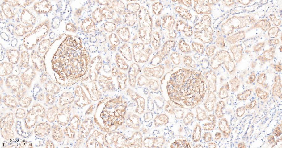
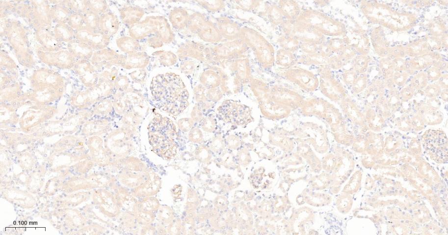
Paraformaldehyde-fixed, paraffin embedded Human Kidney; Antigen retrieval by boiling in sodium citrate buffer (pH6.0) for 15 min; Antibody incubation with Leptin Receptor Monoclonal Antibody, Unconjugated(bsm-61055R) at 1:200 overnight at 4°C, followed by conjugation to the bs-0295G-HRP and DAB (C-0010) staining.
Paraformaldehyde-fixed, paraffin embedded Rat Kidney; Antigen retrieval by boiling in sodium citrate buffer (pH6.0) for 15 min; Antibody incubation with Leptin Receptor Monoclonal Antibody, Unconjugated(bsm-61055R) at 1:200 overnight at 4°C, followed by conjugation to the bs-0295G-HRP and DAB (C-0010) staining.
Paraformaldehyde-fixed, paraffin embedded Human Cerebrum; Antigen retrieval by boiling in sodium citrate buffer (pH6.0) for 15 min; Antibody incubation with Leptin Receptor Monoclonal Antibody, Unconjugated(bsm-61055R) at 1:200 overnight at 4°C, followed by conjugation to the bs-0295G-HRP and DAB (C-0010) staining.
Paraformaldehyde-fixed, paraffin embedded Rat Cerebrum; Antigen retrieval by boiling in sodium citrate buffer (pH6.0) for 15 min; Antibody incubation with Leptin Receptor Monoclonal Antibody, Unconjugated(bsm-61055R) at 1:200 overnight at 4°C, followed by conjugation to the bs-0295G-HRP and DAB (C-0010) staining.
Paraformaldehyde-fixed, paraffin embedded Mouse Cerebrum; Antigen retrieval by boiling in sodium citrate buffer (pH6.0) for 15 min; Antibody incubation with Leptin Receptor Monoclonal Antibody, Unconjugated(bsm-61055R) at 1:200 overnight at 4°C, followed by conjugation to the bs-0295G-HRP and DAB (C-0010) staining.
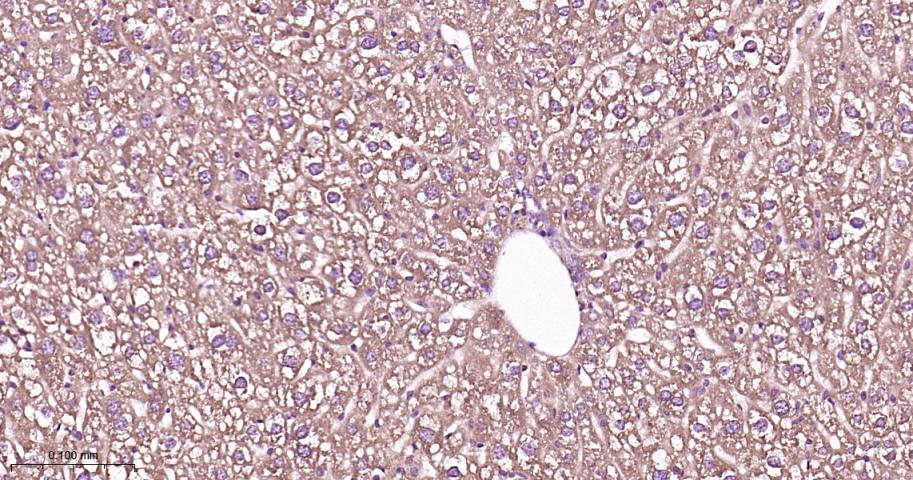
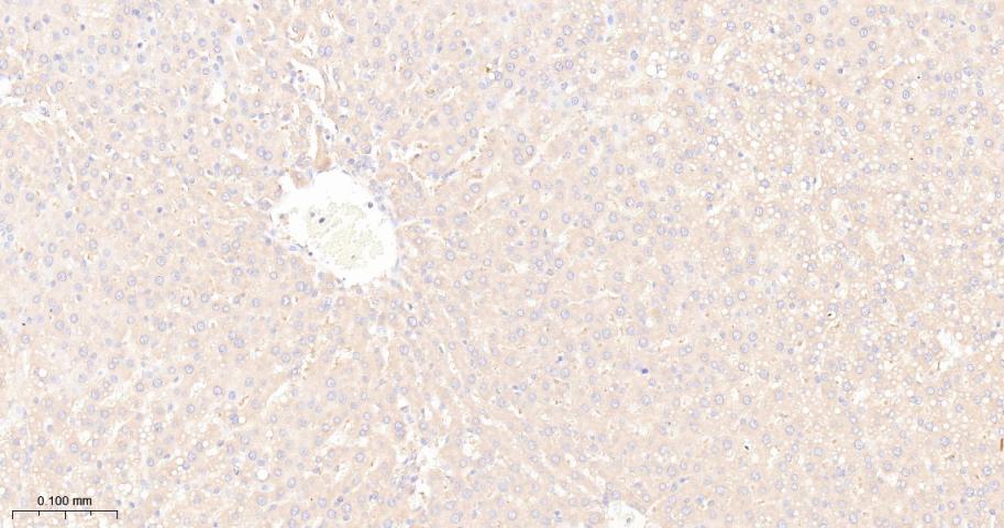
Paraformaldehyde-fixed, paraffin embedded Human Liver; Antigen retrieval by boiling in sodium citrate buffer (pH6.0) for 15 min; Antibody incubation with Leptin Receptor Monoclonal Antibody, Unconjugated(bsm-61055R) at 1:200 overnight at 4°C, followed by conjugation to the bs-0295G-HRP and DAB (C-0010) staining.
Paraformaldehyde-fixed, paraffin embedded Rat Liver; Antigen retrieval by boiling in sodium citrate buffer (pH6.0) for 15 min; Antibody incubation with Leptin Receptor Monoclonal Antibody, Unconjugated(bsm-61055R) at 1:200 overnight at 4°C, followed by conjugation to the bs-0295G-HRP and DAB (C-0010) staining.
Paraformaldehyde-fixed, paraffin embedded Mouse Liver; Antigen retrieval by boiling in sodium citrate buffer (pH6.0) for 15 min; Antibody incubation with Leptin Receptor Monoclonal Antibody, Unconjugated(bsm-61055R) at 1:200 overnight at 4°C, followed by conjugation to the bs-0295G-HRP and DAB (C-0010) staining.
Paraformaldehyde-fixed, paraffin embedded human Kidney; Antigen retrieval by boiling in sodium citrate buffer (pH6.0) for 15 min; The section was incubated with Leptin Receptor Monoclonal Antibody, Unconjugated (bsm-61055R) at 1:200 overnight at 4°C. Followed by conjugated Goat Anti-Ratbbit IgG antibody (red, bs-0295G-BF594), DAPI (blue, C02-04002) was used to stain the cell nuclei.
Paraformaldehyde-fixed, paraffin embedded human brain; Antigen retrieval by boiling in sodium citrate buffer (pH6.0) for 15 min; The section was incubated with Leptin Receptor Monoclonal Antibody, Unconjugated (bsm-61055R) at 1:200 overnight at 4°C. Followed by conjugated Goat Anti-Ratbbit IgG antibody (red, bs-0295G-BF594), DAPI (blue, C02-04002) was used to stain the cell nuclei.
版权所有 2004-2026 www.bioss.com.cn 北京博奥森生物技术有限公司
通过国际质量管理体系ISO 9001:2015 GB/T 19001-2016    证书编号: 00124Q34771R2M/1100
通过国际医疗器械-质量管理体系ISO 13485:2016 GB/T 42061-2022     证书编号: CQC24QY20047R0M/1100
京ICP备05066980号-1         京公网安备110107000727号